Suppr超能文献

心外膜脂肪组织:小儿高血压难题中的一块拼图。

Epicardial Adipose Tissue: A Piece of The Puzzle in Pediatric Hypertension.

作者信息

Schweighofer Nina, Rupreht Mitja, Marčun Varda Nataša, Caf Primož, Povalej Bržan Petra, Kanič Vojko

机构信息

Department of Radiology, University Medical Centre Maribor, Ljubljanska Ulica 5, 2000 Maribor, Slovenia.

Medical Faculty, University of Maribor, Taborska 8, 2000 Maribor, Slovenia.

出版信息

J Clin Med. 2023 Mar 12;12(6):2192. doi: 10.3390/jcm12062192.

Abstract

BACKGROUND AND PURPOSE

Epicardial adipose tissue (EAT) is a metabolically active tissue located on the surface of the myocardium, which might have a potential impact on cardiac function and morphology. The aim of this study was to evaluate whether EAT is associated with essential arterial hypertension (AH) in children and adolescents.

METHODS

Prospective cardiovascular magnetic resonance (CMR) study and clinical evaluation were performed on 72 children, 36 of whom were diagnosed with essential AH, and the other 36 were healthy controls. The two groups were compared in volume and thickness of EAT, end-diastolic volume, end-systolic volume, stroke volume, left ventricular (LV) ejection fraction, average heart mass, average LV myocardial thickness, peak filling rate, peak filling time and clinical parameters.

RESULTS

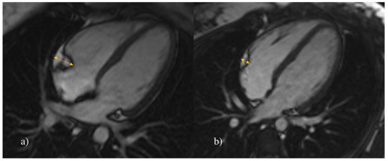
Hypertensive patients have a higher volume (16.5 ± 1.9 cm and 10.9 ± 1.5 cm ( = -13.815, < 0.001)) and thickness (0.8 ± 0.3 cm and 0.4 ± 0.1 cm, (U = 65.5, < 0.001)) of EAT compared to their healthy peers. The volume of EAT might be a potential predictor of AH in children.

CONCLUSIONS

Our study indicates that the volume of EAT is closely associated with hypertension in children and adolescents.

摘要

背景与目的

心外膜脂肪组织(EAT)是位于心肌表面的代谢活跃组织,可能对心脏功能和形态有潜在影响。本研究旨在评估EAT是否与儿童和青少年原发性动脉高血压(AH)相关。

方法

对72名儿童进行前瞻性心血管磁共振(CMR)研究和临床评估,其中36名被诊断为原发性AH,另外36名是健康对照。比较两组在EAT的体积和厚度、舒张末期容积、收缩末期容积、每搏输出量、左心室(LV)射血分数、平均心脏质量、平均LV心肌厚度、峰值充盈率、峰值充盈时间及临床参数方面的差异。

结果

与健康同龄人相比,高血压患者的EAT体积更大(分别为16.5±1.9 cm和10.9±1.5 cm(t=-13.815,P<0.001)),厚度也更大(分别为0.8±0.3 cm和0.4±0.1 cm,(U=65.5,P<0.001))。EAT体积可能是儿童AH的一个潜在预测指标。

结论

我们的研究表明,EAT体积与儿童和青少年高血压密切相关。

https://cdn.ncbi.nlm.nih.gov/pmc/blobs/9e18/10053771/60e2e0dab731/jcm-12-02192-g001.jpg

文献AI研究员

20分钟写一篇综述,助力文献阅读效率提升50倍。

立即体验

用中文搜PubMed

大模型驱动的PubMed中文搜索引擎

马上搜索

文档翻译

学术文献翻译模型,支持多种主流文档格式。

立即体验