• 文献检索
  • 文档翻译
  • 深度研究
  • 学术资讯
  • Suppr Zotero 插件Zotero 插件
  • 邀请有礼
  • 套餐&价格
  • 历史记录
应用&插件
Suppr Zotero 插件Zotero 插件浏览器插件Mac 客户端Windows 客户端微信小程序
定价
高级版会员购买积分包购买API积分包
服务
文献检索文档翻译深度研究API 文档MCP 服务
关于我们
关于 Suppr公司介绍联系我们用户协议隐私条款
关注我们

Suppr 超能文献

核心技术专利:CN118964589B侵权必究
粤ICP备2023148730 号-1Suppr @ 2026

文献检索

告别复杂PubMed语法,用中文像聊天一样搜索,搜遍4000万医学文献。AI智能推荐,让科研检索更轻松。

立即免费搜索

文件翻译

保留排版,准确专业,支持PDF/Word/PPT等文件格式,支持 12+语言互译。

免费翻译文档

深度研究

AI帮你快速写综述,25分钟生成高质量综述,智能提取关键信息,辅助科研写作。

立即免费体验

针刺治疗电创伤继发丘脑和中脑损伤:一例报告。

Acupuncture for the treatment of thalamencephalic and mesencephalic injury secondary to electrical trauma: A case report.

作者信息

Jiang Hailun, Zhang Yi, Zhang Jieying, Li Boxuan, Zhu Weiming, Liu Chaoda, Deng Shizhe, Du Yuzheng, Meng Zhihong

机构信息

National Clinical Research Center for Chinese Medicine Acupuncture and Moxibustion, Tianjin, China.

Tianjin University of Traditional Chinese Medicine, Tianjin, China.

出版信息

Front Neurosci. 2023 Mar 6;17:1139537. doi: 10.3389/fnins.2023.1139537. eCollection 2023.

DOI:10.3389/fnins.2023.1139537
PMID:36950129
原文链接:https://pmc.ncbi.nlm.nih.gov/articles/PMC10025331/
Abstract

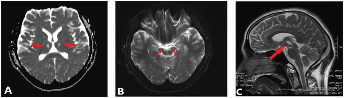
In a case of thalamencephalic and mesencephalic injury secondary to electrical trauma, a 29-year-old patient has been receiving manual acupuncture for 17 months in National Clinical Research Center for Chinese Medicine Acupuncture and Moxibustion. As a result of treatment, the patient's self-care ability and quality of life have greatly improved. In order to fully understand how acupuncture can benefit neurological sequelae resulting from electrical trauma, further research is needed. Additionally, there should be consideration given to the promotion of acupuncture therapy in the neurological sequelae of electric shock.

摘要

在一例因电击伤继发丘脑和中脑损伤的病例中,一名29岁患者在国家中医针灸临床研究中心接受了17个月的手动针灸治疗。经过治疗,患者的自我护理能力和生活质量有了很大提高。为了充分了解针灸如何有益于电击伤所致神经后遗症,还需要进一步研究。此外,应考虑在电击伤神经后遗症中推广针灸疗法。

https://cdn.ncbi.nlm.nih.gov/pmc/blobs/0103/10025331/cfd698501b96/fnins-17-1139537-g0003.jpg
https://cdn.ncbi.nlm.nih.gov/pmc/blobs/0103/10025331/854cdc74a9df/fnins-17-1139537-g0001.jpg
https://cdn.ncbi.nlm.nih.gov/pmc/blobs/0103/10025331/02f7d506cb44/fnins-17-1139537-g0002.jpg
https://cdn.ncbi.nlm.nih.gov/pmc/blobs/0103/10025331/cfd698501b96/fnins-17-1139537-g0003.jpg
https://cdn.ncbi.nlm.nih.gov/pmc/blobs/0103/10025331/854cdc74a9df/fnins-17-1139537-g0001.jpg
https://cdn.ncbi.nlm.nih.gov/pmc/blobs/0103/10025331/02f7d506cb44/fnins-17-1139537-g0002.jpg
https://cdn.ncbi.nlm.nih.gov/pmc/blobs/0103/10025331/cfd698501b96/fnins-17-1139537-g0003.jpg

相似文献

1
Acupuncture for the treatment of thalamencephalic and mesencephalic injury secondary to electrical trauma: A case report.针刺治疗电创伤继发丘脑和中脑损伤:一例报告。
Front Neurosci. 2023 Mar 6;17:1139537. doi: 10.3389/fnins.2023.1139537. eCollection 2023.
2
[Quality assessment on the case reports in based on the guideline for the case report of TCM in China].[基于中国中医病例报告指南对[具体文献名称]中病例报告的质量评估] (你提供的原文中“based on...”部分内容缺失具体所依据的文献,我按格式翻译了,括号里是对缺失内容补充后的完整示意)
Zhongguo Zhen Jiu. 2018 Oct 12;38(10):1129-32. doi: 10.13703/j.0255-2930.2018.10.027.
3
Neurological and neurourological complications of electrical injuries.电损伤的神经和神经泌尿学并发症。
Neurol Neurochir Pol. 2021;55(1):12-23. doi: 10.5603/JNNS.a2020.0076. Epub 2020 Oct 7.
4
[A new idea for developing closed-loop feedback electrical acupoint stimulation devices based on classic acupuncture theory].基于经典针灸理论开发闭环反馈电穴位刺激装置的新思路
Zhen Ci Yan Jiu. 2021 Jun 25;46(6):455-9. doi: 10.13702/j.1000-0607.20210115.
5
Acupuncture and moxibustion for chronic fatigue syndrome in traditional Chinese medicine: a systematic review and meta-analysis.中医针灸治疗慢性疲劳综合征:一项系统评价与Meta分析
BMC Complement Altern Med. 2017 Mar 23;17(1):163. doi: 10.1186/s12906-017-1647-x.
6
[Therapeutic effect of electric-balance stimulation with scalp acupuncture for motor aphasia after cerebral infarction].头皮针电平衡刺激对脑梗死运动性失语的治疗作用
Zhongguo Zhen Jiu. 2021 Nov 12;41(11):1211-5. doi: 10.13703/j.0255-2930.20210302-k0005.
7
[Analysis of the distribution of diseases in 6435 inpatients from the department of acupuncture and moxibustion].[6435例针灸科住院患者疾病分布情况分析]
Zhongguo Zhen Jiu. 2011 Oct;31(10):941-4.
8
[The role of acupuncture and moxibustion in organized medicine of pain].[针灸在疼痛有序医疗中的作用]
Zhongguo Zhen Jiu. 2013 Jun;33(6):553-6.
9
Acupuncture and moxibustion in patients with cancer-related insomnia: A systematic review and network meta-analysis.针灸与艾灸治疗癌症相关失眠患者:一项系统评价与网状Meta分析
Front Psychiatry. 2023 Feb 16;14:1108686. doi: 10.3389/fpsyt.2023.1108686. eCollection 2023.
10
Acupuncture for symptomatic gastroparesis.针刺治疗症状性胃轻瘫
Cochrane Database Syst Rev. 2018 Dec 18;12(12):CD009676. doi: 10.1002/14651858.CD009676.pub2.

引用本文的文献

1
Acupuncture and Moxibustion in the Treatment of Gynecological Perioperative Anxiety: A Systematic Review and Meta-Analysis.针灸治疗妇科围手术期焦虑的系统评价与Meta分析
J Pain Res. 2024 Oct 31;17:3515-3538. doi: 10.2147/JPR.S464808. eCollection 2024.
2
Therapeutic efficacy of acupuncture point stimulation for stomach cancer pain: a systematic review and meta-analysis.穴位刺激对胃癌疼痛的治疗效果:一项系统评价和荟萃分析。
Front Neurol. 2024 Apr 4;15:1334657. doi: 10.3389/fneur.2024.1334657. eCollection 2024.

本文引用的文献

1
Potential mechanisms of acupuncture in enhancing cerebral perfusion of ischemic stroke.针刺增强缺血性脑卒中脑灌注的潜在机制。
Front Neurol. 2022 Oct 28;13:1030747. doi: 10.3389/fneur.2022.1030747. eCollection 2022.
2
Immediate and progressive neurological damage after electrical injury: A pediatric case report.电击伤后立即出现并进行性加重的神经损伤:一例儿科病例报告。
Brain Dev. 2023 Jan;45(1):87-91. doi: 10.1016/j.braindev.2022.08.007. Epub 2022 Sep 17.
3
The efficacy of therapies for post-stroke depression in aging: An umbrella review.
老年中风后抑郁症治疗的疗效:一项伞状综述。
Front Aging Neurosci. 2022 Aug 23;14:993250. doi: 10.3389/fnagi.2022.993250. eCollection 2022.
4
Evidence on acupuncture therapies is underused in clinical practice and health policy.针灸疗法的相关证据在临床实践和卫生政策中未得到充分利用。
BMJ. 2022 Feb 25;376:e067475. doi: 10.1136/bmj-2021-067475.
5
Effect of Electro-acupuncture on Vasomotor Symptoms in Rats with Acute Cerebral Infarction Based on Phosphatidylinositol System.基于磷酯酰肌醇系统的电针对急性脑梗死大鼠血管运动症状的影响。
Chin J Integr Med. 2022 Feb;28(2):145-152. doi: 10.1007/s11655-021-3341-6. Epub 2021 Dec 7.
6
Patient outcomes after electrical injury - a retrospective study.电烧伤患者的预后 - 一项回顾性研究。
Scand J Trauma Resusc Emerg Med. 2021 Aug 6;29(1):114. doi: 10.1186/s13049-021-00920-3.
7
Acupuncture for Improving Cognitive Impairment After Stroke: A Meta-Analysis of Randomized Controlled Trials.针刺改善中风后认知障碍:随机对照试验的荟萃分析
Front Psychol. 2020 Nov 30;11:549265. doi: 10.3389/fpsyg.2020.549265. eCollection 2020.
8
International Multi-Center Analysis of In-hospital Morbidity and Mortality of Low-Voltage Electrical Injuries.低电压电损伤院内发病率和死亡率的国际多中心分析
Front Med (Lausanne). 2020 Nov 11;7:590758. doi: 10.3389/fmed.2020.590758. eCollection 2020.
9
Electrical Injury Causing Facial Nerve Palsy in a Toddler.
Indian Pediatr. 2020 Jan 15;57(1):76-77.
10
Schizoaffective Disorder That Is Induced By Electrical Voltage That Is Treated with Risperidone.由电压诱发并用利培酮治疗的分裂情感性障碍。
Open Access Maced J Med Sci. 2019 Aug 28;7(16):2667-2670. doi: 10.3889/oamjms.2019.399. eCollection 2019 Aug 30.