• 文献检索
  • 文档翻译
  • 深度研究
  • 学术资讯
  • Suppr Zotero 插件Zotero 插件
  • 邀请有礼
  • 套餐&价格
  • 历史记录
应用&插件
Suppr Zotero 插件Zotero 插件浏览器插件Mac 客户端Windows 客户端微信小程序
定价
高级版会员购买积分包购买API积分包
服务
文献检索文档翻译深度研究API 文档MCP 服务
关于我们
关于 Suppr公司介绍联系我们用户协议隐私条款
关注我们

Suppr 超能文献

核心技术专利:CN118964589B侵权必究
粤ICP备2023148730 号-1Suppr @ 2026

文献检索

告别复杂PubMed语法,用中文像聊天一样搜索,搜遍4000万医学文献。AI智能推荐,让科研检索更轻松。

立即免费搜索

文件翻译

保留排版,准确专业,支持PDF/Word/PPT等文件格式,支持 12+语言互译。

免费翻译文档

深度研究

AI帮你快速写综述,25分钟生成高质量综述,智能提取关键信息,辅助科研写作。

立即免费体验

一种基于铁死亡相关长链非编码RNA的新型黑色素瘤预后模型。

A novel melanoma prognostic model based on the ferroptosis-related long non-coding RNA.

作者信息

Rao Yamin, Zhu Jinchao, Zheng Haiyan, Dong Wei, Lin Qingyuan

机构信息

Department of Pathology, Shanghai Ninth People's Hospital, Shanghai Jiao Tong University School of Medicine, Shanghai, China.

Department of Pathology, Eastern Hepatobilliary Surgery Hospital, The Second Military Medical University, Shanghai, China.

出版信息

Front Oncol. 2022 Oct 12;12:929960. doi: 10.3389/fonc.2022.929960. eCollection 2022.

DOI:10.3389/fonc.2022.929960
PMID:36313708
原文链接:https://pmc.ncbi.nlm.nih.gov/articles/PMC9598429/
Abstract

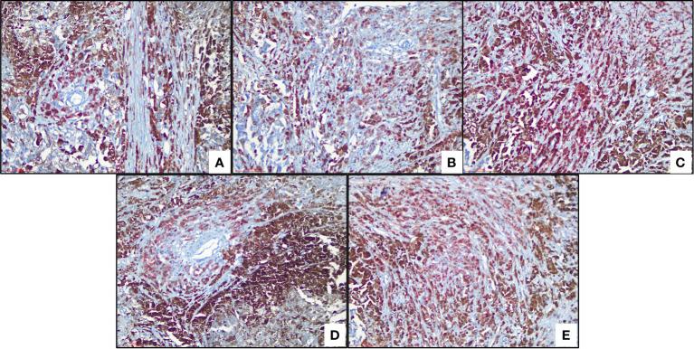
Ferroptosis is an iron-dependent programmed cell death related to the biological process of many kinds of tumors. Long noncoding RNAs ( have been found to play essential roles in the tumor, and their functions in the ferroptosis of tumor cells have been partially discovered. However, there is no summary of ferroptosis-related and its functions in melanoma. In the present study, we aim to explore the expression profile of ferroptosis-related genes and their value in melanoma prognosis by bioinformatics analysis. The expression of ferroptosis-related gene () from melanoma clinical data was extracted based on the Cancer Genome Atlas () database. By screening the expression data of 472 cases of melanoma and 810 cases of normal skin, eighteen ferroptosis-related differential genes were found to be related to the overall survival rate. Furthermore, 384 ferroptosis-related were discovered through constructing the co-expression network, and ten of them were found with prognostic significance in melanoma by multivariate Cox analysis. Risk assessment showed that the high expression of is associated with poor prognosis, while the increased expression of the other LncRNA is beneficial to the prognosis of patients with melanoma. From univariate and multivariate Cox regression analysis, there were ten ferroptosis-related LncRNA risk models towards to be significant independent prognostic factors for patients with melanoma and valuable predictive factors for overall survival ()(P<0.05). The curve further suggested that the risk score has relatively reliable predictive ability (=0.718). The protein level of ferroptosis-related genes was verified by the database and test, leading to the discovery that the expressions of , , , and proteins up-regulated in tumor tissues, and existed differences between tumor tissues and normal tissues. In conclusion, we identified ten ferroptosis-related and constructed a prognosis model base.

摘要

铁死亡是一种与多种肿瘤生物学过程相关的铁依赖性程序性细胞死亡。长链非编码RNA(lncRNAs)已被发现在肿瘤中发挥重要作用,并且它们在肿瘤细胞铁死亡中的功能已被部分发现。然而,目前尚无关于黑色素瘤中铁死亡相关lncRNAs及其功能的总结。在本研究中,我们旨在通过生物信息学分析探索铁死亡相关基因的表达谱及其在黑色素瘤预后中的价值。基于癌症基因组图谱(TCGA)数据库提取黑色素瘤临床数据中铁死亡相关基因(lncRNAs)的表达。通过筛选472例黑色素瘤和810例正常皮肤的lncRNAs表达数据,发现18个铁死亡相关差异基因与总生存率相关。此外,通过构建lncRNA共表达网络发现了384个铁死亡相关lncRNAs,其中10个通过多变量Cox分析在黑色素瘤中具有预后意义。风险评估显示,某lncRNA的高表达与预后不良相关,而其他lncRNA的表达增加有利于黑色素瘤患者的预后。单变量和多变量Cox回归分析显示,有10个铁死亡相关lncRNA风险模型对黑色素瘤患者是显著的独立预后因素和总生存(OS)的有价值预测因素(P<0.05)。生存曲线进一步表明风险评分具有相对可靠的预测能力(AUC=0.718)。通过蛋白质图谱数据库和免疫组化检测验证了铁死亡相关基因的蛋白水平,发现某几个蛋白在肿瘤组织中的表达上调,且肿瘤组织与正常组织之间存在差异。总之,我们鉴定了10个铁死亡相关lncRNAs并构建了一个预后模型库。

https://cdn.ncbi.nlm.nih.gov/pmc/blobs/de04/9598429/f0960ffe063f/fonc-12-929960-g008.jpg
https://cdn.ncbi.nlm.nih.gov/pmc/blobs/de04/9598429/9f02fc806fe9/fonc-12-929960-g001.jpg
https://cdn.ncbi.nlm.nih.gov/pmc/blobs/de04/9598429/b44af54daa38/fonc-12-929960-g002.jpg
https://cdn.ncbi.nlm.nih.gov/pmc/blobs/de04/9598429/a57ecc5b6e84/fonc-12-929960-g003.jpg
https://cdn.ncbi.nlm.nih.gov/pmc/blobs/de04/9598429/b5e8475633fc/fonc-12-929960-g004.jpg
https://cdn.ncbi.nlm.nih.gov/pmc/blobs/de04/9598429/c3d03a8b1935/fonc-12-929960-g005.jpg
https://cdn.ncbi.nlm.nih.gov/pmc/blobs/de04/9598429/f0eabee65089/fonc-12-929960-g006.jpg
https://cdn.ncbi.nlm.nih.gov/pmc/blobs/de04/9598429/007370a54a52/fonc-12-929960-g007.jpg
https://cdn.ncbi.nlm.nih.gov/pmc/blobs/de04/9598429/f0960ffe063f/fonc-12-929960-g008.jpg
https://cdn.ncbi.nlm.nih.gov/pmc/blobs/de04/9598429/9f02fc806fe9/fonc-12-929960-g001.jpg
https://cdn.ncbi.nlm.nih.gov/pmc/blobs/de04/9598429/b44af54daa38/fonc-12-929960-g002.jpg
https://cdn.ncbi.nlm.nih.gov/pmc/blobs/de04/9598429/a57ecc5b6e84/fonc-12-929960-g003.jpg
https://cdn.ncbi.nlm.nih.gov/pmc/blobs/de04/9598429/b5e8475633fc/fonc-12-929960-g004.jpg
https://cdn.ncbi.nlm.nih.gov/pmc/blobs/de04/9598429/c3d03a8b1935/fonc-12-929960-g005.jpg
https://cdn.ncbi.nlm.nih.gov/pmc/blobs/de04/9598429/f0eabee65089/fonc-12-929960-g006.jpg
https://cdn.ncbi.nlm.nih.gov/pmc/blobs/de04/9598429/007370a54a52/fonc-12-929960-g007.jpg
https://cdn.ncbi.nlm.nih.gov/pmc/blobs/de04/9598429/f0960ffe063f/fonc-12-929960-g008.jpg

相似文献

1
A novel melanoma prognostic model based on the ferroptosis-related long non-coding RNA.一种基于铁死亡相关长链非编码RNA的新型黑色素瘤预后模型。
Front Oncol. 2022 Oct 12;12:929960. doi: 10.3389/fonc.2022.929960. eCollection 2022.
2
Construction on of a Ferroptosis-Related lncRNA-Based Model to Improve the Prognostic Evaluation of Gastric Cancer Patients Based on Bioinformatics.基于生物信息学构建铁死亡相关lncRNA模型以改善胃癌患者的预后评估
Front Genet. 2021 Aug 23;12:739470. doi: 10.3389/fgene.2021.739470. eCollection 2021.
3
Bioinformatics analysis based on ferroptosis-related lncRNAs: construction of a clinical prognostic model for nasopharyngeal carcinoma and correlation analysis.基于铁死亡相关长链非编码RNA的生物信息学分析:鼻咽癌临床预后模型的构建及相关性分析
Transl Cancer Res. 2022 Jun;11(6):1665-1677. doi: 10.21037/tcr-22-1196.
4
Development and Validation of a Novel Ferroptosis-Related LncRNA Signature for Predicting Prognosis and the Immune Landscape Features in Uveal Melanoma.新型铁死亡相关长链非编码 RNA 标志物的构建及其在葡萄膜黑色素瘤预后预测和免疫景观特征分析中的价值
Front Immunol. 2022 Jun 14;13:922315. doi: 10.3389/fimmu.2022.922315. eCollection 2022.
5
A Novel Ferroptosis-Related lncRNA Prognostic Model and Immune Infiltration Features in Skin Cutaneous Melanoma.一种新型的与铁死亡相关的lncRNA预后模型及皮肤黑色素瘤的免疫浸润特征
Front Cell Dev Biol. 2022 Feb 3;9:790047. doi: 10.3389/fcell.2021.790047. eCollection 2021.
6
Construction of a ferroptosis-related five-lncRNA signature for predicting prognosis and immune response in thyroid carcinoma.构建用于预测甲状腺癌预后和免疫反应的铁死亡相关五lncRNA特征
Cancer Cell Int. 2022 Sep 29;22(1):296. doi: 10.1186/s12935-022-02674-z.
7
A novel ferroptosis-related lncRNA signature for prognosis prediction in gastric cancer.一个新型铁死亡相关 lncRNA 标志物用于胃癌预后预测。
BMC Cancer. 2021 Nov 13;21(1):1221. doi: 10.1186/s12885-021-08975-2.
8
Identification of seven novel ferroptosis-related long non-coding RNA signatures as a diagnostic biomarker for acute myeloid leukemia.鉴定七个新型铁死亡相关长非编码 RNA 特征作为急性髓系白血病的诊断生物标志物。
BMC Med Genomics. 2021 Sep 27;14(1):236. doi: 10.1186/s12920-021-01085-9.
9
A Novel lncRNA Panel Related to Ferroptosis, Tumor Progression, and Microenvironment is a Robust Prognostic Indicator for Glioma Patients.一种与铁死亡、肿瘤进展和微环境相关的新型长链非编码RNA标志物是胶质瘤患者强有力的预后指标。
Front Cell Dev Biol. 2021 Dec 7;9:788451. doi: 10.3389/fcell.2021.788451. eCollection 2021.
10
Identification and validation of ferroptosis-related lncRNA signature as a prognostic model for skin cutaneous melanoma.鉴定和验证铁死亡相关 lncRNA 特征作为皮肤黑色素瘤的预后模型。
Front Immunol. 2022 Sep 29;13:985051. doi: 10.3389/fimmu.2022.985051. eCollection 2022.

引用本文的文献

1
The role of non-coding RNAs in the regulation of cell death pathways in melanoma.非编码RNA在黑色素瘤细胞死亡途径调控中的作用
Discov Oncol. 2025 Jun 11;16(1):1063. doi: 10.1007/s12672-025-02888-3.
2
SpaCcLink: exploring downstream signaling regulations with graph attention network for systematic inference of spatial cell-cell communication.SpaCcLink:利用图注意力网络探索下游信号调控,以进行空间细胞间通信的系统推断。
BMC Biol. 2025 Feb 12;23(1):44. doi: 10.1186/s12915-025-02141-x.
3
Targeting HNRNPA2B1 to overcome chemotherapy resistance in gastric cancer stem cells: Mechanisms and therapeutic potential.

本文引用的文献

1
Emerging role of lncRNAs in drug resistance mechanisms in head and neck squamous cell carcinoma.长链非编码RNA在头颈部鳞状细胞癌耐药机制中的新作用
Front Oncol. 2022 Aug 1;12:965628. doi: 10.3389/fonc.2022.965628. eCollection 2022.
2
N1-Methyladenosine-Related lncRNAs Are Potential Biomarkers for Predicting Prognosis and Immune Response in Uterine Corpus Endometrial Carcinoma.N1-甲基腺苷相关长非编码 RNA 是预测子宫体子宫内膜癌预后和免疫反应的潜在生物标志物。
Oxid Med Cell Longev. 2022 Jul 31;2022:2754836. doi: 10.1155/2022/2754836. eCollection 2022.
3
LncRNA in tumorigenesis of non-small-cell lung cancer: From bench to bedside.
靶向HNRNPA2B1克服胃癌干细胞的化疗耐药性:机制与治疗潜力
J Biol Chem. 2025 Apr;301(4):108234. doi: 10.1016/j.jbc.2025.108234. Epub 2025 Jan 25.
4
Melanoma biology and treatment: a review of novel regulated cell death-based approaches.黑色素瘤生物学与治疗:基于新型程序性细胞死亡方法的综述
Cancer Cell Int. 2024 Feb 9;24(1):63. doi: 10.1186/s12935-024-03220-9.
5
Regulatory miRNAs and lncRNAs in Skin Cancer: A Narrative Review.皮肤癌中的调控性微小RNA和长链非编码RNA:一项叙述性综述
Life (Basel). 2023 Aug 6;13(8):1696. doi: 10.3390/life13081696.
长链非编码RNA在非小细胞肺癌肿瘤发生中的作用:从实验台到临床应用
Cell Death Discov. 2022 Aug 13;8(1):359. doi: 10.1038/s41420-022-01157-4.
4
Genetic and Genomic Pathways of Melanoma Development, Invasion and Metastasis.黑色素瘤发生、侵袭和转移的遗传及基因组通路
Genes (Basel). 2021 Sep 28;12(10):1543. doi: 10.3390/genes12101543.
5
A Novel Defined Risk Signature of the Ferroptosis-Related Genes for Predicting the Prognosis of Ovarian Cancer.一种用于预测卵巢癌预后的铁死亡相关基因的新型定义风险特征。
Front Mol Biosci. 2021 Apr 1;8:645845. doi: 10.3389/fmolb.2021.645845. eCollection 2021.
6
Ferroptosis: Biochemistry and Biology in Cancers.铁死亡:癌症中的生物化学与生物学
Front Oncol. 2021 Apr 1;11:579286. doi: 10.3389/fonc.2021.579286. eCollection 2021.
7
Long non-coding RNA LEISA promotes progression of lung adenocarcinoma via enhancing interaction between STAT3 and IL-6 promoter.长非编码 RNA LEISA 通过增强 STAT3 和 IL-6 启动子之间的相互作用促进肺腺癌的进展。
Oncogene. 2021 May;40(19):3449-3459. doi: 10.1038/s41388-021-01769-7. Epub 2021 Apr 15.
8
TRERNA1 upregulation mediated by HBx promotes sorafenib resistance and cell proliferation in HCC via targeting NRAS by sponging miR-22-3p.HBx 介导的 TRERNA1 上调通过海绵吸附 miR-22-3p 靶向 NRAS 促进 HCC 索拉非尼耐药和细胞增殖。
Mol Ther. 2021 Aug 4;29(8):2601-2616. doi: 10.1016/j.ymthe.2021.04.011. Epub 2021 Apr 9.
9
Tumor suppressor DCAF15 inhibits epithelial-mesenchymal transition by targeting ZEB1 for proteasomal degradation in hepatocellular carcinoma.肿瘤抑制因子DCAF15通过靶向ZEB1进行蛋白酶体降解来抑制肝细胞癌中的上皮-间质转化。
Aging (Albany NY). 2021 Apr 4;13(7):10603-10618. doi: 10.18632/aging.202823.
10
Long non-coding RNAs in the doxorubicin resistance of cancer cells.长非编码 RNA 在癌细胞多柔比星耐药中的作用。
Cancer Lett. 2021 Jun 28;508:104-114. doi: 10.1016/j.canlet.2021.03.018. Epub 2021 Mar 22.