Suppr超能文献

意大利地方性系统性真菌病:文献系统综述及实用更新。

Endemic Systemic Mycoses in Italy: A Systematic Review of Literature and a Practical Update.

机构信息

Infectious Diseases Unit, Trieste University Hospital (ASUGI), Piazza dell'Ospitale 1, 34125, Trieste, Italy.

Clinical Department of Medical, Surgical and Health Sciences, Trieste University, 34149, Trieste, Italy.

出版信息

Mycopathologia. 2023 Aug;188(4):307-334. doi: 10.1007/s11046-023-00735-z. Epub 2023 Jun 9.

Abstract

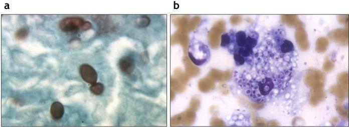
Endemic systemic mycoses such as blastomycosis, coccidioidomycosis, histoplasmosis, talaromycosis, paracoccidioidomycosis are emerging as an important cause of morbidity and mortality worldwide. We conducted a systematic review on endemic systemic mycoses reported in Italy from 1914 to nowadays. We found out: 105 cases of histoplasmosis, 15 of paracoccidioidomycosis, 10 of coccidioidomycosis, 10 of blastomycosis and 3 of talaromycosis. Most cases have been reported in returning travelers and expatriates or immigrants. Thirtytwo patients did not have a story of traveling to an endemic area. Fortysix subjects had HIV/AIDS. Immunosuppression was the major risk factor for getting these infections and for severe outcomes. We provided an overview on microbiological characteristics and clinical management principles of systemic endemic mycoses with a focus on the cases reported in Italy.

摘要

地方性系统性真菌病,如芽生菌病、球孢子菌病、组织胞浆菌病、足放线病菌病、副球孢子菌病,正成为全球发病率和死亡率的重要原因。我们对 1914 年至今在意大利报道的地方性系统性真菌病进行了系统综述。我们发现:105 例组织胞浆菌病、15 例副球孢子菌病、10 例球孢子菌病、10 例芽生菌病和 3 例足放线病菌病。大多数病例发生在返回旅行者、侨民或移民中。32 例患者没有到地方性流行区旅行的病史。46 例患者 HIV/AIDS 阳性。免疫抑制是感染和严重后果的主要危险因素。我们概述了系统性地方性真菌病的微生物学特征和临床管理原则,重点介绍了在意大利报告的病例。

https://cdn.ncbi.nlm.nih.gov/pmc/blobs/a82f/10386973/ad719ae2840f/11046_2023_735_Fig1_HTML.jpg

文献AI研究员

20分钟写一篇综述,助力文献阅读效率提升50倍。

立即体验

用中文搜PubMed

大模型驱动的PubMed中文搜索引擎

马上搜索

文档翻译

学术文献翻译模型,支持多种主流文档格式。

立即体验