• 文献检索
  • 文档翻译
  • 深度研究
  • 学术资讯
  • Suppr Zotero 插件Zotero 插件
  • 邀请有礼
  • 套餐&价格
  • 历史记录
应用&插件
Suppr Zotero 插件Zotero 插件浏览器插件Mac 客户端Windows 客户端微信小程序
定价
高级版会员购买积分包购买API积分包
服务
文献检索文档翻译深度研究API 文档MCP 服务
关于我们
关于 Suppr公司介绍联系我们用户协议隐私条款
关注我们

Suppr 超能文献

核心技术专利:CN118964589B侵权必究
粤ICP备2023148730 号-1Suppr @ 2026

文献检索

告别复杂PubMed语法,用中文像聊天一样搜索,搜遍4000万医学文献。AI智能推荐,让科研检索更轻松。

立即免费搜索

文件翻译

保留排版,准确专业,支持PDF/Word/PPT等文件格式,支持 12+语言互译。

免费翻译文档

深度研究

AI帮你快速写综述,25分钟生成高质量综述,智能提取关键信息,辅助科研写作。

立即免费体验

LCDAE:用于肺癌分类的数据增强集成框架。

LCDAE: Data Augmented Ensemble Framework for Lung Cancer Classification.

机构信息

School of Computing and Mathematical Sciences, 4488University of Leicester, Leicester LE1 7RH, UK.

出版信息

Technol Cancer Res Treat. 2022 Jan-Dec;21:15330338221124372. doi: 10.1177/15330338221124372.

DOI:10.1177/15330338221124372
PMID:36148908
原文链接:https://pmc.ncbi.nlm.nih.gov/articles/PMC9511553/
Abstract

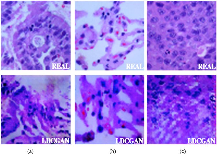
The only possible solution to increase the patients' fatality rate is lung cancer early-stage detection. Recently, deep learning techniques became the most promising methods in medical image analysis compared with other numerous computer-aided diagnostic techniques. However, deep learning models always get lower performance when the model is overfitting. We present a Lung Cancer Data Augmented Ensemble (LCDAE) framework to solve the overfitting and lower performance problems in the lung cancer classification tasks. The LCDAE has 3 parts: The Lung Cancer Deep Convolutional GAN, which can synthesize images of lung cancer; A Data Augmented Ensemble model (DA-ENM), which ensembled 6 fine-tuned transfer learning models for training, testing, and validating on a lung cancer dataset; The third part is a Hybrid Data Augmentation (HDA) which combines all the data augmentation techniques in the LCDAE. By comparing with existing state-of-the-art methods, the LCDAE obtains the best accuracy of 99.99%, the precision of 99.99%, and the F1-score of 99.99%. Our proposed LCDAE can overcome the overfitting issue for the lung cancer classification tasks by applying different data augmentation techniques, our method also has the best performance compared to state-of-the-art approaches.

摘要

唯一可能增加患者死亡率的方法是肺癌早期检测。最近,与其他许多计算机辅助诊断技术相比,深度学习技术成为医学图像分析中最有前途的方法。然而,当模型过拟合时,深度学习模型的性能总是会降低。我们提出了一种肺癌数据增强集成(LCDAE)框架,以解决肺癌分类任务中的过拟合和性能下降问题。LCDAE 有 3 个部分:肺癌深度卷积生成对抗网络(Lung Cancer Deep Convolutional GAN),它可以合成肺癌图像;数据增强集成模型(Data Augmented Ensemble model,DA-ENM),它集成了 6 个经过微调的迁移学习模型,用于在肺癌数据集上进行训练、测试和验证;第三部分是混合数据增强(Hybrid Data Augmentation,HDA),它结合了 LCDAE 中的所有数据增强技术。通过与现有的最先进方法进行比较,LCDAE 在肺癌分类任务中获得了最佳的准确率 99.99%、精度 99.99%和 F1 得分 99.99%。我们提出的 LCDAE 可以通过应用不同的数据增强技术来克服肺癌分类任务中的过拟合问题,与最先进的方法相比,我们的方法也具有最佳的性能。

https://cdn.ncbi.nlm.nih.gov/pmc/blobs/4b19/9511553/1b5fb06e0597/10.1177_15330338221124372-fig7.jpg
https://cdn.ncbi.nlm.nih.gov/pmc/blobs/4b19/9511553/53f87c430850/10.1177_15330338221124372-fig1.jpg
https://cdn.ncbi.nlm.nih.gov/pmc/blobs/4b19/9511553/f8e34347294d/10.1177_15330338221124372-fig2.jpg
https://cdn.ncbi.nlm.nih.gov/pmc/blobs/4b19/9511553/b58af7d88f4a/10.1177_15330338221124372-fig3.jpg
https://cdn.ncbi.nlm.nih.gov/pmc/blobs/4b19/9511553/f89b1a4165ff/10.1177_15330338221124372-fig4.jpg
https://cdn.ncbi.nlm.nih.gov/pmc/blobs/4b19/9511553/3b8ab9fc4381/10.1177_15330338221124372-fig5.jpg
https://cdn.ncbi.nlm.nih.gov/pmc/blobs/4b19/9511553/1a3b6fdf011f/10.1177_15330338221124372-fig6.jpg
https://cdn.ncbi.nlm.nih.gov/pmc/blobs/4b19/9511553/1b5fb06e0597/10.1177_15330338221124372-fig7.jpg
https://cdn.ncbi.nlm.nih.gov/pmc/blobs/4b19/9511553/53f87c430850/10.1177_15330338221124372-fig1.jpg
https://cdn.ncbi.nlm.nih.gov/pmc/blobs/4b19/9511553/f8e34347294d/10.1177_15330338221124372-fig2.jpg
https://cdn.ncbi.nlm.nih.gov/pmc/blobs/4b19/9511553/b58af7d88f4a/10.1177_15330338221124372-fig3.jpg
https://cdn.ncbi.nlm.nih.gov/pmc/blobs/4b19/9511553/f89b1a4165ff/10.1177_15330338221124372-fig4.jpg
https://cdn.ncbi.nlm.nih.gov/pmc/blobs/4b19/9511553/3b8ab9fc4381/10.1177_15330338221124372-fig5.jpg
https://cdn.ncbi.nlm.nih.gov/pmc/blobs/4b19/9511553/1a3b6fdf011f/10.1177_15330338221124372-fig6.jpg
https://cdn.ncbi.nlm.nih.gov/pmc/blobs/4b19/9511553/1b5fb06e0597/10.1177_15330338221124372-fig7.jpg

相似文献

1
LCDAE: Data Augmented Ensemble Framework for Lung Cancer Classification.LCDAE:用于肺癌分类的数据增强集成框架。
Technol Cancer Res Treat. 2022 Jan-Dec;21:15330338221124372. doi: 10.1177/15330338221124372.
2
A Hybrid Framework for Lung Cancer Classification.一种用于肺癌分类的混合框架。
Electronics (Basel). 2022 May 18;11(10):1614. doi: 10.3390/electronics1010000.
3
A medical image classification method based on self-regularized adversarial learning.基于自正则化对抗学习的医学图像分类方法。
Med Phys. 2024 Nov;51(11):8232-8246. doi: 10.1002/mp.17320. Epub 2024 Jul 30.
4
CSE-GAN: A 3D conditional generative adversarial network with concurrent squeeze-and-excitation blocks for lung nodule segmentation.CSE-GAN:一种具有并发挤压激励模块的 3D 条件生成对抗网络,用于肺结节分割。
Comput Biol Med. 2022 Aug;147:105781. doi: 10.1016/j.compbiomed.2022.105781. Epub 2022 Jun 22.
5
Multiplanar analysis for pulmonary nodule classification in CT images using deep convolutional neural network and generative adversarial networks.基于深度卷积神经网络和生成对抗网络的 CT 图像肺结节分类的多平面分析。
Int J Comput Assist Radiol Surg. 2020 Jan;15(1):173-178. doi: 10.1007/s11548-019-02092-z. Epub 2019 Nov 16.
6
Breast cancer detection using synthetic mammograms from generative adversarial networks in convolutional neural networks.利用卷积神经网络中生成对抗网络的合成乳房X光片进行乳腺癌检测。
J Med Imaging (Bellingham). 2019 Jul;6(3):031411. doi: 10.1117/1.JMI.6.3.031411. Epub 2019 Mar 23.
7
The Use of Generative Adversarial Network and Graph Convolution Network for Neuroimaging-Based Diagnostic Classification.生成对抗网络和图卷积网络在基于神经成像的诊断分类中的应用
Brain Sci. 2024 Apr 30;14(5):456. doi: 10.3390/brainsci14050456.
8
Performance improvement of mediastinal lymph node severity detection using GAN and Inception network.使用生成对抗网络(GAN)和Inception网络提高纵隔淋巴结严重程度检测的性能
Comput Methods Programs Biomed. 2020 Oct;194:105478. doi: 10.1016/j.cmpb.2020.105478. Epub 2020 May 22.
9
An Ensemble of Transfer Learning Models for the Prediction of Skin Cancers with Conditional Generative Adversarial Networks.一种用于通过条件生成对抗网络预测皮肤癌的迁移学习模型集成。
Diagnostics (Basel). 2022 Dec 13;12(12):3145. doi: 10.3390/diagnostics12123145.
10
A Comparative Analysis of the Novel Conditional Deep Convolutional Neural Network Model, Using Conditional Deep Convolutional Generative Adversarial Network-Generated Synthetic and Augmented Brain Tumor Datasets for Image Classification.新型条件深度卷积神经网络模型的比较分析,该模型使用条件深度卷积生成对抗网络生成的合成及增强脑肿瘤数据集进行图像分类。
Brain Sci. 2024 May 30;14(6):559. doi: 10.3390/brainsci14060559.

引用本文的文献

1
Mixed-Supervised Learning for Cell Classification.用于细胞分类的混合监督学习
Sensors (Basel). 2025 Feb 16;25(4):1207. doi: 10.3390/s25041207.
2
Automated Lung Cancer Diagnosis Applying Butterworth Filtering, Bi-Level Feature Extraction, and Sparce Convolutional Neural Network to Luna 16 CT Images.将巴特沃斯滤波、双级特征提取和稀疏卷积神经网络应用于Luna 16 CT图像的自动化肺癌诊断
J Imaging. 2024 Jul 15;10(7):168. doi: 10.3390/jimaging10070168.
3
UKSSL: Underlying Knowledge Based Semi-Supervised Learning for Medical Image Classification.

本文引用的文献

1
Lung and colon cancer classification using medical imaging: a feature engineering approach.利用医学影像进行肺癌和结肠癌分类:一种特征工程方法。
Phys Eng Sci Med. 2022 Sep;45(3):729-746. doi: 10.1007/s13246-022-01139-x. Epub 2022 Jun 7.
2
A review on multimodal medical image fusion: Compendious analysis of medical modalities, multimodal databases, fusion techniques and quality metrics.多模态医学图像融合综述:对医学模态、多模态数据库、融合技术和质量指标的简明分析。
Comput Biol Med. 2022 May;144:105253. doi: 10.1016/j.compbiomed.2022.105253. Epub 2022 Feb 3.
3
VGG19 Network Assisted Joint Segmentation and Classification of Lung Nodules in CT Images.
UKSSL:用于医学图像分类的基于基础知识的半监督学习
IEEE Open J Eng Med Biol. 2023 Aug 15;5:459-466. doi: 10.1109/OJEMB.2023.3305190. eCollection 2024.
4
Optimizing double-layered convolutional neural networks for efficient lung cancer classification through hyperparameter optimization and advanced image pre-processing techniques.通过超参数优化和先进的图像预处理技术优化双层卷积神经网络以实现高效的肺癌分类。
BMC Med Inform Decis Mak. 2024 May 27;24(1):142. doi: 10.1186/s12911-024-02553-9.
5
Brain Functional Network Generation Using Distribution-Regularized Adversarial Graph Autoencoder with Transformer for Dementia Diagnosis.基于带Transformer的分布正则化对抗图自动编码器的脑功能网络生成用于痴呆症诊断
Comput Model Eng Sci. 2023 Aug 3;137(3):2129-2147. doi: 10.32604/cmes.2023.028732.
6
DF-dRVFL: A novel deep feature based classifier for breast mass classification.DF-dRVFL:一种用于乳腺肿块分类的新型基于深度特征的分类器。
Multimed Tools Appl. 2024;83(5):14393-14422. doi: 10.1007/s11042-023-15864-2. Epub 2023 Jul 11.
7
Novel Applications of Artificial Intelligence in Cancer Research.人工智能在癌症研究中的新应用。
Technol Cancer Res Treat. 2023 Jan-Dec;22:15330338231195025. doi: 10.1177/15330338231195025.
8
The Differential Diagnostic Value of Radiomics Signatures Between Single-Nodule Pulmonary Metastases and Second Primary Lung Cancer in Patients with Colorectal Cancer.基于影像组学特征鉴别结直肠癌单发肺转移与第二原发肺癌的诊断效能。
Technol Cancer Res Treat. 2023 Jan-Dec;22:15330338231175735. doi: 10.1177/15330338231175735.
VGG19网络辅助CT图像中肺结节的联合分割与分类
Diagnostics (Basel). 2021 Nov 26;11(12):2208. doi: 10.3390/diagnostics11122208.
4
A Computer-Aided Diagnosis System Using Deep Learning for Multiclass Skin Lesion Classification.基于深度学习的多类别皮肤病变分类的计算机辅助诊断系统。
Comput Intell Neurosci. 2021 Dec 6;2021:9619079. doi: 10.1155/2021/9619079. eCollection 2021.
5
Text Data Augmentation for Deep Learning.用于深度学习的文本数据增强
J Big Data. 2021;8(1):101. doi: 10.1186/s40537-021-00492-0. Epub 2021 Jul 19.
6
..
Sensors (Basel). 2021 Jan 22;21(3):748. doi: 10.3390/s21030748.
7
Lungs nodule detection framework from computed tomography images using support vector machine.基于支持向量机的 CT 图像肺部结节检测框架。
Microsc Res Tech. 2019 Aug;82(8):1256-1266. doi: 10.1002/jemt.23275. Epub 2019 Apr 11.
8
Biomedical Text Categorization Based on Ensemble Pruning and Optimized Topic Modelling.基于集成剪枝和优化主题建模的生物医学文本分类
Comput Math Methods Med. 2018 Jul 22;2018:2497471. doi: 10.1155/2018/2497471. eCollection 2018.
9
Machine Learning in Medical Imaging.医学成像中的机器学习
IEEE Signal Process Mag. 2010 Jul;27(4):25-38. doi: 10.1109/MSP.2010.936730.
10
Computer-aided diagnosis in medical imaging: historical review, current status and future potential.医学成像中的计算机辅助诊断:历史回顾、现状与未来潜力
Comput Med Imaging Graph. 2007 Jun-Jul;31(4-5):198-211. doi: 10.1016/j.compmedimag.2007.02.002. Epub 2007 Mar 8.