Suppr超能文献

伴有椎弓根峡部裂的痛风石性痛风性关节炎:一例报告

Tophaceous gouty arthritis with spondylolysis: a case report.

作者信息

Ye Yongsheng, Deng Fangyue, Luo Jiahui, Huang Xiongfei, Qu Xiliang, Zhuang Shabin

机构信息

Department of Orthopedics, Dongguan Hospital of Traditional Chinese Medicine, Dongcheng District, Dongguan City, Guangdong Province, 523000, China.

出版信息

J Surg Case Rep. 2023 Dec 28;2023(12):rjad689. doi: 10.1093/jscr/rjad689. eCollection 2023 Dec.

Abstract

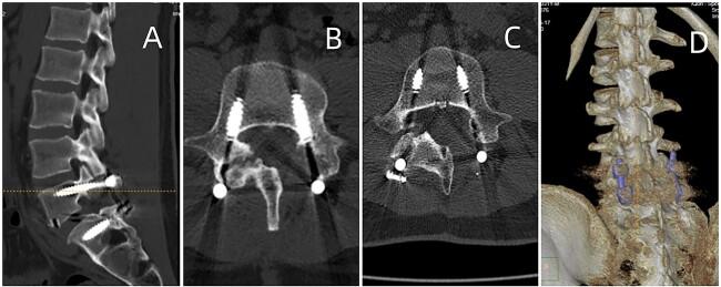
Spinal gout is a rare occurrence, and the combination of gout with lumbar spondylolysis has not been reported. We present a unique case involving a 29-year-old male who complained of low back pain for 1 month. Computed tomography and magnetic resonance imaging revealed articular subchondral erosions and a mass in the left L5-S1 facet joints. Initially treated for a spinal infection, the patient subsequently underwent lumbar spinal canal decompression and fusion, achieving complete relief. Postoperative pathology confirmed the spinal lesions to be tophaceous gout. Dual-energy CT or biopsy can assist in confirming the diagnosis. This report discusses another rare case of tophaceous gouty arthritis with spondylolysis to be added to the literature.

摘要

脊柱痛风较为罕见,痛风合并腰椎峡部裂的情况尚未见报道。我们报告一例独特病例,患者为一名29岁男性,主诉下腰痛1个月。计算机断层扫描和磁共振成像显示左L5-S1小关节软骨下侵蚀及肿块。患者最初按脊柱感染进行治疗,随后接受了腰椎管减压融合术,疼痛完全缓解。术后病理证实脊柱病变为痛风石性痛风。双能CT或活检有助于确诊。本报告讨论了另一例罕见的痛风石性痛风性关节炎合并峡部裂病例,以丰富文献资料。

https://cdn.ncbi.nlm.nih.gov/pmc/blobs/1005/10755092/16de575e6505/rjad689f1.jpg

文献AI研究员

20分钟写一篇综述,助力文献阅读效率提升50倍。

立即体验

用中文搜PubMed

大模型驱动的PubMed中文搜索引擎

马上搜索

文档翻译

学术文献翻译模型,支持多种主流文档格式。

立即体验