• 文献检索
  • 文档翻译
  • 深度研究
  • 学术资讯
  • Suppr Zotero 插件Zotero 插件
  • 邀请有礼
  • 套餐&价格
  • 历史记录
应用&插件
Suppr Zotero 插件Zotero 插件浏览器插件Mac 客户端Windows 客户端微信小程序
定价
高级版会员购买积分包购买API积分包
服务
文献检索文档翻译深度研究API 文档MCP 服务
关于我们
关于 Suppr公司介绍联系我们用户协议隐私条款
关注我们

Suppr 超能文献

核心技术专利:CN118964589B侵权必究
粤ICP备2023148730 号-1Suppr @ 2026

文献检索

告别复杂PubMed语法,用中文像聊天一样搜索,搜遍4000万医学文献。AI智能推荐,让科研检索更轻松。

立即免费搜索

文件翻译

保留排版,准确专业,支持PDF/Word/PPT等文件格式,支持 12+语言互译。

免费翻译文档

深度研究

AI帮你快速写综述,25分钟生成高质量综述,智能提取关键信息,辅助科研写作。

立即免费体验

深度学习人工智能技术在临床正畸照片分类中的应用。

Application of deep learning artificial intelligence technique to the classification of clinical orthodontic photos.

机构信息

Department of Orthodontics, School of Dentistry, Dental Research Institute, Seoul National University, 101 Daehakro, Jongro-gu, 03080, Seoul, Korea.

Department of Orthodontics, Korea University Guro Hospital, 148 Gurodong-ro, Guro-gu, 08308, Seoul, Korea.

出版信息

BMC Oral Health. 2022 Oct 25;22(1):454. doi: 10.1186/s12903-022-02466-x.

DOI:10.1186/s12903-022-02466-x
PMID:36284294
原文链接:https://pmc.ncbi.nlm.nih.gov/articles/PMC9597951/
Abstract

BACKGROUND

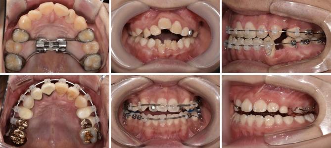
Taking facial and intraoral clinical photos is one of the essential parts of orthodontic diagnosis and treatment planning. Among the diagnostic procedures, classification of the shuffled clinical photos with their orientations will be the initial step while it was not easy for a machine to classify photos with a variety of facial and dental situations. This article presents a convolutional neural networks (CNNs) deep learning technique to classify orthodontic clinical photos according to their orientations.

METHODS

To build an automated classification system, CNNs models of facial and intraoral categories were constructed, and the clinical photos that are routinely taken for orthodontic diagnosis were used to train the models with data augmentation. Prediction procedures were evaluated with separate photos whose purpose was only for prediction.

RESULTS

Overall, a 98.0% valid prediction rate resulted for both facial and intraoral photo classification. The highest prediction rate was 100% for facial lateral profile, intraoral upper, and lower photos.

CONCLUSION

An artificial intelligence system that utilizes deep learning with proper training models can successfully classify orthodontic facial and intraoral photos automatically. This technique can be used for the first step of a fully automated orthodontic diagnostic system in the future.

摘要

背景

拍摄面部和口腔临床照片是正畸诊断和治疗计划的基本组成部分之一。在诊断程序中,对杂乱无章的临床照片进行分类并确定其方向是初始步骤,但对于机器来说,对具有各种面部和牙齿情况的照片进行分类并不容易。本文提出了一种卷积神经网络(CNN)深度学习技术,根据其方向对正畸临床照片进行分类。

方法

为了构建自动分类系统,构建了面部和口腔类别的 CNN 模型,并使用数据增强对常规用于正畸诊断的临床照片进行训练。预测过程是使用仅用于预测的单独照片进行评估的。

结果

总体而言,面部和口腔照片分类的有效预测率达到了 98.0%。面部侧位、口腔上、下照片的预测率最高,达到了 100%。

结论

利用深度学习和适当的训练模型的人工智能系统可以成功地自动对正畸面部和口腔照片进行分类。这项技术可用于未来全自动正畸诊断系统的第一步。

https://cdn.ncbi.nlm.nih.gov/pmc/blobs/b95b/9597951/3a080b5589f5/12903_2022_2466_Fig4_HTML.jpg
https://cdn.ncbi.nlm.nih.gov/pmc/blobs/b95b/9597951/57917df41883/12903_2022_2466_Fig1_HTML.jpg
https://cdn.ncbi.nlm.nih.gov/pmc/blobs/b95b/9597951/59e5827bb553/12903_2022_2466_Fig2_HTML.jpg
https://cdn.ncbi.nlm.nih.gov/pmc/blobs/b95b/9597951/f731adeb409a/12903_2022_2466_Fig3_HTML.jpg
https://cdn.ncbi.nlm.nih.gov/pmc/blobs/b95b/9597951/3a080b5589f5/12903_2022_2466_Fig4_HTML.jpg
https://cdn.ncbi.nlm.nih.gov/pmc/blobs/b95b/9597951/57917df41883/12903_2022_2466_Fig1_HTML.jpg
https://cdn.ncbi.nlm.nih.gov/pmc/blobs/b95b/9597951/59e5827bb553/12903_2022_2466_Fig2_HTML.jpg
https://cdn.ncbi.nlm.nih.gov/pmc/blobs/b95b/9597951/f731adeb409a/12903_2022_2466_Fig3_HTML.jpg
https://cdn.ncbi.nlm.nih.gov/pmc/blobs/b95b/9597951/3a080b5589f5/12903_2022_2466_Fig4_HTML.jpg

相似文献

1
Application of deep learning artificial intelligence technique to the classification of clinical orthodontic photos.深度学习人工智能技术在临床正畸照片分类中的应用。
BMC Oral Health. 2022 Oct 25;22(1):454. doi: 10.1186/s12903-022-02466-x.
2
Comparison of deep learning models to detect crossbites on 2D intraoral photographs.比较深度学习模型在二维口内照片上检测交叉咬合的能力。
Head Face Med. 2024 Sep 2;20(1):45. doi: 10.1186/s13005-024-00448-8.
3
[Research on multi-class orthodontic image recognition system based on deep learning network model].基于深度学习网络模型的多类别正畸图像识别系统研究
Zhonghua Kou Qiang Yi Xue Za Zhi. 2023 Jun 9;58(6):561-568. doi: 10.3760/cma.j.cn112144-20230305-00070.
4
Automated detection of posterior restorations in permanent teeth using artificial intelligence on intraoral photographs.人工智能在口腔内照片上自动检测恒牙的后牙修复体。
J Dent. 2022 Jun;121:104124. doi: 10.1016/j.jdent.2022.104124. Epub 2022 Apr 5.
5
Artificial Intelligence for Classifying and Archiving Orthodontic Images.人工智能在正畸图像分类与归档中的应用。
Biomed Res Int. 2022 Jan 27;2022:1473977. doi: 10.1155/2022/1473977. eCollection 2022.
6
Understanding deep learning - challenges and prospects.理解深度学习——挑战与展望。
J Pak Med Assoc. 2022 Feb;72(Suppl 1)(2):S59-S63. doi: 10.47391/JPMA.AKU-12.
7
Hyperparameter Tuning and Automatic Image Augmentation for Deep Learning-Based Angle Classification on Intraoral Photographs-A Retrospective Study.基于深度学习的口腔内照片角度分类的超参数调整与自动图像增强——一项回顾性研究
Diagnostics (Basel). 2022 Jun 23;12(7):1526. doi: 10.3390/diagnostics12071526.
8
Artificial Intelligence in Orthodontics: Critical Review.人工智能在口腔正畸学中的应用:批判性综述。
J Dent Res. 2024 Jun;103(6):577-584. doi: 10.1177/00220345241235606. Epub 2024 Apr 29.
9
Deep learning-based dental plaque detection on primary teeth: a comparison with clinical assessments.基于深度学习的乳牙菌斑检测:与临床评估的比较。
BMC Oral Health. 2020 May 13;20(1):141. doi: 10.1186/s12903-020-01114-6.
10
AI-based dental caries and tooth number detection in intraoral photos: Model development and performance evaluation.基于人工智能的口腔内照片龋病和牙齿数检测:模型开发与性能评估。
J Dent. 2024 Feb;141:104821. doi: 10.1016/j.jdent.2023.104821. Epub 2023 Dec 24.

引用本文的文献

1
AI-driven dynamic orthodontic treatment management: personalized progress tracking and adjustments-a narrative review.人工智能驱动的动态正畸治疗管理:个性化进展跟踪与调整——一篇叙述性综述
Front Dent Med. 2025 Aug 1;6:1612441. doi: 10.3389/fdmed.2025.1612441. eCollection 2025.
2
Integration of artificial intelligence in orthodontic imaging: A bibliometric analysis of research trends and applications.人工智能在正畸影像学中的整合:研究趋势与应用的文献计量分析
Imaging Sci Dent. 2025 Jun;55(2):151-164. doi: 10.5624/isd.20240237. Epub 2025 Apr 10.
3
Classification of Intraoral Photographs with Deep Learning Algorithms Trained According to Cephalometric Measurements.

本文引用的文献

1
Asymmetry between right and left optical coherence tomography images identified using convolutional neural networks.使用卷积神经网络识别左右光学相干断层扫描图像之间的不对称性。
Sci Rep. 2022 Jun 15;12(1):9925. doi: 10.1038/s41598-022-14140-x.
2
Artificial Intelligence for Classifying and Archiving Orthodontic Images.人工智能在正畸图像分类与归档中的应用。
Biomed Res Int. 2022 Jan 27;2022:1473977. doi: 10.1155/2022/1473977. eCollection 2022.
3
Deep learning-based dental plaque detection on primary teeth: a comparison with clinical assessments.
基于头影测量值训练的深度学习算法对口腔内照片进行分类
Diagnostics (Basel). 2025 Apr 22;15(9):1059. doi: 10.3390/diagnostics15091059.
4
AI driven monitoring of orthodontic tooth movement using automated image analysis.利用自动图像分析技术,通过人工智能驱动对正畸牙齿移动进行监测。
Bioinformation. 2025 Feb 28;21(2):173-176. doi: 10.6026/973206300210173. eCollection 2025.
5
Clinical Photography in Orthodontic Practice: Insights from a Nationwide Survey in Spain.正畸临床实践中的临床摄影:来自西班牙全国性调查的见解。
J Clin Med. 2025 Mar 14;14(6):1984. doi: 10.3390/jcm14061984.
6
A Deep Learning Framework for Automated Classification and Archiving of Orthodontic Diagnostic Documents.一种用于正畸诊断文档自动分类和存档的深度学习框架。
Cureus. 2024 Dec 28;16(12):e76530. doi: 10.7759/cureus.76530. eCollection 2024 Dec.
7
Profile Photograph Classification Performance of Deep Learning Algorithms Trained Using Cephalometric Measurements: A Preliminary Study.使用头影测量法训练的深度学习算法的侧面照片分类性能:一项初步研究。
Diagnostics (Basel). 2024 Aug 30;14(17):1916. doi: 10.3390/diagnostics14171916.
8
Clinical audit of an artificial intelligence (AI) empowered smile simulation system: a prospective clinical trial.人工智能(AI)赋能的微笑模拟系统的临床审计:一项前瞻性临床试验。
Sci Rep. 2024 Aug 21;14(1):19385. doi: 10.1038/s41598-024-69314-6.
9
The Future of Orthodontics: Deep Learning Technologies.正畸学的未来:深度学习技术
Cureus. 2024 Jun 10;16(6):e62045. doi: 10.7759/cureus.62045. eCollection 2024 Jun.
10
Establishment of a 3D esthetic analysis workflow on 3D virtual patient and preliminary evaluation.建立基于 3D 虚拟患者的 3D 美学分析工作流程及初步评估。
BMC Oral Health. 2024 Mar 13;24(1):328. doi: 10.1186/s12903-024-04085-0.
基于深度学习的乳牙菌斑检测:与临床评估的比较。
BMC Oral Health. 2020 May 13;20(1):141. doi: 10.1186/s12903-020-01114-6.
4
A Metal Artifact Reduction Method Using a Fully Convolutional Network in the Sinogram and Image Domains for Dental Computed Tomography.基于正弦图和图像域全卷积网络的牙科计算机断层扫描金属伪影减少方法。
J Digit Imaging. 2020 Apr;33(2):538-546. doi: 10.1007/s10278-019-00297-x.
5
Convolutional neural networks for dental image diagnostics: A scoping review.卷积神经网络在口腔医学影像诊断中的应用:范围综述。
J Dent. 2019 Dec;91:103226. doi: 10.1016/j.jdent.2019.103226. Epub 2019 Nov 5.
6
Automated identification of cephalometric landmarks:自动识别头影测量标志点:
Angle Orthod. 2020 Jan;90(1):69-76. doi: 10.2319/022019-129.1. Epub 2019 Jul 22.
7
Automated identification of cephalometric landmarks: .自动识别头影测量标志点:.
Angle Orthod. 2019 Nov;89(6):903-909. doi: 10.2319/022019-127.1. Epub 2019 Jul 8.
8
Artificial Intelligent Model With Neural Network Machine Learning for the Diagnosis of Orthognathic Surgery.用于正颌外科诊断的具有神经网络机器学习的人工智能模型
J Craniofac Surg. 2019 Oct;30(7):1986-1989. doi: 10.1097/SCS.0000000000005650.
9
An overview of deep learning in the field of dentistry.牙科领域深度学习概述。
Imaging Sci Dent. 2019 Mar;49(1):1-7. doi: 10.5624/isd.2019.49.1.1. Epub 2019 Mar 25.
10
Detection and diagnosis of dental caries using a deep learning-based convolutional neural network algorithm.基于深度学习的卷积神经网络算法在龋齿检测和诊断中的应用。
J Dent. 2018 Oct;77:106-111. doi: 10.1016/j.jdent.2018.07.015. Epub 2018 Jul 26.