Suppr超能文献

APC/C 依赖性降解 Spd2 调控果蝇神经干细胞中心体不对称性。

APC/C-dependent degradation of Spd2 regulates centrosome asymmetry in Drosophila neural stem cells.

机构信息

Department of Genetics, University of Cambridge, Cambridge, UK.

Department of Medical Sciences, Institute of Biomedicine-iBiMED, University of Aveiro, Aveiro, Portugal.

出版信息

EMBO Rep. 2023 Apr 5;24(4):e55607. doi: 10.15252/embr.202255607. Epub 2023 Feb 28.

Abstract

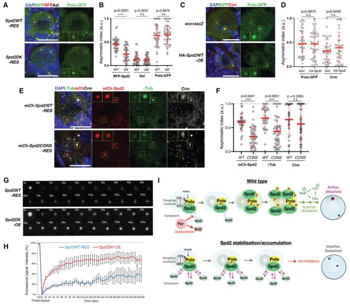
A functional centrosome is vital for the development and physiology of animals. Among numerous regulatory mechanisms of the centrosome, ubiquitin-mediated proteolysis is known to be critical for the precise regulation of centriole duplication. However, its significance beyond centrosome copy number control remains unclear. Using an in vitro screen for centrosomal substrates of the APC/C ubiquitin ligase in Drosophila, we identify several conserved pericentriolar material (PCM) components, including the inner PCM protein Spd2. We show that Spd2 levels are controlled by the interphase-specific form of APC/C, APC/C , in cultured cells and developing brains. Increased Spd2 levels compromise neural stem cell-specific asymmetric PCM recruitment and microtubule nucleation at interphase centrosomes, resulting in partial randomisation of the division axis and segregation patterns of the daughter centrosome in the following mitosis. We further provide evidence that APC/C -dependent Spd2 degradation restricts the amount and mobility of Spd2 at the daughter centrosome, thereby facilitating the accumulation of Polo-dependent Spd2 phosphorylation for PCM recruitment. Our study underpins the critical role of cell cycle-dependent proteolytic regulation of the PCM in stem cells.

摘要

一个功能性的中心体对于动物的发育和生理功能至关重要。在中心体的众多调控机制中,泛素介导的蛋白水解作用对于中心体复制的精确调控至关重要。然而,其在中心体数量控制之外的意义尚不清楚。我们利用果蝇中 APC/C 泛素连接酶的中心体底物的体外筛选,鉴定出几个保守的中心粒周围物质(PCM)成分,包括内 PCM 蛋白 Spd2。我们表明,Spd2 的水平受到 APC/C 的间期特异性形式 APC/C 的控制,在培养细胞和发育中的大脑中也是如此。Spd2 水平的增加会损害神经干细胞特异性的不对称 PCM 募集和有丝分裂前期中心体的微管核形成,导致分裂轴的部分随机化和随后的有丝分裂中女儿中心体的分离模式。我们进一步提供证据表明,APC/C 依赖性 Spd2 降解限制了女儿中心体中 Spd2 的数量和迁移性,从而促进了 Polo 依赖性 Spd2 磷酸化对 PCM 募集的积累。我们的研究支持了细胞周期依赖性 PCM 蛋白水解调节在干细胞中的关键作用。

https://cdn.ncbi.nlm.nih.gov/pmc/blobs/09b5/10074082/0be5ce0dddfc/EMBR-24-e55607-g002.jpg

文献检索

告别复杂PubMed语法,用中文像聊天一样搜索,搜遍4000万医学文献。AI智能推荐,让科研检索更轻松。

立即免费搜索

文件翻译

保留排版,准确专业,支持PDF/Word/PPT等文件格式,支持 12+语言互译。

免费翻译文档

深度研究

AI帮你快速写综述,25分钟生成高质量综述,智能提取关键信息,辅助科研写作。

立即免费体验