• 文献检索
  • 文档翻译
  • 深度研究
  • 学术资讯
  • Suppr Zotero 插件Zotero 插件
  • 邀请有礼
  • 套餐&价格
  • 历史记录
应用&插件
Suppr Zotero 插件Zotero 插件浏览器插件Mac 客户端Windows 客户端微信小程序
定价
高级版会员购买积分包购买API积分包
服务
文献检索文档翻译深度研究API 文档MCP 服务
关于我们
关于 Suppr公司介绍联系我们用户协议隐私条款
关注我们

Suppr 超能文献

核心技术专利:CN118964589B侵权必究
粤ICP备2023148730 号-1Suppr @ 2026

文献检索

告别复杂PubMed语法,用中文像聊天一样搜索,搜遍4000万医学文献。AI智能推荐,让科研检索更轻松。

立即免费搜索

文件翻译

保留排版,准确专业,支持PDF/Word/PPT等文件格式,支持 12+语言互译。

免费翻译文档

深度研究

AI帮你快速写综述,25分钟生成高质量综述,智能提取关键信息,辅助科研写作。

立即免费体验

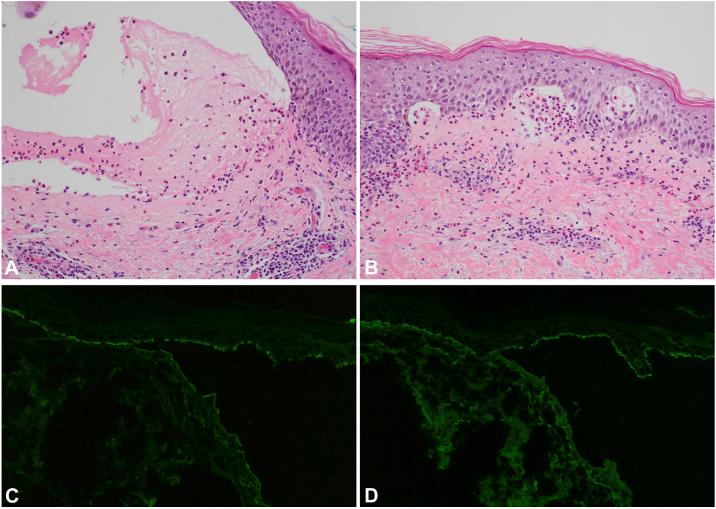
A case of bullous pemphigoid provoked by doxycycline-induced phototoxicity.

作者信息

Sanchez Isabella I, Yale Katerina, Lee Bonnie A

机构信息

School of Medicine, University of California, Irvine, Irvine, California.

Department of Dermatology, University of California, Irvine, Irvine, California.

出版信息

JAAD Case Rep. 2023 May 15;37:41-44. doi: 10.1016/j.jdcr.2023.05.005. eCollection 2023 Jul.

DOI:10.1016/j.jdcr.2023.05.005
PMID:37324178
原文链接:https://pmc.ncbi.nlm.nih.gov/articles/PMC10265460/
Abstract
摘要
https://cdn.ncbi.nlm.nih.gov/pmc/blobs/6dd8/10265460/43873beeb417/gr2.jpg
https://cdn.ncbi.nlm.nih.gov/pmc/blobs/6dd8/10265460/fffb75e12b1b/gr1.jpg
https://cdn.ncbi.nlm.nih.gov/pmc/blobs/6dd8/10265460/43873beeb417/gr2.jpg
https://cdn.ncbi.nlm.nih.gov/pmc/blobs/6dd8/10265460/fffb75e12b1b/gr1.jpg
https://cdn.ncbi.nlm.nih.gov/pmc/blobs/6dd8/10265460/43873beeb417/gr2.jpg

相似文献

1
A case of bullous pemphigoid provoked by doxycycline-induced phototoxicity.一例由强力霉素诱导的光毒性引发的大疱性类天疱疮病例。
JAAD Case Rep. 2023 May 15;37:41-44. doi: 10.1016/j.jdcr.2023.05.005. eCollection 2023 Jul.
2
A case report of bullous pemphigoid associated with a melanoma and review of the literature.一例大疱性类天疱疮合并黑色素瘤的病例报告及文献复习
Melanoma Res. 2017 Feb;27(1):65-67. doi: 10.1097/CMR.0000000000000307.
3
A randomized controlled trial to compare the safety and effectiveness of doxycycline (200 mg daily) with oral prednisolone (0.5 mg kg(-1) daily) for initial treatment of bullous pemphigoid: a protocol for the Bullous Pemphigoid Steroids and Tetracyclines (BLISTER) Trial.一项比较每日口服多西环素(200 毫克)与口服泼尼松龙(0.5 毫克/千克/日)治疗大疱性类天疱疮的安全性和有效性的随机对照试验:BLISTER 试验方案。
Br J Dermatol. 2015 Jul;173(1):227-34. doi: 10.1111/bjd.13729. Epub 2015 May 26.
4
Doxycycline versus prednisolone as an initial treatment strategy for bullous pemphigoid: a pragmatic, non-inferiority, randomised controlled trial.多西环素与泼尼松龙作为天疱疮初始治疗策略的比较:一项实用、非劣效性、随机对照试验。
Lancet. 2017 Apr 22;389(10079):1630-1638. doi: 10.1016/S0140-6736(17)30560-3. Epub 2017 Mar 6.
5
A randomised controlled trial to compare the safety, effectiveness and cost-effectiveness of doxycycline (200 mg/day) with that of oral prednisolone (0.5 mg/kg/day) for initial treatment of bullous pemphigoid: the Bullous Pemphigoid Steroids and Tetracyclines (BLISTER) trial.一项随机对照试验,比较多西环素(200毫克/天)与口服泼尼松龙(0.5毫克/千克/天)用于大疱性类天疱疮初始治疗的安全性、有效性和成本效益:大疱性类天疱疮类固醇与四环素(BLISTER)试验。
Health Technol Assess. 2017 Mar;21(10):1-90. doi: 10.3310/hta21100.
6
Development of bullous pemphigoid following radiation therapy combined with nivolumab for renal cell carcinoma: A case report of abscopal toxicities.放射性治疗联合纳武利尤单抗治疗肾细胞癌后出现大疱性类天疱疮:一种远隔毒性的病例报告。
Medicine (Baltimore). 2021 Dec 10;100(49):e28199. doi: 10.1097/MD.0000000000028199.
7
Doxycycline compared with prednisolone therapy for patients with bullous pemphigoid: cost-effectiveness analysis of the BLISTER trial.多西环素与泼尼松龙治疗大疱性类天疱疮患者的比较:BLISTER 试验的成本效益分析。
Br J Dermatol. 2018 Feb;178(2):415-423. doi: 10.1111/bjd.16006. Epub 2018 Jan 15.
8
Bullous pemphigoid in elderly woman affected by non-small cell lung cancer treated with pembrolizumab: A case report and review of literature.老年女性非小细胞肺癌患者应用帕博利珠单抗治疗后发生大疱性类天疱疮:病例报告及文献复习。
J Oncol Pharm Pract. 2021 Apr;27(3):727-733. doi: 10.1177/1078155220946370. Epub 2020 Aug 9.
9
Bullous pemphigoid associated with squamous cell lung carcinoma showing remarkable response to carboplatin-based chemotherapy:  a case report.大疱性类天疱疮伴鳞状细胞肺癌,对含卡铂的化疗有显著反应:病例报告。
J Med Case Rep. 2022 May 5;16(1):184. doi: 10.1186/s13256-022-03323-9.
10
Doxycycline, a Well-Tolerated, Economic, and Effective Alternative for the First-Line Treatment of Bullous Pemphigoid.强力霉素,一种用于大疱性类天疱疮一线治疗的耐受性良好、经济且有效的替代药物。
Actas Dermosifiliogr (Engl Ed). 2018 Jul-Aug;109(6):549-550. doi: 10.1016/j.ad.2017.09.007. Epub 2017 Nov 24.

本文引用的文献

1
Bullous Pemphigoid: Trigger and Predisposing Factors.大疱性类天疱疮:触发因素和易感因素。
Biomolecules. 2020 Oct 10;10(10):1432. doi: 10.3390/biom10101432.
2
Doxycycline versus prednisolone as an initial treatment strategy for bullous pemphigoid: a pragmatic, non-inferiority, randomised controlled trial.多西环素与泼尼松龙作为天疱疮初始治疗策略的比较:一项实用、非劣效性、随机对照试验。
Lancet. 2017 Apr 22;389(10079):1630-1638. doi: 10.1016/S0140-6736(17)30560-3. Epub 2017 Mar 6.
3
Bullous Pemphigoid: A Review of its Diagnosis, Associations and Treatment.
大疱性类天疱疮:诊断、相关因素及治疗综述
Am J Clin Dermatol. 2017 Aug;18(4):513-528. doi: 10.1007/s40257-017-0264-2.
4
Photodynamic therapy-triggered bullous pemphigoid.光动力疗法引发的大疱性类天疱疮。
Int J Dermatol. 2017 Feb;56(2):e41-e42. doi: 10.1111/ijd.13387. Epub 2016 Aug 6.
5
Ciprofloxacin as a Trigger for Bullous Pemphigoid: The Second Case in the Literature.环丙沙星引发大疱性类天疱疮:文献中的第二例病例
Am J Ther. 2016 Sep-Oct;23(5):e1202-4. doi: 10.1097/MJT.0000000000000283.
6
Coexistence of psoriasis with bullous pemphigoid.银屑病与大疱性类天疱疮共存。
Indian Dermatol Online J. 2012 May;3(2):119-21. doi: 10.4103/2229-5178.96707.
7
Localized bullous pemphigoid induced by photodynamic therapy.光动力疗法诱导的局限性大疱性类天疱疮。
Photodermatol Photoimmunol Photomed. 2011 Oct;27(5):251-3. doi: 10.1111/j.1600-0781.2011.00609.x.
8
Brunsting-Perry type localized bullous pemphigoid, possibly induced by furosemide administration and sun exposure.布鲁斯顿-佩里型局限性大疱性类天疱疮,可能由呋塞米给药和阳光暴露引起。
Eur J Dermatol. 2009 Sep-Oct;19(5):500-3. doi: 10.1684/ejd.2009.0715. Epub 2009 Jun 5.
9
High-level ultraviolet A photoprotection is needed to prevent doxycycline phototoxicity: lessons learned in East Timor.需要高水平的紫外线A光防护来预防多西环素光毒性:在东帝汶获得的经验教训。
Br J Dermatol. 2003 Jul;149(1):213-4. doi: 10.1046/j.1365-2133.2003.05389.x.
10
UV-A-provoked localized bullous pemphigoid.紫外线A诱发的局限性大疱性类天疱疮
Acta Derm Venereol. 1994 Jul;74(4):314-6. doi: 10.2340/0001555574314316.