• 文献检索
  • 文档翻译
  • 深度研究
  • 学术资讯
  • Suppr Zotero 插件Zotero 插件
  • 邀请有礼
  • 套餐&价格
  • 历史记录
应用&插件
Suppr Zotero 插件Zotero 插件浏览器插件Mac 客户端Windows 客户端微信小程序
定价
高级版会员购买积分包购买API积分包
服务
文献检索文档翻译深度研究API 文档MCP 服务
关于我们
关于 Suppr公司介绍联系我们用户协议隐私条款
关注我们

Suppr 超能文献

核心技术专利:CN118964589B侵权必究
粤ICP备2023148730 号-1Suppr @ 2026

文献检索

告别复杂PubMed语法,用中文像聊天一样搜索,搜遍4000万医学文献。AI智能推荐,让科研检索更轻松。

立即免费搜索

文件翻译

保留排版,准确专业,支持PDF/Word/PPT等文件格式,支持 12+语言互译。

免费翻译文档

深度研究

AI帮你快速写综述,25分钟生成高质量综述,智能提取关键信息,辅助科研写作。

立即免费体验

在 PD 的转基因小鼠模型中触发 α-突触核蛋白病理。

triggers α-synuclein pathology in the transgenic mouse model of PD.

机构信息

Department of Neurology, the First Affiliated Hospital of Zhengzhou University, Zhengzhou, Henan, China.

Henan Key Laboratory of Chronic Disease Prevention and Therapy & Intelligent Health Management, Zhengzhou, Henan, China.

出版信息

Gut Microbes. 2023 Dec;15(2):2276296. doi: 10.1080/19490976.2023.2276296. Epub 2023 Nov 27.

DOI:10.1080/19490976.2023.2276296
PMID:38010914
原文链接:https://pmc.ncbi.nlm.nih.gov/articles/PMC10730176/
Abstract

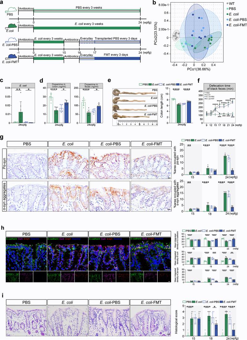
Alpha-synuclein (α-syn) pathology is the hallmark of Parkinson's disease (PD). The leucine-rich repeat kinase 2 () gene is a major-effect risk gene for sporadic PD (sPD). However, what environmental factors may trigger the formation of α-syn pathology in carriers of risk variants are still unknown. Here, we report that a markedly increased abundance of (. ) in the intestinal microbiota was detected in risk variant(R1628P or G2385R) carriers with sPD compared with carriers without sPD. Animal experiments showed that . administration triggered pathological α-syn accumulation in the colon and spread to the brain via the gut-brain axis in R1628P mice, due to the co-occurrence of variant-induced inhibition of α-syn autophagic degradation and increased phosphorylation of α-syn caused by curli in . -derived extracellular vesicles. Fecal microbiota transplantation (FMT) effectively ameliorated motor deficits and α-syn pathology in R1628P mice. Our findings elaborate on the mechanism that triggers α-syn pathology in R1628P mice, and highlight a novel gene-environment interaction pattern in risk variants. Even more importantly, the findings reveal the interplay between the specific risk gene and the matched environmental factors triggers the initiation of α-syn pathology in sPD.

摘要

α-突触核蛋白(α-syn)病理学是帕金森病(PD)的标志。富亮氨酸重复激酶 2()基因是散发性 PD(sPD)的主要风险基因。然而,携带风险变异的个体中,哪些环境因素可能引发α-syn 病理学的形成仍然未知。在这里,我们报告在携带 sPD 的风险变异(R1628P 或 G2385R)携带者中,肠道微生物群中显著增加了(.)的丰度。与无 sPD 的携带者相比。动物实验表明,在 R1628P 小鼠中,通过肠道-大脑轴, 给药会引发结肠中病理性 α-syn 的积累,并传播到大脑,这是由于 变异诱导的 α-syn 自噬降解抑制以及卷曲衍生的细胞外囊泡中 α-syn 的磷酸化增加所致。粪便微生物群移植(FMT)有效地改善了 R1628P 小鼠的运动缺陷和 α-syn 病理学。我们的研究结果阐述了 在 R1628P 小鼠中引发 α-syn 病理学的机制,并强调了 风险变异中一种新的基因-环境相互作用模式。更重要的是,这些发现揭示了特定风险基因与匹配的环境因素之间的相互作用,触发了 sPD 中 α-syn 病理学的起始。

https://cdn.ncbi.nlm.nih.gov/pmc/blobs/e666/10730176/370755e6c13b/KGMI_A_2276296_F0005_OC.jpg
https://cdn.ncbi.nlm.nih.gov/pmc/blobs/e666/10730176/b964acdf847c/KGMI_A_2276296_F0001_OC.jpg
https://cdn.ncbi.nlm.nih.gov/pmc/blobs/e666/10730176/48b1ba6ddf4b/KGMI_A_2276296_F0002_OC.jpg
https://cdn.ncbi.nlm.nih.gov/pmc/blobs/e666/10730176/f0549a162b1e/KGMI_A_2276296_F0003_OC.jpg
https://cdn.ncbi.nlm.nih.gov/pmc/blobs/e666/10730176/acbbd9597661/KGMI_A_2276296_F0004_OC.jpg
https://cdn.ncbi.nlm.nih.gov/pmc/blobs/e666/10730176/370755e6c13b/KGMI_A_2276296_F0005_OC.jpg
https://cdn.ncbi.nlm.nih.gov/pmc/blobs/e666/10730176/b964acdf847c/KGMI_A_2276296_F0001_OC.jpg
https://cdn.ncbi.nlm.nih.gov/pmc/blobs/e666/10730176/48b1ba6ddf4b/KGMI_A_2276296_F0002_OC.jpg
https://cdn.ncbi.nlm.nih.gov/pmc/blobs/e666/10730176/f0549a162b1e/KGMI_A_2276296_F0003_OC.jpg
https://cdn.ncbi.nlm.nih.gov/pmc/blobs/e666/10730176/acbbd9597661/KGMI_A_2276296_F0004_OC.jpg
https://cdn.ncbi.nlm.nih.gov/pmc/blobs/e666/10730176/370755e6c13b/KGMI_A_2276296_F0005_OC.jpg

相似文献

1
triggers α-synuclein pathology in the transgenic mouse model of PD.在 PD 的转基因小鼠模型中触发 α-突触核蛋白病理。
Gut Microbes. 2023 Dec;15(2):2276296. doi: 10.1080/19490976.2023.2276296. Epub 2023 Nov 27.
2
LRRK2 modifies α-syn pathology and spread in mouse models and human neurons.LRRK2 改变了α-突触核蛋白在小鼠模型和人类神经元中的病理和传播。
Acta Neuropathol. 2019 Jun;137(6):961-980. doi: 10.1007/s00401-019-01995-0. Epub 2019 Mar 29.
3
Parkinson's Disease-Associated LRRK2 Interferes with Astrocyte-Mediated Alpha-Synuclein Clearance.帕金森病相关 LRRK2 干扰星形胶质细胞介导的α-突触核蛋白清除。
Mol Neurobiol. 2021 Jul;58(7):3119-3140. doi: 10.1007/s12035-021-02327-8. Epub 2021 Feb 24.
4
The role of posttranslational modifications of α-synuclein and LRRK2 in Parkinson's disease: Potential contributions of environmental factors.α-突触核蛋白和 LRRK2 的翻译后修饰在帕金森病中的作用:环境因素的潜在贡献。
Biochim Biophys Acta Mol Basis Dis. 2019 Aug 1;1865(8):1992-2000. doi: 10.1016/j.bbadis.2018.11.017. Epub 2018 Nov 24.
5
LRRK2 activity does not dramatically alter α-synuclein pathology in primary neurons.LRRK2 活性不会显著改变原代神经元中的 α-突触核蛋白病理。
Acta Neuropathol Commun. 2018 May 31;6(1):45. doi: 10.1186/s40478-018-0550-0.
6
Microglial LRRK2-mediated NFATc1 attenuates α-synuclein immunotoxicity in association with CX3CR1-induced migration and the lysosome-initiated degradation.小胶质细胞LRRK2介导的NFATc1与CX3CR1诱导的迁移和溶酶体起始的降解相关,减轻α-突触核蛋白的免疫毒性。
Glia. 2023 Sep;71(9):2266-2284. doi: 10.1002/glia.24422. Epub 2023 Jun 10.
7
G2019S LRRK2 mutation facilitates α-synuclein neuropathology in aged mice.G2019S LRRK2 突变促进老年小鼠的 α-突触核蛋白神经病理学。
Neurobiol Dis. 2018 Dec;120:21-33. doi: 10.1016/j.nbd.2018.08.018. Epub 2018 Aug 30.
8
SNCA but not DNM3 and GAK modifies age at onset of LRRK2-related Parkinson's disease in Chinese population.SNCA 而非 DNM3 和 GAK 改变了中国人群 LRRK2 相关帕金森病的发病年龄。
J Neurol. 2019 Jul;266(7):1796-1800. doi: 10.1007/s00415-019-09336-7. Epub 2019 Apr 30.
9
Brain and Cerebrospinal Fluid α-Synuclein Real-Time Quaking-Induced Conversion Identifies Lewy Body Pathology in LRRK2-PD.大脑和脑脊液α-突触核蛋白实时颤抖诱导转化可识别LRRK2帕金森病中的路易体病理。
Mov Disord. 2023 Feb;38(2):333-338. doi: 10.1002/mds.29284. Epub 2022 Dec 5.
10
Leucine-rich repeat kinase 2 regulates the progression of neuropathology induced by Parkinson's-disease-related mutant alpha-synuclein.富含亮氨酸重复激酶 2 调节帕金森病相关突变型 α-突触核蛋白诱导的神经病理学进展。
Neuron. 2009 Dec 24;64(6):807-27. doi: 10.1016/j.neuron.2009.11.006.

引用本文的文献

1
Bacterial Extracellular Vesicles: Emerging Regulators in the Gut-Organ Axis and Prospective Biomedical Applications.细菌细胞外囊泡:肠道-器官轴中的新兴调节因子及潜在生物医学应用
Curr Microbiol. 2025 Sep 1;82(10):486. doi: 10.1007/s00284-025-04474-w.
2
Exploring the role of gut microbiota in Parkinson's disease: insights from fecal microbiota transplantation.探索肠道微生物群在帕金森病中的作用:来自粪便微生物群移植的见解
Front Neurosci. 2025 Jun 13;19:1574512. doi: 10.3389/fnins.2025.1574512. eCollection 2025.
3
The role of brain-liver-gut Axis in neurological disorders.

本文引用的文献

1
The clinical meaning of the area under a receiver operating characteristic curve for the evaluation of the performance of disease markers.受试者工作特征曲线下面积在疾病标志物性能评估中的临床意义。
Epidemiol Health. 2022;44:e2022088. doi: 10.4178/epih.e2022088. Epub 2022 Oct 17.
2
Fecal microbiota transplantation protects rotenone-induced Parkinson's disease mice via suppressing inflammation mediated by the lipopolysaccharide-TLR4 signaling pathway through the microbiota-gut-brain axis.粪便微生物群移植通过抑制脂多糖-TLR4 信号通路介导的炎症反应,经由肠道菌群-肠-脑轴保护鱼藤酮诱导的帕金森病小鼠。
Microbiome. 2021 Nov 17;9(1):226. doi: 10.1186/s40168-021-01107-9.
3
脑-肝-肠轴在神经疾病中的作用。
Burns Trauma. 2025 May 2;13:tkaf011. doi: 10.1093/burnst/tkaf011. eCollection 2025.
4
Indigenous gut microbes modulate neural cell state and neurodegenerative disease susceptibility.肠道原生微生物调节神经细胞状态和神经退行性疾病易感性。
bioRxiv. 2025 Feb 22:2025.02.17.638718. doi: 10.1101/2025.02.17.638718.
5
Gut-brain axis and environmental factors in Parkinson's disease: bidirectional link between disease onset and progression.帕金森病中的肠-脑轴与环境因素:疾病发生与进展之间的双向联系
Neural Regen Res. 2025 Dec 1;20(12):3416-3429. doi: 10.4103/NRR.NRR-D-24-00994. Epub 2024 Dec 16.
6
The microbiota-gut-brain axis: a potential target in the small-molecule compounds and gene therapeutic strategies for Parkinson's disease.微生物群-肠-脑轴:帕金森病小分子化合物和基因治疗策略的潜在靶点。
Neurol Sci. 2025 Feb;46(2):561-578. doi: 10.1007/s10072-024-07878-x. Epub 2024 Nov 15.
7
Gut microbiota and Parkinson's disease.肠道微生物群与帕金森病
Chin Med J (Engl). 2025 Feb 5;138(3):289-297. doi: 10.1097/CM9.0000000000003318. Epub 2024 Nov 6.
8
Impairment of the trans-Golgi-Lysosomal Pathway Accelerates Dopaminergic Neuronal Senescence in LRRK2 Rats.跨高尔基体-溶酶体途径受损加速LRRK2大鼠多巴胺能神经元衰老
Aging Dis. 2024 Nov 1. doi: 10.14336/AD.2024.0883.
9
α-synuclein overexpression and the microbiome shape the gut and brain metabolome in mice.α-突触核蛋白过表达与微生物群影响小鼠肠道和大脑代谢组。
NPJ Parkinsons Dis. 2024 Oct 30;10(1):208. doi: 10.1038/s41531-024-00816-w.
10
α-Synuclein Overexpression and the Microbiome Shape the Gut and Brain Metabolome in Mice.α-突触核蛋白过表达与微生物群塑造小鼠的肠道和脑代谢组
bioRxiv. 2024 Jun 10:2024.06.07.597975. doi: 10.1101/2024.06.07.597975.
Inflammatory and Microbiota-Related Regulation of the Intestinal Epithelial Barrier.
肠道上皮屏障的炎症与微生物群相关调节
Front Nutr. 2021 Sep 13;8:718356. doi: 10.3389/fnut.2021.718356. eCollection 2021.
4
Parkinson's Disease Genetics and Pathophysiology.帕金森病遗传学与病理生理学。
Annu Rev Neurosci. 2021 Jul 8;44:87-108. doi: 10.1146/annurev-neuro-100720-034518.
5
The neuromicrobiology of Parkinson's disease: A unifying theory.帕金森病的神经微生物学:一个统一的理论。
Ageing Res Rev. 2021 Sep;70:101396. doi: 10.1016/j.arr.2021.101396. Epub 2021 Jun 23.
6
LRRK2 is reduced in Parkinson's disease gut.在帕金森病患者的肠道中,LRRK2水平降低。
Acta Neuropathol. 2021 Sep;142(3):601-603. doi: 10.1007/s00401-021-02334-y. Epub 2021 Jun 6.
7
Evaluation of fecal microbiota transplantation in Parkinson's disease patients with constipation.评价粪便微生物移植在帕金森病便秘患者中的应用。
Microb Cell Fact. 2021 May 13;20(1):98. doi: 10.1186/s12934-021-01589-0.
8
Inflammatory bowel disease and Parkinson's disease: common pathophysiological links.炎症性肠病与帕金森病:共同的病理生理学联系。
Gut. 2021 Feb;70(2):408-417. doi: 10.1136/gutjnl-2020-322429. Epub 2020 Oct 16.
9
Brain-first versus body-first Parkinson's disease: a multimodal imaging case-control study.脑优先与身体优先的帕金森病:一项多模态成像病例对照研究。
Brain. 2020 Oct 1;143(10):3077-3088. doi: 10.1093/brain/awaa238.
10
Melatonin protects mouse testes from palmitic acid-induced lipotoxicity by attenuating oxidative stress and DNA damage in a SIRT1-dependent manner.褪黑素通过依赖 SIRT1 的方式减轻氧化应激和 DNA 损伤来保护小鼠睾丸免受棕榈酸诱导的脂毒性。
J Pineal Res. 2020 Nov;69(4):e12690. doi: 10.1111/jpi.12690. Epub 2020 Sep 4.