Suppr超能文献

1例伴有右侧胸腔积液的滑膜炎-痤疮-脓疱病-骨肥厚-骨炎综合征。

A case of synovitis-acne-pustulosis-hyperostosis-osteitis syndrome with right pleural effusion.

作者信息

Kakimoto Takayuki, Tamura Tomoki, Koyanagi Taisaku, Umeno Takahiro, Nishii Kazuya, Kuyama Shoichi

机构信息

Department of Respiratory Medicine, National Hospital Organization Iwakuni Clinical Center, Iwakuni, Yamaguchi, Japan.

出版信息

Respir Med Case Rep. 2023 Oct 5;46:101927. doi: 10.1016/j.rmcr.2023.101927. eCollection 2023.

Abstract

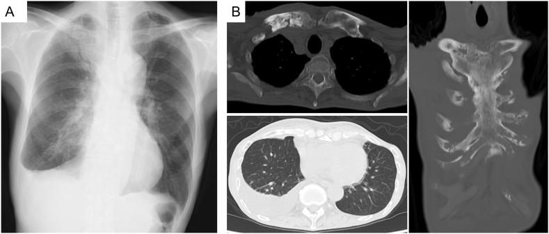
A 79-year-old man presented with fatigue and right shoulder pain. Computed tomography revealed right pleural effusion and osteosclerosis of the sternoclavicular joint. There were no signs of malignancy or infection in the pleural fluid studies. His bone scintigraphy exhibited the "bull's head sign." Despite the absence of skin lesions, he was diagnosed with synovitis-acne-pustulosis-hyperostosis-osteitis (SAPHO) syndrome. Remission was achieved after treatment with non-steroidal anti-inflammatory drugs and oral prednisolone. SAPHO syndrome causes pleural effusion, even in patients without skin lesions. Bone scintigraphy should be considered in the workup for patients with unexplained pleural effusion.

摘要

一名79岁男性因疲劳和右肩疼痛就诊。计算机断层扫描显示右侧胸腔积液和胸锁关节骨硬化。胸腔积液检查未发现恶性肿瘤或感染迹象。他的骨闪烁显像显示出“牛头征”。尽管没有皮肤病变,但他被诊断为滑膜炎-痤疮-脓疱病-骨肥厚-骨炎(SAPHO)综合征。使用非甾体抗炎药和口服泼尼松龙治疗后病情缓解。SAPHO综合征即使在没有皮肤病变的患者中也可导致胸腔积液。对于不明原因胸腔积液的患者,在检查过程中应考虑进行骨闪烁显像。

https://cdn.ncbi.nlm.nih.gov/pmc/blobs/1ccd/10570567/9b5fcc5a4b8a/gr1.jpg

文献AI研究员

20分钟写一篇综述,助力文献阅读效率提升50倍。

立即体验

用中文搜PubMed

大模型驱动的PubMed中文搜索引擎

马上搜索

文档翻译

学术文献翻译模型,支持多种主流文档格式。

立即体验