Suppr超能文献

荜澄茄果实乙醇提取物对四氧嘧啶诱导的糖尿病小鼠的高血糖、感觉和运动功能障碍具有缓解作用。

Andaliman ( DC.) fruit ethanolic extract exerts attenuative effect on hyperglycemia, sensory and motoric function's disorders in alloxan-induced diabetic mice.

作者信息

Santoso Putra, Simatupang Arin Saparima, Fajria Annisha, Rahayu Resti, Jannatan Robby

机构信息

Biology Department, Faculty of Mathematics and Natural Sciences, Andalas University, Padang, Indonesia.

出版信息

J Adv Vet Anim Res. 2023 Dec 31;10(4):608-619. doi: 10.5455/javar.2023.j716. eCollection 2023 Dec.

Abstract

OBJECTIVE

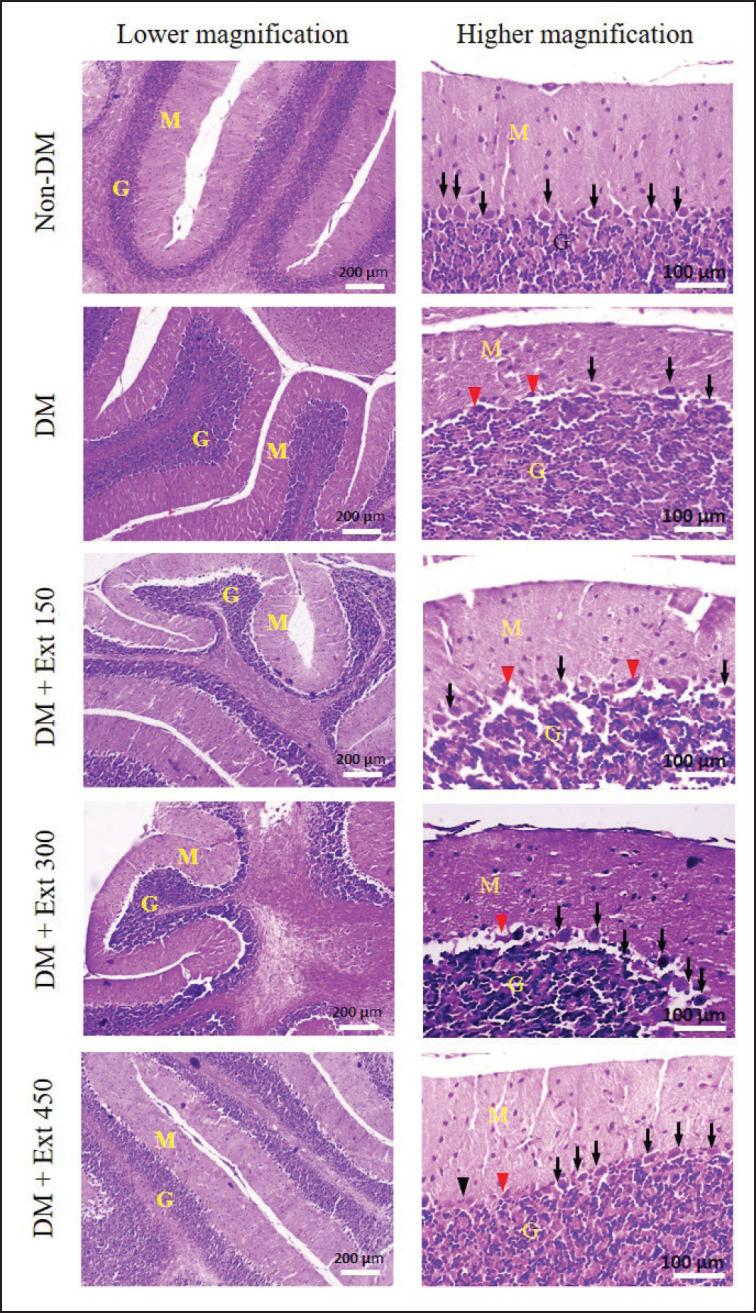
Andaliman () is a potent medicinal plant in Asia. This present study aimed to reveal the effectivity of Andaliman fruit extract in alleviating hyperglycemia, sensory and motoric balance disorders, histopathology of the cerebellum, and tissue oxidative stress in diabetic mice induced by alloxan.

MATERIALS AND METHODS

Diabetes induction was performed by intraperitoneally injecting alloxan monohydrate [200 mg/kg body weight (BW)]. Subsequently, the mice were treated daily with an ethanolic extract of Andaliman fruit (0, 150, 300, 450 mg/kg BW per oral) for 28 days, followed by measurements of blood glucose, paw sensitivity, motoric balance, histopathology of the cerebellum, and malondialdehyde (MDA) levels. Moreover, the phytochemical constituents of the extract were elucidated by liquid chromatography.

RESULTS

Higher doses of Andaliman fruit extract could significantly attenuate the elevation of random and fasting blood glucose ( < 0.05) and improve paw sensitivity responses ( < 0.05) and motoric balances ( < 0.05) in diabetic mice. Moreover, Andaliman fruit extract could significantly attenuate the degeneration of cerebellar Purkinje cells ( < 0.05) and suppress MDA levels in the blood ( < 0.05) while blunting the MDA in the brain tissue ( < 0.05). Phytochemical screening revealed 39 compounds in the Andaliman extract belonging to the groups of alkaloids (26 compounds), flavonoids (12 compounds), and terpenoids (1 compound).

CONCLUSION

The ethanolic extract of Andaliman fruit is capable of ameliorating diabetic neuropathy, motor balance disorders, and Purkinje cell degeneration while also reducing oxidative stress in the peripheral system. Hence, Andaliman extract is a promising candidate for formulation as an herbal remedy against the detrimental outcomes of diabetes mellitus.

摘要

目的

山蒌(Andaliman)是亚洲一种有效的药用植物。本研究旨在揭示山蒌果实提取物对缓解四氧嘧啶诱导的糖尿病小鼠高血糖、感觉和运动平衡障碍、小脑组织病理学以及组织氧化应激的有效性。

材料与方法

通过腹腔注射一水合四氧嘧啶[200毫克/千克体重(BW)]诱导糖尿病。随后,小鼠每天口服山蒌果实乙醇提取物(0、150、300、450毫克/千克BW),持续28天,然后测量血糖、爪部敏感性、运动平衡、小脑组织病理学和丙二醛(MDA)水平。此外,通过液相色谱法阐明提取物的植物化学成分。

结果

较高剂量的山蒌果实提取物可显著减轻糖尿病小鼠随机血糖和空腹血糖的升高(P<0.05),并改善爪部敏感性反应(P<0.05)和运动平衡(P<0.05)。此外,山蒌果实提取物可显著减轻小脑浦肯野细胞的退化(P<0.05),抑制血液中MDA水平(P<0.05),同时降低脑组织中MDA水平(P<0.05)。植物化学筛选显示山蒌提取物中有39种化合物,属于生物碱类(26种化合物)、黄酮类(12种化合物)和萜类(1种化合物)。

结论

山蒌果实乙醇提取物能够改善糖尿病神经病变、运动平衡障碍和浦肯野细胞退化,同时还能减轻外周系统的氧化应激。因此,山蒌提取物有望作为一种草药制剂,用于对抗糖尿病的有害后果。

https://cdn.ncbi.nlm.nih.gov/pmc/blobs/8fb3/10868678/5b2a2967a6c0/JAVAR-10-608-g001.jpg

文献AI研究员

20分钟写一篇综述,助力文献阅读效率提升50倍。

立即体验

用中文搜PubMed

大模型驱动的PubMed中文搜索引擎

马上搜索

文档翻译

学术文献翻译模型,支持多种主流文档格式。

立即体验