Suppr超能文献

巨噬细胞系细胞衍生的迁移小体激活脑淀粉样血管病小鼠模型中补体依赖性血脑屏障损伤。

Macrophage lineage cells-derived migrasomes activate complement-dependent blood-brain barrier damage in cerebral amyloid angiopathy mouse model.

机构信息

Department of Neurology, Mental and Neurological Disease Research Center, The Third Affiliated Hospital of Sun Yat-sen University, Guangzhou, 510630, China.

Guangdong Provincial Key Laboratory of Brain Function and Disease, Guangzhou, 510630, China.

出版信息

Nat Commun. 2023 Jul 4;14(1):3945. doi: 10.1038/s41467-023-39693-x.

Abstract

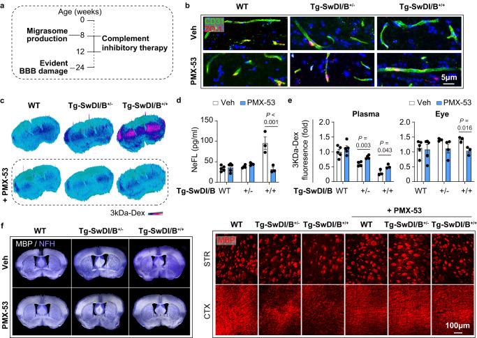
Accumulation of amyloid beta protein (Aβ) in brain vessels damages blood brain barrier (BBB) integrity in cerebral amyloid angiopathy (CAA). Macrophage lineage cells scavenge Aβ and produce disease-modifying mediators. Herein, we report that Aβ40-induced macrophage-derived migrasomes are sticky to blood vessels in skin biopsy samples from CAA patients and brain tissue from CAA mouse models (Tg-SwDI/B and 5xFAD mice). We show that CD5L is packed in migrasomes and docked to blood vessels, and that enrichment of CD5L impairs the resistance to complement activation. Increased migrasome-producing capacity of macrophages and membrane attack complex (MAC) in blood are associated with disease severity in both patients and Tg-SwDI/B mice. Of note, complement inhibitory treatment protects against migrasomes-mediated blood-brain barrier injury in Tg-SwDI/B mice. We thus propose that macrophage-derived migrasomes and the consequent complement activation are potential biomarkers and therapeutic targets in CAA.

摘要

淀粉样β蛋白(Aβ)在脑血管中的积累会损害脑淀粉样血管病(CAA)中血脑屏障(BBB)的完整性。巨噬细胞谱系细胞吞噬 Aβ并产生疾病修饰介质。在此,我们报告 Aβ40 诱导的巨噬细胞衍生的迁移小体在 CAA 患者皮肤活检样本和 CAA 小鼠模型(Tg-SwDI/B 和 5xFAD 小鼠)的脑组织中与血管黏附。我们表明 CD5L 被包裹在迁移小体中并与血管对接,并且 CD5L 的富集会损害补体激活的抵抗力。巨噬细胞和血液中的膜攻击复合物(MAC)产生迁移小体的能力增加与患者和 Tg-SwDI/B 小鼠的疾病严重程度相关。值得注意的是,补体抑制治疗可防止 Tg-SwDI/B 小鼠中迁移小体介导的血脑屏障损伤。因此,我们提出巨噬细胞衍生的迁移小体和随后的补体激活是 CAA 的潜在生物标志物和治疗靶点。

https://cdn.ncbi.nlm.nih.gov/pmc/blobs/7c11/10319857/6f1a24604840/41467_2023_39693_Fig1_HTML.jpg

文献AI研究员

20分钟写一篇综述,助力文献阅读效率提升50倍。

立即体验

用中文搜PubMed

大模型驱动的PubMed中文搜索引擎

马上搜索

文档翻译

学术文献翻译模型,支持多种主流文档格式。

立即体验