• 文献检索
  • 文档翻译
  • 深度研究
  • 学术资讯
  • Suppr Zotero 插件Zotero 插件
  • 邀请有礼
  • 套餐&价格
  • 历史记录
应用&插件
Suppr Zotero 插件Zotero 插件浏览器插件Mac 客户端Windows 客户端微信小程序
定价
高级版会员购买积分包购买API积分包
服务
文献检索文档翻译深度研究API 文档MCP 服务
关于我们
关于 Suppr公司介绍联系我们用户协议隐私条款
关注我们

Suppr 超能文献

核心技术专利:CN118964589B侵权必究
粤ICP备2023148730 号-1Suppr @ 2026

文献检索

告别复杂PubMed语法,用中文像聊天一样搜索,搜遍4000万医学文献。AI智能推荐,让科研检索更轻松。

立即免费搜索

文件翻译

保留排版,准确专业,支持PDF/Word/PPT等文件格式,支持 12+语言互译。

免费翻译文档

深度研究

AI帮你快速写综述,25分钟生成高质量综述,智能提取关键信息,辅助科研写作。

立即免费体验

..(你提供的原文为空,所以译文也没有具体内容哦,请补充原文以便准确翻译。)

.

作者信息

Engelke Klaus, Chaudry Oliver, Gast Lena, Eldib Mootaz Ab, Wang Ling, Laredo Jean-Denis, Schett Georg, Nagel Armin M

机构信息

Department of Medicine III, Friedrich-Alexander University of Erlangen-Nürnberg, University Hospital Erlangen, Ulmenweg 18, 91054, Erlangen, Germany.

Institute of Medical Physics (IMP), Friedrich-Alexander-Universität Erlangen-Nürnberg (FAU), Henkestr. 91, 91052, Erlangen, Germany.

出版信息

J Orthop Translat. 2023 Aug 19;42:57-72. doi: 10.1016/j.jot.2023.07.005. eCollection 2023 Sep.

DOI:10.1016/j.jot.2023.07.005
PMID:37654433
原文链接:https://pmc.ncbi.nlm.nih.gov/articles/PMC10465967/
Abstract

BACKGROUND

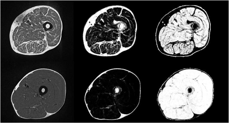
Magnetic resonance imaging (MRI) is the dominant 3D imaging modality to quantify muscle properties in skeletal muscle disorders, in inherited and acquired muscle diseases, and in sarcopenia, in cachexia and frailty.

METHODS

This review covers T1 weighted and Dixon sequences, introduces T2 mapping, diffusion tensor imaging (DTI) and non-proton MRI. Technical concepts, strengths, limitations and translational aspects of these techniques are discussed in detail. Examples of clinical applications are outlined. For comparison P-and C-MR Spectroscopy are also addressed.

RESULTS

MRI technology provides a rich toolset to assess muscle deterioration. In addition to classical measures such as muscle atrophy using T1 weighted imaging and fat infiltration using Dixon sequences, parameters characterizing inflammation from T2 maps, tissue sodium using non-proton MRI techniques or concentration or fiber architecture using diffusion tensor imaging may be useful for an even earlier diagnosis of the impairment of muscle quality.

CONCLUSION

Quantitative MRI provides new options for muscle research and clinical applications. Current limitations that also impair its more widespread use in clinical trials are lack of standardization, ambiguity of image segmentation and analysis approaches, a multitude of outcome parameters without a clear strategy which ones to use and the lack of normal data.

摘要

背景

磁共振成像(MRI)是用于量化骨骼肌疾病、遗传性和获得性肌肉疾病、肌肉减少症、恶病质和虚弱症中肌肉特性的主要三维成像方式。

方法

本综述涵盖T1加权和狄克逊序列,介绍T2 mapping、扩散张量成像(DTI)和非质子MRI。详细讨论了这些技术的技术概念、优势、局限性及转化方面。概述了临床应用实例。为作比较,还讨论了磷磁共振波谱和碳磁共振波谱。

结果

MRI技术提供了一套丰富的工具来评估肌肉退化。除了使用T1加权成像测量肌肉萎缩和使用狄克逊序列测量脂肪浸润等经典方法外,通过T2 mapping表征炎症的参数、使用非质子MRI技术测量组织钠含量或使用扩散张量成像测量浓度或纤维结构,可能有助于更早诊断肌肉质量受损情况。

结论

定量MRI为肌肉研究和临床应用提供了新的选择。目前阻碍其在临床试验中更广泛应用的局限性包括缺乏标准化、图像分割和分析方法不明确、众多结局参数且没有明确使用哪些参数的策略以及缺乏正常数据。

https://cdn.ncbi.nlm.nih.gov/pmc/blobs/800d/10465967/a19e1bbb01f1/fx2.jpg
https://cdn.ncbi.nlm.nih.gov/pmc/blobs/800d/10465967/3c2fd4dad90c/ga1.jpg
https://cdn.ncbi.nlm.nih.gov/pmc/blobs/800d/10465967/cc3911c48372/gr1.jpg
https://cdn.ncbi.nlm.nih.gov/pmc/blobs/800d/10465967/11b21c58f429/gr2.jpg
https://cdn.ncbi.nlm.nih.gov/pmc/blobs/800d/10465967/9f5e6c515362/gr3.jpg
https://cdn.ncbi.nlm.nih.gov/pmc/blobs/800d/10465967/3fe0fde8889b/gr4.jpg
https://cdn.ncbi.nlm.nih.gov/pmc/blobs/800d/10465967/8545419f016c/gr5.jpg
https://cdn.ncbi.nlm.nih.gov/pmc/blobs/800d/10465967/afd59ed2828a/gr6.jpg
https://cdn.ncbi.nlm.nih.gov/pmc/blobs/800d/10465967/06e6941b592b/gr7.jpg
https://cdn.ncbi.nlm.nih.gov/pmc/blobs/800d/10465967/460f01ac34b3/gr8.jpg
https://cdn.ncbi.nlm.nih.gov/pmc/blobs/800d/10465967/531368783e79/fx1.jpg
https://cdn.ncbi.nlm.nih.gov/pmc/blobs/800d/10465967/a19e1bbb01f1/fx2.jpg
https://cdn.ncbi.nlm.nih.gov/pmc/blobs/800d/10465967/3c2fd4dad90c/ga1.jpg
https://cdn.ncbi.nlm.nih.gov/pmc/blobs/800d/10465967/cc3911c48372/gr1.jpg
https://cdn.ncbi.nlm.nih.gov/pmc/blobs/800d/10465967/11b21c58f429/gr2.jpg
https://cdn.ncbi.nlm.nih.gov/pmc/blobs/800d/10465967/9f5e6c515362/gr3.jpg
https://cdn.ncbi.nlm.nih.gov/pmc/blobs/800d/10465967/3fe0fde8889b/gr4.jpg
https://cdn.ncbi.nlm.nih.gov/pmc/blobs/800d/10465967/8545419f016c/gr5.jpg
https://cdn.ncbi.nlm.nih.gov/pmc/blobs/800d/10465967/afd59ed2828a/gr6.jpg
https://cdn.ncbi.nlm.nih.gov/pmc/blobs/800d/10465967/06e6941b592b/gr7.jpg
https://cdn.ncbi.nlm.nih.gov/pmc/blobs/800d/10465967/460f01ac34b3/gr8.jpg
https://cdn.ncbi.nlm.nih.gov/pmc/blobs/800d/10465967/531368783e79/fx1.jpg
https://cdn.ncbi.nlm.nih.gov/pmc/blobs/800d/10465967/a19e1bbb01f1/fx2.jpg

相似文献

1
...(你提供的原文为空,所以译文也没有具体内容哦,请补充原文以便准确翻译。)
J Orthop Translat. 2023 Aug 19;42:57-72. doi: 10.1016/j.jot.2023.07.005. eCollection 2023 Sep.
2
A Comparison between 6-point Dixon MRI and MR Spectroscopy to Quantify Muscle Fat in the Thigh of Subjects with Sarcopenia.6点Dixon磁共振成像与磁共振波谱在量化肌肉减少症患者大腿肌肉脂肪中的比较
J Frailty Aging. 2019;8(1):21-26. doi: 10.14283/jfa.2018.16.
3
Correlation of magnetic resonance diffusion tensor imaging and clinical findings of cervical myelopathy.磁共振弥散张量成像与颈椎病临床相关性研究。
Spine J. 2013 Aug;13(8):867-76. doi: 10.1016/j.spinee.2013.02.005. Epub 2013 Mar 21.
4
Repeatability of Dixon magnetic resonance imaging and magnetic resonance spectroscopy for quantitative muscle fat assessments in the thigh.Dixon 磁共振成像和磁共振波谱定量评估大腿肌肉脂肪的可重复性。
J Cachexia Sarcopenia Muscle. 2018 Dec;9(6):1093-1100. doi: 10.1002/jcsm.12343. Epub 2018 Sep 16.
5
Quantitative MRI of visually intact rotator cuff muscles by multiecho Dixon-based fat quantification and diffusion tensor imaging.基于多回波 Dixon 法的脂肪定量和弥散张量成像对视觉正常的肩袖肌肉进行定量 MRI 研究。
J Magn Reson Imaging. 2019 Jan;49(1):109-117. doi: 10.1002/jmri.26223. Epub 2018 Oct 6.
6
Multi-parametric MRI characterization of healthy human thigh muscles at 3.0 T - relaxation, magnetization transfer, fat/water, and diffusion tensor imaging.3.0 T下健康人体大腿肌肉的多参数MRI特征——弛豫、磁化传递、脂肪/水及扩散张量成像
NMR Biomed. 2014 Sep;27(9):1070-84. doi: 10.1002/nbm.3159. Epub 2014 Jul 26.
7
Magnetic Resonance Imaging Biomarkers of Muscle.肌肉的磁共振成像生物标志物。
Tomography. 2024 Sep 2;10(9):1411-1438. doi: 10.3390/tomography10090106.
8
Water-fat Dixon cardiac magnetic resonance fingerprinting.水脂分离 Dixon 心脏磁共振指纹成像
Magn Reson Med. 2020 Jun;83(6):2107-2123. doi: 10.1002/mrm.28070. Epub 2019 Nov 18.
9
Quantification of shoulder muscle intramuscular fatty infiltration on T1-weighted MRI: a viable alternative to the Goutallier classification system.T1加权磁共振成像对肩部肌肉肌内脂肪浸润的量化:古塔利耶分类系统的可行替代方法
Skeletal Radiol. 2019 Apr;48(4):535-541. doi: 10.1007/s00256-018-3057-7. Epub 2018 Sep 10.
10
Sarcopenia, More Than Just Muscle Atrophy: Imaging Methods for the Assessment of Muscle Quantity and Quality.肌肉减少症不仅仅是肌肉萎缩:评估肌肉量和质量的影像学方法。
Rofo. 2023 Sep;195(9):777-789. doi: 10.1055/a-2057-0205. Epub 2023 May 9.

引用本文的文献

1
GAAOA-Lévy: a hybrid metaheuristic for optimized multilevel thresholding in image segmentation.GAAOA-Lévy:一种用于图像分割中优化多级阈值处理的混合元启发式算法
Sci Rep. 2025 Jul 26;15(1):27232. doi: 10.1038/s41598-025-12142-z.
2
Evaluation of deltoid muscle quality in reverse shoulder arthroplasty: correlation of MRI findings with postoperative function and strength.反式肩关节置换术中三角肌质量的评估:MRI表现与术后功能及力量的相关性
Eur Radiol. 2025 Jul 19. doi: 10.1007/s00330-025-11836-2.
3
Wearable Bioelectronics for Home-Based Monitoring and Treatment of Muscle Atrophy.

本文引用的文献

1
Assessment of idiopathic inflammatory myopathy using a deep learning method for muscle T2 mapping segmentation.使用深度学习方法进行肌肉 T2 图谱分割评估特发性炎性肌病。
Eur Radiol. 2023 Apr;33(4):2350-2357. doi: 10.1007/s00330-022-09254-9. Epub 2022 Nov 18.
2
MRI of Potassium and Sodium Enables Comprehensive Analysis of Ion Perturbations in Skeletal Muscle Tissue After Eccentric Exercise.MRI 技术可用于钾离子和钠离子分析,从而全面评估离心运动后骨骼肌组织中的离子紊乱。
Invest Radiol. 2023 Apr 1;58(4):265-272. doi: 10.1097/RLI.0000000000000931. Epub 2022 Oct 21.
3
The Relationship Between Quadriceps Femoris Muscle Function and MRI-Derived Water Diffusion and Adipose Tissue Measurements in Young Healthy Males.
用于家庭肌肉萎缩监测与治疗的可穿戴生物电子设备。
Adv Sci (Weinh). 2025 Sep;12(33):e02831. doi: 10.1002/advs.202502831. Epub 2025 Jul 12.
4
Na MRI quantification of sodium content in porcine eyes after immersion in saltwater and freshwater en route to time in water estimation.在通过猪眼浸入盐水和淡水来估计水中停留时间的过程中,对猪眼钠含量进行MRI定量分析。
Eur Radiol Exp. 2025 Jul 9;9(1):66. doi: 10.1186/s41747-025-00605-x.
5
Assessment of vastus medialis muscle quality in knee osteoarthritis using ultrashort echo time magnetization transfer MR imaging.使用超短回波时间磁化传递磁共振成像评估膝关节骨关节炎中股内侧肌的肌肉质量
Skeletal Radiol. 2025 Jul 1. doi: 10.1007/s00256-025-04977-4.
6
Paraspinal myosteatosis is associated with COPD: a cross-sectional MRI analysis from the population-based KORA cohort.脊柱旁肌脂肪变性与慢性阻塞性肺疾病相关:基于人群的KORA队列的横断面MRI分析
Respir Res. 2025 Jun 14;26(1):217. doi: 10.1186/s12931-025-03297-4.
7
Changes of water and muscle content in lumbar paraspinal muscle degeneration and gender differences during aging using dual-energy CT.使用双能CT评估衰老过程中腰椎旁肌退变时水分和肌肉含量的变化及性别差异。
Eur Spine J. 2025 Jun 5. doi: 10.1007/s00586-025-08968-w.
8
Quantitative assessment of lumbar posterior anatomy on axial t2-weighted MR imaging: a comprehensive analysis of muscle-bone interval and spinous process muscle-ligaments complex.轴向T2加权磁共振成像对腰椎后部解剖结构的定量评估:肌肉-骨骼间隙与棘突肌肉-韧带复合体的综合分析
Eur Spine J. 2025 Jun 4. doi: 10.1007/s00586-025-09009-2.
9
Early Detection of Age-Related Decline of Muscle Cell Mass by Intracellular Water Assessment Compared With MRI or DXA.与MRI或DXA相比,通过细胞内水评估早期检测与年龄相关的肌肉细胞质量下降。
J Cachexia Sarcopenia Muscle. 2025 Jun;16(3):e13851. doi: 10.1002/jcsm.13851.
10
Tumor microenvironment and immune-related myositis: addressing muscle wasting in cancer immunotherapy.肿瘤微环境与免疫相关肌炎:解决癌症免疫治疗中的肌肉萎缩问题
Front Immunol. 2025 May 2;16:1580108. doi: 10.3389/fimmu.2025.1580108. eCollection 2025.
年轻健康男性股四头肌功能与 MRI 衍生的水弥散和脂肪组织测量的关系。
J Magn Reson Imaging. 2023 Aug;58(2):548-556. doi: 10.1002/jmri.28525. Epub 2022 Nov 7.
4
Quantification of Intra-Muscular Adipose Infiltration in Calf/Thigh MRI Using Fully and Weakly Supervised Semantic Segmentation.使用全监督和弱监督语义分割对小腿/大腿磁共振成像中的肌内脂肪浸润进行定量分析。
Bioengineering (Basel). 2022 Jul 14;9(7):315. doi: 10.3390/bioengineering9070315.
5
Muscle MRI in McArdle Disease: A European Multicenter Observational Study.肌磁共振成像在 McArdle 病中的应用:一项欧洲多中心观察性研究。
Neurology. 2022 Oct 10;99(15):e1664-e1675. doi: 10.1212/WNL.0000000000200914.
6
The effect of ageing on fat infiltration of thigh and paraspinal muscles in men.年龄对男性大腿和脊柱旁肌肉脂肪浸润的影响。
Aging Clin Exp Res. 2022 Sep;34(9):2089-2098. doi: 10.1007/s40520-022-02149-1. Epub 2022 May 28.
7
Quantitative muscle analysis in facioscapulohumeral muscular dystrophy using whole-body fat-referenced MRI: Protocol development, multicenter feasibility, and repeatability.使用全身脂肪参照 MRI 进行面肩肱型肌营养不良症的定量肌肉分析:方案制定、多中心可行性和可重复性。
Muscle Nerve. 2022 Aug;66(2):183-192. doi: 10.1002/mus.27638. Epub 2022 Jun 11.
8
A handbook for beginners in skeletal muscle diffusion tensor imaging: physical basis and technical adjustments.骨骼肌弥散张量成像初学者手册:物理基础和技术调整。
Eur Radiol. 2022 Nov;32(11):7623-7631. doi: 10.1007/s00330-022-08837-w. Epub 2022 May 12.
9
Muscle density is an independent risk factor of second hip fracture: a prospective cohort study.肌肉密度是二次髋部骨折的独立危险因素:一项前瞻性队列研究。
J Cachexia Sarcopenia Muscle. 2022 Jun;13(3):1927-1937. doi: 10.1002/jcsm.12996. Epub 2022 Apr 15.
10
Diffusion tensor imaging (DTI) of human lower leg muscles: correlation between DTI parameters and muscle power with different ankle positions.人体小腿肌肉的弥散张量成像(DTI):不同踝关节位置下 DTI 参数与肌肉力量的相关性。
Jpn J Radiol. 2022 Sep;40(9):939-948. doi: 10.1007/s11604-022-01274-1. Epub 2022 Apr 9.