• 文献检索
  • 文档翻译
  • 深度研究
  • 学术资讯
  • Suppr Zotero 插件Zotero 插件
  • 邀请有礼
  • 套餐&价格
  • 历史记录
应用&插件
Suppr Zotero 插件Zotero 插件浏览器插件Mac 客户端Windows 客户端微信小程序
定价
高级版会员购买积分包购买API积分包
服务
文献检索文档翻译深度研究API 文档MCP 服务
关于我们
关于 Suppr公司介绍联系我们用户协议隐私条款
关注我们

Suppr 超能文献

核心技术专利:CN118964589B侵权必究
粤ICP备2023148730 号-1Suppr @ 2026

文献检索

告别复杂PubMed语法,用中文像聊天一样搜索,搜遍4000万医学文献。AI智能推荐,让科研检索更轻松。

立即免费搜索

文件翻译

保留排版,准确专业,支持PDF/Word/PPT等文件格式,支持 12+语言互译。

免费翻译文档

深度研究

AI帮你快速写综述,25分钟生成高质量综述,智能提取关键信息,辅助科研写作。

立即免费体验

通过药物诱导的外泌体岩藻糖化导致多靶点治疗耐药性。

Multi-targeted therapy resistance via drug-induced secretome fucosylation.

机构信息

Department of Chemical and Biomolecular Engineering, Korea Advanced Institute of Science and Technology (KAIST), Daejeon, Republic of Korea.

Department of Biological Sciences, KAIST, Daejeon, Republic of Korea.

出版信息

Elife. 2023 Mar 24;12:e75191. doi: 10.7554/eLife.75191.

DOI:10.7554/eLife.75191
PMID:36961502
原文链接:https://pmc.ncbi.nlm.nih.gov/articles/PMC10089660/
Abstract

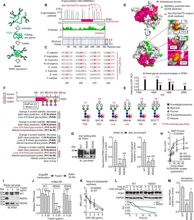
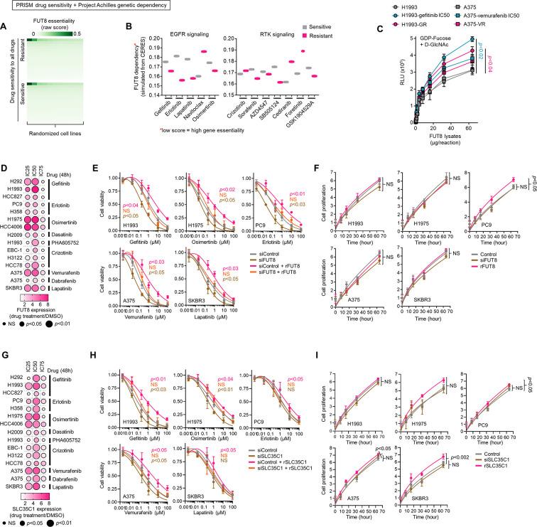
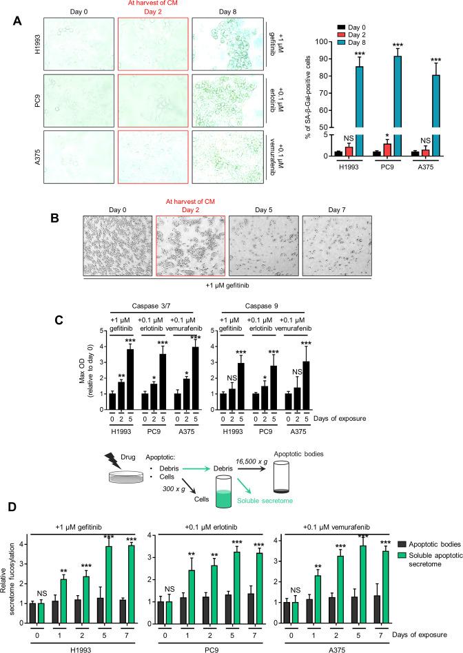
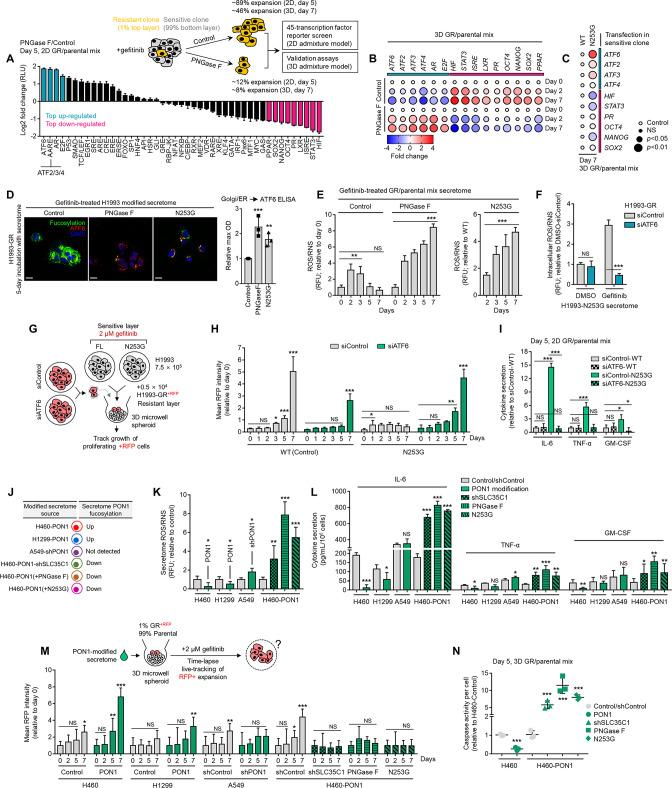
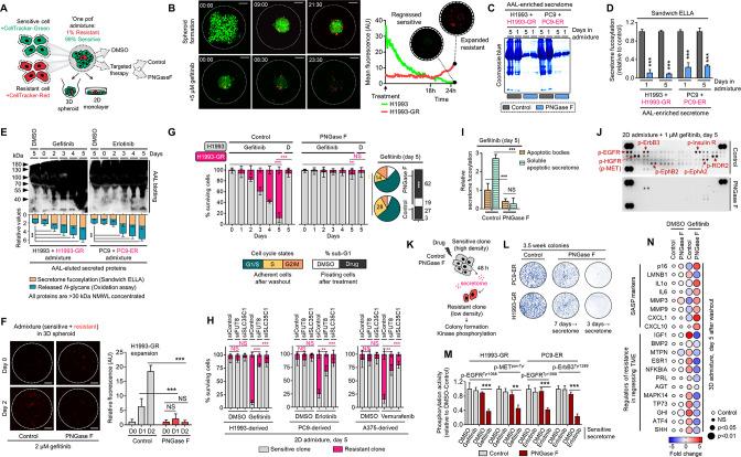
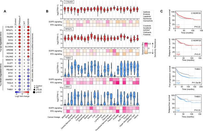
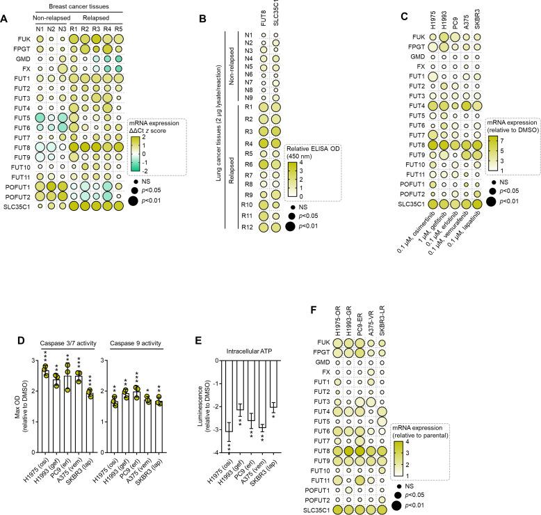
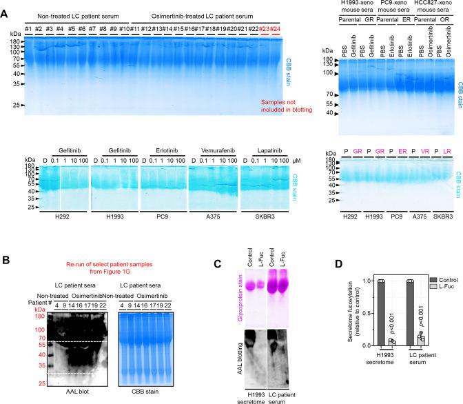
Cancer secretome is a reservoir for aberrant glycosylation. How therapies alter this post- translational cancer hallmark and the consequences thereof remain elusive. Here, we show that an elevated secretome fucosylation is a pan-cancer signature of both response and resistance to multiple targeted therapies. Large-scale pharmacogenomics revealed that fucosylation genes display widespread association with resistance to these therapies. In cancer cell cultures, xenograft mouse models, and patients, targeted kinase inhibitors distinctively induced core fucosylation of secreted proteins less than 60 kDa. Label-free proteomics of N-glycoproteomes identified fucosylation of the antioxidant PON1 as a critical component of the therapy-induced secretome (TIS). N-glycosylation of TIS and target core fucosylation of PON1 are mediated by the fucose salvage-FUT8-SLC35C1 axis with PON3 directly modulating GDP-Fuc transfer on PON1 scaffolds. Core fucosylation in the Golgi impacts PON1 stability and folding prior to secretion, promoting a more degradation-resistant PON1. Global and PON1-specific secretome de-N-glycosylation both limited the expansion of resistant clones in a tumor regression model. We defined the resistance-associated transcription factors (TFs) and genes modulated by the N-glycosylated TIS via a focused and transcriptome-wide analyses. These genes characterize the oxidative stress, inflammatory niche, and unfolded protein response as important factors for this modulation. Our findings demonstrate that core fucosylation is a common modification indirectly induced by targeted therapies that paradoxically promotes resistance.

摘要

癌症细胞外泌体是糖基化异常的储库。治疗方法如何改变这种翻译后癌症标志以及由此产生的后果仍不清楚。在这里,我们表明,升高的外泌体岩藻糖基化是多种靶向治疗反应和耐药的泛癌特征。大规模药物基因组学显示,岩藻糖基化基因与这些治疗的耐药性广泛相关。在癌细胞培养物、异种移植小鼠模型和患者中,靶向激酶抑制剂明显诱导小于 60 kDa 的分泌蛋白的核心岩藻糖基化。PON1 的抗氧化作用作为治疗诱导的外泌体 (TIS) 的关键组成部分,通过无标记蛋白质组学对 N-糖蛋白组进行了鉴定。TIS 的 N-糖基化和 PON1 的靶核心岩藻糖基化由岩藻糖补救-FUT8-SLC35C1 轴介导,PON3 直接调节 PON1 支架上 GDP-Fuc 的转移。高尔基体中的核心岩藻糖基化会影响 PON1 分泌前的稳定性和折叠,从而促进更具降解抗性的 PON1。在肿瘤消退模型中,对 TIS 进行全局和 PON1 特异性去 N-糖基化均限制了耐药克隆的扩展。我们通过重点和全转录组分析定义了受 N-糖基化 TIS 调节的耐药相关转录因子 (TFs) 和基因。这些基因将氧化应激、炎症微环境和未折叠蛋白反应特征化为这种调节的重要因素。我们的研究结果表明,核心岩藻糖基化是一种由靶向治疗间接诱导的常见修饰,它反而是耐药性的促进因素。

https://cdn.ncbi.nlm.nih.gov/pmc/blobs/7203/10089660/5cfbb7e2d7f7/elife-75191-sa2-fig4.jpg
https://cdn.ncbi.nlm.nih.gov/pmc/blobs/7203/10089660/70e3dfb40849/elife-75191-fig1.jpg
https://cdn.ncbi.nlm.nih.gov/pmc/blobs/7203/10089660/b0fb74c54bbb/elife-75191-fig1-figsupp1.jpg
https://cdn.ncbi.nlm.nih.gov/pmc/blobs/7203/10089660/f7925f7a22da/elife-75191-fig1-figsupp2.jpg
https://cdn.ncbi.nlm.nih.gov/pmc/blobs/7203/10089660/2bd60f8e03e5/elife-75191-fig1-figsupp3.jpg
https://cdn.ncbi.nlm.nih.gov/pmc/blobs/7203/10089660/15add807f3a7/elife-75191-fig1-figsupp4.jpg
https://cdn.ncbi.nlm.nih.gov/pmc/blobs/7203/10089660/65697303db84/elife-75191-fig1-figsupp5.jpg
https://cdn.ncbi.nlm.nih.gov/pmc/blobs/7203/10089660/59b4b506984f/elife-75191-fig1-figsupp6.jpg
https://cdn.ncbi.nlm.nih.gov/pmc/blobs/7203/10089660/0fa7cca3e36b/elife-75191-fig1-figsupp7.jpg
https://cdn.ncbi.nlm.nih.gov/pmc/blobs/7203/10089660/387e48171ea8/elife-75191-fig1-figsupp8.jpg
https://cdn.ncbi.nlm.nih.gov/pmc/blobs/7203/10089660/0bd3adb51d5d/elife-75191-fig1-figsupp9.jpg
https://cdn.ncbi.nlm.nih.gov/pmc/blobs/7203/10089660/c36ce4018f68/elife-75191-fig1-figsupp10.jpg
https://cdn.ncbi.nlm.nih.gov/pmc/blobs/7203/10089660/3ca743e5941e/elife-75191-fig1-figsupp11.jpg
https://cdn.ncbi.nlm.nih.gov/pmc/blobs/7203/10089660/a69690683900/elife-75191-fig1-figsupp12.jpg
https://cdn.ncbi.nlm.nih.gov/pmc/blobs/7203/10089660/d50fa65679b0/elife-75191-fig2.jpg
https://cdn.ncbi.nlm.nih.gov/pmc/blobs/7203/10089660/e591677bc200/elife-75191-fig2-figsupp1.jpg
https://cdn.ncbi.nlm.nih.gov/pmc/blobs/7203/10089660/c29ff56b93c9/elife-75191-fig2-figsupp2.jpg
https://cdn.ncbi.nlm.nih.gov/pmc/blobs/7203/10089660/63e1c65f61a3/elife-75191-fig2-figsupp3.jpg
https://cdn.ncbi.nlm.nih.gov/pmc/blobs/7203/10089660/f5912c490980/elife-75191-fig2-figsupp4.jpg
https://cdn.ncbi.nlm.nih.gov/pmc/blobs/7203/10089660/323f7db5700b/elife-75191-fig2-figsupp5.jpg
https://cdn.ncbi.nlm.nih.gov/pmc/blobs/7203/10089660/5be8d2026cfc/elife-75191-fig2-figsupp6.jpg
https://cdn.ncbi.nlm.nih.gov/pmc/blobs/7203/10089660/b027e984706b/elife-75191-fig3.jpg
https://cdn.ncbi.nlm.nih.gov/pmc/blobs/7203/10089660/57e83fe5bd7f/elife-75191-fig3-figsupp1.jpg
https://cdn.ncbi.nlm.nih.gov/pmc/blobs/7203/10089660/76811fdead47/elife-75191-fig3-figsupp2.jpg
https://cdn.ncbi.nlm.nih.gov/pmc/blobs/7203/10089660/4bc5b006db96/elife-75191-fig3-figsupp3.jpg
https://cdn.ncbi.nlm.nih.gov/pmc/blobs/7203/10089660/6d4c373c500a/elife-75191-fig4.jpg
https://cdn.ncbi.nlm.nih.gov/pmc/blobs/7203/10089660/f7ca0ccf89f7/elife-75191-fig4-figsupp1.jpg
https://cdn.ncbi.nlm.nih.gov/pmc/blobs/7203/10089660/6742d5f628b4/elife-75191-fig4-figsupp2.jpg
https://cdn.ncbi.nlm.nih.gov/pmc/blobs/7203/10089660/f334236124d9/elife-75191-fig4-figsupp3.jpg
https://cdn.ncbi.nlm.nih.gov/pmc/blobs/7203/10089660/f17368451182/elife-75191-fig5.jpg
https://cdn.ncbi.nlm.nih.gov/pmc/blobs/7203/10089660/90baa080da9d/elife-75191-fig5-figsupp1.jpg
https://cdn.ncbi.nlm.nih.gov/pmc/blobs/7203/10089660/ba1639c18ec7/elife-75191-fig5-figsupp2.jpg
https://cdn.ncbi.nlm.nih.gov/pmc/blobs/7203/10089660/676e05002728/elife-75191-fig6.jpg
https://cdn.ncbi.nlm.nih.gov/pmc/blobs/7203/10089660/696b5876e56b/elife-75191-fig6-figsupp1.jpg
https://cdn.ncbi.nlm.nih.gov/pmc/blobs/7203/10089660/0849fa8e6193/elife-75191-fig6-figsupp2.jpg
https://cdn.ncbi.nlm.nih.gov/pmc/blobs/7203/10089660/e663c122e144/elife-75191-fig6-figsupp3.jpg
https://cdn.ncbi.nlm.nih.gov/pmc/blobs/7203/10089660/f27ffce95c15/elife-75191-fig7.jpg
https://cdn.ncbi.nlm.nih.gov/pmc/blobs/7203/10089660/5b8ee990b828/elife-75191-sa2-fig1.jpg
https://cdn.ncbi.nlm.nih.gov/pmc/blobs/7203/10089660/1118d61684fc/elife-75191-sa2-fig2.jpg
https://cdn.ncbi.nlm.nih.gov/pmc/blobs/7203/10089660/8c18351376c0/elife-75191-sa2-fig3.jpg
https://cdn.ncbi.nlm.nih.gov/pmc/blobs/7203/10089660/5cfbb7e2d7f7/elife-75191-sa2-fig4.jpg
https://cdn.ncbi.nlm.nih.gov/pmc/blobs/7203/10089660/70e3dfb40849/elife-75191-fig1.jpg
https://cdn.ncbi.nlm.nih.gov/pmc/blobs/7203/10089660/b0fb74c54bbb/elife-75191-fig1-figsupp1.jpg
https://cdn.ncbi.nlm.nih.gov/pmc/blobs/7203/10089660/f7925f7a22da/elife-75191-fig1-figsupp2.jpg
https://cdn.ncbi.nlm.nih.gov/pmc/blobs/7203/10089660/2bd60f8e03e5/elife-75191-fig1-figsupp3.jpg
https://cdn.ncbi.nlm.nih.gov/pmc/blobs/7203/10089660/15add807f3a7/elife-75191-fig1-figsupp4.jpg
https://cdn.ncbi.nlm.nih.gov/pmc/blobs/7203/10089660/65697303db84/elife-75191-fig1-figsupp5.jpg
https://cdn.ncbi.nlm.nih.gov/pmc/blobs/7203/10089660/59b4b506984f/elife-75191-fig1-figsupp6.jpg
https://cdn.ncbi.nlm.nih.gov/pmc/blobs/7203/10089660/0fa7cca3e36b/elife-75191-fig1-figsupp7.jpg
https://cdn.ncbi.nlm.nih.gov/pmc/blobs/7203/10089660/387e48171ea8/elife-75191-fig1-figsupp8.jpg
https://cdn.ncbi.nlm.nih.gov/pmc/blobs/7203/10089660/0bd3adb51d5d/elife-75191-fig1-figsupp9.jpg
https://cdn.ncbi.nlm.nih.gov/pmc/blobs/7203/10089660/c36ce4018f68/elife-75191-fig1-figsupp10.jpg
https://cdn.ncbi.nlm.nih.gov/pmc/blobs/7203/10089660/3ca743e5941e/elife-75191-fig1-figsupp11.jpg
https://cdn.ncbi.nlm.nih.gov/pmc/blobs/7203/10089660/a69690683900/elife-75191-fig1-figsupp12.jpg
https://cdn.ncbi.nlm.nih.gov/pmc/blobs/7203/10089660/d50fa65679b0/elife-75191-fig2.jpg
https://cdn.ncbi.nlm.nih.gov/pmc/blobs/7203/10089660/e591677bc200/elife-75191-fig2-figsupp1.jpg
https://cdn.ncbi.nlm.nih.gov/pmc/blobs/7203/10089660/c29ff56b93c9/elife-75191-fig2-figsupp2.jpg
https://cdn.ncbi.nlm.nih.gov/pmc/blobs/7203/10089660/63e1c65f61a3/elife-75191-fig2-figsupp3.jpg
https://cdn.ncbi.nlm.nih.gov/pmc/blobs/7203/10089660/f5912c490980/elife-75191-fig2-figsupp4.jpg
https://cdn.ncbi.nlm.nih.gov/pmc/blobs/7203/10089660/323f7db5700b/elife-75191-fig2-figsupp5.jpg
https://cdn.ncbi.nlm.nih.gov/pmc/blobs/7203/10089660/5be8d2026cfc/elife-75191-fig2-figsupp6.jpg
https://cdn.ncbi.nlm.nih.gov/pmc/blobs/7203/10089660/b027e984706b/elife-75191-fig3.jpg
https://cdn.ncbi.nlm.nih.gov/pmc/blobs/7203/10089660/57e83fe5bd7f/elife-75191-fig3-figsupp1.jpg
https://cdn.ncbi.nlm.nih.gov/pmc/blobs/7203/10089660/76811fdead47/elife-75191-fig3-figsupp2.jpg
https://cdn.ncbi.nlm.nih.gov/pmc/blobs/7203/10089660/4bc5b006db96/elife-75191-fig3-figsupp3.jpg
https://cdn.ncbi.nlm.nih.gov/pmc/blobs/7203/10089660/6d4c373c500a/elife-75191-fig4.jpg
https://cdn.ncbi.nlm.nih.gov/pmc/blobs/7203/10089660/f7ca0ccf89f7/elife-75191-fig4-figsupp1.jpg
https://cdn.ncbi.nlm.nih.gov/pmc/blobs/7203/10089660/6742d5f628b4/elife-75191-fig4-figsupp2.jpg
https://cdn.ncbi.nlm.nih.gov/pmc/blobs/7203/10089660/f334236124d9/elife-75191-fig4-figsupp3.jpg
https://cdn.ncbi.nlm.nih.gov/pmc/blobs/7203/10089660/f17368451182/elife-75191-fig5.jpg
https://cdn.ncbi.nlm.nih.gov/pmc/blobs/7203/10089660/90baa080da9d/elife-75191-fig5-figsupp1.jpg
https://cdn.ncbi.nlm.nih.gov/pmc/blobs/7203/10089660/ba1639c18ec7/elife-75191-fig5-figsupp2.jpg
https://cdn.ncbi.nlm.nih.gov/pmc/blobs/7203/10089660/676e05002728/elife-75191-fig6.jpg
https://cdn.ncbi.nlm.nih.gov/pmc/blobs/7203/10089660/696b5876e56b/elife-75191-fig6-figsupp1.jpg
https://cdn.ncbi.nlm.nih.gov/pmc/blobs/7203/10089660/0849fa8e6193/elife-75191-fig6-figsupp2.jpg
https://cdn.ncbi.nlm.nih.gov/pmc/blobs/7203/10089660/e663c122e144/elife-75191-fig6-figsupp3.jpg
https://cdn.ncbi.nlm.nih.gov/pmc/blobs/7203/10089660/f27ffce95c15/elife-75191-fig7.jpg
https://cdn.ncbi.nlm.nih.gov/pmc/blobs/7203/10089660/5b8ee990b828/elife-75191-sa2-fig1.jpg
https://cdn.ncbi.nlm.nih.gov/pmc/blobs/7203/10089660/1118d61684fc/elife-75191-sa2-fig2.jpg
https://cdn.ncbi.nlm.nih.gov/pmc/blobs/7203/10089660/8c18351376c0/elife-75191-sa2-fig3.jpg
https://cdn.ncbi.nlm.nih.gov/pmc/blobs/7203/10089660/5cfbb7e2d7f7/elife-75191-sa2-fig4.jpg

相似文献

1
Multi-targeted therapy resistance via drug-induced secretome fucosylation.通过药物诱导的外泌体岩藻糖化导致多靶点治疗耐药性。
Elife. 2023 Mar 24;12:e75191. doi: 10.7554/eLife.75191.
2
Integrated glycoproteomics demonstrates fucosylated serum paraoxonase 1 alterations in small cell lung cancer.整合糖蛋白质组学显示小细胞肺癌中岩藻糖基化血清对氧磷酶 1 的改变。
Mol Cell Proteomics. 2014 Jan;13(1):30-48. doi: 10.1074/mcp.M113.028621. Epub 2013 Oct 1.
3
Expression of genes that control core fucosylation in hepatocellular carcinoma: Systematic review.肝细胞癌中控制核心岩藻糖基化的基因表达:系统评价。
World J Gastroenterol. 2019 Jun 21;25(23):2947-2960. doi: 10.3748/wjg.v25.i23.2947.
4
Posttranslational modification of E-cadherin by core fucosylation regulates Src activation and induces epithelial-mesenchymal transition-like process in lung cancer cells.核心岩藻糖基化对E-钙黏蛋白的翻译后修饰调控Src激活并诱导肺癌细胞发生上皮-间质转化样过程。
Glycobiology. 2016 Feb;26(2):142-54. doi: 10.1093/glycob/cwv089. Epub 2015 Oct 6.
5
Mutations in the SLC35C1 gene, contributing to significant differences in fucosylation patterns, may underlie the diverse phenotypic manifestations observed in leukocyte adhesion deficiency type II patients.SLC35C1 基因突变导致岩藻糖基化模式的显著差异,可能是白细胞黏附缺陷症 II 型患者表现出多种不同表型的基础。
Int J Biochem Cell Biol. 2024 Aug;173:106602. doi: 10.1016/j.biocel.2024.106602. Epub 2024 Jun 4.
6
FUT8-Directed Core Fucosylation of N-glycans Is Regulated by the Glycan Structure and Protein Environment.N-聚糖的岩藻糖基转移酶8介导的核心岩藻糖基化受聚糖结构和蛋白质环境的调控。
ACS Catal. 2021 Aug 6;11(15):9052-9065. doi: 10.1021/acscatal.1c01698. Epub 2021 Jul 8.
7
Fucosylated surfactant protein-D is a biomarker candidate for the development of chronic obstructive pulmonary disease.岩藻糖基化表面活性蛋白-D是慢性阻塞性肺疾病发展的生物标志物候选物。
J Proteomics. 2015 Sep 8;127(Pt B):386-94. doi: 10.1016/j.jprot.2015.07.011. Epub 2015 Jul 21.
8
Inhibition of core fucosylation limits progression of diabetic kidney disease.抑制核心岩藻糖基化可限制糖尿病肾病的进展。
Biochem Biophys Res Commun. 2019 Dec 10;520(3):612-618. doi: 10.1016/j.bbrc.2019.10.037. Epub 2019 Oct 14.
9
Core Fucosylation Regulates the Function of Pre-BCR, BCR and IgG in Humoral Immunity.核心岩藻糖基化调节体液免疫中 pre-BCR、BCR 和 IgG 的功能。
Front Immunol. 2022 Mar 25;13:844427. doi: 10.3389/fimmu.2022.844427. eCollection 2022.
10
Core fucosylation of N-linked glycans in leukocyte adhesion deficiency/congenital disorder of glycosylation IIc fibroblasts.白细胞黏附缺陷/糖基化先天性疾病IIc型成纤维细胞中N-连接聚糖的核心岩藻糖基化
Glycobiology. 2005 Oct;15(10):924-34. doi: 10.1093/glycob/cwi081. Epub 2005 May 25.

引用本文的文献

1
Advances in cancer research on FUT8Molecular mechanisms and clinical applications.FUT8的癌症研究进展:分子机制与临床应用
Int J Surg. 2025 Jun 10;111(9):6290-304. doi: 10.1097/JS9.0000000000002669.
2
Cholesterol-activated stress granules reduce the membrane localization of DRD2 and promote prolactinoma dopamine agonists resistance.胆固醇激活的应激颗粒降低DRD2的膜定位并促进泌乳素瘤对多巴胺激动剂的耐药性。
Acta Neuropathol Commun. 2025 Apr 25;13(1):84. doi: 10.1186/s40478-025-01986-1.
3
Interplay between de novo and salvage pathways of GDP-fucose synthesis.

本文引用的文献

1
Myeloperoxidase-induced modification of HDL by isolevuglandins inhibits paraoxonase-1 activity.异莱格叶黄素诱导的髓过氧化物酶修饰高密度脂蛋白抑制对氧磷酶-1 活性。
J Biol Chem. 2021 Sep;297(3):101019. doi: 10.1016/j.jbc.2021.101019. Epub 2021 Jul 29.
2
Chemotherapy confers a conserved secondary tolerance to EGFR inhibition via AXL-mediated signaling bypass.化疗通过 AXL 介导的信号旁路赋予表皮生长因子受体抑制的保守性二次耐受。
Sci Rep. 2021 Apr 13;11(1):8016. doi: 10.1038/s41598-021-87599-9.
3
Tumour Cell Secretome in Chemoresistance and Tumour Recurrence.
从头合成途径和 GDP-岩藻糖补救合成途径之间的相互作用。
PLoS One. 2024 Oct 24;19(10):e0309450. doi: 10.1371/journal.pone.0309450. eCollection 2024.
4
Altered glycosylation in cancer: molecular functions and therapeutic potential.癌症中的糖基化修饰改变:分子功能与治疗潜力。
Cancer Commun (Lond). 2024 Nov;44(11):1316-1336. doi: 10.1002/cac2.12610. Epub 2024 Sep 21.
5
Regulation of intracellular activity of N-glycan branching enzymes in mammals.哺乳动物中 N-糖链分支酶的细胞内活性调节。
J Biol Chem. 2024 Jul;300(7):107471. doi: 10.1016/j.jbc.2024.107471. Epub 2024 Jun 13.
肿瘤细胞分泌组与化疗耐药及肿瘤复发。
Trends Cancer. 2020 Jun;6(6):489-505. doi: 10.1016/j.trecan.2020.02.020. Epub 2020 Mar 25.
4
Targeting Glycosylation: A New Road for Cancer Drug Discovery.靶向糖基化:癌症药物发现的新途径。
Trends Cancer. 2020 Sep;6(9):757-766. doi: 10.1016/j.trecan.2020.04.002. Epub 2020 May 4.
5
Prior acquired resistance to paclitaxel relays diverse EGFR-targeted therapy persistence mechanisms.先前获得的紫杉醇耐药与多种 EGFR 靶向治疗耐药机制相关。
Sci Adv. 2020 Feb 7;6(6):eaav7416. doi: 10.1126/sciadv.aav7416. eCollection 2020 Feb.
6
Structural basis for substrate specificity and catalysis of α1,6-fucosyltransferase.α1,6-岩藻糖基转移酶的底物特异性和催化结构基础。
Nat Commun. 2020 Feb 20;11(1):973. doi: 10.1038/s41467-020-14794-z.
7
The biology function and biomedical applications of exosomes.外泌体的生物学功能和生物医学应用。
Science. 2020 Feb 7;367(6478). doi: 10.1126/science.aau6977.
8
The Diverse Contributions of Fucose Linkages in Cancer.岩藻糖连接在癌症中的多种作用
Cancers (Basel). 2019 Aug 24;11(9):1241. doi: 10.3390/cancers11091241.
9
Translation of genome to glycome: role of the Golgi apparatus.从基因组到糖组的翻译:高尔基器的作用。
FEBS Lett. 2019 Sep;593(17):2390-2411. doi: 10.1002/1873-3468.13541. Epub 2019 Aug 8.
10
AXL degradation in combination with EGFR-TKI can delay and overcome acquired resistance in human non-small cell lung cancer cells.AXL 降解与 EGFR-TKI 联合使用可延缓并克服人类非小细胞肺癌细胞获得性耐药。
Cell Death Dis. 2019 May 1;10(5):361. doi: 10.1038/s41419-019-1601-6.