• 文献检索
  • 文档翻译
  • 深度研究
  • 学术资讯
  • Suppr Zotero 插件Zotero 插件
  • 邀请有礼
  • 套餐&价格
  • 历史记录
应用&插件
Suppr Zotero 插件Zotero 插件浏览器插件Mac 客户端Windows 客户端微信小程序
定价
高级版会员购买积分包购买API积分包
服务
文献检索文档翻译深度研究API 文档MCP 服务
关于我们
关于 Suppr公司介绍联系我们用户协议隐私条款
关注我们

Suppr 超能文献

核心技术专利:CN118964589B侵权必究
粤ICP备2023148730 号-1Suppr @ 2026

文献检索

告别复杂PubMed语法,用中文像聊天一样搜索,搜遍4000万医学文献。AI智能推荐,让科研检索更轻松。

立即免费搜索

文件翻译

保留排版,准确专业,支持PDF/Word/PPT等文件格式,支持 12+语言互译。

免费翻译文档

深度研究

AI帮你快速写综述,25分钟生成高质量综述,智能提取关键信息,辅助科研写作。

立即免费体验

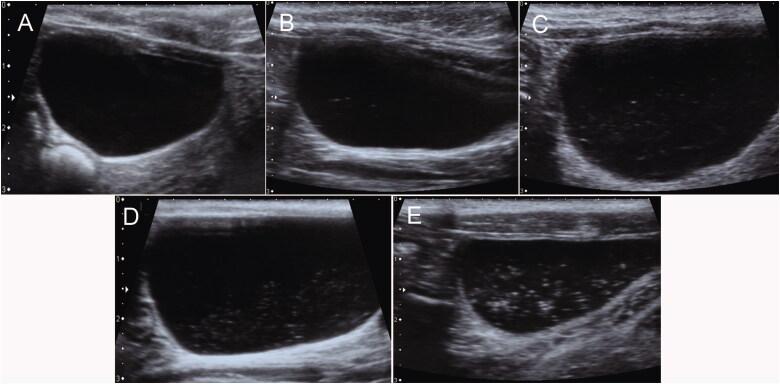
采用各向异性背散射伪影及脏器回声差异评价健康猫肾皮质回声强度。

Evaluation of renal cortical echogenicity in healthy cats using anisotropic backscatter artifacts and echogenicity differences among internal organs.

机构信息

Department of Veterinary Medicine, College of Veterinary Medicine, National Chung Hsing University, Taichung, Taiwan.

Veterinary Medical Teaching Hospital, College of Veterinary Medicine, National Chung Hsing University, Taichung, Taiwan.

出版信息

Vet Q. 2023 Dec;43(1):1-7. doi: 10.1080/01652176.2023.2177773.

DOI:10.1080/01652176.2023.2177773
PMID:36752065
原文链接:https://pmc.ncbi.nlm.nih.gov/articles/PMC9930852/
Abstract

BACKGROUND

Renal cortical anisotropic backscatter artifact (CABA) is a hyperechoic region of the renal poles where the insonation of sound beams is perpendicular to the renal tubules within the renal cortex.

AIMS

To determine whether renal CABA can be observed in healthy cats and to compare the echogenicity of renal CABA with that of the spleen and liver.

MATERIAL AND METHODS

Images of the spleen, liver, kidneys, and urinary bladder were acquired from 30 clinically healthy cats with renal CABA. Echogenicity differences among organs and echo scores within urine were recorded and analyzed. All ultrasound images were acquired using a 7.2-14-MHz linear transducer. Univariate logistic regression was used to assess the associations between the presence of renal CABA and various variables.

RESULTS

The prevalence of the renal CABA was 86.7% (26/30) and 93.3% (28/30) according to different observers. The reproducibility of renal CABA is substantial to excellent. The renal CABA echogenicity was greater or equal to the spleen and greater than the hepatic echogenicity in 90.0% of cats (27/30). For comparison with the spleen and liver, there were three and six combinations of echogenicity differences using the CABA and non-CABA regions, respectively. The renal cortical echogenicity in the CABA region was higher than the liver in all subjects. Renal CABA was not associated with age, body weight, gender, body condition score, or lipid droplets in the urinary bladder.

CONCLUSION

Renal CABA was present in most healthy cats and could be used for echogenicity comparisons with the liver and spleen.

摘要

背景

肾皮质各向异性反向散射伪像(CABA)是肾脏两极的一个高回声区域,在该处声束的照射与肾皮质内的肾小管垂直。

目的

确定健康猫是否可以观察到肾 CABA,并比较肾 CABA 的回声与脾脏和肝脏的回声。

材料和方法

对 30 只具有肾 CABA 的临床健康猫的脾脏、肝脏、肾脏和膀胱的图像进行采集。记录和分析器官之间的回声差异和尿液内的回声评分。所有超声图像均使用 7.2-14MHz 线性换能器获取。单变量逻辑回归用于评估肾 CABA 的存在与各种变量之间的关联。

结果

根据不同观察者,肾 CABA 的患病率分别为 86.7%(26/30)和 93.3%(28/30)。肾 CABA 的可重复性为中等至极好。在 90.0%(27/30)的猫中,肾 CABA 的回声强度大于或等于脾脏,且大于肝脏回声强度。与脾脏和肝脏相比,分别使用 CABA 和非 CABA 区域有三种和六种回声差异组合。在所有对象中,CABA 区域的肾皮质回声均高于肝脏。肾 CABA 与年龄、体重、性别、身体状况评分或膀胱内的脂质滴无关。

结论

大多数健康猫存在肾 CABA,可用于与肝脏和脾脏进行回声比较。

https://cdn.ncbi.nlm.nih.gov/pmc/blobs/9d17/9930852/089d2b270a05/TVEQ_A_2177773_F0003_C.jpg
https://cdn.ncbi.nlm.nih.gov/pmc/blobs/9d17/9930852/cecb28e5c898/TVEQ_A_2177773_F0001_C.jpg
https://cdn.ncbi.nlm.nih.gov/pmc/blobs/9d17/9930852/4923791d960e/TVEQ_A_2177773_F0002_C.jpg
https://cdn.ncbi.nlm.nih.gov/pmc/blobs/9d17/9930852/089d2b270a05/TVEQ_A_2177773_F0003_C.jpg
https://cdn.ncbi.nlm.nih.gov/pmc/blobs/9d17/9930852/cecb28e5c898/TVEQ_A_2177773_F0001_C.jpg
https://cdn.ncbi.nlm.nih.gov/pmc/blobs/9d17/9930852/4923791d960e/TVEQ_A_2177773_F0002_C.jpg
https://cdn.ncbi.nlm.nih.gov/pmc/blobs/9d17/9930852/089d2b270a05/TVEQ_A_2177773_F0003_C.jpg

相似文献

1
Evaluation of renal cortical echogenicity in healthy cats using anisotropic backscatter artifacts and echogenicity differences among internal organs.采用各向异性背散射伪影及脏器回声差异评价健康猫肾皮质回声强度。
Vet Q. 2023 Dec;43(1):1-7. doi: 10.1080/01652176.2023.2177773.
2
Absence of renal cortical anisotropic backscattering artifact in feline chronic kidney disease.猫慢性肾脏病中肾皮质各向异性反向散射伪影缺失。
Vet Q. 2021 Dec;41(1):210-216. doi: 10.1080/01652176.2021.1941397.
3
Correlation between change in serum creatinine concentration and renal cortical anisotropic backscattering artifact in azotemic cats during hospitalization.住院期间氮质血症猫血清肌酐浓度变化与肾皮质各向异性反向散射伪影的相关性。
Vet Q. 2024 Dec;44(1):1-8. doi: 10.1080/01652176.2024.2384910. Epub 2024 Jul 31.
4
Ultrasound elastography of the liver, spleen, and kidneys in clinically normal cats.临床正常猫肝脏、脾脏和肾脏的超声弹性成像
Vet Radiol Ultrasound. 2014 Jul-Aug;55(4):428-34. doi: 10.1111/vru.12130. Epub 2013 Dec 20.
5
Age and diet effects on relative renal echogenicity in geriatric bitches.年龄和饮食对老年母犬相对肾回声的影响。
Vet Radiol Ultrasound. 1999 Nov-Dec;40(6):642-7. doi: 10.1111/j.1740-8261.1999.tb00893.x.
6
Formulation of a standardized protocol and determination of the size and appearance of the spleen in healthy cats.制定标准化方案并确定健康猫脾脏的大小和外观。
J Feline Med Surg. 2014 Apr;16(4):326-32. doi: 10.1177/1098612X13508947. Epub 2013 Nov 11.
7
Quantitative assessment of renal cortical echogenicity in clinically normal cats.临床正常猫肾皮质回声的定量评估。
Anat Histol Embryol. 2008 Oct;37(5):383-6. doi: 10.1111/j.1439-0264.2008.00866.x. Epub 2008 May 29.
8
Effect of anisotropy and spatial compound imaging on renal cortical echogenicity in dogs.各向异性和空间复合成像对犬肾皮质回声的影响。
Vet Radiol Ultrasound. 2013 Nov-Dec;54(6):659-65. doi: 10.1111/vru.12056. Epub 2013 Jun 13.
9
Quantification of hepatic and renal cortical echogenicity in clinically normal cats.临床正常猫肝脏和肾皮质回声的定量分析。
Am J Vet Res. 2000 Sep;61(9):1016-20. doi: 10.2460/ajvr.2000.61.1016.
10
Relationship of diagnostic accuracy of renal cortical echogenicity with renal histopathology in dogs and cats, a quantitative study.犬猫肾皮质回声诊断准确性与肾组织病理学的关系:一项定量研究
BMC Vet Res. 2017 Jan 17;13(1):24. doi: 10.1186/s12917-016-0941-z.

本文引用的文献

1
Absence of renal cortical anisotropic backscattering artifact in feline chronic kidney disease.猫慢性肾脏病中肾皮质各向异性反向散射伪影缺失。
Vet Q. 2021 Dec;41(1):210-216. doi: 10.1080/01652176.2021.1941397.
2
CT features of feline lipiduria and renal cortical lipid deposition.猫脂质尿症和肾皮质脂质沉积的 CT 特征。
J Feline Med Surg. 2021 Apr;23(4):357-363. doi: 10.1177/1098612X20957161. Epub 2020 Sep 22.
3
Feline abdominal ultrasonography: what's normal? what's abnormal? The kidneys and perinephric space.猫科动物腹部超声检查:正常是什么样?异常是什么样?肾脏和肾周间隙。
J Feline Med Surg. 2020 May;22(5):409-427. doi: 10.1177/1098612X20917598.
4
Relationship of diagnostic accuracy of renal cortical echogenicity with renal histopathology in dogs and cats, a quantitative study.犬猫肾皮质回声诊断准确性与肾组织病理学的关系:一项定量研究
BMC Vet Res. 2017 Jan 17;13(1):24. doi: 10.1186/s12917-016-0941-z.
5
Formulation of a standardized protocol and determination of the size and appearance of the spleen in healthy cats.制定标准化方案并确定健康猫脾脏的大小和外观。
J Feline Med Surg. 2014 Apr;16(4):326-32. doi: 10.1177/1098612X13508947. Epub 2013 Nov 11.
6
Ultrasonographic characteristics of lipiduria in clinically normal cats.临床正常猫脂尿症的超声特征
Vet Radiol Ultrasound. 2014 Mar-Apr;55(2):195-201. doi: 10.1111/vru.12100. Epub 2013 Sep 17.
7
Ultrasonography of the feline kidney: Technique, anatomy and changes associated with disease.猫肾脏的超声检查:技术、解剖结构及与疾病相关的变化。
J Feline Med Surg. 2012 Nov;14(11):794-803. doi: 10.1177/1098612X12464461.
8
Evaluation of a nine-point body condition scoring system in physically inactive pet cats.对缺乏运动的宠物猫采用九点体况评分系统的评估。
Am J Vet Res. 2011 Apr;72(4):433-7. doi: 10.2460/ajvr.72.4.433.
9
Qualitative and quantitative comparison of renal vs. hepatic ultrasonographic intensity in healthy dogs.健康犬肾与肝超声强度的定性和定量比较。
Vet Radiol Ultrasound. 2008 Jul-Aug;49(4):368-73. doi: 10.1111/j.1740-8261.2008.00383.x.
10
Quantitative assessment of renal cortical echogenicity in clinically normal cats.临床正常猫肾皮质回声的定量评估。
Anat Histol Embryol. 2008 Oct;37(5):383-6. doi: 10.1111/j.1439-0264.2008.00866.x. Epub 2008 May 29.