School of Computer Engineering, KIIT Deemed to be University, Bhubaneswar 751024, India.
Department of Computer Applications, Sikkim Manipal Institute of Technology, Sikkim Manipal University, Majitar, Rangpo 737136, India.
Sensors (Basel). 2022 Nov 15;22(22):8834. doi: 10.3390/s22228834.
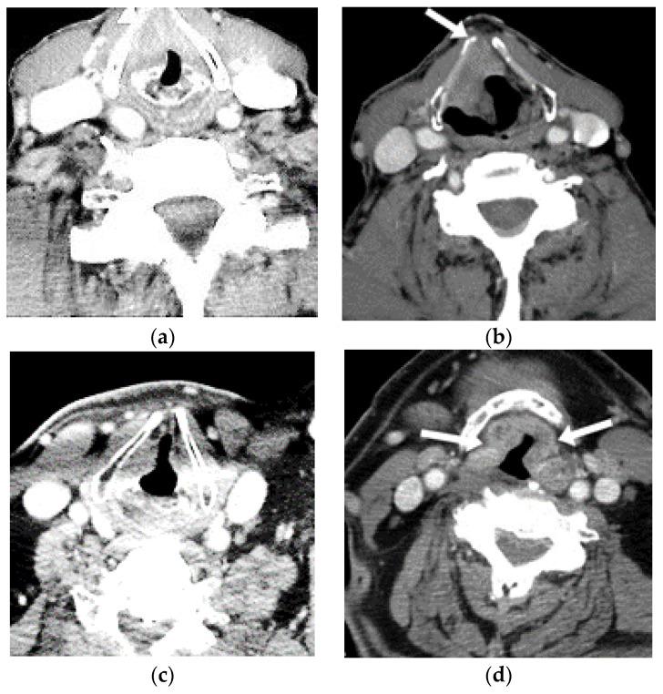
Recently, laryngeal cancer cases have increased drastically across the globe. Accurate treatment for laryngeal cancer is intricate, especially in the later stages. This type of cancer is an intricate malignancy inside the head and neck area of patients. In recent years, diverse diagnosis approaches and tools have been developed by researchers for helping clinical experts to identify laryngeal cancer effectively. However, these existing tools and approaches have diverse issues related to performance constraints such as lower accuracy in the identification of laryngeal cancer in the initial stage, more computational complexity, and large time consumption in patient screening. In this paper, the authors present a novel and enhanced deep-learning-based Mask R-CNN model for the identification of laryngeal cancer and its related symptoms by utilizing diverse image datasets and CT images in real time. Furthermore, our suggested model is capable of capturing and detecting minor malignancies of the larynx portion in a significant and faster manner in the real-time screening of patients, and it saves time for the clinicians, allowing for more patient screening every day. The outcome of the suggested model is enhanced and pragmatic and obtained an accuracy of 98.99%, precision of 98.99%, F1 score of 97.99%, and recall of 96.79% on the ImageNet dataset. Several studies have been performed in recent years on laryngeal cancer detection by using diverse approaches from researchers. For the future, there are vigorous opportunities for further research to investigate new approaches for laryngeal cancer detection by utilizing diverse and large dataset images.
近年来,全球范围内的喉癌病例急剧增加。喉癌的准确治疗非常复杂,尤其是在晚期。这种癌症是患者头颈部的一种复杂恶性肿瘤。近年来,研究人员开发了多种诊断方法和工具,帮助临床专家有效地识别喉癌。然而,这些现有的工具和方法在性能方面存在各种问题,例如在识别早期喉癌时准确性较低、计算复杂性更高、患者筛查时间长等。在本文中,作者提出了一种新的基于深度学习的 Mask R-CNN 模型,用于通过利用不同的图像数据集和实时 CT 图像来识别喉癌及其相关症状。此外,我们提出的模型能够在患者实时筛查中更快速地捕捉和检测喉部的微小恶性肿瘤,为临床医生节省时间,每天可以筛查更多的患者。该模型的输出结果增强且实用,在 ImageNet 数据集上的准确率为 98.99%,精度为 98.99%,F1 得分为 97.99%,召回率为 96.79%。近年来,研究人员使用不同的方法对喉癌检测进行了多项研究。未来,有机会通过利用不同的大型数据集图像来研究新的喉癌检测方法。