Suppr超能文献

甲状腺毒症期间的脑静脉血栓形成:病例报告及文献综述

Cerebral Venous Thrombosis during Thyrotoxicosis: Case Report and Literature Update.

作者信息

Raho Emanuela Maria, Antonioni Annibale, Cotta Ramusino Niccolò, Jubea Dina, Gragnaniello Daniela, Franceschetti Paola, Penitenti Francesco, Daniele Andrea, Zatelli Maria Chiara, Naccarato Maurizio, Traluci Ilaria, Pugliatti Maura, Padroni Marina

机构信息

Unit of Clinical Neurology, Neurosciences and Rehabilitation Department, University of Ferrara, 44121 Ferrara, Italy.

Doctoral Program in Translational Neurosciences and Neurotechnologies, University of Ferrara, 44121 Ferrara, Italy.

出版信息

J Pers Med. 2023 Oct 30;13(11):1557. doi: 10.3390/jpm13111557.

Abstract

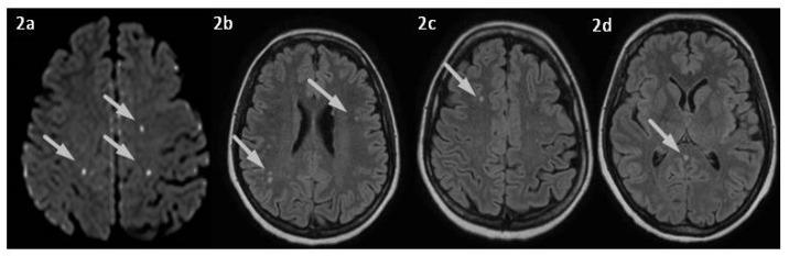
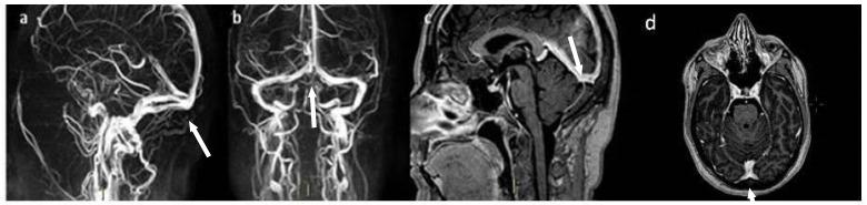
Cerebral venous thrombosis (CVT) is a rare cause of stroke, particularly in young adults. Several known thrombophilic conditions may lead to an increased CVT risk. Interestingly, few cases in the literature have reported an association between CVT and thyrotoxicosis. Here, we describe the case of a young woman with CVT and concomitant thyrotoxicosis, without any other known prothrombotic conditions. We also performed a literature review of CVT cases and hyperthyroidism, searching for all articles published in peer-reviewed journals. We identified 39 case reports/case series concerning patients with CVT associated with thyrotoxicosis, highlighting, in most cases, the association with additional known prothrombotic factors. We then discussed the possible mechanisms by which hyperthyroidism could underlie a pro-coagulative state resulting in CVT. Thyroid disease might be a more common prothrombotic risk factor than expected in determining CVT. However, in most cases, a coexistence of multiple risk factors was observed, suggesting a multifactorial genesis of the disorder. We hope that this work may alert clinicians to consider thyrotoxicosis as a potential risk factor for CVT, even in patients who apparently have no other pro-coagulative conditions.

摘要

脑静脉血栓形成(CVT)是一种罕见的中风病因,尤其在年轻人中。几种已知的血栓形成倾向状况可能会增加CVT风险。有趣的是,文献中很少有病例报告CVT与甲状腺毒症之间存在关联。在此,我们描述了一名患有CVT并伴有甲状腺毒症的年轻女性病例,该患者无任何其他已知的血栓前状态。我们还对CVT病例和甲状腺功能亢进进行了文献综述,检索了同行评审期刊上发表的所有文章。我们确定了39例关于CVT与甲状腺毒症相关患者的病例报告/病例系列,在大多数情况下,突出了与其他已知血栓前因素的关联。然后我们讨论了甲状腺功能亢进可能导致促凝状态进而引发CVT的潜在机制。在导致CVT方面,甲状腺疾病可能是一个比预期更常见的血栓前风险因素。然而,在大多数情况下,观察到多种风险因素并存,提示该疾病具有多因素发病机制。我们希望这项工作能提醒临床医生,即使在明显没有其他促凝状况的患者中,也要将甲状腺毒症视为CVT的潜在风险因素。

https://cdn.ncbi.nlm.nih.gov/pmc/blobs/3cf1/10672691/144089f69475/jpm-13-01557-g001.jpg

文献AI研究员

20分钟写一篇综述,助力文献阅读效率提升50倍。

立即体验

用中文搜PubMed

大模型驱动的PubMed中文搜索引擎

马上搜索

文档翻译

学术文献翻译模型,支持多种主流文档格式。

立即体验