Suppr超能文献

基于胸主动脉疾病多模态成像新共识声明的急性主动脉综合征患者诊疗方法

Approach to the Patient with Acute Aortic Syndromes in Light of the New Consensus Statement on Multimodality Imaging in Thoracic Aortic Diseases.

作者信息

Muratori Manuela, Mancini Maria Elisabetta, Tamborini Gloria, Mushtaq Saima, Annoni Andrea, Fusini Laura, Celeste Fabrizio, Baggiano Andrea, Fazzari Fabio, Mantegazza Valentina, Pontone Gianluca, Pepi Mauro

机构信息

Centro Cardiologico Monzino, IRCCS, Milan, Italy.

出版信息

J Cardiovasc Echogr. 2023 Jul-Sep;33(3):109-116. doi: 10.4103/jcecho.jcecho_36_23. Epub 2023 Nov 20.

Abstract

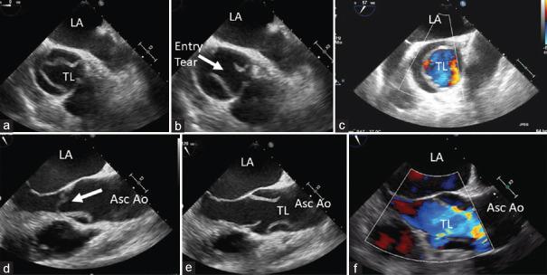
Acute aortic syndromes comprise a range of interrelated conditions including aortic dissection, intramural hematoma, penetrating atherosclerotic ulcer, and contained or not contained aortic aneurysm rupture. These syndromes are potentially life threatening; therefore, a rapid and accurate diagnosis is crucial. A new Clinical Consensus Statement on Aortic and Peripheral Vascular Disease has recently been published, and we will try to highlight the main innovations in the document.

摘要

急性主动脉综合征包括一系列相互关联的病症,包括主动脉夹层、壁内血肿、穿透性动脉粥样硬化溃疡以及有或无主动脉瘤破裂。这些综合征可能危及生命;因此,快速准确的诊断至关重要。最近发表了一份关于主动脉和外周血管疾病的新临床共识声明,我们将试图突出该文件中的主要创新之处。

https://cdn.ncbi.nlm.nih.gov/pmc/blobs/cee1/10756317/7ba869a47cf9/JCE-33-109-g001.jpg

文献AI研究员

20分钟写一篇综述,助力文献阅读效率提升50倍。

立即体验

用中文搜PubMed

大模型驱动的PubMed中文搜索引擎

马上搜索

文档翻译

学术文献翻译模型,支持多种主流文档格式。

立即体验