Suppr超能文献

L4/5 Ⅰ度退变性腰椎滑脱症患者斜外侧腰椎椎间融合术与微创经椎间孔腰椎椎间融合术的临床与影像学比较。

Clinical and Radiographic Comparison of Oblique Lateral Lumbar Interbody Fusion and Minimally Invasive Transforaminal Lumbar Interbody Fusion in Patients with L4/5 grade-1 Degenerative Spondylolisthesis.

机构信息

Department of Spine Surgery, Beijing Jishuitan Hospital, Beijing, China.

出版信息

Orthop Surg. 2023 Jun;15(6):1477-1487. doi: 10.1111/os.13360. Epub 2023 May 8.

Abstract

OBJECTIVES

To compare the clinical and radiographic outcomes of oblique lateral lumbar interbody fusion and minimally invasive transforaminal lumbar interbody fusion in patients with grade-1 L4/5 degenerative spondylolisthesis.

METHODS

Based on the inclusion and exclusion criteria, the comparative analysis included consecutive patients with grade-1 degenerative spondylolisthesis who underwent oblique LIF (OLIF, n = 36) or minimally invasive transforaminal LIF (MI-TLIF, n = 45) at the Department of Spine Surgery, Beijing Jishuitan Hospital from January 2016 to August 2017. Patient satisfaction Japanese Orthopaedic Association score, visual analog scale (VAS) scores for back and leg pain, Oswestry disability index (ODI), radiographic outcomes including anterior/posterior disc heights (ADH/PDH), foraminal height (FH), foraminal width (FW), cage subsidence, cage retropulsion, and fusion rate were assessed during a 2-year follow-up. Continuous data are presented as mean ± standard deviation and were compared between groups using the independent sample t-test. Categorical data are presented as n (%) and were compared between groups using the Pearson chi-squared test or Fisher's exact test. Repetitive measurement and analysis of variance was employed in the analysis of ODI, back pain VAS score, and leg pain VAS score. Statistical significance was defined as p < 0.05.

RESULTS

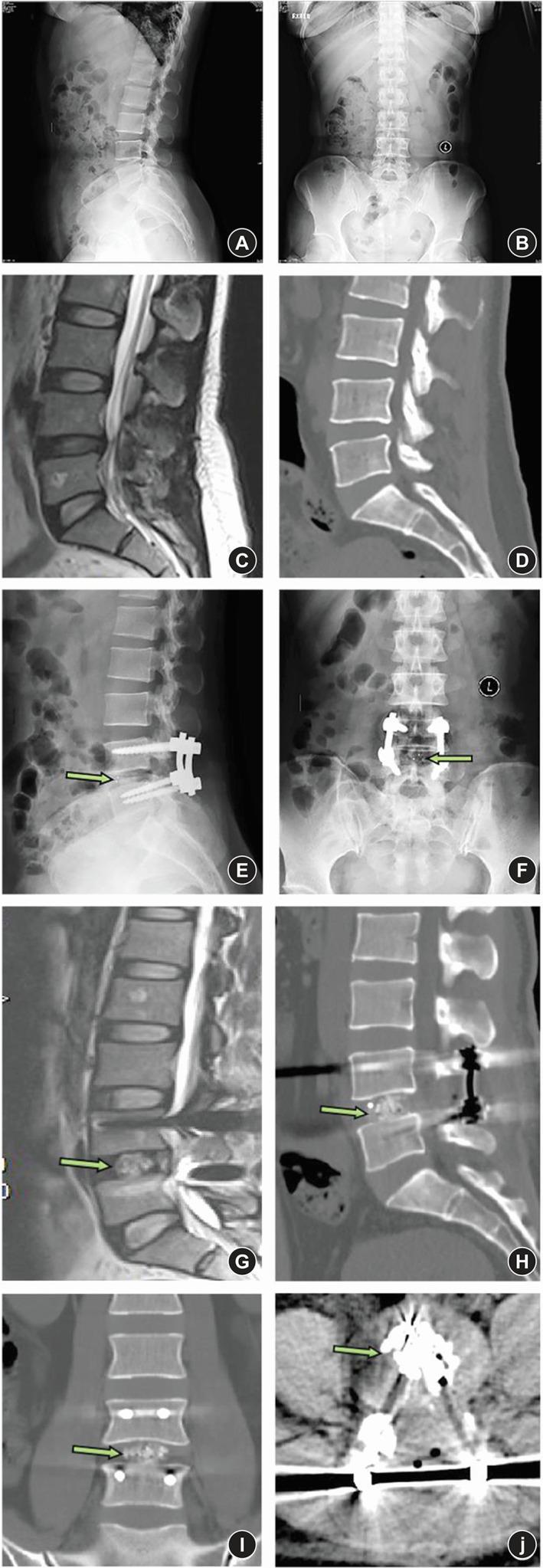
The OLIF and MI-TLIF groups comprised 36 patients (age, 52.1 ± 7.2 years; 27 women) and 45 patients (age, 48.4 ± 14.4 years; 24 women), respectively. Satisfaction rates at 2 years post procedure exceeded 90% in both groups. The OLIF group had less intraoperative blood loss (140 ± 36 vs 233 ± 62 mL), lower back pain VAS score (2.42 ± 0.81 vs 3.38 ± 0.47), and ODI score (20.47 ± 2.53 vs 27.31 ± 3.71) at 3 months follow-up (with trends toward lower values at 2 years follow-up), but higher leg pain VAS scores at all postoperative time points than the MI-TLIF group (all p < 0.001). ADH, PDH, FD, and FW improved in both groups post-surgery. At the 2 year follow-up, the OLIF group had a higher rate of Bridwell grade-I fusion (100% vs 88.9%, p = 0.046) and lower incidences of cage subsidence (8.33% vs 46.67%, p < 0.001) and retropulsion (0% vs 6.67%, p = 0.046) than the MI-TLIF group.

CONCLUSIONS

In patients with grade-I spondylolisthesis, OLIF was associated with lower blood loss and greater improvements in VAS for back pain and ODI and radiologic outcomes than MI-TLIF. The OLIF is more suitable for these patients with low back pain as the main symptoms are accompanied by mild or no leg symptoms before operation.

摘要

目的

比较 1 级 L4/5 退变性滑脱患者行斜外侧腰椎椎间融合术(OLIF)和微创经椎间孔腰椎椎间融合术(MI-TLIF)的临床和影像学结果。

方法

根据纳入和排除标准,本回顾性研究纳入了 2016 年 1 月至 2017 年 8 月在北京积水潭医院脊柱外科行 OLIF(n=36)或 MI-TLIF(n=45)治疗的 1 级退变性滑脱患者。在 2 年的随访中,评估患者满意度(日本矫形协会评分)、腰痛和腿痛的视觉模拟评分(VAS)、Oswestry 功能障碍指数(ODI)、影像学结果(包括前/后椎间盘高度[ADH/PDH]、椎间孔高度[FH]、椎间孔宽度[FW]、 cage 下沉、 cage 后移和融合率)。连续数据以均值±标准差表示,采用独立样本 t 检验比较组间差异。分类数据以 n(%)表示,采用 Pearson 卡方检验或 Fisher 确切概率法比较组间差异。采用重复测量方差分析比较 ODI、腰痛 VAS 评分和腿痛 VAS 评分。p 值<0.05 为差异有统计学意义。

结果

OLIF 组和 MI-TLIF 组分别包括 36 例患者(年龄 52.1±7.2 岁,27 例女性)和 45 例患者(年龄 48.4±14.4 岁,24 例女性)。两组术后 2 年的满意度均超过 90%。OLIF 组术中出血量较少(140±36 比 233±62 mL),术后 3 个月时腰痛 VAS 评分(2.42±0.81 比 3.38±0.47)和 ODI 评分(20.47±2.53 比 27.31±3.71)较低(术后 2 年呈下降趋势),但术后各时间点腿痛 VAS 评分均高于 MI-TLIF 组(均 p<0.001)。两组术后 ADH、PDH、FD 和 FW 均得到改善。术后 2 年时,OLIF 组 Bridwell 分级融合率较高(100%比 88.9%,p=0.046),cage 下沉率较低(8.33%比 46.67%,p<0.001)和后移率较低(0%比 6.67%,p=0.046)。

结论

对于 1 级滑脱患者,OLIF 与 MI-TLIF 相比,出血量较少,腰痛 VAS 评分和 ODI 改善更大,影像学结果更好。OLIF 更适合这些以腰痛为主诉且术前伴有轻度或无腿痛的患者。

https://cdn.ncbi.nlm.nih.gov/pmc/blobs/51ad/10235175/5effef2fa8b4/OS-15-1477-g006.jpg

文献检索

告别复杂PubMed语法,用中文像聊天一样搜索,搜遍4000万医学文献。AI智能推荐,让科研检索更轻松。

立即免费搜索

文件翻译

保留排版,准确专业,支持PDF/Word/PPT等文件格式,支持 12+语言互译。

免费翻译文档

深度研究

AI帮你快速写综述,25分钟生成高质量综述,智能提取关键信息,辅助科研写作。

立即免费体验