Suppr超能文献

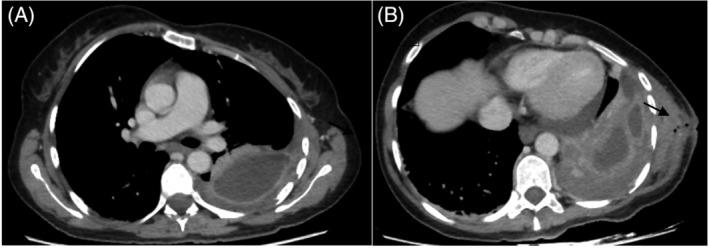
穿破性脓胸:见于一名免疫功能低下患者近期行胸廓造口术后。

Empyema necessitans: After recent thoracostomy in an immunocompromised patient.

作者信息

Almeida Borges Joana, Madama Daniela

机构信息

Pulmonology Department Centro Hospitalar e Universitário de Coimbra Coimbra Portugal.

出版信息

Respirol Case Rep. 2023 Jan 26;11(2):e01086. doi: 10.1002/rcr2.1086. eCollection 2023 Feb.

Abstract

This paper consists of a clinical image of an unexpected complication of a pleural space infection that dissects through the pleura into the soft tissues of the chest in an immunocompromised patient.

摘要

本文包含一张临床影像,展示了一名免疫功能低下患者胸膜腔感染的意外并发症,该感染穿透胸膜进入胸部软组织。

https://cdn.ncbi.nlm.nih.gov/pmc/blobs/ee5c/9880380/4cbfc0c1e564/RCR2-11-e01086-g001.jpg

文献检索

告别复杂PubMed语法,用中文像聊天一样搜索,搜遍4000万医学文献。AI智能推荐,让科研检索更轻松。

立即免费搜索

文件翻译

保留排版,准确专业,支持PDF/Word/PPT等文件格式,支持 12+语言互译。

免费翻译文档

深度研究

AI帮你快速写综述,25分钟生成高质量综述,智能提取关键信息,辅助科研写作。

立即免费体验