Molecular Neurobiology Group, Institute of Physiological Chemistry, Philipps-University of Marburg, 35032, Marburg, Germany.
Center for Mind, Brain and Behavior (CMBB), University of Marburg and Justus-Liebig-University Giessen, 35032, Marburg, Germany.
Cell Mol Life Sci. 2022 Oct 20;79(11):558. doi: 10.1007/s00018-022-04593-8.
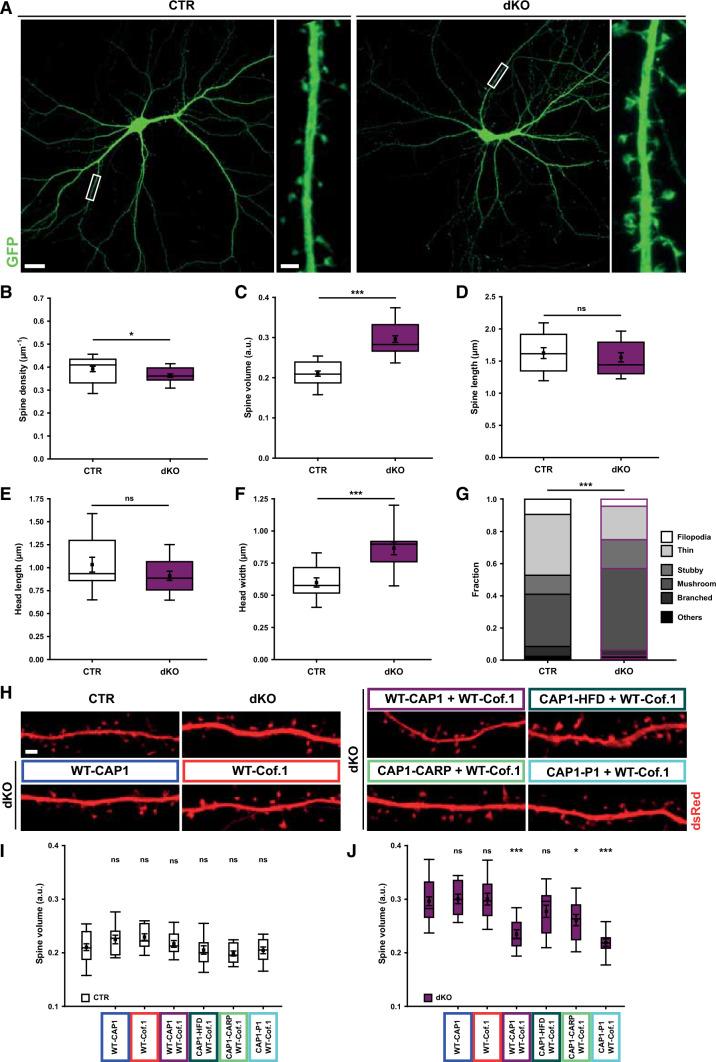
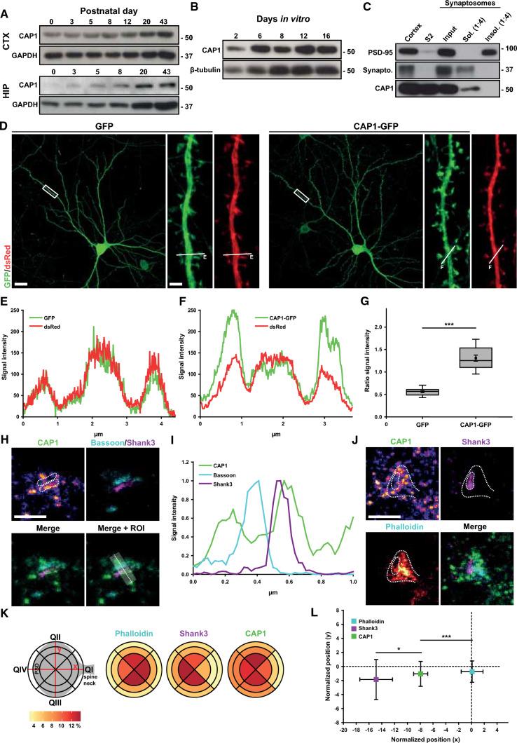
The vast majority of excitatory synapses are formed on small dendritic protrusions termed dendritic spines. Dendritic spines vary in size and density that are crucial determinants of excitatory synaptic transmission. Aberrations in spine morphogenesis can compromise brain function and have been associated with neuropsychiatric disorders. Actin filaments (F-actin) are the major structural component of dendritic spines, and therefore, actin-binding proteins (ABP) that control F-actin dis-/assembly moved into the focus as critical regulators of brain function. Studies of the past decade identified the ABP cofilin1 as a key regulator of spine morphology, synaptic transmission, and behavior, and they emphasized the necessity for a tight control of cofilin1 to ensure proper brain function. Here, we report spine enrichment of cyclase-associated protein 1 (CAP1), a conserved multidomain protein with largely unknown physiological functions. Super-resolution microscopy and live cell imaging of CAP1-deficient hippocampal neurons revealed impaired synaptic F-actin organization and dynamics associated with alterations in spine morphology. Mechanistically, we found that CAP1 cooperates with cofilin1 in spines and that its helical folded domain is relevant for this interaction. Moreover, our data proved functional interdependence of CAP1 and cofilin1 in control of spine morphology. In summary, we identified CAP1 as a novel regulator of the postsynaptic actin cytoskeleton that is essential for synaptic cofilin1 activity.
绝大多数兴奋性突触都形成在称为树突棘的小型树突突起上。树突棘的大小和密度差异很大,是兴奋性突触传递的关键决定因素。棘突形态发生的异常会损害大脑功能,并与神经精神疾病有关。肌动蛋白丝(F-actin)是树突棘的主要结构成分,因此,控制 F-actin 解聚/组装的肌动蛋白结合蛋白(ABP)作为大脑功能的关键调节剂成为焦点。过去十年的研究确定了 ABP 丝切蛋白 1(cofilin1)是棘突形态、突触传递和行为的关键调节剂,并强调了对 cofilin1 进行严格控制以确保大脑功能正常的必要性。在这里,我们报告了环化酶相关蛋白 1(CAP1)在树突棘中的富集,CAP1 是一种保守的多结构域蛋白,其生理功能尚不清楚。CAP1 缺陷型海马神经元的超分辨率显微镜和活细胞成像显示,与棘突形态改变相关的突触 F-actin 组织和动力学受损。从机制上讲,我们发现 CAP1 在棘突中与 cofilin1 合作,其螺旋折叠结构域与这种相互作用有关。此外,我们的数据证明了 CAP1 和 cofilin1 在控制棘突形态方面的功能相互依赖。总之,我们确定 CAP1 是一种新的突触后肌动蛋白细胞骨架调节剂,对突触 cofilin1 活性至关重要。