Suppr超能文献

乳头状颅咽管瘤的同步放疗与靶向治疗:一例报告

Concurrent Radiation and Targeted Therapy for Papillary Craniopharyngioma: A Case Report.

作者信息

Shah Sophia N, Kaki Praneet C, Shah Sohan S, Shah Sunjay A

机构信息

Radiation Oncology, Christiana Care Health System, Newark, USA.

出版信息

Cureus. 2023 Jun 9;15(6):e40190. doi: 10.7759/cureus.40190. eCollection 2023 Jun.

Abstract

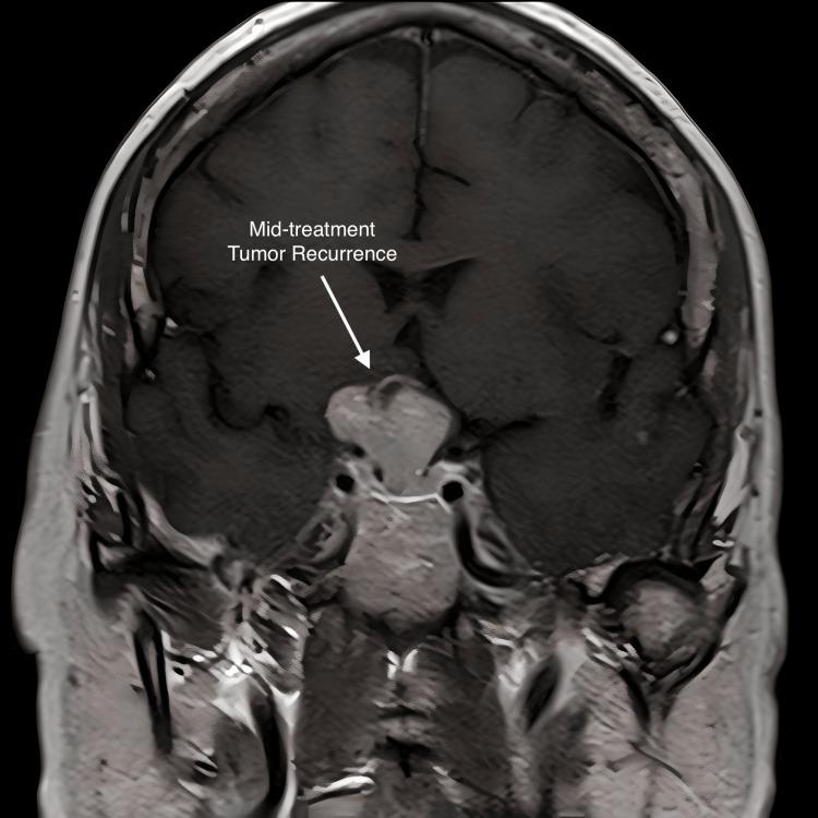
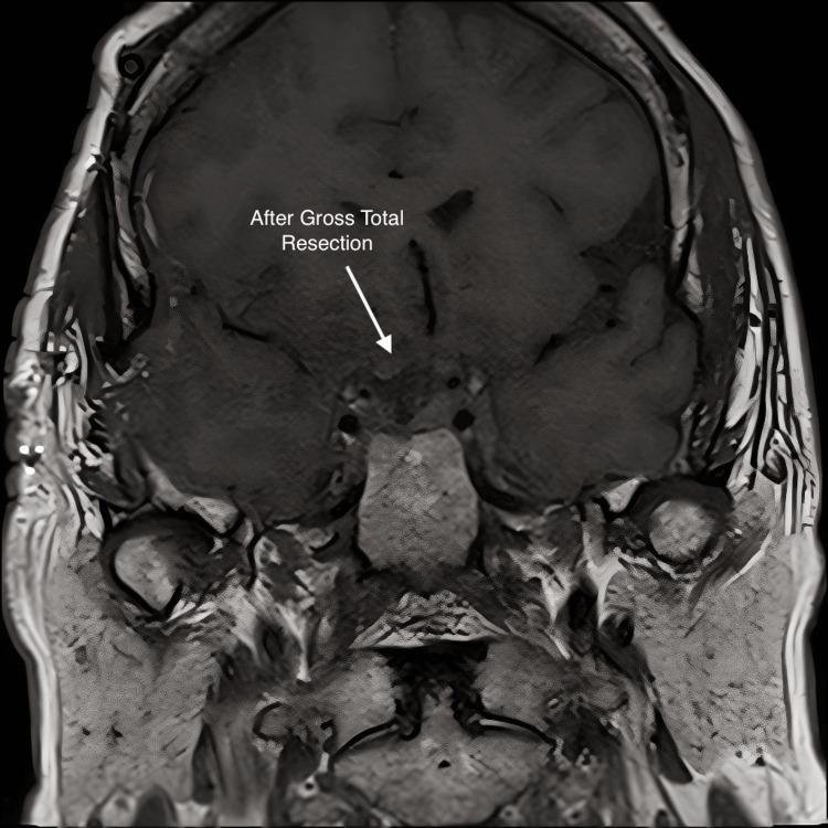
Craniopharyngiomas are rare epithelial malformations in the sellar or suprasellar regions of the craniopharyngeal ducts. Complete surgical resection is difficult due to the location of the base of the skull and the risk of injury to vital neurological structures. Fractionated radiation is effective in controlling residual tumors, but craniopharyngiomas can progress during treatment. The papillary subtype is driven by BRAF V600E mutations. Treatment with BRAF and MEK inhibitors alone has a response rate of 90% but a median progression-free survival of only 12 months. A 57-year-old female presented in May 2017 with complaints of headaches and blurriness in her right eye. Brain MRI demonstrated a 2 cm suprasellar mass engulfing the right optic nerve and optic chiasm. The patient underwent a transsphenoidal hypophysectomy with pathology consistent with a benign pituitary adenoma. Follow-up imaging in August, however, showed recurrence, and a re-resection was performed which surprisingly demonstrated papillary craniopharyngioma. Due to subtotal resection, the patient elected to proceed with intensity-modulated radiation therapy (IMRT) to the tumor bed in April of 2018 with an intended dose of 5400 cGy. After treatment with 2160 cGy in 12 fractions, the patient experienced visual deterioration and progression of the cystic tumor. The patient underwent another debulking procedure but due to rapid recurrence, an endoscopic transsphenoidal fenestration was performed. On postoperative imaging, a cystic mass was still engulfing the right optic nerve and chiasm. Due to the extended break and limited radiation tolerance of the optic chiasm, we elected to re-treat the tumor with an additional 3780 cGy IMRT in conjunction with one cycle of Taflinar and Mekinist, which was completed in August 2018. The cumulative dose to the optic chiasm was 5940 cGy.The patient had an excellent clinical response to treatment with the improvement of vision in her right eye. A brain MRI on 3/29/2019 demonstrated no residual craniopharyngioma. Four-year follow-on CT scan showed no evidence of tumor recurrence. The patient had preservation of vision and did not suffer any late neurological toxicity or new endocrine deficiency. Surgical resection and radiation were ineffective at treating our patient's craniopharyngioma due to rapid cystic progression. This is the first case report in the literature detailing concurrent radiation therapy with BRAF and MEK inhibitors for papillary craniopharyngioma. Despite a suboptimal dose of radiation, our patient had no tumor recurrence and no late toxicity four years after treatment. This represents a potentially novel treatment strategy in this challenging entity.

摘要

颅咽管瘤是颅咽管蝶鞍区或鞍上区罕见的上皮性畸形。由于颅底位置以及损伤重要神经结构的风险,完整手术切除困难。分次放疗对控制残留肿瘤有效,但颅咽管瘤在治疗过程中可能进展。乳头状亚型由BRAF V600E突变驱动。单独使用BRAF和MEK抑制剂治疗的缓解率为90%,但无进展生存期的中位数仅为12个月。一名57岁女性于2017年5月因头痛和右眼视物模糊就诊。脑部MRI显示鞍上有一个2 cm肿块,包绕右侧视神经和视交叉。患者接受经蝶窦垂体切除术,病理结果符合良性垂体腺瘤。然而,8月的随访影像学检查显示复发,遂再次进行切除,结果令人惊讶地发现是乳头状颅咽管瘤。由于次全切除,患者于2018年4月选择对瘤床进行调强放疗(IMRT),计划剂量为5400 cGy。在给予12次分割共2160 cGy治疗后,患者出现视力恶化和囊性肿瘤进展。患者又接受了一次减瘤手术,但由于复发迅速,进行了内镜经蝶窦开窗术。术后影像学检查显示,一个囊性肿块仍包绕右侧视神经和视交叉。由于视交叉放疗中断时间延长且耐受性有限,我们选择在2018年8月对肿瘤再次进行3780 cGy的IMRT治疗,并联合一个周期的达拉非尼和曲美替尼,视交叉的累积剂量为5940 cGy。患者对治疗有良好的临床反应,右眼视力改善。2019年3月29日的脑部MRI显示无残留颅咽管瘤。四年后的CT随访扫描未发现肿瘤复发迹象。患者视力得以保留,未出现任何晚期神经毒性或新的内分泌功能减退。由于囊性肿瘤迅速进展,手术切除和放疗对我们这位患者的颅咽管瘤治疗无效。这是文献中首例详细描述乳头状颅咽管瘤同步放疗联合BRAF和MEK抑制剂治疗的病例报告。尽管放疗剂量不理想,但我们的患者在治疗四年后无肿瘤复发且无晚期毒性。这代表了在这个具有挑战性的疾病中的一种潜在新治疗策略。

https://cdn.ncbi.nlm.nih.gov/pmc/blobs/733d/10329859/886324211da5/cureus-0015-00000040190-i01.jpg

文献AI研究员

20分钟写一篇综述,助力文献阅读效率提升50倍。

立即体验

用中文搜PubMed

大模型驱动的PubMed中文搜索引擎

马上搜索

文档翻译

学术文献翻译模型,支持多种主流文档格式。

立即体验