Department of Biochemistry and National Creative Research Laboratory for Ca2+ Signaling Network, Jeonbuk National University, Medical School, Keum-am dong, Jeonju, 54907, Republic of Korea.
School of Biological Sciences, University of Ulsan, Ulsan, 44610, Republic of Korea.
Exp Mol Med. 2023 Jul;55(7):1492-1505. doi: 10.1038/s12276-023-01034-9. Epub 2023 Jul 3.
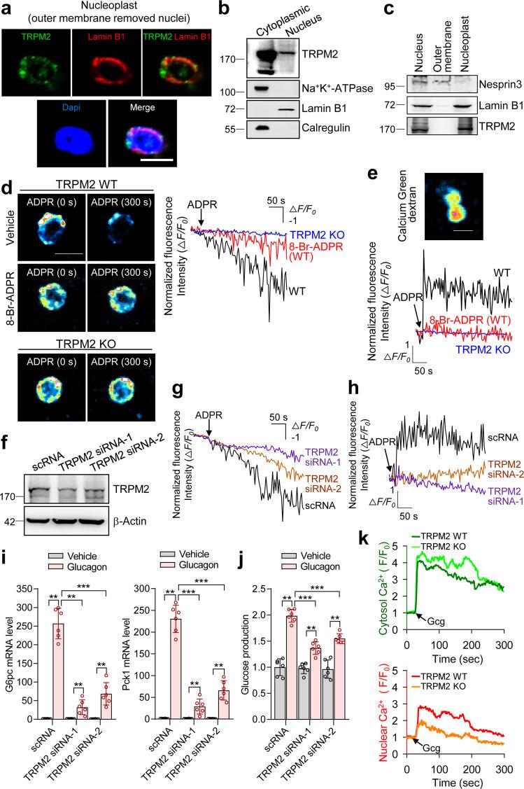
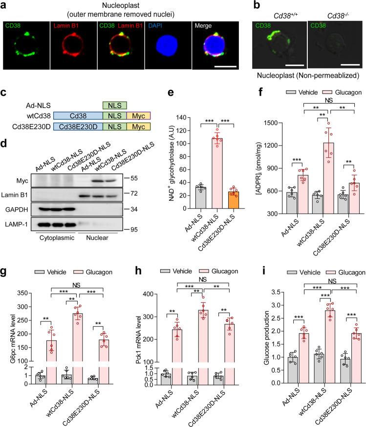
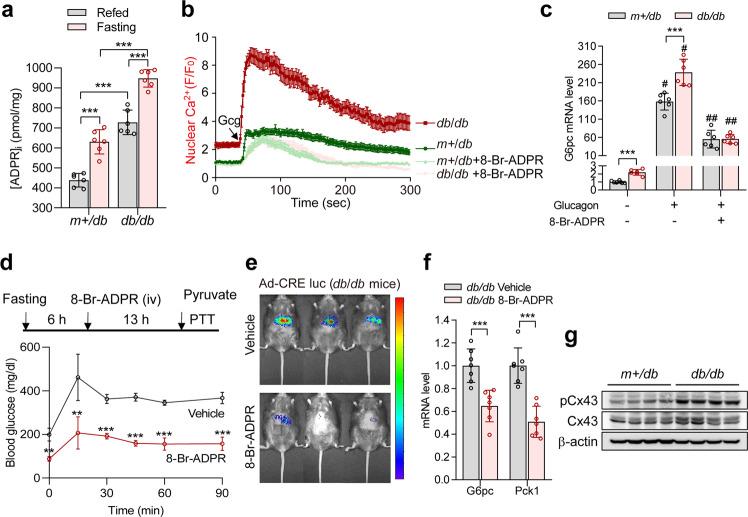
Hepatic glucose production by glucagon is crucial for glucose homeostasis during fasting, yet the underlying mechanisms remain incompletely delineated. Although CD38 has been detected in the nucleus, its function in this compartment is unknown. Here, we demonstrate that nuclear CD38 (nCD38) controls glucagon-induced gluconeogenesis in primary hepatocytes and liver in a manner distinct from CD38 occurring in the cytoplasm and lysosomal compartments. We found that the localization of CD38 in the nucleus is required for glucose production by glucagon and that nCD38 activation requires NAD supplied by PKCδ-phosphorylated connexin 43. In fasting and diabetes, nCD38 promotes sustained Ca signals via transient receptor potential melastatin 2 (TRPM2) activation by ADP-ribose, which enhances the transcription of glucose-6 phosphatase and phosphoenolpyruvate carboxykinase 1. These findings shed light on the role of nCD38 in glucagon-induced gluconeogenesis and provide insight into nuclear Ca signals that mediate the transcription of key genes in gluconeogenesis under physiological conditions.
胰高血糖素引起的肝脏葡萄糖产生对于空腹时的葡萄糖稳态至关重要,但潜在的机制仍不完全明确。尽管已经在核内检测到 CD38,但它在该隔室中的功能尚不清楚。在这里,我们证明核内 CD38(nCD38)以不同于发生在细胞质和溶酶体隔室中的 CD38 的方式控制原代肝细胞和肝脏中的胰高血糖素诱导的糖异生。我们发现,CD38 在核内的定位对于胰高血糖素引起的葡萄糖产生是必需的,并且 nCD38 的激活需要 PKCδ 磷酸化连接蛋白 43 供应的 NAD。在禁食和糖尿病中,nCD38 通过 ADP-核糖促进瞬时受体电位 melastatin 2(TRPM2)的短暂激活,从而增强葡萄糖-6-磷酸酶和磷酸烯醇丙酮酸羧激酶 1 的转录,从而促进持续的 Ca 信号。这些发现揭示了 nCD38 在胰高血糖素诱导的糖异生中的作用,并深入了解了核内 Ca 信号在生理条件下介导糖异生关键基因转录的作用。