• 文献检索
  • 文档翻译
  • 深度研究
  • 学术资讯
  • Suppr Zotero 插件Zotero 插件
  • 邀请有礼
  • 套餐&价格
  • 历史记录
应用&插件
Suppr Zotero 插件Zotero 插件浏览器插件Mac 客户端Windows 客户端微信小程序
定价
高级版会员购买积分包购买API积分包
服务
文献检索文档翻译深度研究API 文档MCP 服务
关于我们
关于 Suppr公司介绍联系我们用户协议隐私条款
关注我们

Suppr 超能文献

核心技术专利:CN118964589B侵权必究
粤ICP备2023148730 号-1Suppr @ 2026

文献检索

告别复杂PubMed语法,用中文像聊天一样搜索,搜遍4000万医学文献。AI智能推荐,让科研检索更轻松。

立即免费搜索

文件翻译

保留排版,准确专业,支持PDF/Word/PPT等文件格式,支持 12+语言互译。

免费翻译文档

深度研究

AI帮你快速写综述,25分钟生成高质量综述,智能提取关键信息,辅助科研写作。

立即免费体验

多发性骨髓瘤所致脊柱病变的手术干预:一例报告

Surgical Intervention for Spinal Lesions Due to Multiple Myeloma: A Case Report.

作者信息

Almetrek Metrek A, Mahjari Ahood A, Aldharman Sarah S, Amer Khaled A, Balobaid Manar F, Madkhali Abdullah, Alsayary Aisha M, Alsubaie Sarah F

机构信息

Family Medicine, Ministry of Health Holdings, Abha, SAU.

College of Medicine, Najran University, Najran, SAU.

出版信息

Cureus. 2023 Jan 8;15(1):e33505. doi: 10.7759/cureus.33505. eCollection 2023 Jan.

DOI:10.7759/cureus.33505
PMID:36779098
原文链接:https://pmc.ncbi.nlm.nih.gov/articles/PMC9904514/
Abstract

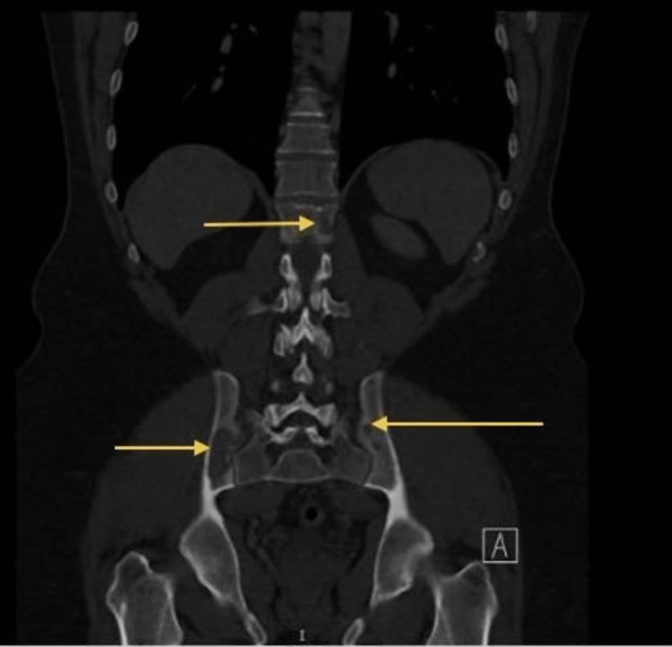
Vertebral disease is a main source of morbidity (MM) in individuals with multiple myeloma. The effects of associated osteolytic lesions and vertebral fractures on severe pain, functional limits, spinal deformity, and cord compression are well recognized. Systemic therapy, radiation, cementoplasty (vertebroplasty/kyphoplasty), and radiofrequency ablation are now available therapeutic options for severe MM spinal pain. We here reported a case of a 45-year-old male who had complained of progressive symptoms of pathological spine fractures. He had been examined and investigated for the cause of lytic lesions and found to have multiple fractures in the spine. A computed tomography (CT) revealed multiple osteolytic lesions noted in the thoracolumbar spine, ribs (bilaterally), and pelvic bones. Magnetic resonance imaging (MRI) showed a compression fracture of the T8 vertebral body with evidence of retro-bulging and a spinal canal narrowing. However, there was no evidence of spinal cord abnormal signal intensity. T2 weighted image (T2WI) keeping with edema is noted. A surgical intervention fixed the fracture and improved the quality of life. Vertebroplasty, a minimally invasive procedure, as a treatment option for vertebral lesions and pathologic fractures in the MM, showed good clinical improvement in the patient.

摘要

脊柱疾病是多发性骨髓瘤患者发病的主要原因。相关溶骨性病变和椎体骨折对剧痛、功能受限、脊柱畸形和脊髓压迫的影响已得到充分认识。全身治疗、放疗、骨水泥成形术(椎体成形术/后凸成形术)和射频消融是目前治疗严重骨髓瘤脊柱疼痛的可用治疗选择。我们在此报告一例45岁男性病例,该患者主诉病理性脊柱骨折症状进行性加重。他接受了检查并对溶骨性病变的病因进行了调查,发现脊柱有多处骨折。计算机断层扫描(CT)显示胸腰椎、肋骨(双侧)和骨盆骨有多处溶骨性病变。磁共振成像(MRI)显示T8椎体压缩性骨折,伴有后凸和椎管狭窄。然而,没有脊髓异常信号强度的证据。可见符合水肿的T2加权像(T2WI)。手术干预固定了骨折并改善了生活质量。椎体成形术作为一种微创手术,作为骨髓瘤椎体病变和病理性骨折的治疗选择,在该患者中显示出良好的临床改善效果。

https://cdn.ncbi.nlm.nih.gov/pmc/blobs/1736/9904514/1932a8ffba46/cureus-0015-00000033505-i06.jpg
https://cdn.ncbi.nlm.nih.gov/pmc/blobs/1736/9904514/771d2cf795fd/cureus-0015-00000033505-i01.jpg
https://cdn.ncbi.nlm.nih.gov/pmc/blobs/1736/9904514/99f738810494/cureus-0015-00000033505-i02.jpg
https://cdn.ncbi.nlm.nih.gov/pmc/blobs/1736/9904514/32386e7c15e1/cureus-0015-00000033505-i03.jpg
https://cdn.ncbi.nlm.nih.gov/pmc/blobs/1736/9904514/eab1e0d1d3d1/cureus-0015-00000033505-i04.jpg
https://cdn.ncbi.nlm.nih.gov/pmc/blobs/1736/9904514/4f251ef4c855/cureus-0015-00000033505-i05.jpg
https://cdn.ncbi.nlm.nih.gov/pmc/blobs/1736/9904514/1932a8ffba46/cureus-0015-00000033505-i06.jpg
https://cdn.ncbi.nlm.nih.gov/pmc/blobs/1736/9904514/771d2cf795fd/cureus-0015-00000033505-i01.jpg
https://cdn.ncbi.nlm.nih.gov/pmc/blobs/1736/9904514/99f738810494/cureus-0015-00000033505-i02.jpg
https://cdn.ncbi.nlm.nih.gov/pmc/blobs/1736/9904514/32386e7c15e1/cureus-0015-00000033505-i03.jpg
https://cdn.ncbi.nlm.nih.gov/pmc/blobs/1736/9904514/eab1e0d1d3d1/cureus-0015-00000033505-i04.jpg
https://cdn.ncbi.nlm.nih.gov/pmc/blobs/1736/9904514/4f251ef4c855/cureus-0015-00000033505-i05.jpg
https://cdn.ncbi.nlm.nih.gov/pmc/blobs/1736/9904514/1932a8ffba46/cureus-0015-00000033505-i06.jpg

相似文献

1
Surgical Intervention for Spinal Lesions Due to Multiple Myeloma: A Case Report.多发性骨髓瘤所致脊柱病变的手术干预:一例报告
Cureus. 2023 Jan 8;15(1):e33505. doi: 10.7759/cureus.33505. eCollection 2023 Jan.
2
Functional outcomes and height restoration for patients with multiple myeloma-related osteolytic vertebral compression fractures treated with kyphoplasty.经皮椎体后凸成形术治疗多发性骨髓瘤相关溶骨性椎体压缩骨折患者的功能预后和身高恢复情况
J Spinal Disord Tech. 2014 Aug;27(6):342-6. doi: 10.1097/BSD.0b013e318260a076.
3
Evaluating Treatment Strategies for Spinal Lesions in Multiple Myeloma: A Review of the Literature.评估多发性骨髓瘤脊柱病变的治疗策略:文献综述
Int J Spine Surg. 2018 Oct 15;12(5):571-581. doi: 10.14444/5070. eCollection 2018 Oct.
4
Balloon kyphoplasty: an evidence-based analysis.球囊椎体后凸成形术:一项基于证据的分析。
Ont Health Technol Assess Ser. 2004;4(12):1-45. Epub 2004 Dec 1.
5
An evidence-based evaluation of percutaneous vertebroplasty.经皮椎体成形术的循证评估
Manag Care. 2000 Mar;9(3):56-60, 63.
6
A minimally invasive surgical treatment possibility of osteolytic vertebral collapse in multiple myeloma.多发性骨髓瘤溶骨性椎体塌陷的一种微创手术治疗可能性
Eur Spine J. 2009 Jun;18 Suppl 1(Suppl 1):115-21. doi: 10.1007/s00586-009-0977-x. Epub 2009 May 13.
7
[A prospective two-year follow-up of thoracic and lumbar osteolytic vertebral fractures caused by multiple myeloma treated with balloon kyphoplasty].[经皮球囊扩张椎体后凸成形术治疗多发性骨髓瘤所致胸腰椎溶骨性椎体骨折的前瞻性两年随访]
Z Orthop Ihre Grenzgeb. 2007 Jan-Feb;145(1):39-47. doi: 10.1055/s-2007-960502.
8
Percutaneous vertebroplasty for treatment of painful osteoporotic vertebral compression fractures: an evidence-based analysis.经皮椎体成形术治疗疼痛性骨质疏松性椎体压缩骨折:一项循证分析
Ont Health Technol Assess Ser. 2010;10(19):1-45. Epub 2010 Oct 1.
9
Vertebral Augmentation Involving Vertebroplasty or Kyphoplasty for Cancer-Related Vertebral Compression Fractures: A Systematic Review.椎体强化术(包括椎体成形术或后凸成形术)治疗癌症相关椎体压缩骨折的系统评价
Ont Health Technol Assess Ser. 2016 May 1;16(11):1-202. eCollection 2016.
10
Continuous multiple vertebral compression fractures in multiple myeloma patient.多发性骨髓瘤患者的连续性多椎体压缩性骨折
Korean J Spine. 2012 Mar;9(1):37-40. doi: 10.14245/kjs.2012.9.1.37. Epub 2012 Mar 31.

引用本文的文献

1
A Comparative Study of the Outcomes of Surgically Versus Non-Surgically Treated Spinal Disease in Patients With Multiple Myeloma: Northern Ireland's Experience.多发性骨髓瘤患者脊柱疾病手术治疗与非手术治疗结果的比较研究:北爱尔兰的经验
EJHaem. 2025 Jun 1;6(3):e70071. doi: 10.1002/jha2.70071. eCollection 2025 Jun.
2
Lesions of the spinal cord caused by multiple myeloma: A systematic review and meta-analysis regarding the neurosurgical aspects of patient management.多发性骨髓瘤所致脊髓病变:关于患者管理神经外科方面的系统评价和荟萃分析
J Craniovertebr Junction Spine. 2023 Oct-Dec;14(4):313-318. doi: 10.4103/jcvjs.jcvjs_111_23. Epub 2023 Nov 29.
3

本文引用的文献

1
Multiple myeloma: 2022 update on diagnosis, risk stratification, and management.多发性骨髓瘤:2022 年诊断、风险分层和治疗的更新。
Am J Hematol. 2022 Aug;97(8):1086-1107. doi: 10.1002/ajh.26590. Epub 2022 May 23.
2
Multiple Myeloma: Molecular Pathogenesis and Disease Evolution.多发性骨髓瘤:分子发病机制与疾病演变。
Oncol Res Treat. 2021;44(12):672-681. doi: 10.1159/000520312. Epub 2021 Nov 8.
3
Cancer Statistics, 2021.癌症统计数据,2021.
Vertebral Primary Bone Lesions: Review of Management Options.
脊柱原发性骨病变:治疗方法选择的综述。
Curr Oncol. 2023 Mar 4;30(3):3064-3078. doi: 10.3390/curroncol30030232.
CA Cancer J Clin. 2021 Jan;71(1):7-33. doi: 10.3322/caac.21654. Epub 2021 Jan 12.
4
Multiple Myeloma, Version 3.2021, NCCN Clinical Practice Guidelines in Oncology.多发性骨髓瘤,第 3.2021 版,NCCN 肿瘤学临床实践指南。
J Natl Compr Canc Netw. 2020 Dec 2;18(12):1685-1717. doi: 10.6004/jnccn.2020.0057.
5
Vertebral compression fractures in multiple myeloma: redefining the priorities during the COVID-19 pandemic.多发性骨髓瘤中的椎体压缩性骨折:重新定义COVID-19大流行期间的优先事项
Aging Clin Exp Res. 2020 Jul;32(7):1203-1206. doi: 10.1007/s40520-020-01590-4. Epub 2020 May 14.
6
Multiple myeloma: 2020 update on diagnosis, risk-stratification and management.多发性骨髓瘤:2020 年诊断、风险分层和治疗更新。
Am J Hematol. 2020 May;95(5):548-567. doi: 10.1002/ajh.25791.
7
Prevalence and factors associated with low back pain among health care workers in southwestern Saudi Arabia.沙特阿拉伯西南部医护人员中腰痛的患病率及相关因素
BMC Musculoskelet Disord. 2019 Feb 8;20(1):56. doi: 10.1186/s12891-019-2431-5.
8
Multiple myeloma: 2014 Update on diagnosis, risk-stratification, and management.多发性骨髓瘤:2014 年诊断、风险分层和治疗更新。
Am J Hematol. 2014 Oct;89(10):999-1009. doi: 10.1002/ajh.23810.
9
Metastatic cancer mimicking mechanical low back pain: a case report.转移性癌症酷似机械性腰痛:一例报告。
J Man Manip Ther. 2014 Aug;22(3):162-9. doi: 10.1179/2042618613Y.0000000056.
10
Multiple myeloma: from diagnosis to treatment.多发性骨髓瘤:从诊断到治疗
Aust Fam Physician. 2013 Oct;42(10):684-8.