• 文献检索
  • 文档翻译
  • 深度研究
  • 学术资讯
  • Suppr Zotero 插件Zotero 插件
  • 邀请有礼
  • 套餐&价格
  • 历史记录
应用&插件
Suppr Zotero 插件Zotero 插件浏览器插件Mac 客户端Windows 客户端微信小程序
定价
高级版会员购买积分包购买API积分包
服务
文献检索文档翻译深度研究API 文档MCP 服务
关于我们
关于 Suppr公司介绍联系我们用户协议隐私条款
关注我们

Suppr 超能文献

核心技术专利:CN118964589B侵权必究
粤ICP备2023148730 号-1Suppr @ 2026

文献检索

告别复杂PubMed语法,用中文像聊天一样搜索,搜遍4000万医学文献。AI智能推荐,让科研检索更轻松。

立即免费搜索

文件翻译

保留排版,准确专业,支持PDF/Word/PPT等文件格式,支持 12+语言互译。

免费翻译文档

深度研究

AI帮你快速写综述,25分钟生成高质量综述,智能提取关键信息,辅助科研写作。

立即免费体验

帕金森病患者皮肤表面物种多样性增加。

Increased diversity of species on the skin of Parkinson's disease patients.

作者信息

Han Xinyu, Bedarf Janis, Proske-Schmitz Sabine, Schmitt Ina, Wüllner Ullrich

机构信息

Department of Neurology, University of Bonn, Bonn, Germany.

DZNE, German Center for Neurodegenerative Diseases, Bonn, Germany.

出版信息

Front Aging Neurosci. 2023 Oct 3;15:1268751. doi: 10.3389/fnagi.2023.1268751. eCollection 2023.

DOI:10.3389/fnagi.2023.1268751
PMID:37854034
原文链接:https://pmc.ncbi.nlm.nih.gov/articles/PMC10580282/
Abstract

BACKGROUND

Parkinson's disease (PD) is characterized by motor disorders and the composition of Lewy bodies (LBs) in the substantia nigra. Due to the lack of a definitive biomarker, the current treatments do not modify the progression of PD. Recently, researchers revealed lipid dysregulation and some potential volatile biomarkers of PD related to a unique odor from PD patients by metabolomics of sebum, which is supposed to cause a potential change for skin microflora. In this study, we identified the 4 species in PD patients and compared them with healthy controls.

METHODS

We collected 95 sebum samples (47 PDs and 48 Controls) by cotton swabs and extracted the DNA. The identification of species was performed by Nested PCR. Specific primers for each species were used to amplify corresponding yeasts in each sample.

RESULTS

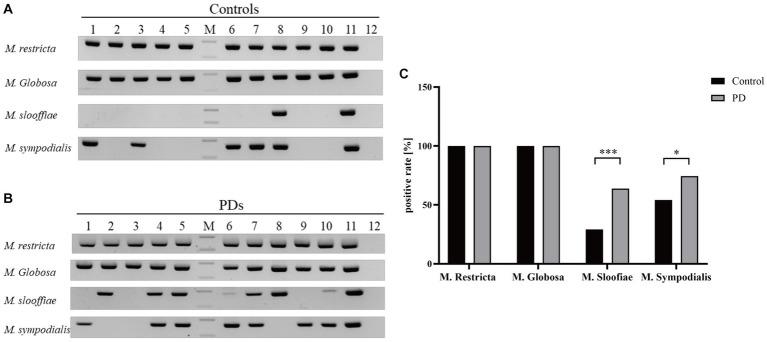
and are the most common species for both groups. The prevalence of and were significantly higher in the PD group compared with controls (63.8% vs. 29.1 and 74.5% vs. 54.2% respectively), the binary logistic regression model further indicated that (OR = 9.358,  < 0.001) was associated with PD. Moreover, the diversity of species was significantly greater (3.5 vs. 2.9 species per individual,  = 0.002) in the PD group.

CONCLUSION

Based on our results, we preliminarily observed a change in species incidence and diversity on the skin of PD patients, which could be associated with lipid dysregulation; meanwhile, it might also be a noninvasive biomarker for PD.

摘要

背景

帕金森病(PD)的特征是运动障碍以及黑质中路易小体(LBs)的形成。由于缺乏明确的生物标志物,目前的治疗方法无法改变PD的进展。最近,研究人员通过皮脂代谢组学揭示了脂质失调以及一些与PD患者独特气味相关的潜在挥发性生物标志物,这可能会导致皮肤微生物群的潜在变化。在本研究中,我们鉴定了PD患者中的4种微生物,并将它们与健康对照进行比较。

方法

我们用棉签收集了95份皮脂样本(47例PD患者和48例对照)并提取了DNA。通过巢式PCR进行微生物鉴定。使用针对每个物种的特异性引物扩增每个样本中的相应酵母。

结果

两组中最常见的物种都是[具体物种1]和[具体物种2]。与对照组相比,PD组中[具体物种3]和[具体物种4]的患病率显著更高(分别为63.8%对29.1%和74.5%对54.2%),二元逻辑回归模型进一步表明[具体物种3](OR = 9.358,P < 0.001)与PD相关。此外,PD组中微生物物种的多样性显著更大(个体平均3.5种对2.9种,P = 0.002)。

结论

基于我们的结果,我们初步观察到PD患者皮肤微生物物种发生率和多样性的变化,这可能与脂质失调有关;同时,它也可能是PD的一种非侵入性生物标志物。

https://cdn.ncbi.nlm.nih.gov/pmc/blobs/9a02/10580282/ee77f94a3e98/fnagi-15-1268751-g002.jpg
https://cdn.ncbi.nlm.nih.gov/pmc/blobs/9a02/10580282/5ddc31fa1c71/fnagi-15-1268751-g001.jpg
https://cdn.ncbi.nlm.nih.gov/pmc/blobs/9a02/10580282/ee77f94a3e98/fnagi-15-1268751-g002.jpg
https://cdn.ncbi.nlm.nih.gov/pmc/blobs/9a02/10580282/5ddc31fa1c71/fnagi-15-1268751-g001.jpg
https://cdn.ncbi.nlm.nih.gov/pmc/blobs/9a02/10580282/ee77f94a3e98/fnagi-15-1268751-g002.jpg

相似文献

1
Increased diversity of species on the skin of Parkinson's disease patients.帕金森病患者皮肤表面物种多样性增加。
Front Aging Neurosci. 2023 Oct 3;15:1268751. doi: 10.3389/fnagi.2023.1268751. eCollection 2023.
2
Biofilm formation, adherence, and hydrophobicity of M. sympodialis, M. globosa, and M. slooffiae from clinical isolates and normal skinVirulence factors of M. sympodialis, M. globosa and M. slooffiae.来自临床分离株和正常皮肤的合轴马拉色菌、球形马拉色菌和斯洛菲马拉色菌的生物膜形成、黏附及疏水性:合轴马拉色菌、球形马拉色菌和斯洛菲马拉色菌的毒力因子
Med Mycol. 2020 Nov 10;58(8):1162-1168. doi: 10.1093/mmy/myaa017.
3
Molecular analysis of Malassezia microflora on the skin of atopic dermatitis patients and healthy subjects.特应性皮炎患者和健康受试者皮肤马拉色菌菌群的分子分析。
J Clin Microbiol. 2001 Oct;39(10):3486-90. doi: 10.1128/JCM.39.10.3486-3490.2001.
4
A laboratory-based study on patients with Parkinson's disease and seborrheic dermatitis: the presence and density of Malassezia yeasts, their different species and enzymes production.一项针对帕金森病和脂溢性皮炎患者的实验室研究:马拉色菌酵母的存在与密度、不同种类及其酶的产生。
BMC Dermatol. 2014 Mar 14;14:5. doi: 10.1186/1471-5945-14-5.
5
[Molecular analysis of malassezia microflora on the skin of atopic dermatitis patients and healthy subjects].[特应性皮炎患者和健康受试者皮肤马拉色菌菌群的分子分析]
Nihon Ishinkin Gakkai Zasshi. 2001;42(4):217-8. doi: 10.3314/jjmm.42.217.
6
Distribution of malassezia species on the scalp in korean seborrheic dermatitis patients.韩国脂溢性皮炎患者头皮上马拉色菌属菌种的分布情况。
Ann Dermatol. 2011 May;23(2):156-61. doi: 10.5021/ad.2011.23.2.156. Epub 2011 May 27.
7
[Isolation and identification of Malassezia spp. In pytiriasis versicolor, seborrheic dermatitis and healthy skin.].[马拉色菌属在花斑癣、脂溢性皮炎及健康皮肤中的分离与鉴定。]
Rev Iberoam Micol. 1999 Oct;16(S):S16-21.
8
[Molecular analysis of Malassezia species isolated from three cases of Akatsuki disease (pomade crust)].[从三例暁病(发蜡痂疹)病例中分离出的马拉色菌属的分子分析]
Nihon Ishinkin Gakkai Zasshi. 2005;46(3):193-6. doi: 10.3314/jjmm.46.193.
9
Distribution of Malassezia species on the skin of patients with atopic dermatitis, psoriasis, and healthy volunteers assessed by conventional and molecular identification methods.通过传统和分子鉴定方法评估马拉色菌属菌种在特应性皮炎患者、银屑病患者及健康志愿者皮肤上的分布情况。
BMC Dermatol. 2014 Mar 7;14:3. doi: 10.1186/1471-5945-14-3.
10
Identification of Malassezia species from patient skin scales by PCR-RFLP.通过聚合酶链反应-限制性片段长度多态性技术从患者皮肤鳞屑中鉴定马拉色菌属菌种。
Clin Microbiol Infect. 2002 Mar;8(3):162-73. doi: 10.1046/j.1469-0691.2002.00383.x.

引用本文的文献

1
Exploring the mycobiota in multiple sclerosis: its influence on disease development and progression.探索多发性硬化症中的真菌群落:其对疾病发展和进展的影响。
Front Immunol. 2025 Jul 23;16:1625794. doi: 10.3389/fimmu.2025.1625794. eCollection 2025.
2
Dermatological Manifestations and Sebum Composition in Parkinson's Disease.帕金森病的皮肤表现及皮脂成分
Dermatol Pract Concept. 2025 Jan 30;15(1):4921. doi: 10.5826/dpc.1501a4921.

本文引用的文献

1
Metabolomics of sebum reveals lipid dysregulation in Parkinson's disease.皮脂代谢组学揭示帕金森病中的脂质失调。
Nat Commun. 2021 Mar 11;12(1):1592. doi: 10.1038/s41467-021-21669-4.
2
Parkinson's disease and skin.帕金森病与皮肤。
Parkinsonism Relat Disord. 2021 Jan;82:61-76. doi: 10.1016/j.parkreldis.2020.11.017. Epub 2020 Nov 20.
3
Parkinson's Disease: A Comprehensive Analysis of Fungi and Bacteria in Brain Tissue.帕金森病:脑组织中的真菌和细菌的综合分析。
Int J Biol Sci. 2020 Feb 10;16(7):1135-1152. doi: 10.7150/ijbs.42257. eCollection 2020.
4
and Parkinson's Disease.以及帕金森病。
Front Neurol. 2019 Jul 24;10:758. doi: 10.3389/fneur.2019.00758. eCollection 2019.
5
Parkinson's disease biomarkers based on α-synuclein.基于α-突触核蛋白的帕金森病生物标志物。
J Neurochem. 2019 Sep;150(5):626-636. doi: 10.1111/jnc.14809. Epub 2019 Jul 28.
6
Discovery of Volatile Biomarkers of Parkinson's Disease from Sebum.从皮脂中发现帕金森病的挥发性生物标志物。
ACS Cent Sci. 2019 Apr 24;5(4):599-606. doi: 10.1021/acscentsci.8b00879. Epub 2019 Mar 20.
7
Alpha-Synuclein in Peripheral Tissues in Parkinson's Disease.帕金森病外周组织中的α-突触核蛋白。
ACS Chem Neurosci. 2019 Feb 20;10(2):812-823. doi: 10.1021/acschemneuro.8b00383. Epub 2019 Feb 11.
8
Joy of super smeller: sebum clues for PD diagnostics.超级嗅觉者的喜悦:皮脂线索助力帕金森病诊断
Lancet Neurol. 2016 Feb;15(2):138-139. doi: 10.1016/S1474-4422(15)00396-8. Epub 2016 Jan 12.
9
Skin disorders in Parkinson's disease: potential biomarkers and risk factors.帕金森病中的皮肤疾病:潜在生物标志物和风险因素。
Clin Cosmet Investig Dermatol. 2017 Mar 9;10:87-92. doi: 10.2147/CCID.S130319. eCollection 2017.
10
Skin nerve misfolded α-synuclein in pure autonomic failure and Parkinson disease.皮肤神经错误折叠的α-突触核蛋白在单纯自主神经衰竭和帕金森病中。
Ann Neurol. 2016 Feb;79(2):306-16. doi: 10.1002/ana.24567. Epub 2015 Dec 29.