Suppr超能文献

评价黏附性他克莫司软膏对口腔扁平苔藓中半胱氨酸天冬氨酸蛋白酶-3 诱导的细胞凋亡的作用:一项随机临床试验。

Evaluation of muco-adhesive tacrolimus patch on caspase-3 induced apoptosis in oral lichen planus: a randomized clinical trial.

机构信息

Department of Oral Medicine, Periodontology and Oral Diagnosis, Faculty of Dentistry, Ain Shams University, Cairo, Egypt.

Department of Oral Medicine, Periodontology Oral Diagnosis and Radiology, Faculty of Dental Medicine, Nahda University, Beni Suef, Egypt.

出版信息

BMC Oral Health. 2023 Feb 14;23(1):99. doi: 10.1186/s12903-023-02803-8.

Abstract

BACKGROUND

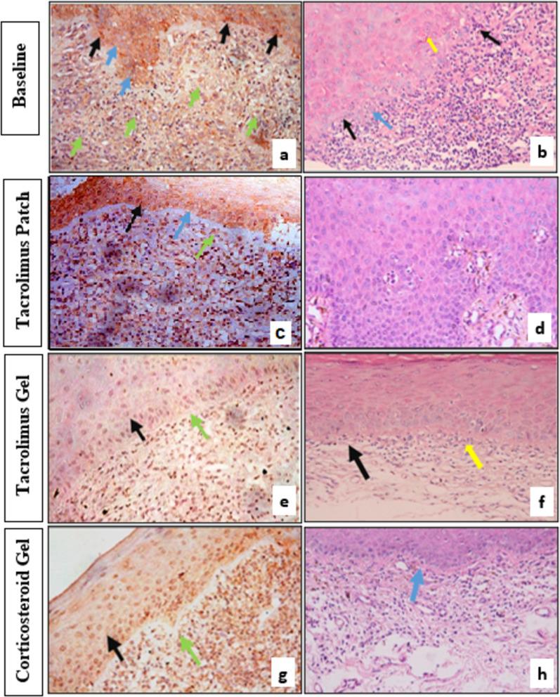
The study compared the clinical effectiveness of topical Tacrolimus (TAC) in patches or gel with Triamcinolone acetonide (TRI) gel for erosive/atrophic oral lichen planus (OLP) and investigated the influence of these therapies on Caspase-3 expression as a marker of apoptosis.

METHODS

Thirty patients were randomly assigned into three equal groups to receive either topical TAC 0.1% patch twice daily, topical TAC 0.1% gel, or topical TRI 0.1% gel four times daily for 8 weeks. Each patient's clinical score (CS), visual analogue scale (VAS), and total atrophic area (TAA) of the marker lesion were measured at baseline, 2, 4, and 8 weeks of treatment, as well as after 4 weeks of treatment free period. Caspase-3 expression and lymphocytic counts (LC) were assessed in pre- and post-treatment biopsied stained sections.

RESULTS

TAC patch resulted in a higher reduction in CS [- 14.00 (15.54%)] and VAS [- 70.21 (15.82%)] followed by TAC gel then TRI gel within the first two weeks. The reduction in VAS and TAA were significantly higher in TAC groups compared to TRI gel, although the difference between TAC treatment was not significant and this was observed throughout the treatment and follow-up periods. Caspase-3 expression increased in connective tissue in all groups. It decreased significantly within the epithelium in both TAC groups but increased in TRI gel. (LC) were significantly lowered with the TAC patch compared to other groups. The percentage change in Caspase-3 epithelial expression was significantly correlated to the CS, TAA, and LC.

CONCLUSION

Both TAC patch and gel significantly decreased pain and lesion size than TRI gel, with a significant reduction in Caspase-3 expression within the epithelium in comparison to the increase seen with TRI gel. The study protocol was registered at www.

CLINICALTRIALS

gov (NCT05139667) on 01/12/2021.

摘要

背景

本研究比较了局部他克莫司(TAC)贴剂或凝胶与曲安奈德(TRI)凝胶治疗糜烂/萎缩性口腔扁平苔藓(OLP)的临床疗效,并研究了这些治疗方法对作为细胞凋亡标志物的半胱氨酸天冬氨酸蛋白酶-3(Caspase-3)表达的影响。

方法

将 30 名患者随机分为三组,分别接受每日两次局部他克莫司 0.1%贴剂、局部他克莫司 0.1%凝胶或每日四次局部曲安奈德 0.1%凝胶治疗,疗程为 8 周。在治疗前、治疗 2、4 和 8 周以及治疗结束后 4 周的无治疗期,测量每位患者的临床评分(CS)、视觉模拟评分(VAS)和标记病变的总萎缩面积(TAA)。在治疗前后的活检染色切片中评估 Caspase-3 表达和淋巴细胞计数(LC)。

结果

TAC 贴剂在治疗的前两周内可使 CS(-14.00[15.54%])和 VAS(-70.21[15.82%])显著降低,随后是 TAC 凝胶,然后是 TRI 凝胶。与 TRI 凝胶相比,TAC 组在 VAS 和 TAA 方面的降低更为显著,尽管 TAC 治疗之间的差异不显著,且这种情况在整个治疗和随访期间都观察到。在所有组中,Caspase-3 在结缔组织中的表达均增加。在两个 TAC 组的上皮内,Caspase-3 表达显著降低,但在 TRI 凝胶中增加。(LC)与其他组相比,TAC 贴剂显著降低。上皮细胞中 Caspase-3 表达的百分比变化与 CS、TAA 和 LC 显著相关。

结论

与 TRI 凝胶相比,TAC 贴剂和凝胶均显著降低疼痛和病变大小,与 TRI 凝胶相比,上皮细胞中的 Caspase-3 表达显著降低。该研究方案于 2021 年 12 月 1 日在 www.clinicaltrials.gov(NCT05139667)注册。

https://cdn.ncbi.nlm.nih.gov/pmc/blobs/f2bb/9930326/76eb366890b3/12903_2023_2803_Fig1_HTML.jpg

文献检索

告别复杂PubMed语法,用中文像聊天一样搜索,搜遍4000万医学文献。AI智能推荐,让科研检索更轻松。

立即免费搜索

文件翻译

保留排版,准确专业,支持PDF/Word/PPT等文件格式,支持 12+语言互译。

免费翻译文档

深度研究

AI帮你快速写综述,25分钟生成高质量综述,智能提取关键信息,辅助科研写作。

立即免费体验