Suppr超能文献

A human Y-chromosome specific repeated DNA family (DYZ1) consists of a tandem array of pentanucleotides.

作者信息

Nakahori Y, Mitani K, Yamada M, Nakagome Y

出版信息

Nucleic Acids Res. 1986 Oct 10;14(19):7569-80. doi: 10.1093/nar/14.19.7569.

Abstract

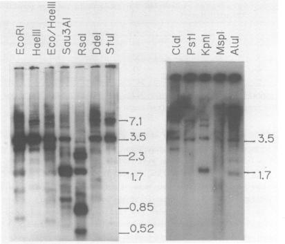
We have determined the complete nucleotide sequence of a 3564 bp EcoRI fragment which represents a major component of the human Y-chromosome specific repeated DNA family (DYZ1). Sequencing result showed a tandem array of pentanucleotides after five nucleotides were inserted or deleted at four positions. 229 out of the 713 pentanucleotides were TTCCA, and 297 were its single-base substituents. Southern hybridization analyses of male genomic DNAs showed that several endonuclease cleavage sites were located at intervals of 3.56kb in the DYZ1 locus. This indicates that the DYZ1 repeated DNA family evolved and expanded by unequal crossovers which occurred at distances of 3.56kb. As there is a uniformly distributed array of pentanucleotides on this locus, it is not a sequence homology that determines the distance of unequal crossovers. A higher order of chromatin structure may be involved in the determination of distance in unequal crossovers.

摘要
https://cdn.ncbi.nlm.nih.gov/pmc/blobs/e2a1/311781/c0e4161bd27c/nar00288-0069-a.jpg

文献检索

告别复杂PubMed语法,用中文像聊天一样搜索,搜遍4000万医学文献。AI智能推荐,让科研检索更轻松。

立即免费搜索

文件翻译

保留排版,准确专业,支持PDF/Word/PPT等文件格式,支持 12+语言互译。

免费翻译文档

深度研究

AI帮你快速写综述,25分钟生成高质量综述,智能提取关键信息,辅助科研写作。

立即免费体验