• 文献检索
  • 文档翻译
  • 深度研究
  • 学术资讯
  • Suppr Zotero 插件Zotero 插件
  • 邀请有礼
  • 套餐&价格
  • 历史记录
应用&插件
Suppr Zotero 插件Zotero 插件浏览器插件Mac 客户端Windows 客户端微信小程序
定价
高级版会员购买积分包购买API积分包
服务
文献检索文档翻译深度研究API 文档MCP 服务
关于我们
关于 Suppr公司介绍联系我们用户协议隐私条款
关注我们

Suppr 超能文献

核心技术专利:CN118964589B侵权必究
粤ICP备2023148730 号-1Suppr @ 2026

文献检索

告别复杂PubMed语法,用中文像聊天一样搜索,搜遍4000万医学文献。AI智能推荐,让科研检索更轻松。

立即免费搜索

文件翻译

保留排版,准确专业,支持PDF/Word/PPT等文件格式,支持 12+语言互译。

免费翻译文档

深度研究

AI帮你快速写综述,25分钟生成高质量综述,智能提取关键信息,辅助科研写作。

立即免费体验

经阴道超声与磁共振成像:诊断子宫内膜异位症的最佳成像方式是什么?

Transvaginal Ultrasound vs. Magnetic Resonance Imaging: What Is the Optimal Imaging Modality for the Diagnosis of Endometriosis?

作者信息

Baușic Alexandra Irma Gabriela, Matasariu Daniela Roxana, Manu Andrei, Brătilă Elvira

机构信息

Department of Obstetrics and Gynecology, Doctoral School, "Carol Davila" University of Medicine and Pharmacy, 020021 Bucharest, Romania.

Department of Obstetrics and Gynecology, "Carol Davila" University of Medicine and Pharmacy, 020021 Bucharest, Romania.

出版信息

Biomedicines. 2023 Sep 23;11(10):2609. doi: 10.3390/biomedicines11102609.

DOI:10.3390/biomedicines11102609
PMID:37892983
原文链接:https://pmc.ncbi.nlm.nih.gov/articles/PMC10604115/
Abstract

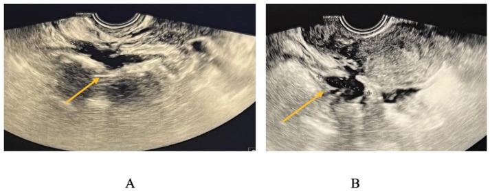
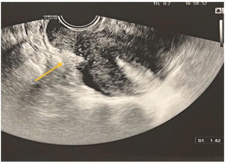
Endometriosis, an intriguing gynecological illness, poses a substantial health concern for women of reproductive age, despite its widespread occurrence and limited comprehension. The objective of this study is to assess the diagnostic precision of transvaginal sonography (TVS) and pelvic magnetic resonance imaging (MRI) for the identification of deep infiltrated endometriosis (DIE). This study encompassed a cohort of 256 patients exhibiting signs and symptoms of endometriosis, with the aim of assessing the diagnostic accuracy over a span of four years. Both TVS and pelvic MRI were employed in the same centers to analyze each subject. The histopathologic analysis and laparoscopy were the most reliable and widely accepted methods for evaluation. TVS is a reliable diagnostic tool for ovarian endometriomas, obviating the necessity for MRI confirmation. The specificity of TVS in diagnosing ovarian endometriomas is 57.14%, while its sensitivity is 93.78%, resulting in an overall accuracy of 84.47%. In relation to parametrial lesions, the sensitivity, specificity, and accuracy of TVS and MRI were as follows: TVS: 9%, 97%, 32%, MRI: 27.14%, 89.19%, and 40.11%. Concerning the uterosacral lesions, the sensitivity, specificity, and accuracy of TVS and MRI were as follows: TVS:14.63%, 94.74%, and 55%, while MRI: 65.88%, 66.30%, and 66.1%. Regarding rectal endometriosis, the sensitivity, specificity, and accuracy of TVS and MRI were as follows: 69.72%, 76.87%, and 73.82% for TVS, and 66.28%, 94.51%, and 80.79% for MRI. The results of the present study indicate that whereas MRI generally exhibits superior capability in assessing the severity of endometriosis, TVS demonstrates sufficient diagnostic accuracy in DIE comparable to MRI.

摘要

子宫内膜异位症是一种引人关注的妇科疾病,尽管其发病率很高且人们对它的了解有限,但它对育龄女性的健康构成了重大威胁。本研究的目的是评估经阴道超声检查(TVS)和盆腔磁共振成像(MRI)对深部浸润性子宫内膜异位症(DIE)的诊断准确性。本研究纳入了256名有子宫内膜异位症体征和症状的患者,旨在评估四年间的诊断准确性。在同一中心对每位受试者同时采用TVS和盆腔MRI进行分析。组织病理学分析和腹腔镜检查是评估最可靠且被广泛接受的方法。TVS是诊断卵巢子宫内膜异位囊肿的可靠工具,无需MRI确认。TVS诊断卵巢子宫内膜异位囊肿的特异性为57.14%,敏感性为93.78%,总体准确率为84.47%。对于宫旁病变,TVS和MRI的敏感性、特异性和准确率如下:TVS分别为9%、97%、32%;MRI分别为27.14%、89.19%、40.11%。对于子宫骶骨病变,TVS和MRI的敏感性、特异性和准确率如下:TVS分别为14.63%、94.74%、55%;MRI分别为65.88%、66.30%、66.1%。对于直肠子宫内膜异位症,TVS和MRI的敏感性、特异性和准确率如下:TVS分别为69.72%、76.87%、73.82%;MRI分别为66.28%、94.51%、80.79%。本研究结果表明,虽然MRI在评估子宫内膜异位症的严重程度方面通常表现出更强的能力,但TVS在DIE方面显示出与MRI相当的足够诊断准确性。

https://cdn.ncbi.nlm.nih.gov/pmc/blobs/e28d/10604115/c822a6cc0c1e/biomedicines-11-02609-g007.jpg
https://cdn.ncbi.nlm.nih.gov/pmc/blobs/e28d/10604115/964e8cb8255f/biomedicines-11-02609-g001.jpg
https://cdn.ncbi.nlm.nih.gov/pmc/blobs/e28d/10604115/0580a0cc5a62/biomedicines-11-02609-g002.jpg
https://cdn.ncbi.nlm.nih.gov/pmc/blobs/e28d/10604115/a0e9b9b098a2/biomedicines-11-02609-g003.jpg
https://cdn.ncbi.nlm.nih.gov/pmc/blobs/e28d/10604115/6825f1f8d7ba/biomedicines-11-02609-g004.jpg
https://cdn.ncbi.nlm.nih.gov/pmc/blobs/e28d/10604115/69f3b3f804ce/biomedicines-11-02609-g005.jpg
https://cdn.ncbi.nlm.nih.gov/pmc/blobs/e28d/10604115/542ac28fc66a/biomedicines-11-02609-g006.jpg
https://cdn.ncbi.nlm.nih.gov/pmc/blobs/e28d/10604115/c822a6cc0c1e/biomedicines-11-02609-g007.jpg
https://cdn.ncbi.nlm.nih.gov/pmc/blobs/e28d/10604115/964e8cb8255f/biomedicines-11-02609-g001.jpg
https://cdn.ncbi.nlm.nih.gov/pmc/blobs/e28d/10604115/0580a0cc5a62/biomedicines-11-02609-g002.jpg
https://cdn.ncbi.nlm.nih.gov/pmc/blobs/e28d/10604115/a0e9b9b098a2/biomedicines-11-02609-g003.jpg
https://cdn.ncbi.nlm.nih.gov/pmc/blobs/e28d/10604115/6825f1f8d7ba/biomedicines-11-02609-g004.jpg
https://cdn.ncbi.nlm.nih.gov/pmc/blobs/e28d/10604115/69f3b3f804ce/biomedicines-11-02609-g005.jpg
https://cdn.ncbi.nlm.nih.gov/pmc/blobs/e28d/10604115/542ac28fc66a/biomedicines-11-02609-g006.jpg
https://cdn.ncbi.nlm.nih.gov/pmc/blobs/e28d/10604115/c822a6cc0c1e/biomedicines-11-02609-g007.jpg

相似文献

1
Transvaginal Ultrasound vs. Magnetic Resonance Imaging: What Is the Optimal Imaging Modality for the Diagnosis of Endometriosis?经阴道超声与磁共振成像:诊断子宫内膜异位症的最佳成像方式是什么?
Biomedicines. 2023 Sep 23;11(10):2609. doi: 10.3390/biomedicines11102609.
2
Transvaginal ultrasound vs magnetic resonance imaging for diagnosing deep infiltrating endometriosis: systematic review and meta-analysis.经阴道超声与磁共振成像诊断深部浸润性子宫内膜异位症的比较:系统评价和荟萃分析。
Ultrasound Obstet Gynecol. 2018 May;51(5):586-595. doi: 10.1002/uog.18961.
3
Imaging modalities for the non-invasive diagnosis of endometriosis.子宫内膜异位症非侵入性诊断的成像方式
Cochrane Database Syst Rev. 2016 Feb 26;2(2):CD009591. doi: 10.1002/14651858.CD009591.pub2.
4
Diagnostic accuracy of magnetic resonance imaging, transvaginal, and transrectal ultrasonography in deep infiltrating endometriosis.磁共振成像、经阴道及经直肠超声检查对深部浸润型子宫内膜异位症的诊断准确性
Medicine (Baltimore). 2018 Feb;97(8):e9536. doi: 10.1097/MD.0000000000009536.
5
Ultrasound mapping of pelvic endometriosis: does the location and number of lesions affect the diagnostic accuracy? A multicentre diagnostic accuracy study.盆腔子宫内膜异位症的超声图谱:病灶位置和数量是否影响诊断准确性?一项多中心诊断准确性研究。
BMC Womens Health. 2013 Oct 29;13:43. doi: 10.1186/1472-6874-13-43.
6
Accuracy of transvaginal ultrasound and magnetic resonance imaging for diagnosis of deep endometriosis in bladder and ureter: a meta-analysis.经阴道超声和磁共振成像诊断膀胱和输尿管深部子宫内膜异位症的准确性:荟萃分析。
J Obstet Gynaecol. 2022 Aug;42(6):2272-2281. doi: 10.1080/01443615.2022.2040965. Epub 2022 Apr 14.
7
Diagnostic Accuracy of Ultrasound and MRI in the Mapping of Deep Pelvic Endometriosis Using the International Deep Endometriosis Analysis (IDEA) Consensus.超声和 MRI 对深部盆腔子宫内膜异位症定位的诊断准确性:应用国际深部子宫内膜异位症分析(IDEA)共识。
Biomed Res Int. 2020 Jan 30;2020:3583989. doi: 10.1155/2020/3583989. eCollection 2020.
8
Transvaginal Ultrasound vs. Magnetic Resonance Imaging (MRI) Value in Endometriosis Diagnosis.经阴道超声与磁共振成像(MRI)在子宫内膜异位症诊断中的价值
Diagnostics (Basel). 2022 Jul 21;12(7):1767. doi: 10.3390/diagnostics12071767.
9
Transvaginal Sonography for the Preoperative Assessment of Parametrial Deep Infiltrating Endometriosis: A Diagnostic Accuracy Study.经阴道超声检查在评估宫骶韧带深部浸润型子宫内膜异位症中的应用:一项诊断准确性研究。
Gynecol Obstet Invest. 2024;89(2):111-119. doi: 10.1159/000535940. Epub 2024 Feb 20.
10
Lesion-to-anal-verge distance in rectosigmoid endometriosis on transvaginal sonography vs magnetic resonance imaging: prospective study.经阴道超声与磁共振成像诊断直肠-乙状结肠交界子宫内膜异位症病灶-肛提肌距离的前瞻性研究。
Ultrasound Obstet Gynecol. 2023 Feb;61(2):243-250. doi: 10.1002/uog.26083.

引用本文的文献

1
Gut Microbiota Dysbiosis in Endometriosis: A Potential Link to Inflammation and Disease Progression.子宫内膜异位症中的肠道微生物群失调:与炎症和疾病进展的潜在联系。
Int J Mol Sci. 2025 May 27;26(11):5144. doi: 10.3390/ijms26115144.
2
Efficacy of Transvaginal Ultrasound vs Pelvic MRI in Preoperative Diagnosis of Pelvic Endometriosis.经阴道超声与盆腔磁共振成像在盆腔子宫内膜异位症术前诊断中的效能比较
Med Sci Monit. 2025 Apr 10;31:e945328. doi: 10.12659/MSM.945328.
3
Evaluation of the Epidemiological Disease Burden and Nationwide Cost of Endometriosis in Hungary.

本文引用的文献

1
The Benefit of Transvaginal Elastography in Detecting Deep Endometriosis: A Feasibility Study.经阴道弹性成像探测深部子宫内膜异位症的优势:一项可行性研究。
Ultraschall Med. 2024 Feb;45(1):69-76. doi: 10.1055/a-2028-8214. Epub 2023 Feb 6.
2
Ultrasonographic Findings Indirectly Predicting Parametrial Involvement in Patients with Deep Endometriosis: The ULTRA-PARAMETRENDO I Study.超声检查结果间接预测深部子宫内膜异位症患者的宫旁受累情况:ULTRA-PARAMETRENDO I研究
J Minim Invasive Gynecol. 2023 Jan;30(1):61-72. doi: 10.1016/j.jmig.2022.10.008. Epub 2022 Oct 29.
3
Ultrasound Elastography for the Diagnosis of Endometriosis and Adenomyosis: A Systematic Review with Meta-analysis.
匈牙利子宫内膜异位症的流行病学疾病负担及全国成本评估。
Healthcare (Basel). 2024 Dec 20;12(24):2567. doi: 10.3390/healthcare12242567.
超声弹性成像诊断子宫内膜异位症和子宫腺肌病的系统评价与荟萃分析。
Ultrasound Med Biol. 2023 Mar;49(3):699-709. doi: 10.1016/j.ultrasmedbio.2022.11.006. Epub 2022 Dec 15.
4
Clinical use of artificial intelligence in endometriosis: a scoping review.人工智能在子宫内膜异位症中的临床应用:一项范围综述。
NPJ Digit Med. 2022 Aug 4;5(1):109. doi: 10.1038/s41746-022-00638-1.
5
Magnetic resonance imaging for deep infiltrating endometriosis: current concepts, imaging technique and key findings.深部浸润型子宫内膜异位症的磁共振成像:当前概念、成像技术及关键发现
Insights Imaging. 2021 Jul 22;12(1):105. doi: 10.1186/s13244-021-01054-x.
6
Ultrasonographic 3D Evaluation in the Diagnosis of Bladder Endometriosis: A Prospective Comparative Diagnostic Accuracy Study.超声三维评估在膀胱子宫内膜异位症诊断中的应用:一项前瞻性对比诊断准确性研究。
Gynecol Obstet Invest. 2021;86(3):299-306. doi: 10.1159/000516634. Epub 2021 Jun 22.
7
The #Enzian classification: A comprehensive non-invasive and surgical description system for endometriosis.恩齐安分类法:一种全面的非侵入性和手术性子宫内膜异位症描述系统。
Acta Obstet Gynecol Scand. 2021 Jul;100(7):1165-1175. doi: 10.1111/aogs.14099. Epub 2021 Mar 19.
8
SonoPODography: A new diagnostic technique for visualizing superficial endometriosis.超声造影成像:一种可视化浅表子宫内膜异位症的新诊断技术。
Eur J Obstet Gynecol Reprod Biol. 2020 Nov;254:124-131. doi: 10.1016/j.ejogrb.2020.08.051. Epub 2020 Sep 16.
9
Diagnostic Accuracy of Ultrasound and MRI in the Mapping of Deep Pelvic Endometriosis Using the International Deep Endometriosis Analysis (IDEA) Consensus.超声和 MRI 对深部盆腔子宫内膜异位症定位的诊断准确性:应用国际深部子宫内膜异位症分析(IDEA)共识。
Biomed Res Int. 2020 Jan 30;2020:3583989. doi: 10.1155/2020/3583989. eCollection 2020.
10
Diagnostic accuracy of magnetic resonance imaging, transvaginal, and transrectal ultrasonography in deep infiltrating endometriosis.磁共振成像、经阴道及经直肠超声检查对深部浸润型子宫内膜异位症的诊断准确性
Medicine (Baltimore). 2018 Feb;97(8):e9536. doi: 10.1097/MD.0000000000009536.