Suppr超能文献

血清素对人诱导多能干细胞衍生神经细胞功能的影响:从线粒体到抑郁症。

Serotonin effects on human iPSC-derived neural cell functions: from mitochondria to depression.

机构信息

Department of Psychiatry and Psychotherapy, University of Regensburg, 93053, Regensburg, Germany.

出版信息

Mol Psychiatry. 2024 Sep;29(9):2689-2700. doi: 10.1038/s41380-024-02538-0. Epub 2024 Mar 26.

Abstract

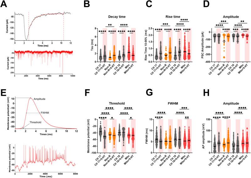
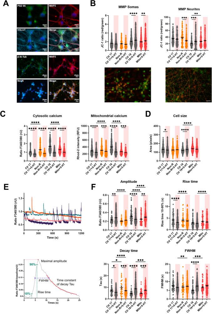
Depression's link to serotonin dysregulation is well-known. The monoamine theory posits that depression results from impaired serotonin activity, leading to the development of antidepressants targeting serotonin levels. However, their limited efficacy suggests a more complex cause. Recent studies highlight mitochondria as key players in depression's pathophysiology. Mounting evidence indicates that mitochondrial dysfunction significantly correlates with major depressive disorder (MDD), underscoring its pivotal role in depression. Exploring the serotonin-mitochondrial connection, our study investigated the effects of chronic serotonin treatment on induced-pluripotent stem cell-derived astrocytes and neurons from healthy controls and two case study patients. One was a patient with antidepressant non-responding MDD ("Non-R") and another had a non-genetic mitochondrial disorder ("Mito"). The results revealed that serotonin altered the expression of genes related to mitochondrial function and dynamics in neurons and had an equalizing effect on calcium homeostasis in astrocytes, while ATP levels seemed increased. Serotonin significantly decreased cytosolic and mitochondrial calcium in neurons. Electrophysiological measurements evidenced that serotonin depolarized the resting membrane potential, increased both sodium and potassium current density and ultimately improved the overall excitability of neurons. Specifically, neurons from the Non-R patient appeared responsive to serotonin in vitro, which seemed to improve neurotransmission. While it is unclear how this translates to the systemic level and AD resistance mechanisms are not fully elucidated, our observations show that despite his treatment resistance, this patient's cortical neurons are responsive to serotonergic signals. In the Mito patient, evidence suggested that serotonin, by increasing excitability, exacerbated an existing hyperexcitability highlighting the importance of considering mitochondrial disorders in patients with MDD, and avoiding serotonin-increasing medication. Taken together, our findings suggested that serotonin positively affects calcium homeostasis in astrocytes and increases neuronal excitability. The latter effect must be considered carefully, as it could have beneficial or detrimental implications based on individual pathologies.

摘要

抑郁症与血清素失调的关系是众所周知的。单胺理论认为,抑郁症是由于血清素活性受损导致的,这导致了针对血清素水平的抗抑郁药物的发展。然而,它们的有限疗效表明存在更复杂的原因。最近的研究强调了线粒体在抑郁症病理生理学中的关键作用。越来越多的证据表明,线粒体功能障碍与重度抑郁症(MDD)显著相关,突显了其在抑郁症中的关键作用。为了探索血清素-线粒体的联系,我们的研究调查了慢性血清素治疗对来自健康对照和两名病例研究患者的诱导多能干细胞衍生的星形胶质细胞和神经元的影响。其中一名患者是抗抑郁药治疗无反应的 MDD(“Non-R”)患者,另一名患者患有非遗传性线粒体疾病(“Mito”)。结果表明,血清素改变了神经元中线粒体功能和动力学相关基因的表达,并在星形胶质细胞中对钙稳态具有均衡作用,同时似乎增加了 ATP 水平。血清素显著降低了神经元中的细胞质和线粒体钙。电生理测量结果表明,血清素使静息膜电位去极化,增加了钠电流和钾电流密度,最终改善了神经元的整体兴奋性。具体而言,来自 Non-R 患者的神经元在体外对血清素表现出反应性,这似乎改善了神经传递。虽然目前尚不清楚这如何转化为系统水平,并且抗 AD 机制尚未完全阐明,但我们的观察结果表明,尽管该患者存在治疗抵抗,但他的皮质神经元对血清素信号有反应。在 Mito 患者中,证据表明,血清素通过增加兴奋性,加剧了现有的过度兴奋,这突出了在 MDD 患者中考虑线粒体疾病的重要性,并避免使用增加血清素的药物。总之,我们的研究结果表明,血清素积极影响星形胶质细胞中的钙稳态,并增加神经元的兴奋性。必须仔细考虑后者的影响,因为它可能基于个体病理而产生有益或有害的影响。

https://cdn.ncbi.nlm.nih.gov/pmc/blobs/3e99/11420088/ae013759d70e/41380_2024_2538_Fig1_HTML.jpg

文献检索

告别复杂PubMed语法,用中文像聊天一样搜索,搜遍4000万医学文献。AI智能推荐,让科研检索更轻松。

立即免费搜索

文件翻译

保留排版,准确专业,支持PDF/Word/PPT等文件格式,支持 12+语言互译。

免费翻译文档

深度研究

AI帮你快速写综述,25分钟生成高质量综述,智能提取关键信息,辅助科研写作。

立即免费体验