• 文献检索
  • 文档翻译
  • 深度研究
  • 学术资讯
  • Suppr Zotero 插件Zotero 插件
  • 邀请有礼
  • 套餐&价格
  • 历史记录
应用&插件
Suppr Zotero 插件Zotero 插件浏览器插件Mac 客户端Windows 客户端微信小程序
定价
高级版会员购买积分包购买API积分包
服务
文献检索文档翻译深度研究API 文档MCP 服务
关于我们
关于 Suppr公司介绍联系我们用户协议隐私条款
关注我们

Suppr 超能文献

核心技术专利:CN118964589B侵权必究
粤ICP备2023148730 号-1Suppr @ 2026

文献检索

告别复杂PubMed语法,用中文像聊天一样搜索,搜遍4000万医学文献。AI智能推荐,让科研检索更轻松。

立即免费搜索

文件翻译

保留排版,准确专业,支持PDF/Word/PPT等文件格式,支持 12+语言互译。

免费翻译文档

深度研究

AI帮你快速写综述,25分钟生成高质量综述,智能提取关键信息,辅助科研写作。

立即免费体验

新冠患者低剂量计算机断层扫描成像的图像质量定量分析

Quantitative Analysis of Image Quality in Low-Dose Computed Tomography Imaging for COVID-19 Patients.

作者信息

Ghane Behrooz, Karimian Alireza, Mostafapour Samaneh, Gholamiankhak Faezeh, Shojaerazavi Seyedjafar, Arabi Hossein

机构信息

Department of Biomedical Engineering, Faculty of Engineering, University of Isfahan, Isfahan, Iran.

Department of Radiology Technology, Faculty of Paramedical Sciences, Mashhad University of Medical Sciences, Mashhad, Iran.

出版信息

J Med Signals Sens. 2023 May 29;13(2):118-128. doi: 10.4103/jmss.jmss_173_21. eCollection 2023 Apr-Jun.

DOI:10.4103/jmss.jmss_173_21
PMID:37448548
原文链接:https://pmc.ncbi.nlm.nih.gov/articles/PMC10336910/
Abstract

BACKGROUND

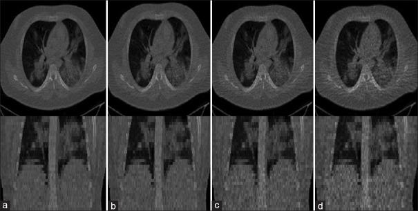
Computed tomography (CT) scan is one of the main tools to diagnose and grade COVID-19 progression. To avoid the side effects of CT imaging, low-dose CT imaging is of crucial importance to reduce population absorbed dose. However, this approach introduces considerable noise levels in CT images.

METHODS

In this light, we set out to simulate four reduced dose levels (60% dose, 40% dose, 20% dose, and 10% dose) of standard CT imaging using Beer-Lambert's law across 49 patients infected with COVID-19. Then, three denoising filters, namely Gaussian, bilateral, and median, were applied to the different low-dose CT images, the quality of which was assessed prior to and after the application of the various filters via calculation of peak signal-to-noise ratio, root mean square error (RMSE), structural similarity index measure, and relative CT-value bias, separately for the lung tissue and whole body.

RESULTS

The quantitative evaluation indicated that 10%-dose CT images have inferior quality (with RMSE = 322.1 ± 104.0 HU and bias = 11.44% ± 4.49% in the lung) even after the application of the denoising filters. The bilateral filter exhibited superior performance to suppress the noise and recover the underlying signals in low-dose CT images compared to the other denoising techniques. The bilateral filter led to RMSE and bias of 100.21 ± 16.47 HU and - 0.21% ± 1.20%, respectively, in the lung regions for 20%-dose CT images compared to the Gaussian filter with RMSE = 103.46 ± 15.70 HU and bias = 1.02% ± 1.68% and median filter with RMSE = 129.60 ± 18.09 HU and bias = -6.15% ± 2.24%.

CONCLUSIONS

The 20%-dose CT imaging followed by the bilateral filtering introduced a reasonable compromise between image quality and patient dose reduction.

摘要

背景

计算机断层扫描(CT)是诊断和评估新型冠状病毒肺炎(COVID-19)病情进展的主要工具之一。为避免CT成像的副作用,低剂量CT成像对于降低人群吸收剂量至关重要。然而,这种方法会在CT图像中引入相当大的噪声水平。

方法

有鉴于此,我们利用比尔-朗伯定律对49例COVID-19感染患者的标准CT成像模拟了四种降低剂量水平(60%剂量、40%剂量、20%剂量和10%剂量)。然后,对不同的低剂量CT图像应用高斯、双边和中值三种去噪滤波器,并通过计算峰值信噪比、均方根误差(RMSE)、结构相似性指数测量值和相对CT值偏差,分别针对肺组织和全身,在应用各种滤波器之前和之后评估图像质量。

结果

定量评估表明,即使应用了去噪滤波器,10%剂量的CT图像质量仍较差(肺组织中RMSE = 322.1 ± 104.0 HU,偏差 = 11.44% ± 4.49%)。与其他去噪技术相比,双边滤波器在抑制低剂量CT图像中的噪声和恢复潜在信号方面表现更优。对于20%剂量的CT图像,在肺区域,双边滤波器导致的RMSE和偏差分别为100.21 ± 16.47 HU和 - 0.21% ± 1.20%,而高斯滤波器的RMSE = 103.46 ± 15.70 HU,偏差 = 1.02% ± 1.68%,中值滤波器的RMSE = 129.60 ± 18.09 HU,偏差 = -6.15% ± 2.24%。

结论

20%剂量的CT成像随后进行双边滤波在图像质量和患者剂量减少之间引入了合理的折衷方案。

https://cdn.ncbi.nlm.nih.gov/pmc/blobs/6dcf/10336910/c84785f5df76/JMSS-13-118-g022.jpg
https://cdn.ncbi.nlm.nih.gov/pmc/blobs/6dcf/10336910/e676bf5b718e/JMSS-13-118-g001.jpg
https://cdn.ncbi.nlm.nih.gov/pmc/blobs/6dcf/10336910/f745bd6b09ea/JMSS-13-118-g017.jpg
https://cdn.ncbi.nlm.nih.gov/pmc/blobs/6dcf/10336910/00a55f0e5a32/JMSS-13-118-g018.jpg
https://cdn.ncbi.nlm.nih.gov/pmc/blobs/6dcf/10336910/f9b59e76d2d8/JMSS-13-118-g019.jpg
https://cdn.ncbi.nlm.nih.gov/pmc/blobs/6dcf/10336910/7e24de78bfe7/JMSS-13-118-g020.jpg
https://cdn.ncbi.nlm.nih.gov/pmc/blobs/6dcf/10336910/392035ac6b94/JMSS-13-118-g021.jpg
https://cdn.ncbi.nlm.nih.gov/pmc/blobs/6dcf/10336910/c84785f5df76/JMSS-13-118-g022.jpg
https://cdn.ncbi.nlm.nih.gov/pmc/blobs/6dcf/10336910/e676bf5b718e/JMSS-13-118-g001.jpg
https://cdn.ncbi.nlm.nih.gov/pmc/blobs/6dcf/10336910/f745bd6b09ea/JMSS-13-118-g017.jpg
https://cdn.ncbi.nlm.nih.gov/pmc/blobs/6dcf/10336910/00a55f0e5a32/JMSS-13-118-g018.jpg
https://cdn.ncbi.nlm.nih.gov/pmc/blobs/6dcf/10336910/f9b59e76d2d8/JMSS-13-118-g019.jpg
https://cdn.ncbi.nlm.nih.gov/pmc/blobs/6dcf/10336910/7e24de78bfe7/JMSS-13-118-g020.jpg
https://cdn.ncbi.nlm.nih.gov/pmc/blobs/6dcf/10336910/392035ac6b94/JMSS-13-118-g021.jpg
https://cdn.ncbi.nlm.nih.gov/pmc/blobs/6dcf/10336910/c84785f5df76/JMSS-13-118-g022.jpg

相似文献

1
Quantitative Analysis of Image Quality in Low-Dose Computed Tomography Imaging for COVID-19 Patients.新冠患者低剂量计算机断层扫描成像的图像质量定量分析
J Med Signals Sens. 2023 May 29;13(2):118-128. doi: 10.4103/jmss.jmss_173_21. eCollection 2023 Apr-Jun.
2
Ultra-low-dose CT image denoising using modified BM3D scheme tailored to data statistics.基于数据统计量身定制的改进 BM3D 方案在超低剂量 CT 图像去噪中的应用。
Med Phys. 2019 Jan;46(1):190-198. doi: 10.1002/mp.13252. Epub 2018 Nov 19.
3
Biomedical Image Denoising Based on Hybrid Optimization Algorithm and Sequential Filters.基于混合优化算法和顺序滤波器的生物医学图像去噪
J Biomed Phys Eng. 2020 Feb 1;10(1):83-92. doi: 10.31661/jbpe.v0i0.1016. eCollection 2020 Feb.
4
Performance evaluation of a 4D similarity filter for dynamic CT angiography imaging of the liver.用于肝脏动态CT血管造影成像的4D相似性滤波器的性能评估
Med Phys. 2024 Dec;51(12):8814-8827. doi: 10.1002/mp.17394. Epub 2024 Sep 12.
5
[Progress in filters for denoising cryo-electron microscopy images].[用于冷冻电子显微镜图像去噪的滤波器研究进展]
Beijing Da Xue Xue Bao Yi Xue Ban. 2021 Mar 3;53(2):425-433. doi: 10.19723/j.issn.1671-167X.2021.02.033.
6
Improvement of image quality in PET using post-reconstruction hybrid spatial-frequency domain filtering.使用后重建混合空间频率域滤波提高 PET 图像质量。
Phys Med Biol. 2018 Oct 24;63(21):215010. doi: 10.1088/1361-6560/aae573.
7
Elimination of biological and physical artifacts in abdomen and brain computed tomography procedures using filtering techniques.使用滤波技术消除腹部和脑部计算机断层扫描程序中的生物和物理伪影。
Saudi J Biol Sci. 2022 Apr;29(4):2180-2186. doi: 10.1016/j.sjbs.2021.11.043. Epub 2021 Nov 26.
8
Denoising of polychromatic CT images based on their own noise properties.基于多色CT图像自身噪声特性的去噪处理。
Med Phys. 2016 May;43(5):2251. doi: 10.1118/1.4945022.
9
An investigation of quantitative accuracy for deep learning based denoising in oncological PET.基于深度学习的肿瘤 PET 去噪定量准确性研究。
Phys Med Biol. 2019 Aug 21;64(16):165019. doi: 10.1088/1361-6560/ab3242.
10
Spatially guided nonlocal mean approach for denoising of PET images.基于空间引导的非局部均值方法在 PET 图像去噪中的应用。
Med Phys. 2020 Apr;47(4):1656-1669. doi: 10.1002/mp.14024. Epub 2020 Feb 10.

引用本文的文献

1
Safe, Smart, and Scalable: A Prospective Multicenter Study on Low-Dose CT and CTSS for Emergency Risk Stratification in COVID-19.安全、智能且可扩展:一项关于低剂量CT和CTSS用于COVID-19紧急风险分层的前瞻性多中心研究。
J Clin Med. 2025 Jun 21;14(13):4423. doi: 10.3390/jcm14134423.
2
Dual-Domain Self-Supervised Deep Learning with Graph Convolution for Low-Dose Computed Tomography Reconstruction.用于低剂量计算机断层扫描重建的基于图卷积的双域自监督深度学习
J Imaging Inform Med. 2025 Feb 18. doi: 10.1007/s10278-024-01314-4.

本文引用的文献

1
Detection and Classification of COVID-19 by Lungs Computed Tomography Scan Image Processing using Intelligence Algorithm.基于智能算法的肺部计算机断层扫描图像处理用于新冠病毒肺炎的检测与分类
J Med Signals Sens. 2021 Oct 20;11(4):274-284. doi: 10.4103/jmss.JMSS_55_20. eCollection 2021 Oct-Dec.
2
Comparison of different deep learning architectures for synthetic CT generation from MR images.不同深度学习架构在基于磁共振图像的合成 CT 生成中的比较。
Phys Med. 2021 Oct;90:99-107. doi: 10.1016/j.ejmp.2021.09.006. Epub 2021 Sep 29.
3
Applications of artificial intelligence and deep learning in molecular imaging and radiotherapy.
人工智能与深度学习在分子成像和放射治疗中的应用。
Eur J Hybrid Imaging. 2020 Sep 23;4(1):17. doi: 10.1186/s41824-020-00086-8.
4
Non-local mean denoising using multiple PET reconstructions.利用多次 PET 重建进行非局部均值去噪。
Ann Nucl Med. 2021 Feb;35(2):176-186. doi: 10.1007/s12149-020-01550-y. Epub 2020 Nov 26.
5
Ultra-low-dose chest CT imaging of COVID-19 patients using a deep residual neural network.使用深度残差神经网络对 COVID-19 患者进行超低剂量胸部 CT 成像。
Eur Radiol. 2021 Mar;31(3):1420-1431. doi: 10.1007/s00330-020-07225-6. Epub 2020 Sep 3.
6
A new deep convolutional neural network design with efficient learning capability: Application to CT image synthesis from MRI.一种具有高效学习能力的新型深度卷积神经网络设计:在从MRI合成CT图像中的应用。
Med Phys. 2020 Oct;47(10):5158-5171. doi: 10.1002/mp.14418. Epub 2020 Sep 6.
7
Chest-CT findings of COVID-19 in patients with pre-existing malignancies; a pictorial review.合并既往恶性肿瘤患者的新型冠状病毒肺炎胸部CT表现;图文综述
Clin Imaging. 2020 Nov;67:121-129. doi: 10.1016/j.clinimag.2020.06.004. Epub 2020 Jun 9.
8
Deep learning-guided joint attenuation and scatter correction in multitracer neuroimaging studies.深度学习引导的多示踪神经影像研究中的联合衰减和散射校正。
Hum Brain Mapp. 2020 Sep;41(13):3667-3679. doi: 10.1002/hbm.25039. Epub 2020 May 21.
9
Diagnostic Performance of CT and Reverse Transcriptase Polymerase Chain Reaction for Coronavirus Disease 2019: A Meta-Analysis.CT 与逆转录聚合酶链反应检测 2019 年冠状病毒病的诊断性能:一项荟萃分析。
Radiology. 2020 Sep;296(3):E145-E155. doi: 10.1148/radiol.2020201343. Epub 2020 Apr 17.
10
Coronavirus Disease 2019 (COVID-19) CT Findings: A Systematic Review and Meta-analysis.新型冠状病毒病 2019(COVID-19)的 CT 表现:系统评价和荟萃分析。
J Am Coll Radiol. 2020 Jun;17(6):701-709. doi: 10.1016/j.jacr.2020.03.006. Epub 2020 Mar 25.