Suppr超能文献

组织蛋白糖基化变化及相关分子特征在人类帕金森病大脑中以区域特异性方式发生。

Changes in tissue protein -glycosylation and associated molecular signature occur in the human Parkinsonian brain in a region-specific manner.

作者信息

Rebelo Ana Lúcia, Drake Richard R, Marchetti-Deschmann Martina, Saldova Radka, Pandit Abhay

机构信息

CÚRAM, SFI Research Centre for Medical Devices, University of Galway, H91 TK33, Galway, Ireland.

Department of Cell and Molecular Pharmacology and Experimental Therapeutics, Medical University of South Carolina, SC 29425, Charleston, USA.

出版信息

PNAS Nexus. 2023 Dec 25;3(1):pgad439. doi: 10.1093/pnasnexus/pgad439. eCollection 2024 Jan.

Abstract

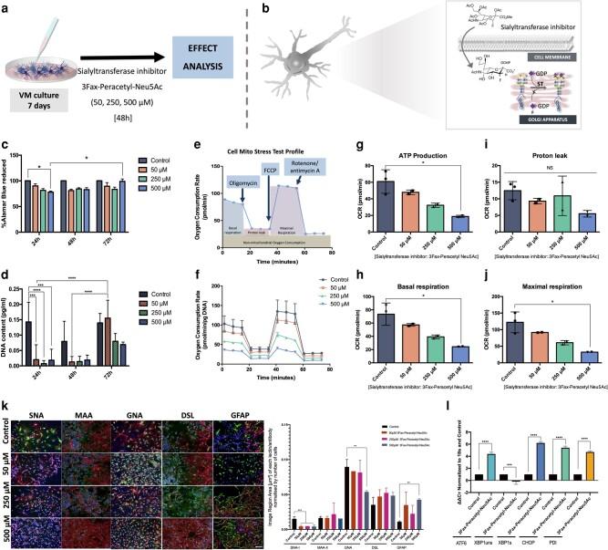
Parkinson's disease (PD) associated state of neuroinflammation due to the aggregation of aberrant proteins is widely reported. One type of post-translational modification involved in protein stability is glycosylation. Here, we aimed to characterize the human Parkinsonian nigro-striatal -glycome, and related transcriptome/proteome, and its correlation with endoplasmic reticulum (ER) stress and unfolded protein response (UPR), providing a comprehensive characterization of the PD molecular signature. Significant changes were seen upon a PD: a 3% increase in sialylation and 5% increase in fucosylation in both regions, and a 2% increase in oligomannosylated -glycans in the substantia nigra. In the latter, a decrease in the mRNA expression of sialidases and an upregulation in the UPR pathway were also seen. To show the correlation between these, we also describe a small in vitro study where changes in specific glycosylation trait enzymes (inhibition of sialyltransferases) led to impairments in cell mitochondrial activity, changes in glyco-profile, and upregulation in UPR pathways. This complete characterization of the human nigro-striatal -glycome provides an insight into the glycomic profile of PD through a transversal approach while combining the other PD "omics" pieces, which can potentially assist in the development of glyco-focused therapeutics.

摘要

帕金森病(PD)相关的神经炎症状态是由于异常蛋白质的聚集引起的,这一点已被广泛报道。参与蛋白质稳定性的一种翻译后修饰是糖基化。在此,我们旨在表征人类帕金森病黑质纹状体糖组及其相关转录组/蛋白质组,并研究其与内质网(ER)应激和未折叠蛋白反应(UPR)的相关性,从而全面刻画帕金森病的分子特征。在帕金森病患者中观察到了显著变化:两个区域的唾液酸化增加3%,岩藻糖化增加5%,黑质中低聚甘露糖基化聚糖增加2%。在黑质中,还观察到唾液酸酶的mRNA表达降低以及UPR途径上调。为了说明这些之间的相关性,我们还描述了一项小型体外研究,其中特定糖基化特征酶的变化(唾液酸转移酶的抑制)导致细胞线粒体活性受损、糖谱变化以及UPR途径上调。对人类黑质纹状体糖组的这种全面刻画通过横向方法,结合帕金森病的其他“组学”数据,深入了解了帕金森病的糖组学特征,这可能有助于开发以糖为重点的治疗方法。

https://cdn.ncbi.nlm.nih.gov/pmc/blobs/58e1/10766401/b0733f61c5aa/pgad439f1.jpg

文献AI研究员

20分钟写一篇综述,助力文献阅读效率提升50倍。

立即体验

用中文搜PubMed

大模型驱动的PubMed中文搜索引擎

马上搜索

文档翻译

学术文献翻译模型,支持多种主流文档格式。

立即体验