Department of Bioconvergence System, Hoseo University, Asan 31499, Korea.
Department of Food and Nutrition, Obesity/Diabetes Research Center, Hoseo University, Asan 31499, Korea.
Int J Mol Sci. 2022 Sep 16;23(18):10833. doi: 10.3390/ijms231810833.
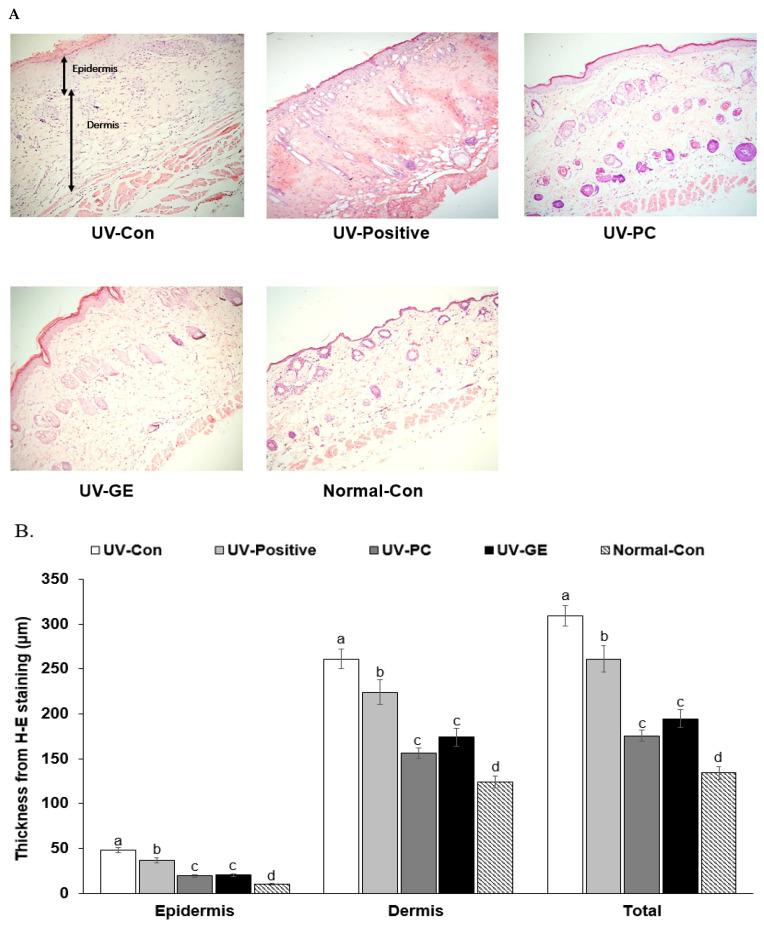
Bioactive compounds in some herbs can, directly and indirectly, protect against photoaging. We evaluated the effects of Blume (GE) and Wolf (PC) water extracts on ultraviolet (UV) B-induced skin lesions by acute UVB exposure in ICR mice and explored their mechanism of action. After removing the hair on the back of the mice, UVB (280-310 nm) was exposed to the back for 30 min to induce skin damage. Four UVB exposure groups were divided into the following according to the local application (1,3-butanediol extract) on the dorsal skin and oral intake (0.3 g water extract/kg body weight/day): 1,3-butanediol and cellulose(control; UV-Con), retinoic acid (positive-control; UV-Positive), PC extracts (UV-PC), and GE extracts (UV-GE). The fifth group had no UVB exposure with the same treatment as the UV-Con (Normal-control). The erythema, burns, erosion, and wounds of the UV-PC and UV-PC groups were alleviated, and the most significant improvements occurred in the UV-PC group. PC and GE reduced the thickness of the dorsal skin tissue, the penetration of mast cells, and malondialdehyde contents. The mRNA expression of , , and , inflammatory factors, were also reduced significantly in the dorsal skin of the UV-PC and UV-GE groups. UV-PC, UV-GE, and UV-Positive showed improvements in UV-induced intestinal tissue inflammation. UV-Con deteriorated the intestinal morphology, and PC and GE alleviated it. The α-diversity of the fecal microbiota decreased in the UV-control, and UV-PC and UV-GE prevented the decrease. Fecal metagenome analysis revealed increased propionate biosynthesis in the UV-PC group but decreased lipopolysaccharide biosynthesis in the UV-PC and UV-GE groups compared to UV-Con. In conclusion, the local application and intake of PC and GE had significant therapeutic effects on acute UV-induced skin damage by reducing oxidative stress and proinflammatory cytokines, potentially promoting the gut-microbiota-gut-skin axis.
某些草药中的生物活性化合物可以直接和间接地预防光老化。我们评估了 Blume(GE)和 Wolf(PC)水提取物对 ICR 小鼠急性 UVB 暴露诱导的皮肤损伤的影响,并探索了它们的作用机制。在去除小鼠背部的毛发后,用 UVB(280-310nm)照射背部 30 分钟以诱导皮肤损伤。根据背部皮肤的局部应用(1,3-丁二醇提取物)和口服摄入(0.3g 水提取物/公斤体重/天),将 4 个 UVB 暴露组分为以下 5 组:1,3-丁二醇和纤维素(对照;UV-Con)、维甲酸(阳性对照;UV-Positive)、PC 提取物(UV-PC)和 GE 提取物(UV-GE)。第 5 组未进行 UVB 暴露,但与 UV-Con 处理相同(正常对照;Normal-control)。PC 和 GE 减轻了 UV-PC 和 UV-PC 组的红斑、灼伤、糜烂和伤口,UV-PC 组的改善最为显著。PC 和 GE 降低了背部皮肤组织的厚度、肥大细胞的渗透和丙二醛含量。UV-PC 和 UV-GE 组背部皮肤中、和炎症因子的 mRNA 表达也显著降低。UV-PC、UV-GE 和 UV-Positive 对 UV 诱导的肠道组织炎症有改善作用。UV-Con 使肠道形态恶化,而 PC 和 GE 则缓解了这种情况。UV 对照使粪便微生物群的 α 多样性减少,而 UV-PC 和 UV-GE 则防止了减少。粪便宏基因组分析显示,与 UV-Con 相比,UV-PC 组中丙酸盐生物合成增加,而 UV-PC 和 UV-GE 组中内毒素生物合成减少。总之,PC 和 GE 的局部应用和口服摄入通过降低氧化应激和促炎细胞因子对急性 UV 诱导的皮肤损伤具有显著的治疗作用,可能促进了肠道微生物群-肠道-皮肤轴。