Suppr超能文献

一例罕见的症状性血管环病例。

A rare case of symptomatic vascular ring.

作者信息

Chiocchi Marcello, Laudazi Mario, Leomanni Paola, Giudice Lucia, Madonna Matteo, Garaci Francesco, Floris Roberto

机构信息

Diagnostic Imaging Unit, Department of Biomedicine and Prevention, University of Rome Tor Vergata, Viale Oxford 81, Rome, 00133, Italy.

出版信息

Radiol Case Rep. 2023 Jan 5;18(3):957-962. doi: 10.1016/j.radcr.2022.11.040. eCollection 2023 Mar.

Abstract

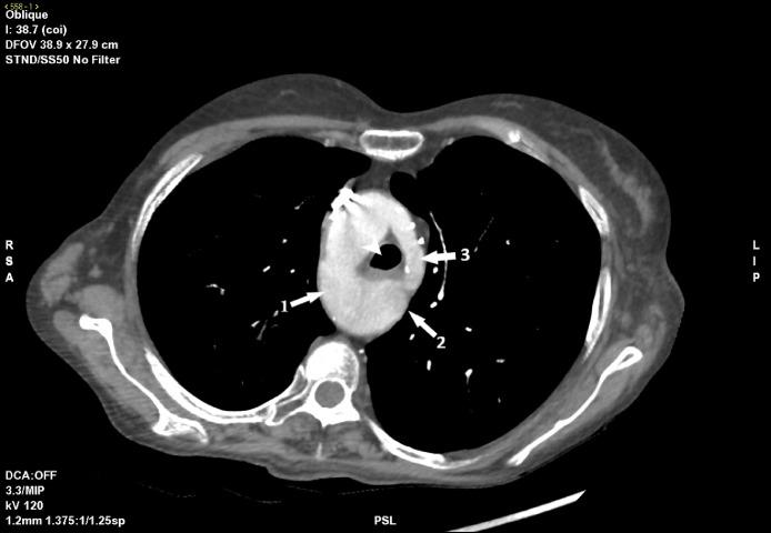
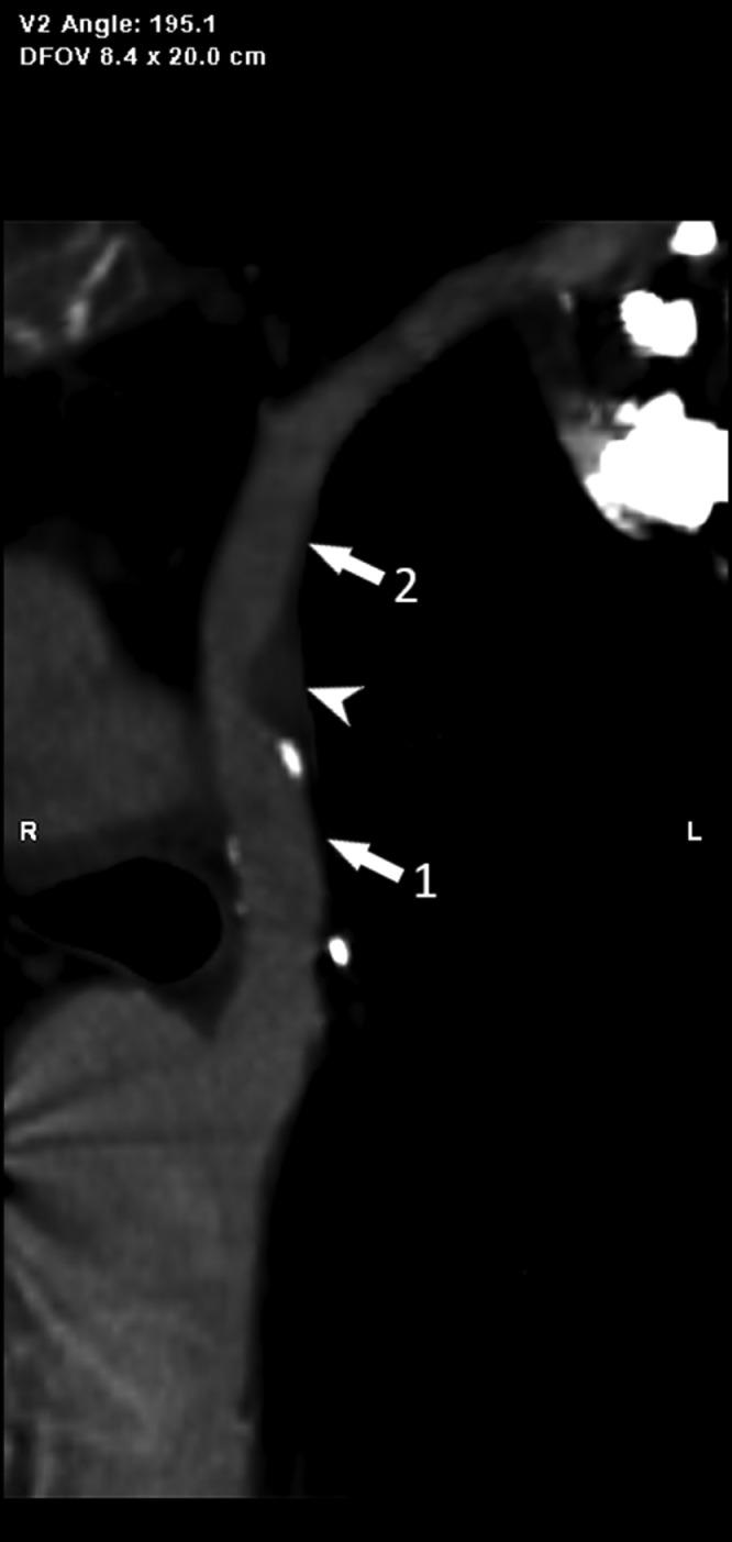
In this paper, we describe a rare case of double aortic arch with dominant right arch with focal narrowing of the distal left arch and descendent aorta's dilatation, associated with pulmonary embolism and left subclavian steal syndrome, found in a 59-year-old woman with a history of dysphagia, chest discomfort, and left arm claudication. Diagnosis of this condition was made with a sub-optimal pulmonary CT-angiography with a combination of characteristic features of double aortic arch and vascular rings. Being aware of these conditions is crucial to avoid misclassification and surgical and endovascular complications.

摘要

在本文中,我们描述了一例罕见的双主动脉弓病例,其右弓为主,左弓远端局灶性狭窄,降主动脉扩张,伴有肺栓塞和左锁骨下动脉盗血综合征,该病例见于一名有吞咽困难、胸部不适和左臂间歇性跛行病史的59岁女性。通过结合双主动脉弓和血管环的特征性表现的次优肺部CT血管造影对该疾病进行了诊断。认识到这些情况对于避免误诊以及手术和血管内并发症至关重要。

https://cdn.ncbi.nlm.nih.gov/pmc/blobs/bcc8/9829553/c240b90f3a66/gr1.jpg

文献检索

告别复杂PubMed语法,用中文像聊天一样搜索,搜遍4000万医学文献。AI智能推荐,让科研检索更轻松。

立即免费搜索

文件翻译

保留排版,准确专业,支持PDF/Word/PPT等文件格式,支持 12+语言互译。

免费翻译文档

深度研究

AI帮你快速写综述,25分钟生成高质量综述,智能提取关键信息,辅助科研写作。

立即免费体验