• 文献检索
  • 文档翻译
  • 深度研究
  • 学术资讯
  • Suppr Zotero 插件Zotero 插件
  • 邀请有礼
  • 套餐&价格
  • 历史记录
应用&插件
Suppr Zotero 插件Zotero 插件浏览器插件Mac 客户端Windows 客户端微信小程序
定价
高级版会员购买积分包购买API积分包
服务
文献检索文档翻译深度研究API 文档MCP 服务
关于我们
关于 Suppr公司介绍联系我们用户协议隐私条款
关注我们

Suppr 超能文献

核心技术专利:CN118964589B侵权必究
粤ICP备2023148730 号-1Suppr @ 2026

文献检索

告别复杂PubMed语法,用中文像聊天一样搜索,搜遍4000万医学文献。AI智能推荐,让科研检索更轻松。

立即免费搜索

文件翻译

保留排版,准确专业,支持PDF/Word/PPT等文件格式,支持 12+语言互译。

免费翻译文档

深度研究

AI帮你快速写综述,25分钟生成高质量综述,智能提取关键信息,辅助科研写作。

立即免费体验

叶水醇提取物对暴露于香烟烟雾的Wistar大鼠睾丸中芳烃受体表达的影响。

The effect of hydroalcoholic extract of leaf on aryl hydrocarbon receptor expression in the testis of Wistar rats exposed to cigarette smoke.

作者信息

Hashemi Maryam, Azarnia Mahnaz, Hajebrahimi Zahra, Nejad Ebrahimi Samad

机构信息

Department of Animal Biology, Faculty of Biological Sciences, Kharazmi University, Tehran, Iran.

A&S Research Institute, Ministry of Science Research and Technology, Tehran, Iran Department of Phytochemistry, Medicinal Plants and Drugs Research Institute, Shahid Beheshti University, G. C., Evin, Tehran, IranDepartment of Phytochemistry, Medicinal Plants and Drugs Research Institute, Shahid Beheshti University, G. C., Evin, Tehran, Iran Department of Phytochemistry, Medicinal Plants and Drugs Research Institute, Shahid Beheshti University, G. C., Evin, Tehran, Iran Department of Phytochemistry, Medicinal Plants and Drugs Research Institute, Shahid Beheshti University, G. C., Evin, Tehran, Iran.

出版信息

Avicenna J Phytomed. 2023 Jan-Feb;13(1):58-69. doi: 10.22038/AJP.2022.21307.

DOI:10.22038/AJP.2022.21307
PMID:36698732
原文链接:https://pmc.ncbi.nlm.nih.gov/articles/PMC9840776/
Abstract

OBJECTIVE

Cigarette smoke (CS) contains compounds such as reactive oxygen species (ROS). Oxidative stress caused by excessive ROS eventually leads to germ cell apoptosis and male infertility. The leaves of (chicory) are rich in natural antioxidants, but their protective effects on the adverse effects of CS on testicular tissue have not been studied.

MATERIALS AND METHODS

24 Wistar rats were classified into four groups: control, extract: treatment with chicory extract (200 mg/kg body weight/day) for 13 weeks, smoke: exposed to CS for 13 weeks, and smoke + extract: exposed to CS and treated with the C. extract. Histological and biochemical analyses and apoptosis assay were done, and and expression was determined.

RESULTS

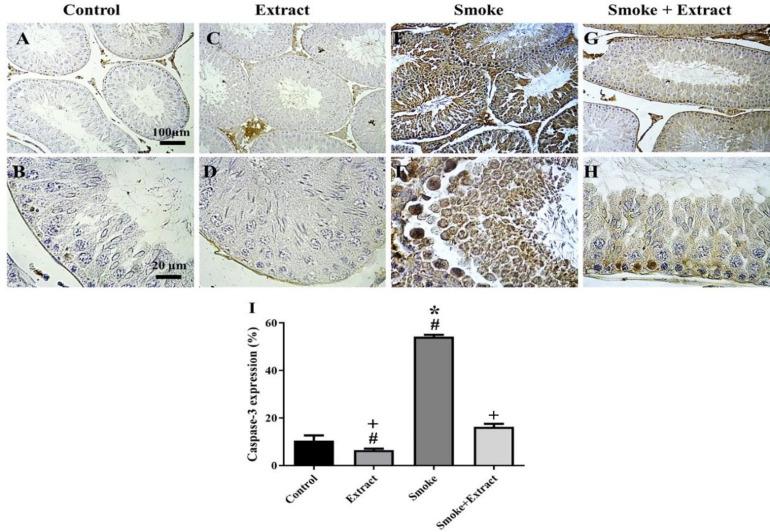
Treatment with compensated for the reduction of Sertoli cells, spermatogonia, spermatocytes, and spermatids caused by CS. Chicory extract reduced free radicals and improved antioxidant status. The lowest and highest percentage of apoptotic cells was observed in the extract and smoke groups, respectively, while simultaneous treatment with extract led to a significant reduction of apoptotic cells. The mean levels in the control, extract, smoke and smoke + extract groups were 1.00±0.57, 1.93±0.25, 5.98±0.42, and 0.62±0.22, respectively (p˂0.05). The mean levels of expression in the control, extract, smoke and smoke + extract groups were 1.00±0.31, 2.28±0.65, 5.55±0.40, and 0.21±0.23 (p˂0.05).

CONCLUSION

The extract probably affected expression by downregulation of These led to a decrease in free radicals and apoptosis, and an improvement in antioxidant status.

摘要

目的

香烟烟雾(CS)中含有活性氧(ROS)等化合物。过量ROS引起的氧化应激最终导致生殖细胞凋亡和男性不育。菊苣叶富含天然抗氧化剂,但其对CS对睾丸组织的不良影响的保护作用尚未得到研究。

材料与方法

将24只Wistar大鼠分为四组:对照组、提取物组:用菊苣提取物(200mg/kg体重/天)处理13周、烟雾组:暴露于CS中13周、烟雾+提取物组:暴露于CS并同时用菊苣提取物处理。进行组织学和生化分析以及凋亡检测,并测定相关基因表达。

结果

菊苣提取物处理可补偿CS导致的支持细胞、精原细胞、精母细胞和精子细胞数量减少。菊苣提取物可减少自由基并改善抗氧化状态。凋亡细胞百分比最低和最高的分别是提取物组和烟雾组,而同时用菊苣提取物处理可导致凋亡细胞显著减少。对照组、提取物组、烟雾组和烟雾+提取物组的平均相关基因水平分别为1.00±0.57、1.93±0.25、5.98±0.42和0.62±0.22(p<0.05)。对照组、提取物组、烟雾组和烟雾+提取物组的相关基因表达平均水平分别为1.00±0.31、2.28±0.65、5.55±0.40和0.21±0.23(p<0.05)。

结论

菊苣提取物可能通过下调相关基因表达发挥作用。这些作用导致自由基减少和凋亡减少,并改善了抗氧化状态。

https://cdn.ncbi.nlm.nih.gov/pmc/blobs/dc42/9840776/1849d085e57b/AJP-13-58-g005.jpg
https://cdn.ncbi.nlm.nih.gov/pmc/blobs/dc42/9840776/e7828cc6ecd9/AJP-13-58-g001.jpg
https://cdn.ncbi.nlm.nih.gov/pmc/blobs/dc42/9840776/c2c5a2983f30/AJP-13-58-g002.jpg
https://cdn.ncbi.nlm.nih.gov/pmc/blobs/dc42/9840776/b1547bdae852/AJP-13-58-g003.jpg
https://cdn.ncbi.nlm.nih.gov/pmc/blobs/dc42/9840776/a5341bd75f36/AJP-13-58-g004.jpg
https://cdn.ncbi.nlm.nih.gov/pmc/blobs/dc42/9840776/1849d085e57b/AJP-13-58-g005.jpg
https://cdn.ncbi.nlm.nih.gov/pmc/blobs/dc42/9840776/e7828cc6ecd9/AJP-13-58-g001.jpg
https://cdn.ncbi.nlm.nih.gov/pmc/blobs/dc42/9840776/c2c5a2983f30/AJP-13-58-g002.jpg
https://cdn.ncbi.nlm.nih.gov/pmc/blobs/dc42/9840776/b1547bdae852/AJP-13-58-g003.jpg
https://cdn.ncbi.nlm.nih.gov/pmc/blobs/dc42/9840776/a5341bd75f36/AJP-13-58-g004.jpg
https://cdn.ncbi.nlm.nih.gov/pmc/blobs/dc42/9840776/1849d085e57b/AJP-13-58-g005.jpg

相似文献

1
The effect of hydroalcoholic extract of leaf on aryl hydrocarbon receptor expression in the testis of Wistar rats exposed to cigarette smoke.叶水醇提取物对暴露于香烟烟雾的Wistar大鼠睾丸中芳烃受体表达的影响。
Avicenna J Phytomed. 2023 Jan-Feb;13(1):58-69. doi: 10.22038/AJP.2022.21307.
2
Beneficial effects of extract on oxidative status and reproductive parameters in male Wistar rats: An experimental study.提取物对雄性Wistar大鼠氧化状态和生殖参数的有益作用:一项实验研究。
Int J Reprod Biomed. 2019 Jul 29;17(6):425-434. doi: 10.18502/ijrm.v17i6.4814. eCollection 2019 Jun.
3
Cichorium intybus L. extract ameliorates testicular oxidative stress induced by lead acetate in male rats.菊苣提取物改善醋酸铅诱导的雄性大鼠睾丸氧化应激。
Clin Exp Reprod Med. 2020 Sep;47(3):161-167. doi: 10.5653/cerm.2019.03496. Epub 2020 Aug 31.
4
Phytochemical, antioxidant and mineral composition of hydroalcoholic extract of chicory (Cichorium intybus L.) leaves.菊苣(Cichorium intybus L.)叶水醇提取物的植物化学成分、抗氧化剂和矿物质成分
Saudi J Biol Sci. 2015 May;22(3):322-6. doi: 10.1016/j.sjbs.2014.11.015. Epub 2014 Nov 20.
5
Hepatoprotective effect of the hydroalcoholic extract of Cichorium intybus in a rat model of obstructive cholestasis.水醇提物对梗阻性胆汁淤积大鼠的肝保护作用。
Arab J Gastroenterol. 2021 Mar;22(1):34-39. doi: 10.1016/j.ajg.2020.08.006. Epub 2020 Sep 11.
6
Cigarette smoke condensate induces aryl hydrocarbon receptor-dependent changes in gene expression in spermatocytes.香烟烟雾冷凝物诱导精母细胞中芳香烃受体依赖性基因表达变化。
Reprod Toxicol. 2012 Dec;34(4):665-76. doi: 10.1016/j.reprotox.2012.10.005. Epub 2012 Oct 13.
7
The impact of cichorium intybus L. On GDF-15 level in obese diabetic albino mice as compared with metformin effect.菊苣对肥胖糖尿病白化小鼠GDF-15水平的影响与二甲双胍作用的比较。
J Diabetes Metab Disord. 2021 Jun 18;20(2):1119-1128. doi: 10.1007/s40200-021-00828-w. eCollection 2021 Dec.
8
Elucidating hepatoprotective potential of Cichorium intybus through multimodal assessment and molecular docking analysis with hepatic protective enzymes.通过多模式评估和与肝保护酶的分子对接分析阐明菊苣的保肝潜力。
Food Chem Toxicol. 2024 May;187:114595. doi: 10.1016/j.fct.2024.114595. Epub 2024 Mar 28.
9
Damaging legacy: maternal cigarette smoking has long-term consequences for male offspring fertility.有害的遗留影响:母亲吸烟对雄性后代的生育能力有长期影响。
Hum Reprod. 2014 Dec;29(12):2719-35. doi: 10.1093/humrep/deu235. Epub 2014 Sep 30.
10
RelB attenuates cigarette smoke extract-induced apoptosis in association with transcriptional regulation of the aryl hydrocarbon receptor.RelB通过芳烃受体的转录调控减轻香烟烟雾提取物诱导的细胞凋亡。
Free Radic Biol Med. 2017 Jul;108:19-31. doi: 10.1016/j.freeradbiomed.2017.02.045. Epub 2017 Feb 27.

引用本文的文献

1
Effect of lupeol on testicular lesions induced by cadmium chloride in rats.羽扇豆醇对氯化镉诱导的大鼠睾丸损伤的影响。
Avicenna J Phytomed. 2025 Jan-Feb;15(1):907-919. doi: 10.22038/AJP.2024.24716.
2
Effects of Chicory ( L.) Extract on Male Rat Reproductive System, Pregnancy and Offspring Development.菊苣提取物对雄性大鼠生殖系统、妊娠及子代发育的影响。
Pharmaceuticals (Basel). 2024 May 28;17(6):700. doi: 10.3390/ph17060700.

本文引用的文献

1
oil protects against cadmium-induced intestinal toxicity via promotion of anti-inflammatory mechanisms, mucin expression and microbiota integrity.油通过促进抗炎机制、粘蛋白表达和微生物群完整性来预防镉诱导的肠道毒性。
Avicenna J Phytomed. 2022 May-Jun;12(3):241-256. doi: 10.22038/AJP.2021.18774.
2
Cichorium intybus L. extract ameliorates testicular oxidative stress induced by lead acetate in male rats.菊苣提取物改善醋酸铅诱导的雄性大鼠睾丸氧化应激。
Clin Exp Reprod Med. 2020 Sep;47(3):161-167. doi: 10.5653/cerm.2019.03496. Epub 2020 Aug 31.
3
Relationship between aryl hydrocarbon receptor and spermatogenic dysfunction in male patients with varicocele.
精索静脉曲张男性患者中芳烃受体与生精功能障碍的关系。
Andrologia. 2020 Dec;52(11):e13792. doi: 10.1111/and.13792. Epub 2020 Aug 11.
4
Beneficial effects of extract on oxidative status and reproductive parameters in male Wistar rats: An experimental study.提取物对雄性Wistar大鼠氧化状态和生殖参数的有益作用:一项实验研究。
Int J Reprod Biomed. 2019 Jul 29;17(6):425-434. doi: 10.18502/ijrm.v17i6.4814. eCollection 2019 Jun.
5
Puberty exposure to cigarette smoke extract impairs adult spermatogenesis in the mouse.青春期接触香烟烟雾提取物会损害雄性小鼠的成年精子发生。
Reprod Toxicol. 2019 Jan;83:8-13. doi: 10.1016/j.reprotox.2018.10.012. Epub 2018 Nov 2.
6
RelB attenuates cigarette smoke extract-induced apoptosis in association with transcriptional regulation of the aryl hydrocarbon receptor.RelB通过芳烃受体的转录调控减轻香烟烟雾提取物诱导的细胞凋亡。
Free Radic Biol Med. 2017 Jul;108:19-31. doi: 10.1016/j.freeradbiomed.2017.02.045. Epub 2017 Feb 27.
7
Dysregulation of Notch and ERα signaling in AhR-/- male mice.芳烃受体基因敲除(AhR-/-)雄性小鼠中Notch和雌激素受体α(ERα)信号通路的失调
Proc Natl Acad Sci U S A. 2016 Oct 18;113(42):11883-11888. doi: 10.1073/pnas.1613269113. Epub 2016 Sep 29.
8
Cigarette smoke-induced cell death of a spermatocyte cell line can be prevented by inactivating the Aryl hydrocarbon receptor.香烟烟雾诱导的精母细胞系细胞死亡可通过使芳烃受体失活来预防。
Cell Death Discov. 2015 Oct 26;1:15050. doi: 10.1038/cddiscovery.2015.50. eCollection 2015.
9
Paternal smoking and germ cell death: A mechanistic link to the effects of cigarette smoke on spermatogenesis and possible long-term sequelae in offspring.父亲吸烟与生殖细胞死亡:香烟烟雾对精子发生的影响及后代可能的长期后遗症之间的机制联系。
Mol Cell Endocrinol. 2016 Nov 5;435:85-93. doi: 10.1016/j.mce.2016.07.015. Epub 2016 Jul 14.
10
Preventing germ cell death by inactivating aryl hydrocarbon receptor (AHR).通过使芳烃受体(AHR)失活来预防生殖细胞死亡。
Cell Death Dis. 2016 Feb 25;7(2):e2116. doi: 10.1038/cddis.2016.20.