Suppr超能文献

终末期肾病并慢性血液透析患者阴茎钙化防御:病例报告。

Penile calciphylaxis in a patient with end-stage renal disease and chronic hemodialysis: a case report.

机构信息

Urology Department, Cheikh Zaid International Hospital, Abulcasis International University, Rabat, Morocco.

Nephrology Department, Cheikh Zaid International Hospital, Abulcasis International University, Rabat, Morocco.

出版信息

Pan Afr Med J. 2022 Nov 14;43:136. doi: 10.11604/pamj.2022.43.136.37673. eCollection 2022.

Abstract

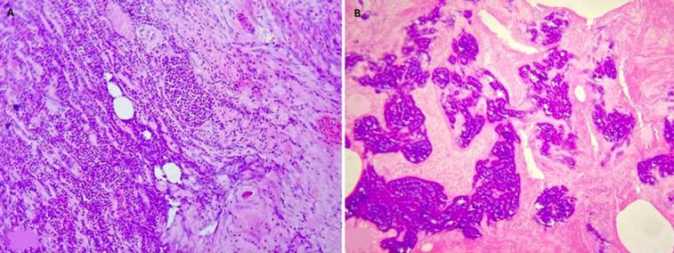
Penile calciphylaxis is a rare and highly morbid condition mainly affecting diabetic patients with chronic renal failure (CRF). It is characterized by ischemic skin ulceration and necrosis secondary to dystrophic calcification of the subcutaneous penile tissue and penile arterioles. We report a 52-year-old male with a 6-year history of diabetes mellitus and CRF on hemodialysis, who presented with a painful penile necrotic lesion in the last three weeks. He firstly treated with medical treatment, which was failed. Then underwent total penectomy. The histopathology result confirmed the diagnosis of penile calciphylaxis. Unfortunately, he passed away due to septic shock and multisystem organ failure ten days after surgery. In conclusion, the diagnosis of penile calciphylaxis must be evoked in the presence of any minimal necrotic penile lesion in a patient with CRF; this will initiate quick medical and/or minimally invasive surgical treatment to improve the patient's prognosis and avoid serious complications.

摘要

阴茎钙化性营养不良是一种罕见且高度病态的疾病,主要影响患有慢性肾衰竭 (CRF) 的糖尿病患者。其特征是由于阴茎皮下组织和小动脉的营养不良性钙化,导致缺血性皮肤溃疡和坏死。我们报告了一位 52 岁男性,患有糖尿病和 CRF,血液透析 6 年,在过去三周出现疼痛性阴茎坏死性病变。他最初接受了药物治疗,但失败了。然后进行了全阴茎切除术。组织病理学结果证实了阴茎钙化性营养不良的诊断。不幸的是,他在手术后十天因感染性休克和多器官功能衰竭而去世。总之,对于 CRF 患者任何轻微的阴茎坏死性病变,都必须考虑到阴茎钙化性营养不良的诊断;这将启动快速的医疗和/或微创外科治疗,以改善患者的预后并避免严重并发症。

https://cdn.ncbi.nlm.nih.gov/pmc/blobs/9664/9898768/58f4db21eedf/PAMJ-43-136-g001.jpg

文献检索

告别复杂PubMed语法,用中文像聊天一样搜索,搜遍4000万医学文献。AI智能推荐,让科研检索更轻松。

立即免费搜索

文件翻译

保留排版,准确专业,支持PDF/Word/PPT等文件格式,支持 12+语言互译。

免费翻译文档

深度研究

AI帮你快速写综述,25分钟生成高质量综述,智能提取关键信息,辅助科研写作。

立即免费体验