Hospital of Stomatology, Guanghua School of Stomatology, Guangdong Provincial Key Laboratory of Stomatology, Sun Yat-sen University, 56 Lingyuanxi Road, Guangzhou, 510055, China.
Guangdong Provincial Key Laboratory of Orthopaedics and Traumatology, Department of Spine Surgery, The First Affiliated Hospital, Sun Yat-sen University, Guangzhou, 510080, China.
J Nanobiotechnology. 2023 Mar 30;21(1):116. doi: 10.1186/s12951-023-01863-w.
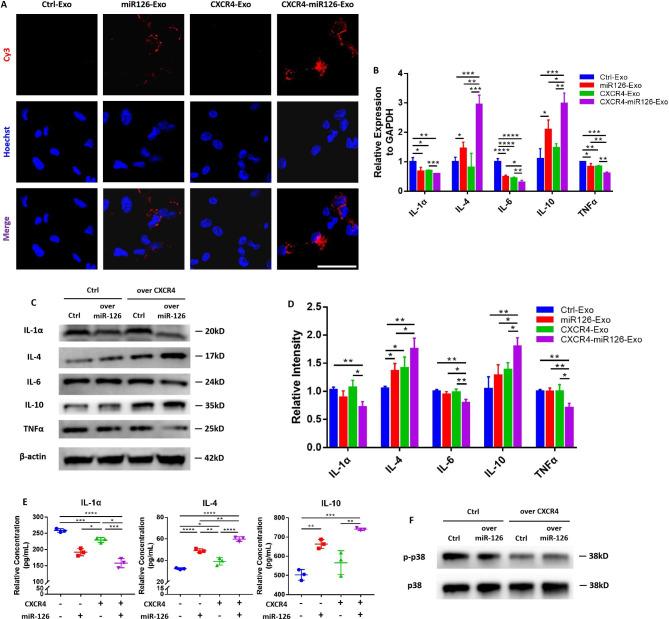
Biofilm-related diseases are a group of diseases that tolerate antimicrobial chemotherapies and therefore are refractory to treatment. Periodontitis, a non-device chronic biofilm disease induced by dental plaque, can serve as an excellent in vivo model to study the important effects of host factors on the biofilm microenvironment. Macrophage activity is one of the key factors that modulate the progression of inflammation-driven destruction in periodontitis; therefore it is an important host immunomodulatory factor. In this study, the reduction of microRNA-126 (miR-126) with the recruitment of macrophages in periodontitis was confirmed in clinical samples, and a strategy for targeted delivery of miR-126 to macrophages was explored. Exosomes overexpressing the C-X-C motif chemokine receptor 4 (CXCR4) loaded with miR-126 (CXCR4-miR126-Exo) was successfully constructed, which reduced off-target delivery to macrophages and regulated macrophages toward the anti-inflammatory phenotype. In vivo local injection of CXCR4-miR126-Exo into sites of periodontitis in rats effectively reduced bone resorption and osteoclastogenesis and inhibited the progression of periodontitis. These results provide new insights for designing novel immunomodulatory factor targeted delivery systems to treat periodontitis and other biofilm-related diseases.
生物膜相关疾病是一组耐受抗菌化学疗法的疾病,因此难以治疗。牙周炎是一种由牙菌斑引起的非器械性慢性生物膜疾病,可以作为研究宿主因素对生物膜微环境重要影响的体内模型。巨噬细胞活性是调节牙周炎炎症驱动性破坏进展的关键因素之一;因此,它是一种重要的宿主免疫调节因子。在这项研究中,在临床样本中证实了招募巨噬细胞导致微 RNA-126(miR-126)减少,并且探索了针对巨噬细胞靶向递送 miR-126 的策略。成功构建了过表达 C-X-C 基序趋化因子受体 4(CXCR4)并负载 miR-126 的外泌体(CXCR4-miR126-Exo),其减少了向巨噬细胞的脱靶递送,并调节巨噬细胞向抗炎表型。将 CXCR4-miR126-Exo 局部注射到大鼠牙周炎部位可有效减少骨吸收和破骨细胞形成,并抑制牙周炎的进展。这些结果为设计新型免疫调节因子靶向递送系统治疗牙周炎和其他生物膜相关疾病提供了新的思路。