Suppr超能文献

心胸成像中的双能CT:当前进展

Dual-Energy CT in Cardiothoracic Imaging: Current Developments.

作者信息

Alizadeh Leona S, Vogl Thomas J, Waldeck Stephan S, Overhoff Daniel, D'Angelo Tommaso, Martin Simon S, Yel Ibrahim, Gruenewald Leon D, Koch Vitali, Fulisch Florian, Booz Christian

机构信息

Department of Diagnostic and Interventional Radiology, University Hospital Frankfurt, 60590 Frankfurt, Germany.

Division of Experimental Imaging, Department of Diagnostic and Interventional Radiology, University Hospital Frankfurt, 60590 Frankfurt, Germany.

出版信息

Diagnostics (Basel). 2023 Jun 19;13(12):2116. doi: 10.3390/diagnostics13122116.

Abstract

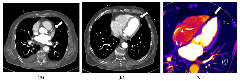
This article describes the technical principles and clinical applications of dual-energy computed tomography (DECT) in the context of cardiothoracic imaging with a focus on current developments and techniques. Since the introduction of DECT, different vendors developed distinct hard and software approaches for generating multi-energy datasets and multiple DECT applications that were developed and clinically investigated for different fields of interest. Benefits for various clinical settings, such as oncology, trauma and emergency radiology, as well as musculoskeletal and cardiovascular imaging, were recently reported in the literature. State-of-the-art applications, such as virtual monoenergetic imaging (VMI), material decomposition, perfused blood volume imaging, virtual non-contrast imaging (VNC), plaque removal, and virtual non-calcium (VNCa) imaging, can significantly improve cardiothoracic CT image workflows and have a high potential for improvement of diagnostic accuracy and patient safety.

摘要

本文介绍了双能计算机断层扫描(DECT)在心胸成像中的技术原理和临床应用,重点关注当前的发展和技术。自DECT问世以来,不同供应商开发了不同的硬件和软件方法来生成多能量数据集,并针对不同的感兴趣领域开发和临床研究了多种DECT应用。最近文献报道了DECT在各种临床环境中的益处,如肿瘤学、创伤和急诊放射学,以及肌肉骨骼和心血管成像。诸如虚拟单能量成像(VMI)、物质分解、灌注血容量成像、虚拟非增强成像(VNC)、斑块去除和虚拟无钙(VNCa)成像等先进应用,可以显著改善心胸CT图像工作流程,并具有提高诊断准确性和患者安全性的巨大潜力。

https://cdn.ncbi.nlm.nih.gov/pmc/blobs/3488/10297493/0c3864583159/diagnostics-13-02116-g001a.jpg

文献检索

告别复杂PubMed语法,用中文像聊天一样搜索,搜遍4000万医学文献。AI智能推荐,让科研检索更轻松。

立即免费搜索

文件翻译

保留排版,准确专业,支持PDF/Word/PPT等文件格式,支持 12+语言互译。

免费翻译文档

深度研究

AI帮你快速写综述,25分钟生成高质量综述,智能提取关键信息,辅助科研写作。

立即免费体验