Suppr超能文献

骨肉瘤转移至胸部:胸部计算机断层扫描结果的影像综述

Osteosarcoma Metastasis to the Thorax: A Pictorial Review of Chest Computed Tomography Findings.

作者信息

Alduraibi Khalid Abdulaziz, Towhari Jawaher Ali, Alebdi Hatim Abdullah, Alfadhel Bader Zaid, Alotaibi Ghazi S, Ghosh Subha, Bin Saeedan Mnahi

机构信息

Department of Radiology, King Faisal Specialist Hospital and Research Center, Riyadh 11533, Saudi Arabia.

Division of Hematology, Department of Medicine, College of Medicine, King Saud University, Riyadh 11362, Saudi Arabia.

出版信息

Diagnostics (Basel). 2024 Sep 20;14(18):2085. doi: 10.3390/diagnostics14182085.

Abstract

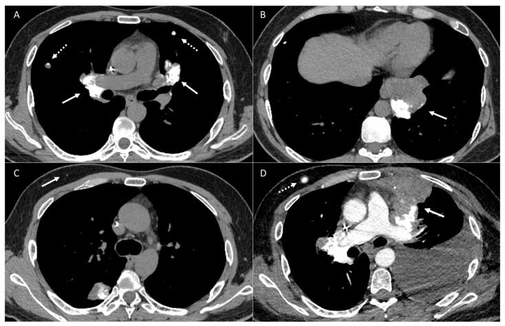
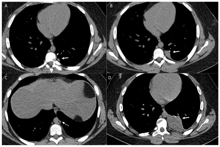
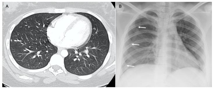
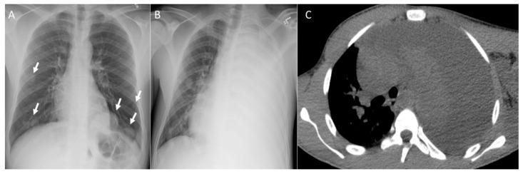
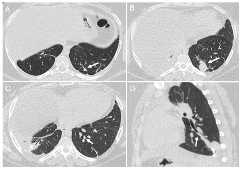
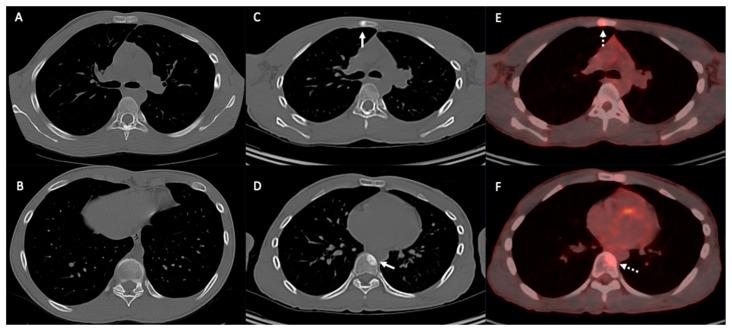
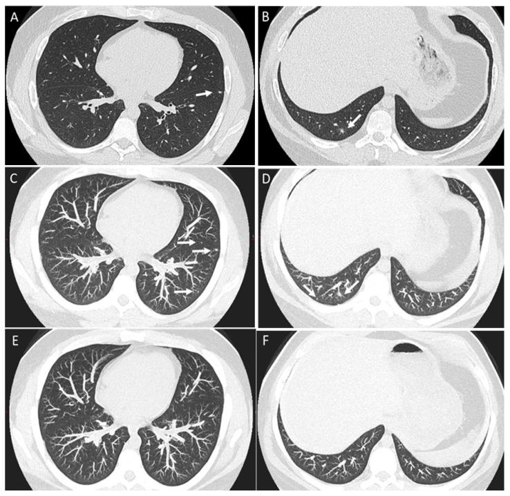
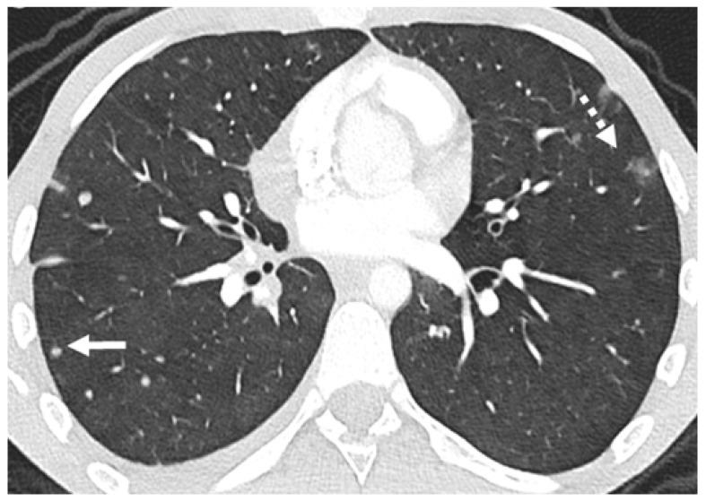
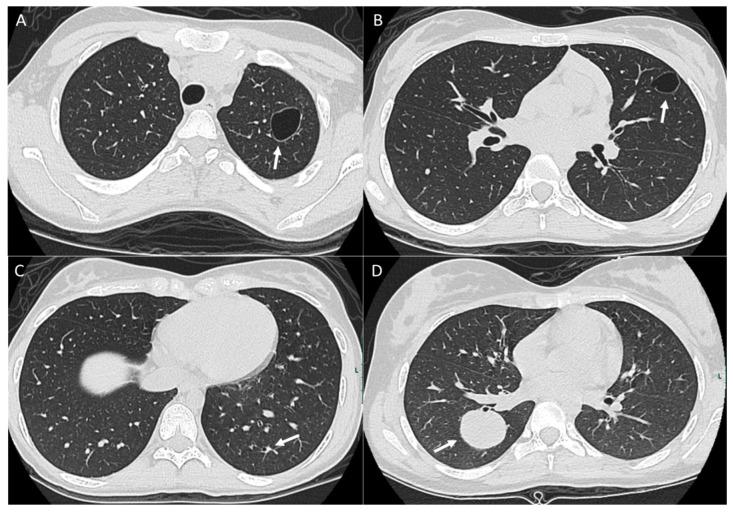
Osteosarcoma, a primary bone malignancy in children and adolescents, frequently metastasizes to the lungs, contributing significantly to morbidity and mortality. At diagnosis, 15-20% of patients present with detectable lung metastases. Chest computed tomography (CT) is vital for the early detection and monitoring of these metastases. Lung involvement typically presents as multiple nodules of varying sizes and can include atypical features such as cavitation, cystic lesions, ground-glass halos, intravascular tumor thrombi, and endobronchial disease. Pleural metastasis often occurs alongside pulmonary disease, and complications like spontaneous pneumothorax may arise. Additional findings may include thoracic lymphadenopathy, cardiac tumor thrombus, and chest wall deposits. Familiarity with these imaging patterns is essential for radiologists to ensure timely diagnosis and effective management. This review highlights the critical role of chest CT in detecting and characterizing osteosarcoma metastasis.

摘要

骨肉瘤是儿童和青少年常见的原发性骨恶性肿瘤,常转移至肺部,对发病率和死亡率有显著影响。在诊断时,15%至20%的患者出现可检测到的肺转移。胸部计算机断层扫描(CT)对于这些转移灶的早期检测和监测至关重要。肺部受累通常表现为大小不一的多个结节,可包括一些非典型特征,如空洞形成、囊性病变、磨玻璃晕、血管内肿瘤血栓和支气管内病变。胸膜转移常与肺部疾病同时发生,可能出现自发性气胸等并发症。其他表现可能包括胸内淋巴结肿大、心脏肿瘤血栓和胸壁转移灶。放射科医生熟悉这些影像学表现对于确保及时诊断和有效治疗至关重要。本综述强调了胸部CT在检测和鉴别骨肉瘤转移方面的关键作用。

https://cdn.ncbi.nlm.nih.gov/pmc/blobs/2bfe/11431112/1da7ba1ef938/diagnostics-14-02085-g001.jpg

文献检索

告别复杂PubMed语法,用中文像聊天一样搜索,搜遍4000万医学文献。AI智能推荐,让科研检索更轻松。

立即免费搜索

文件翻译

保留排版,准确专业,支持PDF/Word/PPT等文件格式,支持 12+语言互译。

免费翻译文档

深度研究

AI帮你快速写综述,25分钟生成高质量综述,智能提取关键信息,辅助科研写作。

立即免费体验