Suppr超能文献

添加或未添加海藻的商品蛋鸡中紧密连接蛋白表达水平的变化而非分布情况,白壳蛋鸡和褐壳蛋鸡均如此。

Changes in Tight Junction Protein Expression Levels but Not Distribution in Commercial White and Brown Laying Hens Supplemented with or Seaweed.

作者信息

MacLaren Leslie A, Wang Jingyi, Borzouie Shima, Rathgeber Bruce M

机构信息

Department of Animal Science & Aquaculture, Dalhousie University, Truro, NS B2N 5E3, Canada.

出版信息

Animals (Basel). 2024 Mar 1;14(5):777. doi: 10.3390/ani14050777.

Abstract

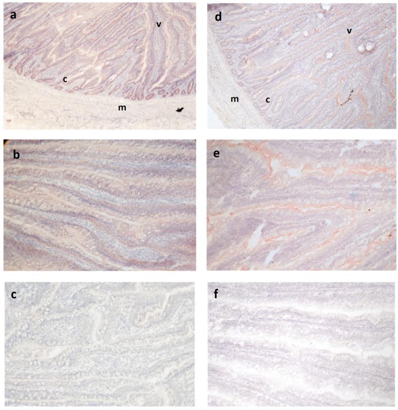
It is proposed that prebiotic diet supplements improve intestinal function, in part by improving the barrier function of the intestinal epithelium with an associated increase in the expression of tight junction proteins, including occludin and zonula occludens-1 (ZO-1). We examined the expression of these proteins in two strains of laying hens (Lohman LSL-lite (White) and Lohman Brown-lite (Brown)) who were supplemented or not with 3% or 0.5% seaweeds from 31 to 72 weeks of age. Occludin was localized to the lateral surfaces and across the intestinal epithelium in all animals. Reactivity for ZO-1 was concentrated at the apicolateral epithelial cell membrane border. Mood's median test indicated that White hens may express more occludin in villus epithelium (median intensity 3.5 vs. 2.5 in Brown hens, = 0.06) but less ZO-1 in the deep cryptal epithelium (median intensity 1.5 vs. 2.5 in Brown hens, = 0.06). Western blotting also showed higher levels of occludin in White than Brown hens ( < 0.05). A decrease in ZO-1 Western blot expression was associated with supplementation in comparison to controls ( < 0.05), but not with supplementation ( > 0.05). In conclusion, genetic strain and dietary seaweed supplements affect tight junction regulatory protein expression levels but do not impact the anatomical distribution, as seen in cryosections.

摘要

有人提出,益生元饮食补充剂可改善肠道功能,部分原因是通过改善肠上皮的屏障功能,同时紧密连接蛋白(包括闭合蛋白和闭合小带蛋白1(ZO-1))的表达相应增加。我们检测了两株蛋鸡(罗曼LSL-轻型(白色)和罗曼褐-轻型(褐色))中这些蛋白的表达,这两株蛋鸡在31至72周龄期间分别补充或未补充3%或0.5%的海藻。在所有动物中,闭合蛋白定位于肠上皮的侧面并贯穿肠上皮。ZO-1的反应性集中在顶端外侧上皮细胞膜边界。穆德中位数检验表明,白色蛋鸡在绒毛上皮中可能表达更多的闭合蛋白(中位数强度为3.5,而褐色蛋鸡为2.5,P = 0.06),但在深部隐窝上皮中表达的ZO-1较少(中位数强度为1.5,而褐色蛋鸡为2.5,P = 0.06)。蛋白质印迹法也显示白色蛋鸡中的闭合蛋白水平高于褐色蛋鸡(P<0.05)。与对照组相比,ZO-1蛋白质印迹表达的降低与补充0.5%海藻有关(P<0.05),但与补充3%海藻无关(P>0.05)。总之,遗传品系和日粮海藻补充剂会影响紧密连接调节蛋白的表达水平,但不会影响冰冻切片中所见的解剖分布。

https://cdn.ncbi.nlm.nih.gov/pmc/blobs/f487/10931303/9cc5f788fe97/animals-14-00777-g001.jpg

文献AI研究员

20分钟写一篇综述,助力文献阅读效率提升50倍。

立即体验

用中文搜PubMed

大模型驱动的PubMed中文搜索引擎

马上搜索

文档翻译

学术文献翻译模型,支持多种主流文档格式。

立即体验