• 文献检索
  • 文档翻译
  • 深度研究
  • 学术资讯
  • Suppr Zotero 插件Zotero 插件
  • 邀请有礼
  • 套餐&价格
  • 历史记录
应用&插件
Suppr Zotero 插件Zotero 插件浏览器插件Mac 客户端Windows 客户端微信小程序
定价
高级版会员购买积分包购买API积分包
服务
文献检索文档翻译深度研究API 文档MCP 服务
关于我们
关于 Suppr公司介绍联系我们用户协议隐私条款
关注我们

Suppr 超能文献

核心技术专利:CN118964589B侵权必究
粤ICP备2023148730 号-1Suppr @ 2026

文献检索

告别复杂PubMed语法,用中文像聊天一样搜索,搜遍4000万医学文献。AI智能推荐,让科研检索更轻松。

立即免费搜索

文件翻译

保留排版,准确专业,支持PDF/Word/PPT等文件格式,支持 12+语言互译。

免费翻译文档

深度研究

AI帮你快速写综述,25分钟生成高质量综述,智能提取关键信息,辅助科研写作。

立即免费体验

巨大腔静脉患者双侧髂静脉滤器的放置与取出

Placement and retrieval of bilateral iliac vein filters in patients with mega cava.

作者信息

Brahmandam Anand, Grubman Scott, Salem Ronald, Davis Kimberly A, Tonnessen Britt H, Guzman Raul J, Ochoa Chaar Cassius Iyad

机构信息

Division of Vascular Surgery and Endovascular Therapy, Department of Surgery, Yale University School of Medicine, New Haven, CT.

Yale University School of Medicine, New Haven, CT.

出版信息

J Vasc Surg Cases Innov Tech. 2022 Aug 18;8(4):610-615. doi: 10.1016/j.jvscit.2022.08.002. eCollection 2022 Dec.

DOI:10.1016/j.jvscit.2022.08.002
PMID:36248380
原文链接:https://pmc.ncbi.nlm.nih.gov/articles/PMC9556588/
Abstract

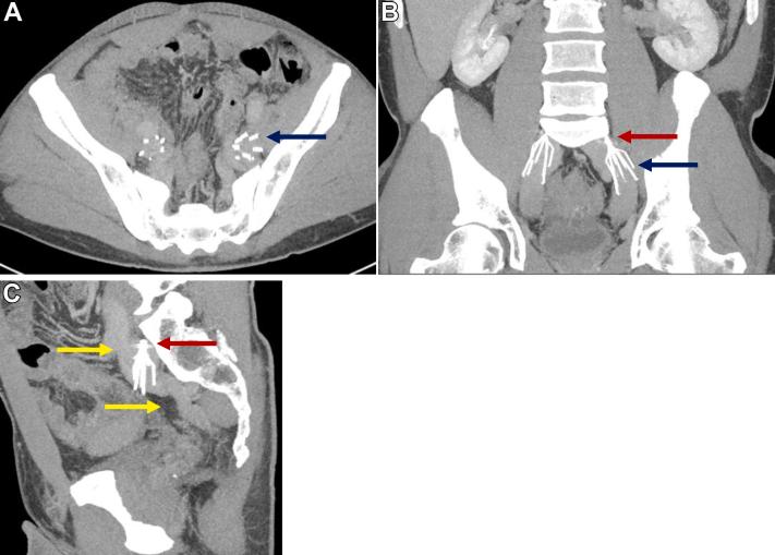
Temporary interruption of the inferior vena cava is the recommended treatment to prevent pulmonary embolism in patients with venous thromboembolism (VTE) and active contraindications for therapeutic anticoagulation. In patients with mega cava (diameter >30 mm), temporary inferior vena cava filters are contraindicated. In the present report, we have described the successful placement and retrieval of bilateral iliac vein filters in two patients with VTE, mega cava, and active contraindications for therapeutic anticoagulation. At the last follow-up, both patients had recovered without recurrent VTE and had had all filters successfully retrieved without complications.

摘要

对于静脉血栓栓塞症(VTE)且存在治疗性抗凝绝对禁忌证的患者,推荐采用下腔静脉临时阻断术预防肺栓塞。对于下腔静脉直径大于30mm的巨腔患者,禁忌使用临时下腔静脉滤器。在本报告中,我们描述了两例VTE、巨腔且存在治疗性抗凝绝对禁忌证的患者成功置入并取出双侧髂静脉滤器的情况。在最后一次随访时,两名患者均康复,无VTE复发,所有滤器均成功取出,无并发症发生。

https://cdn.ncbi.nlm.nih.gov/pmc/blobs/4160/9556588/f99ea8190215/gr3.jpg
https://cdn.ncbi.nlm.nih.gov/pmc/blobs/4160/9556588/89fca7b823f6/gr1.jpg
https://cdn.ncbi.nlm.nih.gov/pmc/blobs/4160/9556588/3054b94eee9f/gr2.jpg
https://cdn.ncbi.nlm.nih.gov/pmc/blobs/4160/9556588/f99ea8190215/gr3.jpg
https://cdn.ncbi.nlm.nih.gov/pmc/blobs/4160/9556588/89fca7b823f6/gr1.jpg
https://cdn.ncbi.nlm.nih.gov/pmc/blobs/4160/9556588/3054b94eee9f/gr2.jpg
https://cdn.ncbi.nlm.nih.gov/pmc/blobs/4160/9556588/f99ea8190215/gr3.jpg

相似文献

1
Placement and retrieval of bilateral iliac vein filters in patients with mega cava.巨大腔静脉患者双侧髂静脉滤器的放置与取出
J Vasc Surg Cases Innov Tech. 2022 Aug 18;8(4):610-615. doi: 10.1016/j.jvscit.2022.08.002. eCollection 2022 Dec.
2
Role of prophylactic temporary inferior vena cava filters placed at the ICU bedside under intravascular ultrasound guidance in patients with multiple trauma.在血管内超声引导下于重症监护病房床边放置预防性临时下腔静脉滤器在多发伤患者中的作用。
J Vasc Surg. 2004 Nov;40(5):958-64. doi: 10.1016/j.jvs.2004.07.048.
3
Phlegmasia complicating prophylactic percutaneous inferior vena caval interruption: a word of caution.并发预防性经皮腔静脉中断术的血栓形成:需谨慎对待
J Vasc Surg. 1995 Nov;22(5):606-11. doi: 10.1016/s0741-5214(95)70047-1.
4
Venous thromboembolism after retrieval of inferior vena cava filters.下腔静脉滤器取出术后的静脉血栓栓塞
J Vasc Interv Radiol. 2008 Apr;19(4):504-508. doi: 10.1016/j.jvir.2007.11.016.
5
Retrieval of Bard Simon Nitinol inferior vena cava filters: Approaches, technical successes, complications, and clinical outcomes.检索 Bard Simon Nitinol 下腔静脉滤器:方法、技术成功率、并发症和临床结果。
Phlebology. 2021 Aug;36(7):555-561. doi: 10.1177/0268355520925986. Epub 2021 Jan 26.
6
Effect of a retrievable inferior vena cava filter plus anticoagulation vs anticoagulation alone on risk of recurrent pulmonary embolism: a randomized clinical trial.可回收下腔静脉滤器联合抗凝与单纯抗凝对复发性肺栓塞风险的影响:一项随机临床试验。
JAMA. 2015 Apr 28;313(16):1627-35. doi: 10.1001/jama.2015.3780.
7
Inferior vena cava filter usage, complications, and retrieval rate in cancer patients.下腔静脉滤器在癌症患者中的使用、并发症和取出率。
Am J Med. 2014 Nov;127(11):1111-1117. doi: 10.1016/j.amjmed.2014.06.025. Epub 2014 Jul 2.
8
Indications, complications and outcomes of inferior vena cava filters: A retrospective study.下腔静脉滤器的适应证、并发症和结果:一项回顾性研究。
Thromb Res. 2017 May;153:123-128. doi: 10.1016/j.thromres.2017.02.013. Epub 2017 Feb 20.
9
Clinical experience with temporary vena cava filters.
Vasc Surg. 2001 Jul-Aug;35(4):285-90; discussion 290-1. doi: 10.1177/153857440103500407.
10
Retrievable inferior vena cava filters: initial clinical results.可回收下腔静脉滤器:初步临床结果
Ann Vasc Surg. 2006 Jan;20(1):157-65. doi: 10.1007/s10016-005-9390-z.

本文引用的文献

1
The wire loop technique for IVC filter removal.用于取出下腔静脉滤器的钢丝圈技术。
J Vasc Surg Cases Innov Tech. 2021 May 20;7(3):369-370. doi: 10.1016/j.jvscit.2021.04.017. eCollection 2021 Sep.
2
Urinary excretion after transcaval renal penetration of a fragmented Bird's Nest filter.经腔静脉途径穿透的 Bird's Nest 滤器碎片的尿排出。
J Vasc Surg Venous Lymphat Disord. 2021 Jan;9(1):254-257. doi: 10.1016/j.jvsv.2020.03.014. Epub 2020 Apr 16.
3
Costs and complications of endovascular inferior vena cava filter retrieval.
血管内下腔静脉滤器取出的费用和并发症。
J Vasc Surg Venous Lymphat Disord. 2019 Sep;7(5):653-659.e1. doi: 10.1016/j.jvsv.2019.02.017. Epub 2019 Jul 12.
4
Complications of inferior vena cava filters.下腔静脉滤器的并发症。
Cardiovasc Diagn Ther. 2016 Dec;6(6):632-641. doi: 10.21037/cdt.2016.09.08.
5
Antithrombotic Therapy for VTE Disease: CHEST Guideline and Expert Panel Report.抗栓治疗 VTE 疾病:CHEST 指南和专家小组报告。
Chest. 2016 Feb;149(2):315-352. doi: 10.1016/j.chest.2015.11.026. Epub 2016 Jan 7.
6
The hangman technique: a modified loop snare technique for the retrieval of inferior vena cava filters with embedded hooks.刽子手技术:一种改良的圈套器技术,用于取出带有嵌入钩的下腔静脉滤器。
J Vasc Interv Radiol. 2015 Jan;26(1):107-10. doi: 10.1016/j.jvir.2014.04.002.
7
Inferior vena cava filter retrieval: effectiveness and complications of routine and advanced techniques.下腔静脉滤器取出术:常规及先进技术的有效性与并发症
J Vasc Interv Radiol. 2014 Jun;25(6):933-9; quiz 940. doi: 10.1016/j.jvir.2014.01.019. Epub 2014 Mar 13.
8
Use of retrievable filters in alternative common iliac vein location in high-risk surgical patients.在高危手术患者中,使用可回收滤器在替代的常见髂静脉位置。
J Vasc Interv Radiol. 2011 Mar;22(3):325-9. doi: 10.1016/j.jvir.2010.09.033. Epub 2011 Feb 1.
9
Eight-year follow-up of patients with permanent vena cava filters in the prevention of pulmonary embolism: the PREPIC (Prevention du Risque d'Embolie Pulmonaire par Interruption Cave) randomized study.永久性腔静脉滤器预防肺栓塞患者的八年随访:PREPIC(通过腔静脉中断预防肺栓塞风险)随机研究
Circulation. 2005 Jul 19;112(3):416-22. doi: 10.1161/CIRCULATIONAHA.104.512834. Epub 2005 Jul 11.
10
Bird's nest filter migration to the right atrium.鸟巢过滤器迁移至右心房。
AJR Am J Roentgenol. 2004 Oct;183(4):1037-9. doi: 10.2214/ajr.183.4.1831037.