• 文献检索
  • 文档翻译
  • 深度研究
  • 学术资讯
  • Suppr Zotero 插件Zotero 插件
  • 邀请有礼
  • 套餐&价格
  • 历史记录
应用&插件
Suppr Zotero 插件Zotero 插件浏览器插件Mac 客户端Windows 客户端微信小程序
定价
高级版会员购买积分包购买API积分包
服务
文献检索文档翻译深度研究API 文档MCP 服务
关于我们
关于 Suppr公司介绍联系我们用户协议隐私条款
关注我们

Suppr 超能文献

核心技术专利:CN118964589B侵权必究
粤ICP备2023148730 号-1Suppr @ 2026

文献检索

告别复杂PubMed语法,用中文像聊天一样搜索,搜遍4000万医学文献。AI智能推荐,让科研检索更轻松。

立即免费搜索

文件翻译

保留排版,准确专业,支持PDF/Word/PPT等文件格式,支持 12+语言互译。

免费翻译文档

深度研究

AI帮你快速写综述,25分钟生成高质量综述,智能提取关键信息,辅助科研写作。

立即免费体验

基于胫骨后外侧平台损伤的内侧副韧带复合体损伤与前交叉韧带断裂的相关性

Association of medial collateral ligament complex injuries with anterior cruciate ligament ruptures based on posterolateral tibial plateau injuries.

作者信息

Von Rehlingen-Prinz Fidelius, Leiderer Miriam, Dehoust Julius, Dust Tobias, Kowald Birgitt, Frosch Karl-Heinz, Izadpanah Kaywan, Henes Frank Oliver, Krause Matthias

机构信息

Department of Trauma and Orthopaedic Surgery, University Medical Center Hamburg-Eppendorf, Martinistraße 52, 20246, Hamburg, Germany.

Department of Trauma Surgery, Orthopaedics and Sports Traumatology, BG Hospital Hamburg, Bergedorfer Str. 10, 21033, Hamburg, Germany.

出版信息

Sports Med Open. 2023 Aug 8;9(1):70. doi: 10.1186/s40798-023-00611-6.

DOI:10.1186/s40798-023-00611-6
PMID:37553489
原文链接:https://pmc.ncbi.nlm.nih.gov/articles/PMC10409938/
Abstract

BACKGROUND

The combined injury of the medial collateral ligament complex and the anterior cruciate ligament (ACL) is the most common two ligament injury of the knee. Additional injuries to the medial capsuloligamentous structures are associated with rotational instability and a high failure rate of ACL reconstruction. The study aimed to analyze the specific pattern of medial injuries and their associated risk factors, with the goal of enabling early diagnosis and initiating appropriate therapeutic interventions, if necessary.

RESULTS

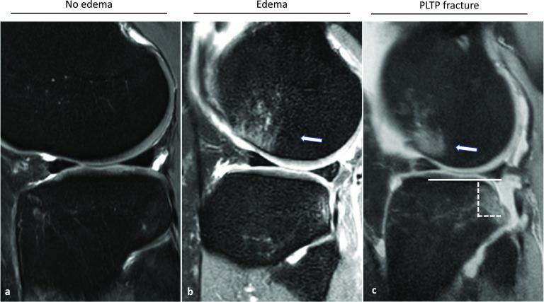
Between January 2017 and December 2018, 151 patients with acute ACL ruptures with a mean age of 32 ± 12 years were included in this study. The MRIs performed during the acute phase were analyzed by four independent investigators-two radiologists and two orthopedic surgeons. The trauma impact on the posterolateral tibial plateau and associated injuries to the medial complex (POL, dMCL, and sMCL) were examined and revealed an injury to the medial collateral ligament complex in 34.4% of the patients. The dMCL was the most frequently injured structure (92.2%). A dMCL injury was significantly associated with an increase in trauma severity at the posterolateral tibial plateau (p < 0.02) and additional injuries to the sMCL (OR 4.702, 95% CL 1.3-133.3, p = 0.03) and POL (OR 20.818, 95% CL 5.9-84.4, p < 0.0001). Isolated injuries to the sMCL were not observed. Significant risk factors for acquiring an sMCL injury were age (p < 0.01) and injury to the lateral meniscus (p < 0.01).

CONCLUSION

In about one-third of acute ACL ruptures the medial collateral ligament complex is also injured. This might be associated with an increased knee laxity as well as anteromedial rotational instability. Also, this might be associated with an increased risk for failure of revision ACL reconstruction. In addition, we show risk factors and predictors that point to an injury of medial structures and facilitate their diagnosis. This should help physicians and surgeons to precisely diagnose and to assess its scope in order to initiate proper therapies. With this in mind, we would like to draw attention to a frequently occurring combination injury, the so-called "unlucky triad" (ACL, MCL, and lateral meniscus). Level of evidence Level III Retrospective cohort study.

摘要

背景

内侧副韧带复合体与前交叉韧带(ACL)联合损伤是膝关节最常见的双韧带损伤。内侧囊韧带结构的额外损伤与旋转不稳定及ACL重建的高失败率相关。本研究旨在分析内侧损伤的具体模式及其相关危险因素,以期实现早期诊断并在必要时启动适当的治疗干预措施。

结果

2017年1月至2018年12月期间,本研究纳入了151例急性ACL断裂患者,平均年龄为32±12岁。急性期进行的MRI由四位独立研究者——两位放射科医生和两位骨科医生进行分析。检查了创伤对胫骨后外侧平台的影响以及内侧复合体(后外侧关节囊韧带、深层内侧副韧带和浅层内侧副韧带)的相关损伤,结果显示34.4%的患者存在内侧副韧带复合体损伤。深层内侧副韧带是最常受伤的结构(92.2%)。深层内侧副韧带损伤与胫骨后外侧平台创伤严重程度增加(p<0.02)以及浅层内侧副韧带(比值比4.702,95%可信区间1.3 - 133.3,p = 0.03)和后外侧关节囊韧带(比值比20.818,95%可信区间5.9 - 84.4,p<0.0001)的额外损伤显著相关。未观察到浅层内侧副韧带的孤立损伤。获得浅层内侧副韧带损伤的显著危险因素是年龄(p<0.01)和外侧半月板损伤(p<0.01)。

结论

在约三分之一的急性ACL断裂中,内侧副韧带复合体也会受伤。这可能与膝关节松弛增加以及前内侧旋转不稳定有关。此外,这可能与翻修ACL重建失败风险增加有关。此外,我们展示了指向内侧结构损伤并有助于其诊断的危险因素和预测因素。这应有助于医生和外科医生准确诊断并评估其范围,以便启动适当的治疗。考虑到这一点,我们想提请注意一种经常发生的联合损伤,即所谓的“不幸三联征”(ACL、MCL和外侧半月板)。证据水平 III级回顾性队列研究。

https://cdn.ncbi.nlm.nih.gov/pmc/blobs/8b0a/10409938/13953bfd52b7/40798_2023_611_Fig4_HTML.jpg
https://cdn.ncbi.nlm.nih.gov/pmc/blobs/8b0a/10409938/aa99f7ee4141/40798_2023_611_Fig1_HTML.jpg
https://cdn.ncbi.nlm.nih.gov/pmc/blobs/8b0a/10409938/74576e0cfdb2/40798_2023_611_Fig2_HTML.jpg
https://cdn.ncbi.nlm.nih.gov/pmc/blobs/8b0a/10409938/92ae12fcb007/40798_2023_611_Fig3_HTML.jpg
https://cdn.ncbi.nlm.nih.gov/pmc/blobs/8b0a/10409938/13953bfd52b7/40798_2023_611_Fig4_HTML.jpg
https://cdn.ncbi.nlm.nih.gov/pmc/blobs/8b0a/10409938/aa99f7ee4141/40798_2023_611_Fig1_HTML.jpg
https://cdn.ncbi.nlm.nih.gov/pmc/blobs/8b0a/10409938/74576e0cfdb2/40798_2023_611_Fig2_HTML.jpg
https://cdn.ncbi.nlm.nih.gov/pmc/blobs/8b0a/10409938/92ae12fcb007/40798_2023_611_Fig3_HTML.jpg
https://cdn.ncbi.nlm.nih.gov/pmc/blobs/8b0a/10409938/13953bfd52b7/40798_2023_611_Fig4_HTML.jpg

相似文献

1
Association of medial collateral ligament complex injuries with anterior cruciate ligament ruptures based on posterolateral tibial plateau injuries.基于胫骨后外侧平台损伤的内侧副韧带复合体损伤与前交叉韧带断裂的相关性
Sports Med Open. 2023 Aug 8;9(1):70. doi: 10.1186/s40798-023-00611-6.
2
High incidence of superficial and deep medial collateral ligament injuries in 'isolated' anterior cruciate ligament ruptures: a long overlooked injury.“孤立”前交叉韧带撕裂中深层及浅层内侧副韧带损伤的高发率:一种长期被忽视的损伤。
Knee Surg Sports Traumatol Arthrosc. 2022 Jan;30(1):167-175. doi: 10.1007/s00167-021-06514-x. Epub 2021 Mar 4.
3
Medial Collateral Ligament Reconstruction for Anteromedial Instability of the Knee: A Biomechanical Study In Vitro.膝关节前内侧不稳的内侧副韧带重建:体外生物力学研究。
Am J Sports Med. 2022 Jun;50(7):1823-1831. doi: 10.1177/03635465221092118. Epub 2022 May 5.
4
High Prevalence of Superficial and Deep Medial Collateral Ligament Injuries on Magnetic Resonance Imaging in Patients With Anterior Cruciate Ligament Tears.前交叉韧带撕裂患者磁共振成像显示浅层和深层内侧副韧带损伤的高发生率。
Arthroscopy. 2024 Jan;40(1):103-110. doi: 10.1016/j.arthro.2023.05.029. Epub 2023 Jun 22.
5
The Influence of Meniscal and Anterolateral Capsular Injury on Knee Laxity in Patients With Anterior Cruciate Ligament Injuries.半月板及前外侧关节囊损伤对前交叉韧带损伤患者膝关节松弛度的影响
Am J Sports Med. 2016 Dec;44(12):3126-3131. doi: 10.1177/0363546516659649. Epub 2016 Aug 9.
6
A Triple-Strand Anatomic Medial Collateral Ligament Reconstruction Restores Knee Stability More Completely Than a Double-Strand Reconstruction: A Biomechanical Study In Vitro.三股解剖型内侧副韧带重建比双股重建更能完全恢复膝关节稳定性:一项体外生物力学研究。
Am J Sports Med. 2022 Jun;50(7):1832-1842. doi: 10.1177/03635465221090612. Epub 2022 May 3.
7
Bone contusion and associated meniscal and medial collateral ligament injury in patients with anterior cruciate ligament rupture.前交叉韧带断裂患者的骨挫伤及伴发的半月板和内侧副韧带损伤。
J Bone Joint Surg Am. 2011 Aug 17;93(16):1510-8. doi: 10.2106/JBJS.J.01320.
8
Medial meniscal ramp lesions in ACL-injured elite athletes are strongly associated with medial collateral ligament injuries and medial tibial bone bruising on MRI.MRI 显示,ACL 损伤的精英运动员的内侧半月板前角病变与内侧副韧带损伤和胫骨内侧骨挫伤密切相关。
Knee Surg Sports Traumatol Arthrosc. 2022 May;30(5):1502-1510. doi: 10.1007/s00167-021-06671-z. Epub 2021 Aug 3.
9
The medial ligaments and the ACL restrain anteromedial laxity of the knee.内侧副韧带和前交叉韧带限制膝关节的前内侧松弛。
Knee Surg Sports Traumatol Arthrosc. 2020 Dec;28(12):3700-3708. doi: 10.1007/s00167-020-06084-4. Epub 2020 Jun 5.
10
The superficial medial collateral ligament is the major restraint to anteromedial instability of the knee.浅层内侧副韧带是膝关节前内侧不稳定的主要限制因素。
Knee Surg Sports Traumatol Arthrosc. 2021 Feb;29(2):405-416. doi: 10.1007/s00167-020-05947-0. Epub 2020 Apr 10.

引用本文的文献

1
The Incidence of Posterolateral Tibial Plateau Fractures in the Setting of Knee Dislocations.膝关节脱位情况下胫骨平台后外侧骨折的发生率
Orthop J Sports Med. 2025 May 29;13(5):23259671251338795. doi: 10.1177/23259671251338795. eCollection 2025 May.
2
Posteromedial corner injuries result in the same posterior translation as posterolateral corner injuries in PCL ruptures.后内侧角损伤在PCL断裂时导致与后外侧角损伤相同的后向移位。
J Exp Orthop. 2024 Dec 18;11(4):e70118. doi: 10.1002/jeo2.70118. eCollection 2024 Oct.
3
Effect of Graft Choice for ACL Reconstruction on Clinical Outcomes in Combined ACL and MCL Injuries: Comparison Between Bone-Patellar Tendon-Bone and Hamstring Autografts.

本文引用的文献

1
The Control of Anteromedial Rotatory Instability Is Improved With Combined Flat sMCL and Anteromedial Reconstruction.联合平置 sMCL 和前内重建可改善前内旋转不稳定的控制。
Am J Sports Med. 2022 Jul;50(8):2093-2101. doi: 10.1177/03635465221096464. Epub 2022 May 23.
2
Medial Collateral Ligament Reconstruction for Anteromedial Instability of the Knee: A Biomechanical Study In Vitro.膝关节前内侧不稳的内侧副韧带重建:体外生物力学研究。
Am J Sports Med. 2022 Jun;50(7):1823-1831. doi: 10.1177/03635465221092118. Epub 2022 May 5.
3
A Triple-Strand Anatomic Medial Collateral Ligament Reconstruction Restores Knee Stability More Completely Than a Double-Strand Reconstruction: A Biomechanical Study In Vitro.
前交叉韧带重建移植物选择对前交叉韧带与内侧副韧带联合损伤临床结局的影响:髌腱-骨自体移植物与腘绳肌自体移植物的比较
J Clin Med. 2024 Oct 22;13(21):6316. doi: 10.3390/jcm13216316.
4
Noninvasive and Reliable Quantification of Anteromedial Rotatory Knee Laxity: A Pilot Study on Healthy Individuals.无创且可靠的前内侧旋转膝关节松弛度定量评估:健康个体的初步研究。
Am J Sports Med. 2024 Apr;52(5):1229-1237. doi: 10.1177/03635465241234263. Epub 2024 Mar 20.
三股解剖型内侧副韧带重建比双股重建更能完全恢复膝关节稳定性:一项体外生物力学研究。
Am J Sports Med. 2022 Jun;50(7):1832-1842. doi: 10.1177/03635465221090612. Epub 2022 May 3.
4
Treatment of Combined Injuries to the ACL and the MCL Complex: A Consensus Statement of the Ligament Injury Committee of the German Knee Society (DKG).前交叉韧带与内侧副韧带复合体联合损伤的治疗:德国膝关节协会(DKG)韧带损伤委员会的共识声明
Orthop J Sports Med. 2021 Nov 29;9(11):23259671211050929. doi: 10.1177/23259671211050929. eCollection 2021 Nov.
5
An oversampling method for multi-class imbalanced data based on composite weights.基于组合权重的多类不平衡数据过采样方法。
PLoS One. 2021 Nov 12;16(11):e0259227. doi: 10.1371/journal.pone.0259227. eCollection 2021.
6
Lateral femoral notch sign and posterolateral tibial plateau fractures and their associated injuries in the setting of an anterior cruciate ligament rupture.外侧股骨切迹征和后外侧胫骨平台骨折及其在前交叉韧带断裂中的相关损伤。
Arch Orthop Trauma Surg. 2022 Jul;142(7):1605-1612. doi: 10.1007/s00402-021-04105-6. Epub 2021 Aug 2.
7
Selective oversampling approach for strongly imbalanced data.针对严重不平衡数据的选择性过采样方法。
PeerJ Comput Sci. 2021 Jun 18;7:e604. doi: 10.7717/peerj-cs.604. eCollection 2021.
8
Posterior oblique ligament of the knee: state of the art.膝关节后斜韧带:最新进展
EFORT Open Rev. 2021 May 4;6(5):364-371. doi: 10.1302/2058-5241.6.200127. eCollection 2021 May.
9
High incidence of superficial and deep medial collateral ligament injuries in 'isolated' anterior cruciate ligament ruptures: a long overlooked injury.“孤立”前交叉韧带撕裂中深层及浅层内侧副韧带损伤的高发率:一种长期被忽视的损伤。
Knee Surg Sports Traumatol Arthrosc. 2022 Jan;30(1):167-175. doi: 10.1007/s00167-021-06514-x. Epub 2021 Mar 4.
10
Medial collateral ligament reconstruction graft isometry is effected by femoral position more than tibial position.重建的前交叉韧带移植物等长受股骨位置影响大于胫骨位置。
Knee Surg Sports Traumatol Arthrosc. 2021 Nov;29(11):3800-3808. doi: 10.1007/s00167-020-06420-8. Epub 2021 Jan 17.