Department of Integrated Traditional Chinese and Western Medicine, Tongji Hospital, Tongji Medical College, Huazhong University of Science and Technology, Wuhan, China.
Hepatic Surgery Center, Tongji Hospital, Tongji Medical College, Huazhong University of Science and Technology, Wuhan, China.
Cell Death Dis. 2022 Nov 1;13(11):917. doi: 10.1038/s41419-022-05363-x.
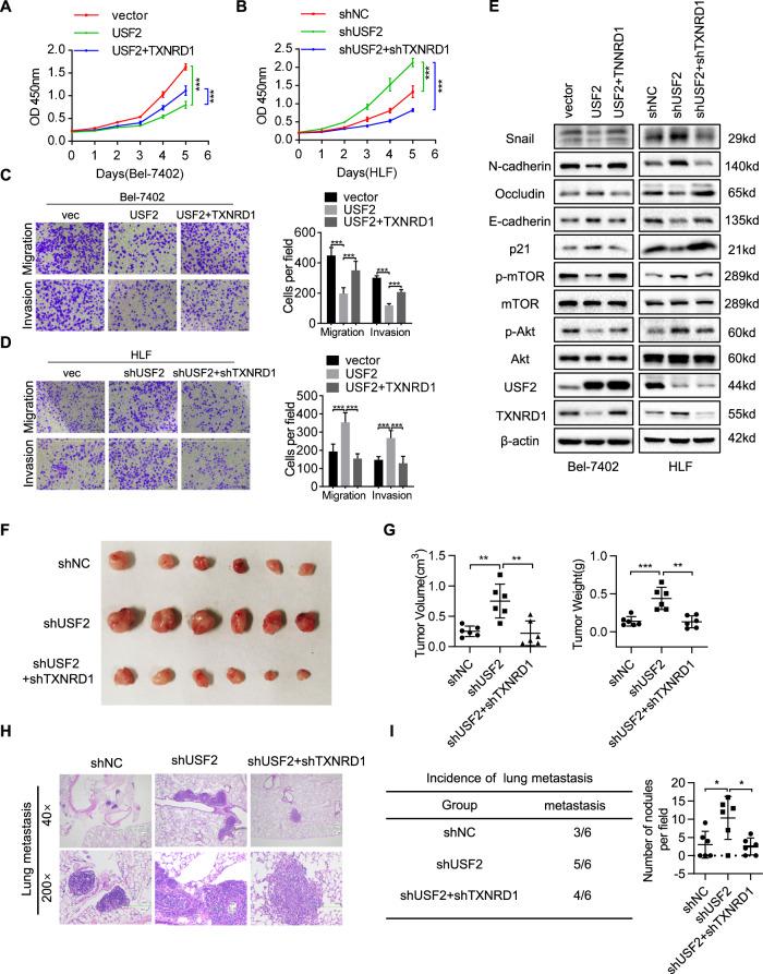
Thioredoxin reductase 1 (TXNRD1) is one of the major redox regulators in mammalian cells, which has been reported to be involved in tumorigenesis. However, its roles and regulatory mechanism underlying the progression of HCC remains poorly understood. In this study, we demonstrated that TXNRD1 was significantly upregulated in HCC tumor tissues and correlated with poor survival in HCC patients. Functional studies indicated TXNRD1 knockdown substantially suppressed HCC cell proliferation and metastasis both in vitro and in vivo, and its overexpression showed opposite effects. Mechanistically, TXNRD1 attenuated the interaction between Trx1 and PTEN which resulting in acceleration of PTEN degradation, thereby activated Akt/mTOR signaling and its target genes which conferred to elevated HCC cell mobility and metastasis. Moreover, USF2 was identified as a transcriptional suppressor of TXNRD1, which directly interacted with two E-box sites in TXNRD1 promoter. USF2 functioned as tumor suppressor through the downstream repression of TXNRD1. Further clinical data revealed negative co-expression correlations between USF2 and TXNRD1. In conclusion, our findings reveal that USF2-mediated upregulation of TXNRD1 contributes to hepatocellular carcinoma progression by activating Akt/mTOR signaling.
硫氧还蛋白还原酶 1(TXNRD1)是哺乳动物细胞中主要的氧化还原调节剂之一,据报道其参与了肿瘤的发生。然而,其在 HCC 进展中的作用和调节机制仍知之甚少。在本研究中,我们证明 TXNRD1 在 HCC 肿瘤组织中显著上调,并与 HCC 患者的不良预后相关。功能研究表明,TXNRD1 敲低在体外和体内均显著抑制 HCC 细胞的增殖和转移,而过表达则显示出相反的效果。机制上,TXNRD1 减弱了 Trx1 与 PTEN 之间的相互作用,从而加速了 PTEN 的降解,从而激活了 Akt/mTOR 信号及其靶基因,导致 HCC 细胞迁移和转移能力的提高。此外,USF2 被鉴定为 TXNRD1 的转录抑制因子,它直接与 TXNRD1 启动子中的两个 E 盒结合。USF2 通过下游抑制 TXNRD1 发挥肿瘤抑制作用。进一步的临床数据显示,USF2 和 TXNRD1 之间存在负相关的共表达关系。总之,我们的研究结果表明,USF2 介导的 TXNRD1 上调通过激活 Akt/mTOR 信号促进了肝细胞癌的进展。