• 文献检索
  • 文档翻译
  • 深度研究
  • 学术资讯
  • Suppr Zotero 插件Zotero 插件
  • 邀请有礼
  • 套餐&价格
  • 历史记录
应用&插件
Suppr Zotero 插件Zotero 插件浏览器插件Mac 客户端Windows 客户端微信小程序
定价
高级版会员购买积分包购买API积分包
服务
文献检索文档翻译深度研究API 文档MCP 服务
关于我们
关于 Suppr公司介绍联系我们用户协议隐私条款
关注我们

Suppr 超能文献

核心技术专利:CN118964589B侵权必究
粤ICP备2023148730 号-1Suppr @ 2026

文献检索

告别复杂PubMed语法,用中文像聊天一样搜索,搜遍4000万医学文献。AI智能推荐,让科研检索更轻松。

立即免费搜索

文件翻译

保留排版,准确专业,支持PDF/Word/PPT等文件格式,支持 12+语言互译。

免费翻译文档

深度研究

AI帮你快速写综述,25分钟生成高质量综述,智能提取关键信息,辅助科研写作。

立即免费体验

机械主动脉瓣置换术后患者发生主动脉根部脓肿和布鲁氏菌性心内膜炎:一例报告

Aortic root abscess and Brucella endocarditis in a patient with mechanical aortic valve prosthesis: a case report.

作者信息

Alassiri Abdullah K, Alshair Fahad M, Fatani Mazin A, Baghaffar Abdullah H

机构信息

Faculty of Medicine, King Abdulaziz University, Jeddah, Saudi Arabia.

Cardiac Surgery Unit, Department of Surgery, King Abdulaziz University Hospital, Jeddah, Saudi Arabia.

出版信息

J Surg Case Rep. 2023 Jun 15;2023(6):rjad299. doi: 10.1093/jscr/rjad299. eCollection 2023 Jun.

DOI:10.1093/jscr/rjad299
PMID:37332666
原文链接:https://pmc.ncbi.nlm.nih.gov/articles/PMC10271217/
Abstract

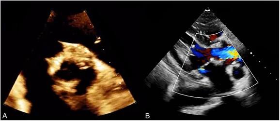
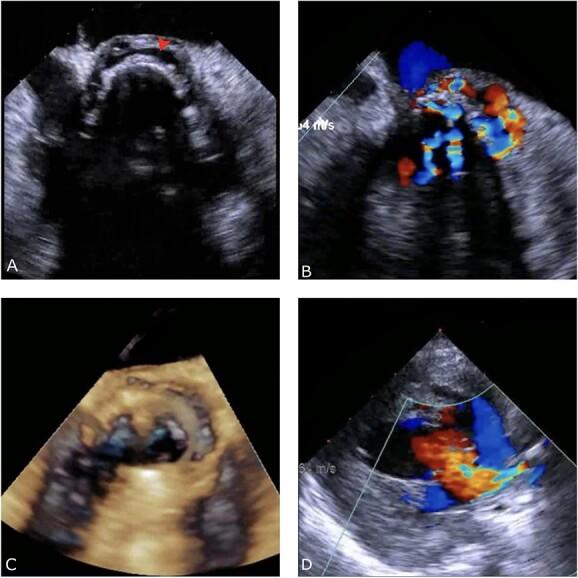
Rare but potentially fatal, brucellosis prosthetic valve endocarditis is a complication of brucellosis caused by Brucella species. The symptoms of brucellosis can be nonspecific, making the diagnosis challenging. Osteoarticular involvement is the most common complication of brucellosis. Mortality from brucellosis is low except for endocarditis and involvement of the central nervous system. The diagnosis is based on laboratory tests and clinical manifestations. Serological tests are preferred, as culture methods can be unreliable. A 59-year-old woman presented with gastrointestinal bleeding, fever, anorexia and malaise. She had a history of aortic valve replacement with a mechanical prosthesis for severe bicuspid aortic stenosis. Investigations revealed a multiloculated aortic root abscess encircling the prosthetic valve. She was diagnosed with brucella endocarditis, treated with antibiotics and underwent cardiac surgery. Her symptoms improved following the surgery. Brucellosis prosthetic valve endocarditis is a rare presentation of this disease.

摘要

布鲁氏菌性人工瓣膜心内膜炎虽罕见但可能致命,是由布鲁氏菌属引起的布鲁氏菌病的一种并发症。布鲁氏菌病的症状可能不具特异性,这使得诊断颇具挑战性。骨关节受累是布鲁氏菌病最常见的并发症。除心内膜炎和中枢神经系统受累外,布鲁氏菌病的死亡率较低。诊断基于实验室检查和临床表现。血清学检测更为可取,因为培养方法可能不可靠。一名59岁女性出现胃肠道出血、发热、厌食和全身不适。她有因严重二叶式主动脉瓣狭窄接受机械瓣膜主动脉瓣置换术的病史。检查发现围绕人工瓣膜的多房性主动脉根部脓肿。她被诊断为布鲁氏菌性心内膜炎,接受了抗生素治疗并接受了心脏手术。术后她的症状有所改善。布鲁氏菌性人工瓣膜心内膜炎是这种疾病的罕见表现。

https://cdn.ncbi.nlm.nih.gov/pmc/blobs/3460/10271217/5193be8691d5/rjad299f3.jpg
https://cdn.ncbi.nlm.nih.gov/pmc/blobs/3460/10271217/a7d508d6c294/rjad299f1.jpg
https://cdn.ncbi.nlm.nih.gov/pmc/blobs/3460/10271217/1ca1a4b73d10/rjad299f2.jpg
https://cdn.ncbi.nlm.nih.gov/pmc/blobs/3460/10271217/5193be8691d5/rjad299f3.jpg
https://cdn.ncbi.nlm.nih.gov/pmc/blobs/3460/10271217/a7d508d6c294/rjad299f1.jpg
https://cdn.ncbi.nlm.nih.gov/pmc/blobs/3460/10271217/1ca1a4b73d10/rjad299f2.jpg
https://cdn.ncbi.nlm.nih.gov/pmc/blobs/3460/10271217/5193be8691d5/rjad299f3.jpg

相似文献

1
Aortic root abscess and Brucella endocarditis in a patient with mechanical aortic valve prosthesis: a case report.机械主动脉瓣置换术后患者发生主动脉根部脓肿和布鲁氏菌性心内膜炎:一例报告
J Surg Case Rep. 2023 Jun 15;2023(6):rjad299. doi: 10.1093/jscr/rjad299. eCollection 2023 Jun.
2
Successful Management of Prosthetic Valve Endocarditis with Antibiotherapy Alone.单纯抗生素治疗成功管理人工瓣膜心内膜炎
Eur J Case Rep Intern Med. 2018 Apr 24;5(4):000808. doi: 10.12890/2018_000808. eCollection 2018.
3
Successful treatment of Brucella endocarditis with aortic root abscess.成功治疗伴有主动脉根部脓肿的布鲁氏菌性心内膜炎
Saudi Med J. 2005 Mar;26(3):473-5.
4
A tale of four valves: outcome of Brucella endocarditis: a case series.四个瓣膜的故事:布鲁氏菌性心内膜炎的结局:病例系列
Eur Heart J Case Rep. 2019 Jun 1;3(2). doi: 10.1093/ehjcr/ytz035.
5
An aortic root abscess in a patient with a bicuspid aortic valve: a case report.一例二叶式主动脉瓣患者的主动脉根部脓肿:病例报告
Eur Heart J Case Rep. 2020 Sep 9;4(5):1-6. doi: 10.1093/ehjcr/ytaa209. eCollection 2020 Oct.
6
Prosthetic Valve Endocarditis: A Systematic Review.人工瓣膜心内膜炎:一项系统评价
J Saudi Heart Assoc. 2021 Aug 9;33(3):198-212. doi: 10.37616/2212-5043.1257. eCollection 2021.
7
Treatment of Brucella endocarditis: our surgical experience with 6 patients.布鲁氏菌性心内膜炎的治疗:我们对6例患者的外科治疗经验。
Heart Surg Forum. 2005;8(4):E262-5. doi: 10.1532/HSF98.20041170.
8
Brucella involving the heart: a hidden disease.布鲁氏菌累及心脏:隐匿性疾病。
Int J Cardiovasc Imaging. 2021 Oct;37(10):2901-2904. doi: 10.1007/s10554-021-02261-9. Epub 2021 May 3.
9
Prosthetic valve endocarditis caused by Staphylococcus capitis: report of 4 cases.头状葡萄球菌引起的人工瓣膜心内膜炎:4例报告
J Cardiothorac Surg. 2011 Oct 7;6:131. doi: 10.1186/1749-8090-6-131.
10
A rare cause of culture negative bioprosthetic valve endocarditis: a case report of infection.人工生物瓣膜心内膜炎血培养阴性的罕见病因:一例感染病例报告
Eur Heart J Case Rep. 2021 Feb 8;5(2):ytab003. doi: 10.1093/ehjcr/ytab003. eCollection 2021 Feb.

本文引用的文献

1
Clinical presentations and diagnosis of brucellosis.布鲁氏菌病的临床表现与诊断
Recent Pat Antiinfect Drug Discov. 2013 Apr;8(1):34-41.
2
The new global map of human brucellosis.人类布鲁氏菌病的新全球地图。
Lancet Infect Dis. 2006 Feb;6(2):91-9. doi: 10.1016/S1473-3099(06)70382-6.
3
Brucella endocarditis: clinical, diagnostic, and therapeutic approach.布鲁氏菌性心内膜炎:临床、诊断及治疗方法
Eur J Clin Microbiol Infect Dis. 2003 Nov;22(11):647-50. doi: 10.1007/s10096-003-1026-z. Epub 2003 Oct 18.
4
Brucellosis and heart disease. II. Fatal brucellosis: a review of the literature and report of new cases.布鲁氏菌病与心脏病。II. 致命性布鲁氏菌病:文献综述及新病例报告
Am J Pathol. 1960 Jun;36(6):673-97.
5
Infective endocarditis due to unusual or fastidious microorganisms.由不常见或苛求菌引起的感染性心内膜炎。
Mayo Clin Proc. 1997 Jun;72(6):532-42. doi: 10.4065/72.6.532.
6
Complications associated with Brucella melitensis infection: a study of 530 cases.与羊种布鲁氏菌感染相关的并发症:530例病例研究
Medicine (Baltimore). 1996 Jul;75(4):195-211. doi: 10.1097/00005792-199607000-00003.
7
The nature of human brucellosis in Kuwait: study of 379 cases.科威特人类布鲁氏菌病的特征:379例病例研究
Rev Infect Dis. 1988 Jan-Feb;10(1):211-7. doi: 10.1093/clinids/10.1.211.
8
Brucella endocarditis: the role of combined medical and surgical treatment.布鲁氏菌性心内膜炎:药物与手术联合治疗的作用
Rev Infect Dis. 1990 Sep-Oct;12(5):740-4. doi: 10.1093/clinids/12.5.740.
9
Improvement in the diagnosis of abscesses associated with endocarditis by transesophageal echocardiography.经食管超声心动图对心内膜炎相关脓肿诊断的改善。
N Engl J Med. 1991 Mar 21;324(12):795-800. doi: 10.1056/NEJM199103213241203.
10
Serologic diagnosis of human brucellosis: analysis of 214 cases by agglutination tests and review of the literature.人类布鲁氏菌病的血清学诊断:214例凝集试验分析及文献综述
Rev Infect Dis. 1991 May-Jun;13(3):359-72. doi: 10.1093/clinids/13.3.359.