• 文献检索
  • 文档翻译
  • 深度研究
  • 学术资讯
  • Suppr Zotero 插件Zotero 插件
  • 邀请有礼
  • 套餐&价格
  • 历史记录
应用&插件
Suppr Zotero 插件Zotero 插件浏览器插件Mac 客户端Windows 客户端微信小程序
定价
高级版会员购买积分包购买API积分包
服务
文献检索文档翻译深度研究API 文档MCP 服务
关于我们
关于 Suppr公司介绍联系我们用户协议隐私条款
关注我们

Suppr 超能文献

核心技术专利:CN118964589B侵权必究
粤ICP备2023148730 号-1Suppr @ 2026

文献检索

告别复杂PubMed语法,用中文像聊天一样搜索,搜遍4000万医学文献。AI智能推荐,让科研检索更轻松。

立即免费搜索

文件翻译

保留排版,准确专业,支持PDF/Word/PPT等文件格式,支持 12+语言互译。

免费翻译文档

深度研究

AI帮你快速写综述,25分钟生成高质量综述,智能提取关键信息,辅助科研写作。

立即免费体验

免疫功能正常的中年男性水痘肺炎 1 例报告

Varicella Pneumonia in an Immunocompetent Middle-aged Adult Male: A Case Report.

机构信息

Department of Internal Medicine, Nobel Medical College Teaching Hospital (P) Ltd., Biratnagar, Morang, Nepal.

Department of Pulmonary, Critical Care and Sleep Medicine, Nobel Medical College Teaching Hospital (P) Ltd., Biratnagar, Morang, Nepal.

出版信息

JNMA J Nepal Med Assoc. 2022 Jul 1;60(251):651-653. doi: 10.31729/jnma.7427.

DOI:10.31729/jnma.7427
PMID:36705202
原文链接:https://pmc.ncbi.nlm.nih.gov/articles/PMC9297350/
Abstract

UNLABELLED

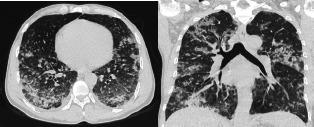
Varicella pneumonia is uncommon among adults and can present as potentially life-threatening complications of varicella. Here we report a case of a 43-year-old man with no known history of chronic disease and no allergic history who presented to our hospital emergency department with widespread skin eruptions over the entire body and hemoptysis. Varicella pneumonia was diagnosed based on the patient being in contact with his 6-year-old son who had contracted chickenpox 10 days back, typical cutaneous lesions, pulmonary symptoms and radiographic findings. The patient was treated with oral acyclovir and was admitted to the intensive care unit for monitoring. The patient recovered completely after 10 days of treatment.

KEYWORDS

chickenpox; pneumonia; skin eruptions.

摘要

未注明

成人水痘肺炎并不常见,但可出现水痘的潜在危及生命的并发症。在此,我们报告一例 43 岁男性病例,该患者无已知慢性病史,无过敏史,因全身广泛皮疹和咯血就诊于我院急诊科。根据患者与 10 天前患水痘的 6 岁儿子接触的病史、典型的皮肤损伤、肺部症状和影像学发现,诊断为水痘肺炎。患者接受阿昔洛韦口服治疗,并收入重症监护病房进行监测。经过 10 天的治疗,患者完全康复。

关键词

水痘;肺炎;皮疹。

https://cdn.ncbi.nlm.nih.gov/pmc/blobs/25e5/9297350/012354f10ade/JNMA-60-251-651-g2.jpg
https://cdn.ncbi.nlm.nih.gov/pmc/blobs/25e5/9297350/5d585f386d2e/JNMA-60-251-651-g1.jpg
https://cdn.ncbi.nlm.nih.gov/pmc/blobs/25e5/9297350/012354f10ade/JNMA-60-251-651-g2.jpg
https://cdn.ncbi.nlm.nih.gov/pmc/blobs/25e5/9297350/5d585f386d2e/JNMA-60-251-651-g1.jpg
https://cdn.ncbi.nlm.nih.gov/pmc/blobs/25e5/9297350/012354f10ade/JNMA-60-251-651-g2.jpg

相似文献

1
Varicella Pneumonia in an Immunocompetent Middle-aged Adult Male: A Case Report.免疫功能正常的中年男性水痘肺炎 1 例报告
JNMA J Nepal Med Assoc. 2022 Jul 1;60(251):651-653. doi: 10.31729/jnma.7427.
2
Varicella pneumonia in adults. A review of pulmonary manifestations, risk factors and treatment.成人水痘肺炎。肺部表现、危险因素及治疗的综述
Respiration. 1992;59(6):339-43. doi: 10.1159/000196084.
3
Early Treatment Was Life Saving in Varicella Pneumonia of an Immunocompetent Adult.早期治疗挽救了一名免疫功能正常成年人的水痘肺炎。
Arch Iran Med. 2018 May 1;21(5):223-225.
4
Treatment of varicella in the immunocompetent adult.免疫功能正常的成年人水痘的治疗。
J Med Virol. 1993;Suppl 1:90-2. doi: 10.1002/jmv.1890410517.
5
[Varicella pneumonia in the previously healthy adult].[既往健康成年人的水痘肺炎]
An Med Interna. 1999 Feb;16(2):83-6.
6
[Two cases of severe adult varicella pneumonia].[两例成人重症水痘肺炎]
Nihon Kokyuki Gakkai Zasshi. 1998 Mar;36(3):251-5.
7
[Primary infection with varicella-zoster virus in risk groups].[风险人群中的水痘-带状疱疹病毒原发性感染]
Med Pregl. 1998 Mar-Apr;51(3-4):151-4.
8
Varicella pneumonia: a case report and review.水痘肺炎:一例病例报告及文献综述
Am Fam Physician. 1994 Sep 15;50(4):793-6.
9
[Varicella zoster myopericarditis in an immunocompetent adult].[免疫功能正常成年人的水痘带状疱疹性心肌心包炎]
Acta Med Croatica. 2009 Oct;63(4):325-7.
10
Fatal chickenpox pneumonia in an asthmatic patient on oral steroids and methotrexate.一名正在服用口服类固醇和甲氨蝶呤的哮喘患者发生致命性水痘肺炎。
Thorax. 1995 Apr;50(4):422-3. doi: 10.1136/thx.50.4.422.

引用本文的文献

1
Disseminated Varicella-Zoster Virus Infection with Internal Organ Involvement: A Scoping Review of 156 Cases.播散性水痘-带状疱疹病毒感染伴内脏器官受累:156例病例的范围综述
Viruses. 2025 Aug 19;17(8):1135. doi: 10.3390/v17081135.
2
Primary Varicella Pneumonia in an Adult With Robust Immune Status: A Case Report.免疫功能正常的成年人原发性水痘肺炎:一例报告
Clin Case Rep. 2025 Jul 9;13(7):e70630. doi: 10.1002/ccr3.70630. eCollection 2025 Jul.
3
Clinical and radiological features of a cluster of immunocompetent adolescents with varicella pneumonia: a descriptive study.

本文引用的文献

1
Varicella Zoster Virus Reactivation Following COVID-19 Vaccination: A Systematic Review of Case Reports.新冠疫苗接种后水痘带状疱疹病毒再激活:病例报告的系统评价
Vaccines (Basel). 2021 Sep 11;9(9):1013. doi: 10.3390/vaccines9091013.
2
Varicella-zoster Virus Related Pulmonary Granulomas in Which Varicella-zoster Virus DNA Was Demonstrated in a Thoracoscopic Lung Biopsy Specimen.在胸腔镜肺活检标本中检测到水痘-带状疱疹病毒DNA的水痘-带状疱疹病毒相关肺肉芽肿
Intern Med. 2019 Jul 15;58(14):2101-2105. doi: 10.2169/internalmedicine.2021-18. Epub 2019 Mar 28.
3
Varicella pneumonia in adults: 13 years' experience with review of literature.
一群免疫功能正常的青少年水痘肺炎的临床和放射学特征:一项描述性研究。
J Thorac Dis. 2024 Jul 30;16(7):4379-4390. doi: 10.21037/jtd-24-149. Epub 2024 Jul 23.
成人水痘肺炎:文献复习 13 年经验。
Ann Thorac Med. 2007 Oct;2(4):163-5. doi: 10.4103/1817-1737.36551.
4
Chickenpox in adults - clinical management.成人水痘——临床管理
J Infect. 2008 Aug;57(2):95-102. doi: 10.1016/j.jinf.2008.03.004. Epub 2008 Jun 13.
5
Varicella.水痘
Lancet. 2006 Oct 14;368(9544):1365-76. doi: 10.1016/S0140-6736(06)69561-5.
6
Presentation and outcome of varicella pneumonia in adults.成人水痘肺炎的临床表现与转归
Saudi Med J. 2005 Feb;26(2):338-40.
7
Respiratory manifestations of chicken pox; special consideration of the features of primary varicella pneumonia.水痘的呼吸道表现;原发性水痘肺炎特征的特殊考量
AMA Arch Intern Med. 1956 Jul;98(1):91-9. doi: 10.1001/archinte.1956.00250250097013.
8
Lung function tests and risk factors for pneumonia in adults with chickenpox.成人水痘患者的肺功能测试及肺炎风险因素
Thorax. 2001 Oct;56(10):796-9. doi: 10.1136/thorax.56.10.796.
9
Laboratory diagnosis of herpes zoster.带状疱疹的实验室诊断
J Clin Virol. 1999 Sep;14(1):31-6. doi: 10.1016/s1386-6532(99)00042-6.
10
Varicella pneumonitis: clinical presentation and experience with acyclovir treatment in immunocompetent adults.水痘肺炎:免疫功能正常成年人的临床表现及阿昔洛韦治疗经验
Int J Infect Dis. 1998 Jan-Mar;2(3):147-51. doi: 10.1016/s1201-9712(98)90117-5.