• 文献检索
  • 文档翻译
  • 深度研究
  • 学术资讯
  • Suppr Zotero 插件Zotero 插件
  • 邀请有礼
  • 套餐&价格
  • 历史记录
应用&插件
Suppr Zotero 插件Zotero 插件浏览器插件Mac 客户端Windows 客户端微信小程序
定价
高级版会员购买积分包购买API积分包
服务
文献检索文档翻译深度研究API 文档MCP 服务
关于我们
关于 Suppr公司介绍联系我们用户协议隐私条款
关注我们

Suppr 超能文献

核心技术专利:CN118964589B侵权必究
粤ICP备2023148730 号-1Suppr @ 2026

文献检索

告别复杂PubMed语法,用中文像聊天一样搜索,搜遍4000万医学文献。AI智能推荐,让科研检索更轻松。

立即免费搜索

文件翻译

保留排版,准确专业,支持PDF/Word/PPT等文件格式,支持 12+语言互译。

免费翻译文档

深度研究

AI帮你快速写综述,25分钟生成高质量综述,智能提取关键信息,辅助科研写作。

立即免费体验

使用布朗尼蝴蝶算法优化的轻量级深度特征在肺部CT切片中检测COVID-19

COVID-19 detection in lung CT slices using Brownian-butterfly-algorithm optimized lightweight deep features.

作者信息

Rajinikanth Venkatesan, Biju Roshima, Mittal Nitin, Mittal Vikas, Askar S S, Abouhawwash Mohamed

机构信息

Department of Computer Science and Engineering, Division of Research and Innovation, Saveetha School of Engineering, Saveetha Institute of Medical and Technical Sciences, Chennai, 602105, Tamil Nadu, India.

Department of Computer Science Engineering, Parul University, Vadodara, 391760, Gujarat, India.

出版信息

Heliyon. 2024 Mar 2;10(5):e27509. doi: 10.1016/j.heliyon.2024.e27509. eCollection 2024 Mar 15.

DOI:10.1016/j.heliyon.2024.e27509
PMID:38468955
原文链接:https://pmc.ncbi.nlm.nih.gov/articles/PMC10926136/
Abstract

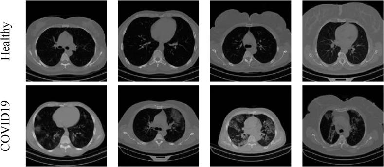
Several deep-learning assisted disease assessment schemes (DAS) have been proposed to enhance accurate detection of COVID-19, a critical medical emergency, through the analysis of clinical data. Lung imaging, particularly from CT scans, plays a pivotal role in identifying and assessing the severity of COVID-19 infections. Existing automated methods leveraging deep learning contribute significantly to reducing the diagnostic burden associated with this process. This research aims in developing a simple DAS for COVID-19 detection using the pre-trained lightweight deep learning methods (LDMs) applied to lung CT slices. The use of LDMs contributes to a less complex yet highly accurate detection system. The key stages of the developed DAS include image collection and initial processing using Shannon's thresholding, deep-feature mining supported by LDMs, feature optimization utilizing the Brownian Butterfly Algorithm (BBA), and binary classification through three-fold cross-validation. The performance evaluation of the proposed scheme involves assessing individual, fused, and ensemble features. The investigation reveals that the developed DAS achieves a detection accuracy of 93.80% with individual features, 96% accuracy with fused features, and an impressive 99.10% accuracy with ensemble features. These outcomes affirm the effectiveness of the proposed scheme in significantly enhancing COVID-19 detection accuracy in the chosen lung CT database.

摘要

为了通过临床数据分析更准确地检测新型冠状病毒肺炎(COVID-19)这一重大医疗急症,已经提出了几种深度学习辅助疾病评估方案(DAS)。肺部成像,尤其是CT扫描成像,在识别和评估COVID-19感染的严重程度方面起着关键作用。现有的利用深度学习的自动化方法对减轻这一过程中的诊断负担有很大帮助。本研究旨在开发一种简单的DAS,用于使用应用于肺部CT切片的预训练轻量级深度学习方法(LDM)检测COVID-19。LDM的使用有助于构建一个不太复杂但高度准确的检测系统。所开发的DAS的关键阶段包括使用香农阈值法进行图像采集和初始处理、由LDM支持的深度特征挖掘、利用布朗蝴蝶算法(BBA)进行特征优化以及通过三倍交叉验证进行二元分类。对所提出方案的性能评估包括评估单个特征、融合特征和整体特征。调查显示,所开发的DAS使用单个特征时检测准确率达到93.80%,使用融合特征时准确率为96%,使用整体特征时准确率高达99.10%。这些结果证实了所提出方案在显著提高所选肺部CT数据库中COVID-19检测准确率方面的有效性。

https://cdn.ncbi.nlm.nih.gov/pmc/blobs/262d/10926136/3cf7098ae478/gr11.jpg
https://cdn.ncbi.nlm.nih.gov/pmc/blobs/262d/10926136/c65cdf89f003/gr1.jpg
https://cdn.ncbi.nlm.nih.gov/pmc/blobs/262d/10926136/676308d975ea/gr2.jpg
https://cdn.ncbi.nlm.nih.gov/pmc/blobs/262d/10926136/85ff6e60d9ad/gr3.jpg
https://cdn.ncbi.nlm.nih.gov/pmc/blobs/262d/10926136/b8dcaaddc342/gr4.jpg
https://cdn.ncbi.nlm.nih.gov/pmc/blobs/262d/10926136/c1e702c21e5f/gr5.jpg
https://cdn.ncbi.nlm.nih.gov/pmc/blobs/262d/10926136/890c4551847e/gr6.jpg
https://cdn.ncbi.nlm.nih.gov/pmc/blobs/262d/10926136/2ce407e80771/gr7.jpg
https://cdn.ncbi.nlm.nih.gov/pmc/blobs/262d/10926136/384de362800e/gr8.jpg
https://cdn.ncbi.nlm.nih.gov/pmc/blobs/262d/10926136/97c243a58760/gr9.jpg
https://cdn.ncbi.nlm.nih.gov/pmc/blobs/262d/10926136/0c2ce69317af/gr10.jpg
https://cdn.ncbi.nlm.nih.gov/pmc/blobs/262d/10926136/3cf7098ae478/gr11.jpg
https://cdn.ncbi.nlm.nih.gov/pmc/blobs/262d/10926136/c65cdf89f003/gr1.jpg
https://cdn.ncbi.nlm.nih.gov/pmc/blobs/262d/10926136/676308d975ea/gr2.jpg
https://cdn.ncbi.nlm.nih.gov/pmc/blobs/262d/10926136/85ff6e60d9ad/gr3.jpg
https://cdn.ncbi.nlm.nih.gov/pmc/blobs/262d/10926136/b8dcaaddc342/gr4.jpg
https://cdn.ncbi.nlm.nih.gov/pmc/blobs/262d/10926136/c1e702c21e5f/gr5.jpg
https://cdn.ncbi.nlm.nih.gov/pmc/blobs/262d/10926136/890c4551847e/gr6.jpg
https://cdn.ncbi.nlm.nih.gov/pmc/blobs/262d/10926136/2ce407e80771/gr7.jpg
https://cdn.ncbi.nlm.nih.gov/pmc/blobs/262d/10926136/384de362800e/gr8.jpg
https://cdn.ncbi.nlm.nih.gov/pmc/blobs/262d/10926136/97c243a58760/gr9.jpg
https://cdn.ncbi.nlm.nih.gov/pmc/blobs/262d/10926136/0c2ce69317af/gr10.jpg
https://cdn.ncbi.nlm.nih.gov/pmc/blobs/262d/10926136/3cf7098ae478/gr11.jpg

相似文献

1
COVID-19 detection in lung CT slices using Brownian-butterfly-algorithm optimized lightweight deep features.使用布朗尼蝴蝶算法优化的轻量级深度特征在肺部CT切片中检测COVID-19
Heliyon. 2024 Mar 2;10(5):e27509. doi: 10.1016/j.heliyon.2024.e27509. eCollection 2024 Mar 15.
2
Brain Tumor Class Detection in Flair/T2 Modality MRI Slices Using Elephant-Herd Algorithm Optimized Features.使用象群算法优化特征的Flair/T2模态MRI切片中的脑肿瘤类别检测
Diagnostics (Basel). 2023 May 23;13(11):1832. doi: 10.3390/diagnostics13111832.
3
A framework to distinguish healthy/cancer renal CT images using the fused deep features.利用融合的深度特征区分健康/癌症肾脏 CT 图像的框架。
Front Public Health. 2023 Jan 30;11:1109236. doi: 10.3389/fpubh.2023.1109236. eCollection 2023.
4
An automated diagnosis and classification of COVID-19 from chest CT images using a transfer learning-based convolutional neural network.利用基于迁移学习的卷积神经网络对 chest CT 图像进行 COVID-19 的自动诊断和分类。
Comput Biol Med. 2022 May;144:105383. doi: 10.1016/j.compbiomed.2022.105383. Epub 2022 Mar 10.
5
A novel adaptive cubic quasi-Newton optimizer for deep learning based medical image analysis tasks, validated on detection of COVID-19 and segmentation for COVID-19 lung infection, liver tumor, and optic disc/cup.一种用于深度学习的新型自适应三次拟牛顿优化器,在 COVID-19 检测和 COVID-19 肺部感染、肝脏肿瘤以及视盘/杯分割等医学图像分析任务中得到验证。
Med Phys. 2023 Mar;50(3):1528-1538. doi: 10.1002/mp.15969. Epub 2022 Oct 6.
6
Colon histology slide classification with deep-learning framework using individual and fused features.基于个体特征和融合特征的深度学习框架对结肠组织学幻灯片分类。
Math Biosci Eng. 2023 Oct 20;20(11):19454-19467. doi: 10.3934/mbe.2023861.
7
A deep ensemble learning-based automated detection of COVID-19 using lung CT images and Vision Transformer and ConvNeXt.一种基于深度集成学习的使用肺部CT图像、视觉Transformer和卷积神经网络(ConvNeXt)自动检测新冠病毒(COVID-19)的方法。
Front Microbiol. 2022 Nov 4;13:1024104. doi: 10.3389/fmicb.2022.1024104. eCollection 2022.
8
A wavelet-based deep learning pipeline for efficient COVID-19 diagnosis via CT slices.一种基于小波的深度学习管道,用于通过CT切片高效诊断新冠肺炎。
Appl Soft Comput. 2022 Oct;128:109401. doi: 10.1016/j.asoc.2022.109401. Epub 2022 Jul 29.
9
Remora Namib Beetle Optimization Enabled Deep Learning for Severity of COVID-19 Lung Infection Identification and Classification Using CT Images.利用 CT 图像对 COVID-19 肺部感染严重程度进行识别和分类的 Remora Namib 甲虫优化深度学习
Sensors (Basel). 2023 Jun 3;23(11):5316. doi: 10.3390/s23115316.
10
Tuberculosis detection in chest X-ray using Mayfly-algorithm optimized dual-deep-learning features.使用蜉蝣算法优化的双深度学习特征进行胸部X光片中的肺结核检测。
J Xray Sci Technol. 2021;29(6):961-974. doi: 10.3233/XST-210976.

引用本文的文献

1
Autoimmune gastritis detection from preprocessed endoscopy images using deep transfer learning and moth flame optimization.基于深度迁移学习和蛾火焰优化算法从预处理后的内镜图像中检测自身免疫性胃炎
Sci Rep. 2025 Jul 10;15(1):24940. doi: 10.1038/s41598-025-08249-y.

本文引用的文献

1
RETRACTED ARTICLE: SCTV-UNet: a COVID-19 CT segmentation network based on attention mechanism.撤回文章:SCTV-UNet:一种基于注意力机制的新冠肺炎CT分割网络。
Soft comput. 2023 Mar 21;28(Suppl 2):473. doi: 10.1007/s00500-023-07991-7. Print 2024 Dec.
2
ACSN: Attention capsule sampling network for diagnosing COVID-19 based on chest CT scans.ACSN:基于胸部 CT 扫描的 COVID-19 诊断用注意胶囊采样网络。
Comput Biol Med. 2023 Feb;153:106338. doi: 10.1016/j.compbiomed.2022.106338. Epub 2022 Nov 22.
3
A MobileNet-based CNN model with a novel fine-tuning mechanism for COVID-19 infection detection.
一种基于MobileNet的卷积神经网络模型,具有用于新冠病毒感染检测的新型微调机制。
Soft comput. 2023;27(9):5521-5535. doi: 10.1007/s00500-022-07798-y. Epub 2023 Jan 4.
4
A Light Deep Learning Algorithm for CT Diagnosis of COVID-19 Pneumonia.一种用于COVID-19肺炎CT诊断的轻量级深度学习算法。
Diagnostics (Basel). 2022 Jun 23;12(7):1527. doi: 10.3390/diagnostics12071527.
5
A deep fuzzy model for diagnosis of COVID-19 from CT images.一种用于从CT图像诊断新冠肺炎的深度模糊模型。
Appl Soft Comput. 2022 Jun;122:108883. doi: 10.1016/j.asoc.2022.108883. Epub 2022 Apr 22.
6
A lightweight capsule network architecture for detection of COVID-19 from lung CT scans.一种用于从肺部CT扫描中检测新型冠状病毒肺炎的轻量级胶囊网络架构。
Int J Imaging Syst Technol. 2022 Mar;32(2):419-434. doi: 10.1002/ima.22706. Epub 2022 Jan 29.
7
Detecting COVID-19 from chest computed tomography scans using AI-driven android application.使用人工智能驱动的安卓应用程序从胸部计算机断层扫描中检测新型冠状病毒肺炎。
Comput Biol Med. 2022 Apr;143:105298. doi: 10.1016/j.compbiomed.2022.105298. Epub 2022 Feb 20.
8
A review of deep learning-based detection methods for COVID-19.基于深度学习的新型冠状病毒肺炎检测方法综述
Comput Biol Med. 2022 Apr;143:105233. doi: 10.1016/j.compbiomed.2022.105233. Epub 2022 Jan 29.
9
The screening value of RT-LAMP and RT-PCR in the diagnosis of COVID-19: systematic review and meta-analysis.RT-LAMP 和 RT-PCR 在 COVID-19 诊断中的筛查价值:系统评价和荟萃分析。
J Virol Methods. 2022 Feb;300:114392. doi: 10.1016/j.jviromet.2021.114392. Epub 2021 Nov 29.
10
Deep neural network to detect COVID-19: one architecture for both CT Scans and Chest X-rays.用于检测新冠肺炎的深度神经网络:一种适用于CT扫描和胸部X光片的架构。
Appl Intell (Dordr). 2021;51(5):2777-2789. doi: 10.1007/s10489-020-01943-6. Epub 2020 Nov 6.