• 文献检索
  • 文档翻译
  • 深度研究
  • 学术资讯
  • Suppr Zotero 插件Zotero 插件
  • 邀请有礼
  • 套餐&价格
  • 历史记录
应用&插件
Suppr Zotero 插件Zotero 插件浏览器插件Mac 客户端Windows 客户端微信小程序
定价
高级版会员购买积分包购买API积分包
服务
文献检索文档翻译深度研究API 文档MCP 服务
关于我们
关于 Suppr公司介绍联系我们用户协议隐私条款
关注我们

Suppr 超能文献

核心技术专利:CN118964589B侵权必究
粤ICP备2023148730 号-1Suppr @ 2026

文献检索

告别复杂PubMed语法,用中文像聊天一样搜索,搜遍4000万医学文献。AI智能推荐,让科研检索更轻松。

立即免费搜索

文件翻译

保留排版,准确专业,支持PDF/Word/PPT等文件格式,支持 12+语言互译。

免费翻译文档

深度研究

AI帮你快速写综述,25分钟生成高质量综述,智能提取关键信息,辅助科研写作。

立即免费体验

JAK-STAT 信号通路在炎症性乳腺癌中可使化疗耐药细胞状态。

JAK-STAT Signaling in Inflammatory Breast Cancer Enables Chemotherapy-Resistant Cell States.

机构信息

Department of Medical Oncology, Dana-Farber Cancer Institute, Boston, Massachusetts.

Department of Medicine, Brigham and Women's Hospital, Boston, Massachusetts.

出版信息

Cancer Res. 2023 Jan 18;83(2):264-284. doi: 10.1158/0008-5472.CAN-22-0423.

DOI:10.1158/0008-5472.CAN-22-0423
PMID:36409824
原文链接:https://pmc.ncbi.nlm.nih.gov/articles/PMC9845989/
Abstract

UNLABELLED

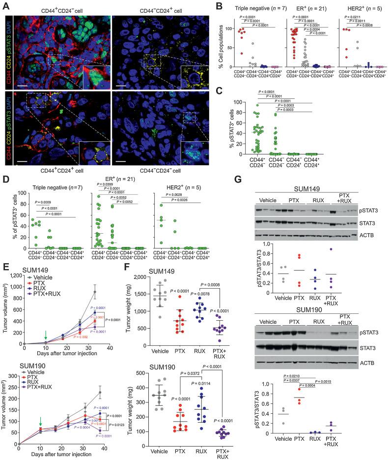
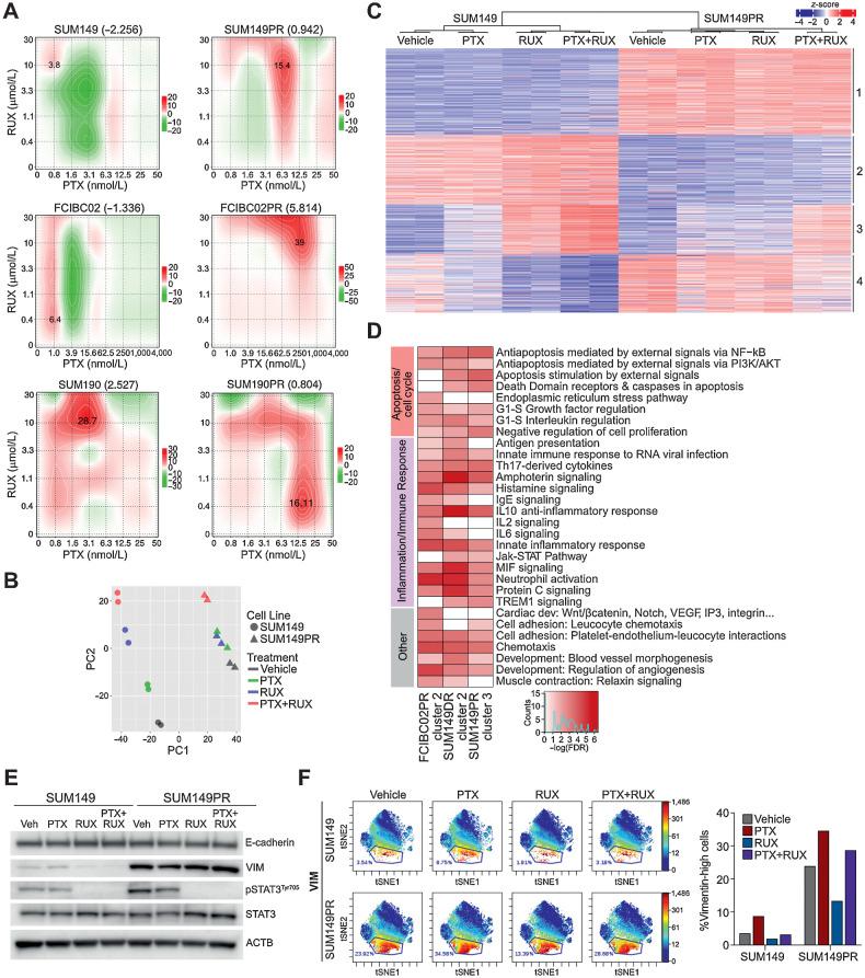
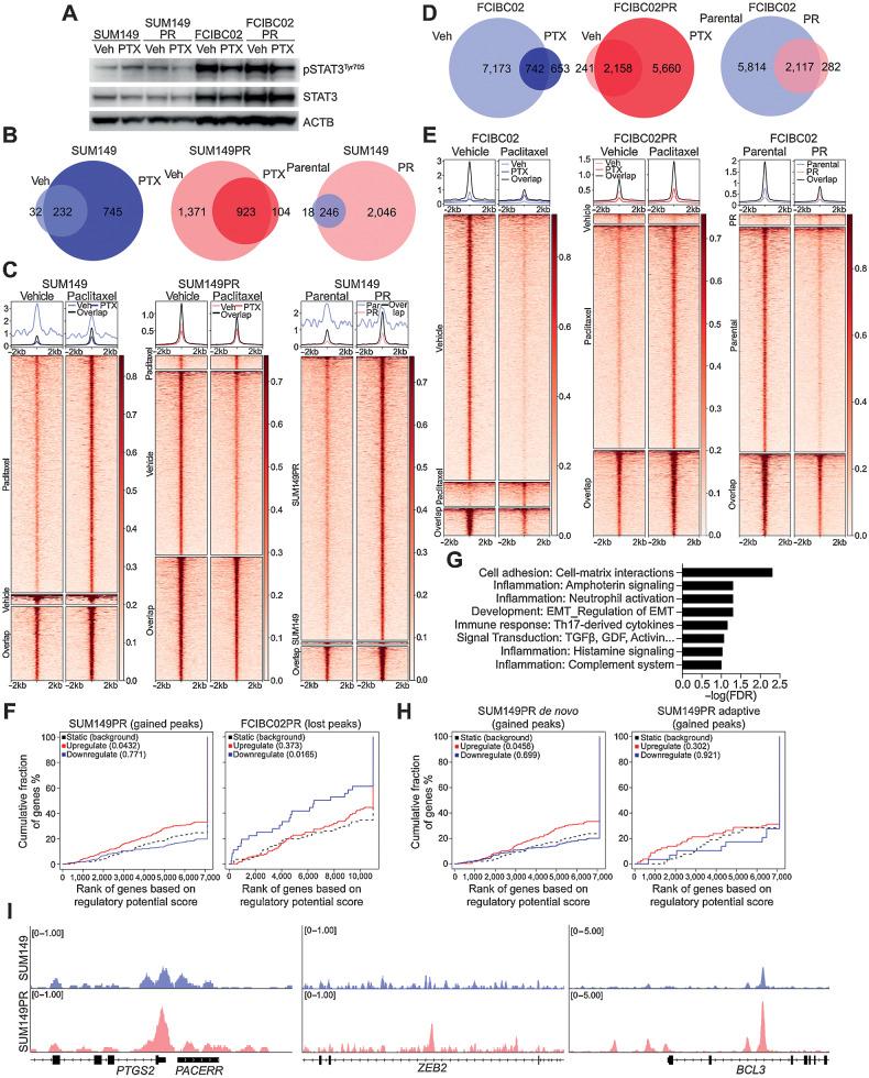
Inflammatory breast cancer (IBC) is a difficult-to-treat disease with poor clinical outcomes due to high risk of metastasis and resistance to treatment. In breast cancer, CD44+CD24- cells possess stem cell-like features and contribute to disease progression, and we previously described a CD44+CD24-pSTAT3+ breast cancer cell subpopulation that is dependent on JAK2/STAT3 signaling. Here we report that CD44+CD24- cells are the most frequent cell type in IBC and are commonly pSTAT3+. Combination of JAK2/STAT3 inhibition with paclitaxel decreased IBC xenograft growth more than either agent alone. IBC cell lines resistant to paclitaxel and doxorubicin were developed and characterized to mimic therapeutic resistance in patients. Multi-omic profiling of parental and resistant cells revealed enrichment of genes associated with lineage identity and inflammation in chemotherapy-resistant derivatives. Integrated pSTAT3 chromatin immunoprecipitation sequencing and RNA sequencing (RNA-seq) analyses showed pSTAT3 regulates genes related to inflammation and epithelial-to-mesenchymal transition (EMT) in resistant cells, as well as PDE4A, a cAMP-specific phosphodiesterase. Metabolomic characterization identified elevated cAMP signaling and CREB as a candidate therapeutic target in IBC. Investigation of cellular dynamics and heterogeneity at the single cell level during chemotherapy and acquired resistance by CyTOF and single cell RNA-seq identified mechanisms of resistance including a shift from luminal to basal/mesenchymal cell states through selection for rare preexisting subpopulations or an acquired change. Finally, combination treatment with paclitaxel and JAK2/STAT3 inhibition prevented the emergence of the mesenchymal chemo-resistant subpopulation. These results provide mechanistic rational for combination of chemotherapy with inhibition of JAK2/STAT3 signaling as a more effective therapeutic strategy in IBC.

SIGNIFICANCE

Chemotherapy resistance in inflammatory breast cancer is driven by the JAK2/STAT3 pathway, in part via cAMP/PKA signaling and a cell state switch, which can be overcome using paclitaxel combined with JAK2 inhibitors.

摘要

未加标签

炎性乳腺癌(IBC)是一种难以治疗的疾病,由于转移风险高和治疗耐药性差,临床结局较差。在乳腺癌中,CD44+CD24-细胞具有干细胞样特征,并促进疾病进展,我们之前描述了一种依赖于 JAK2/STAT3 信号的 CD44+CD24-pSTAT3+乳腺癌细胞亚群。在这里,我们报告 CD44+CD24-细胞是 IBC 中最常见的细胞类型,并且通常是 pSTAT3+。JAK2/STAT3 抑制与紫杉醇联合使用可使 IBC 异种移植物生长减少超过任一药物单独使用。开发并表征对紫杉醇和多柔比星耐药的 IBC 细胞系,以模拟患者的治疗耐药性。对亲本和耐药细胞进行多组学分析显示,在化疗耐药衍生物中富集与谱系身份和炎症相关的基因。整合 pSTAT3 染色质免疫沉淀测序和 RNA 测序(RNA-seq)分析表明,pSTAT3 调节耐药细胞中与炎症和上皮-间充质转化(EMT)相关的基因,以及 PDE4A,一种 cAMP 特异性磷酸二酯酶。代谢组学特征鉴定出在 IBC 中升高的 cAMP 信号和 CREB 作为候选治疗靶点。通过 CyTOF 和单细胞 RNA-seq 在化疗和获得性耐药过程中对细胞动力学和异质性进行单细胞水平的研究,确定了耐药机制,包括通过选择罕见的预先存在的亚群或获得性变化,从腔细胞状态向基底/间充质细胞状态的转变。最后,紫杉醇和 JAK2/STAT3 抑制联合治疗可防止出现间充质化疗耐药亚群。这些结果为化疗联合 JAK2/STAT3 信号抑制作为 IBC 更有效的治疗策略提供了机制合理性。

意义

炎性乳腺癌的化疗耐药性是由 JAK2/STAT3 通路驱动的,部分通过 cAMP/PKA 信号和细胞状态转换,使用紫杉醇联合 JAK2 抑制剂可以克服这种耐药性。

https://cdn.ncbi.nlm.nih.gov/pmc/blobs/96b0/9845989/930623d5730f/264fig6.jpg
https://cdn.ncbi.nlm.nih.gov/pmc/blobs/96b0/9845989/5a3f620674a8/overview_graphic_can-22-0423.jpg
https://cdn.ncbi.nlm.nih.gov/pmc/blobs/96b0/9845989/d713920d3e1c/264fig1.jpg
https://cdn.ncbi.nlm.nih.gov/pmc/blobs/96b0/9845989/788f2d298cdb/264fig2.jpg
https://cdn.ncbi.nlm.nih.gov/pmc/blobs/96b0/9845989/a971a49177fc/264fig3.jpg
https://cdn.ncbi.nlm.nih.gov/pmc/blobs/96b0/9845989/7fe9e778c7fa/264fig4.jpg
https://cdn.ncbi.nlm.nih.gov/pmc/blobs/96b0/9845989/eee88599867d/264fig5.jpg
https://cdn.ncbi.nlm.nih.gov/pmc/blobs/96b0/9845989/930623d5730f/264fig6.jpg
https://cdn.ncbi.nlm.nih.gov/pmc/blobs/96b0/9845989/5a3f620674a8/overview_graphic_can-22-0423.jpg
https://cdn.ncbi.nlm.nih.gov/pmc/blobs/96b0/9845989/d713920d3e1c/264fig1.jpg
https://cdn.ncbi.nlm.nih.gov/pmc/blobs/96b0/9845989/788f2d298cdb/264fig2.jpg
https://cdn.ncbi.nlm.nih.gov/pmc/blobs/96b0/9845989/a971a49177fc/264fig3.jpg
https://cdn.ncbi.nlm.nih.gov/pmc/blobs/96b0/9845989/7fe9e778c7fa/264fig4.jpg
https://cdn.ncbi.nlm.nih.gov/pmc/blobs/96b0/9845989/eee88599867d/264fig5.jpg
https://cdn.ncbi.nlm.nih.gov/pmc/blobs/96b0/9845989/930623d5730f/264fig6.jpg

相似文献

1
JAK-STAT Signaling in Inflammatory Breast Cancer Enables Chemotherapy-Resistant Cell States.JAK-STAT 信号通路在炎症性乳腺癌中可使化疗耐药细胞状态。
Cancer Res. 2023 Jan 18;83(2):264-284. doi: 10.1158/0008-5472.CAN-22-0423.
2
Inhibition of Cdk2 kinase activity selectively targets the CD44⁺/CD24⁻/Low stem-like subpopulation and restores chemosensitivity of SUM149PT triple-negative breast cancer cells.抑制Cdk2激酶活性可选择性地作用于CD44⁺/CD24⁻/Low干细胞样亚群,恢复SUM149PT三阴性乳腺癌细胞的化学敏感性。
Int J Oncol. 2014 Sep;45(3):1193-9. doi: 10.3892/ijo.2014.2523. Epub 2014 Jun 25.
3
TBCRC 039: a phase II study of preoperative ruxolitinib with or without paclitaxel for triple-negative inflammatory breast cancer.TBCRC 039:术前 ruxolitinib 联合或不联合紫杉醇治疗三阴性炎性乳腺癌的 II 期研究。
Breast Cancer Res. 2024 Jan 31;26(1):20. doi: 10.1186/s13058-024-01774-0.
4
Hyperactivated mTOR and JAK2/STAT3 Pathways: Molecular Drivers and Potential Therapeutic Targets of Inflammatory and Invasive Ductal Breast Cancers After Neoadjuvant Chemotherapy.mTOR和JAK2/STAT3通路过度激活:新辅助化疗后炎性和浸润性导管乳腺癌的分子驱动因素及潜在治疗靶点
Clin Breast Cancer. 2016 Apr;16(2):113-22.e1. doi: 10.1016/j.clbc.2015.11.006. Epub 2015 Dec 1.
5
Syndecan-1 is a novel molecular marker for triple negative inflammatory breast cancer and modulates the cancer stem cell phenotype via the IL-6/STAT3, Notch and EGFR signaling pathways.Syndecan-1是三阴性炎性乳腺癌的一种新型分子标志物,并通过IL-6/STAT3、Notch和EGFR信号通路调节癌症干细胞表型。
Mol Cancer. 2017 Mar 7;16(1):57. doi: 10.1186/s12943-017-0621-z.
6
Evaluation of STAT3 signaling in ALDH+ and ALDH+/CD44+/CD24- subpopulations of breast cancer cells.乳腺癌细胞中ALDH+和ALDH+/CD44+/CD24-亚群中STAT3信号传导的评估。
PLoS One. 2013 Dec 23;8(12):e82821. doi: 10.1371/journal.pone.0082821. eCollection 2013.
7
The JAK2/STAT3 signaling pathway is required for growth of CD44⁺CD24⁻ stem cell-like breast cancer cells in human tumors.JAK2/STAT3 信号通路对于人肿瘤中 CD44+CD24- 干细胞样乳腺癌细胞的生长是必需的。
J Clin Invest. 2011 Jul;121(7):2723-35. doi: 10.1172/JCI44745.
8
Inhibition of the JAK2/STAT3 pathway in ovarian cancer results in the loss of cancer stem cell-like characteristics and a reduced tumor burden.抑制卵巢癌中的JAK2/STAT3信号通路会导致癌症干细胞样特征丧失和肿瘤负担减轻。
BMC Cancer. 2014 May 6;14:317. doi: 10.1186/1471-2407-14-317.
9
Truncated HDAC9 identified by integrated genome-wide screen as the key modulator for paclitaxel resistance in triple-negative breast cancer.通过全基因组整合筛选鉴定出截短的 HDAC9,是三阴性乳腺癌中紫杉醇耐药的关键调节因子。
Theranostics. 2020 Sep 2;10(24):11092-11109. doi: 10.7150/thno.44997. eCollection 2020.
10
Constitutive activation of STAT3 signaling regulates hTERT and promotes stem cell-like traits in human breast cancer cells.STAT3 信号的组成性激活调节端粒酶逆转录酶并促进人乳腺癌细胞的干细胞样特征。
PLoS One. 2013 Dec 30;8(12):e83971. doi: 10.1371/journal.pone.0083971. eCollection 2013.

引用本文的文献

1
CREB Regulates Cisplatin Resistance by Targeting TNKS and KDM6A in NSCLC cell-Derived Tumor Spheroid.CREB通过靶向TNKS和KDM6A调控非小细胞肺癌细胞来源的肿瘤球中的顺铂耐药性。
Int J Biol Sci. 2025 Jul 28;21(11):4851-4871. doi: 10.7150/ijbs.109419. eCollection 2025.
2
Synthesis and Biological Evaluation of Herceptin-Conjugated Liposomes Loaded with Lipocalin-2 siRNA for the Treatment of Inflammatory Breast Cancer.用于治疗炎性乳腺癌的载有脂质运载蛋白-2小干扰RNA的赫赛汀偶联脂质体的合成与生物学评价
Pharmaceuticals (Basel). 2025 Jul 17;18(7):1053. doi: 10.3390/ph18071053.
3
Bisphenol A Promotes the Progression of Hormone-Sensitive Breast Cancers Through Several Inflammatory Pathways.

本文引用的文献

1
Ectopic JAK-STAT activation enables the transition to a stem-like and multilineage state conferring AR-targeted therapy resistance.异位 JAK-STAT 激活使细胞向干细胞样和多能性状态转变,从而赋予对 AR 靶向治疗的抗性。
Nat Cancer. 2022 Sep;3(9):1071-1087. doi: 10.1038/s43018-022-00431-9. Epub 2022 Sep 5.
2
Lineage plasticity in prostate cancer depends on JAK/STAT inflammatory signaling.前列腺癌中的谱系可塑性取决于 JAK/STAT 炎症信号通路。
Science. 2022 Sep 9;377(6611):1180-1191. doi: 10.1126/science.abn0478. Epub 2022 Aug 18.
3
An update on investigational therapies that target STAT3 for the treatment of cancer.
双酚A通过多种炎症途径促进激素敏感性乳腺癌的进展。
Cancers (Basel). 2025 Jul 17;17(14):2373. doi: 10.3390/cancers17142373.
4
CyTOF as a suitable tool for stratification and monitoring of cancer patients.质谱流式细胞术作为一种适用于癌症患者分层和监测的工具。
J Transl Med. 2025 Jul 1;23(1):724. doi: 10.1186/s12967-025-06764-0.
5
Engineering Lipid-Polymer Nanoparticles for siRNA Delivery to Cancer Cells.工程化脂质-聚合物纳米颗粒用于将小干扰RNA递送至癌细胞
Pharmaceuticals (Basel). 2025 Jun 10;18(6):864. doi: 10.3390/ph18060864.
6
Application of mass cytometry in the immune microenvironment of breast cancer.质谱流式细胞术在乳腺癌免疫微环境中的应用。
Med Oncol. 2025 May 19;42(6):215. doi: 10.1007/s12032-025-02770-w.
7
scDrugMap: Benchmarking Large Foundation Models for Drug Response Prediction.scDrugMap:用于药物反应预测的大型基础模型基准测试
ArXiv. 2025 May 8:arXiv:2505.05612v1.
8
Clinicogenomic characterization of inflammatory breast cancer.炎性乳腺癌的临床基因组特征
Clin Cancer Res. 2025 May 16. doi: 10.1158/1078-0432.CCR-24-2081.
9
cAMP response element-binding protein: A credible cancer drug target.环磷酸腺苷反应元件结合蛋白:一个可靠的癌症药物靶点。
J Pharmacol Exp Ther. 2025 Apr;392(4):103529. doi: 10.1016/j.jpet.2025.103529. Epub 2025 Mar 4.
10
Molecular Characteristics of Prognosis and Chemotherapy Response in Breast Cancer: Biomarker Identification Based on Gene Mutations and Pathway.乳腺癌预后及化疗反应的分子特征:基于基因突变和信号通路的生物标志物鉴定
J Breast Cancer. 2025 Apr;28(2):61-71. doi: 10.4048/jbc.2024.0177. Epub 2025 Mar 4.
针对癌症治疗的 STAT3 靶向治疗的研究进展。
Expert Opin Investig Drugs. 2021 Mar;30(3):245-251. doi: 10.1080/13543784.2021.1891222. Epub 2021 Feb 22.
4
Complex roles of cAMP-PKA-CREB signaling in cancer.环磷酸腺苷-蛋白激酶A-环磷腺苷效应元件结合蛋白信号通路在癌症中的复杂作用
Exp Hematol Oncol. 2020 Nov 24;9(1):32. doi: 10.1186/s40164-020-00191-1.
5
Incidence and survival of inflammatory breast cancer between 1973 and 2015 in the SEER database.1973 年至 2015 年 SEER 数据库中炎性乳腺癌的发病率和生存率。
Breast Cancer Res Treat. 2021 Jan;185(1):229-238. doi: 10.1007/s10549-020-05938-2. Epub 2020 Oct 8.
6
Synthetic Lethal and Resistance Interactions with BET Bromodomain Inhibitors in Triple-Negative Breast Cancer.三阴性乳腺癌中 BET 溴结构域抑制剂的合成致死和耐药性相互作用。
Mol Cell. 2020 Jun 18;78(6):1096-1113.e8. doi: 10.1016/j.molcel.2020.04.027. Epub 2020 May 15.
7
SynergyFinder 2.0: visual analytics of multi-drug combination synergies.SynergyFinder 2.0:多药物组合协同作用的可视化分析。
Nucleic Acids Res. 2020 Jul 2;48(W1):W488-W493. doi: 10.1093/nar/gkaa216.
8
Inhibition of the polyamine synthesis enzyme ornithine decarboxylase sensitizes triple-negative breast cancer cells to cytotoxic chemotherapy.抑制多胺合成酶鸟氨酸脱羧酶可使三阴性乳腺癌细胞对细胞毒化疗敏感。
J Biol Chem. 2020 May 8;295(19):6263-6277. doi: 10.1074/jbc.RA119.012376. Epub 2020 Mar 5.
9
JAK-STAT Signaling: A Double-Edged Sword of Immune Regulation and Cancer Progression.JAK-STAT信号传导:免疫调节与癌症进展的双刃剑
Cancers (Basel). 2019 Dec 12;11(12):2002. doi: 10.3390/cancers11122002.
10
Cell Heterogeneity and Phenotypic Plasticity in Metastasis Formation: The Case of Colon Cancer.转移形成中的细胞异质性与表型可塑性:以结肠癌为例
Cancers (Basel). 2019 Sep 14;11(9):1368. doi: 10.3390/cancers11091368.