• 文献检索
  • 文档翻译
  • 深度研究
  • 学术资讯
  • Suppr Zotero 插件Zotero 插件
  • 邀请有礼
  • 套餐&价格
  • 历史记录
应用&插件
Suppr Zotero 插件Zotero 插件浏览器插件Mac 客户端Windows 客户端微信小程序
定价
高级版会员购买积分包购买API积分包
服务
文献检索文档翻译深度研究API 文档MCP 服务
关于我们
关于 Suppr公司介绍联系我们用户协议隐私条款
关注我们

Suppr 超能文献

核心技术专利:CN118964589B侵权必究
粤ICP备2023148730 号-1Suppr @ 2026

文献检索

告别复杂PubMed语法,用中文像聊天一样搜索,搜遍4000万医学文献。AI智能推荐,让科研检索更轻松。

立即免费搜索

文件翻译

保留排版,准确专业,支持PDF/Word/PPT等文件格式,支持 12+语言互译。

免费翻译文档

深度研究

AI帮你快速写综述,25分钟生成高质量综述,智能提取关键信息,辅助科研写作。

立即免费体验

癌相关成纤维细胞分泌 FGF5 以抑制铁死亡从而降低鼻咽癌对顺铂的敏感性,其机制与 FGFR2 结合有关。

Cancer-associated fibroblasts secrete FGF5 to inhibit ferroptosis to decrease cisplatin sensitivity in nasopharyngeal carcinoma through binding to FGFR2.

机构信息

Hunan Key Laboratory of Translational Radiation Oncology, Hunan Cancer Hospital and the Affiliated Cancer Hospital of Xiangya School of Medicine, Central South University, Changsha, 410013, Hunan Province, P. R. China.

The Animal Laboratory Center, Hunan Cancer Hospital and the Affiliated Cancer Hospital of Xiangya School of Medicine, Central South University, Changsha, 410013, Hunan Province, P. R. China.

出版信息

Cell Death Dis. 2024 Apr 18;15(4):279. doi: 10.1038/s41419-024-06671-0.

DOI:10.1038/s41419-024-06671-0
PMID:38637504
原文链接:https://pmc.ncbi.nlm.nih.gov/articles/PMC11026472/
Abstract

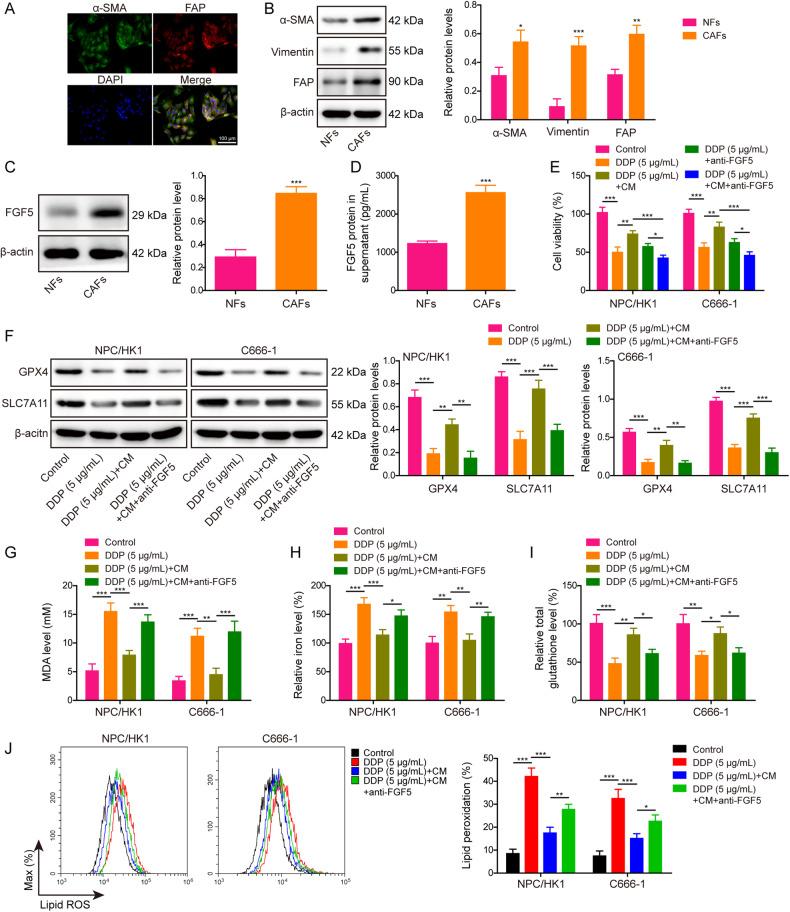
Cisplatin (DDP)-based chemoradiotherapy is one of the standard treatments for nasopharyngeal carcinoma (NPC). However, the sensitivity and side effects of DDP to patients remain major obstacles for NPC treatment. This research aimed to study DDP sensitivity regulated by cancer-associated fibroblasts (CAFs) through modulating ferroptosis. We demonstrated that DDP triggered ferroptosis in NPC cells, and it inhibited tumor growth via inducing ferroptosis in xenograft model. CAFs secreted high level of FGF5, thus inhibiting DDP-induced ferroptosis in NPC cells. Mechanistically, FGF5 secreted by CAFs directly bound to FGFR2 in NPC cells, leading to the activation of Keap1/Nrf2/HO-1 signaling. Rescued experiments indicated that FGFR2 overexpression inhibited DDP-induced ferroptosis, and CAFs protected against DDP-induced ferroptosis via FGF5/FGFR2 axis in NPC cells. In vivo data further showed the protective effects of FGF5 on DDP-triggered ferroptosis in NPC xenograft model. In conclusion, CAFs inhibited ferroptosis to decrease DDP sensitivity in NPC through secreting FGF5 and activating downstream FGFR2/Nrf2 signaling. The therapeutic strategy targeting FGF5/FGFR2 axis from CAFs might augment DDP sensitivity, thus decreasing the side effects of DDP in NPC treatment.

摘要

顺铂(DDP)为基础的放化疗是鼻咽癌(NPC)的标准治疗方法之一。然而,DDP 对患者的敏感性和副作用仍然是 NPC 治疗的主要障碍。本研究旨在通过调节铁死亡研究癌症相关成纤维细胞(CAFs)调节 DDP 敏感性。我们表明 DDP 触发 NPC 细胞中的铁死亡,并通过在异种移植模型中诱导铁死亡来抑制肿瘤生长。CAFs 分泌高水平的 FGF5,从而抑制 NPC 细胞中 DDP 诱导的铁死亡。在机制上,CAFs 分泌的 FGF5 直接与 NPC 细胞中的 FGFR2 结合,导致 Keap1/Nrf2/HO-1 信号通路的激活。挽救实验表明,FGFR2 过表达抑制了 DDP 诱导的铁死亡,并且 CAFs 通过 FGF5/FGFR2 轴在 NPC 细胞中保护免受 DDP 诱导的铁死亡。体内数据进一步显示了 FGF5 在 NPC 异种移植模型中对 DDP 触发的铁死亡的保护作用。总之,CAFs 通过分泌 FGF5 并激活下游 FGFR2/Nrf2 信号来抑制铁死亡,从而降低 NPC 中 DDP 的敏感性。针对 CAFs 中 FGF5/FGFR2 轴的治疗策略可能会增强 DDP 的敏感性,从而降低 NPC 治疗中 DDP 的副作用。

https://cdn.ncbi.nlm.nih.gov/pmc/blobs/17ef/11026472/71fd25c6b741/41419_2024_6671_Fig8_HTML.jpg
https://cdn.ncbi.nlm.nih.gov/pmc/blobs/17ef/11026472/95551e132791/41419_2024_6671_Fig1_HTML.jpg
https://cdn.ncbi.nlm.nih.gov/pmc/blobs/17ef/11026472/8bcc10ab4eca/41419_2024_6671_Fig2_HTML.jpg
https://cdn.ncbi.nlm.nih.gov/pmc/blobs/17ef/11026472/840692115730/41419_2024_6671_Fig3_HTML.jpg
https://cdn.ncbi.nlm.nih.gov/pmc/blobs/17ef/11026472/1be4a3e73669/41419_2024_6671_Fig4_HTML.jpg
https://cdn.ncbi.nlm.nih.gov/pmc/blobs/17ef/11026472/05f7b8f1dec6/41419_2024_6671_Fig5_HTML.jpg
https://cdn.ncbi.nlm.nih.gov/pmc/blobs/17ef/11026472/308c6df370f2/41419_2024_6671_Fig6_HTML.jpg
https://cdn.ncbi.nlm.nih.gov/pmc/blobs/17ef/11026472/2cb643f66995/41419_2024_6671_Fig7_HTML.jpg
https://cdn.ncbi.nlm.nih.gov/pmc/blobs/17ef/11026472/71fd25c6b741/41419_2024_6671_Fig8_HTML.jpg
https://cdn.ncbi.nlm.nih.gov/pmc/blobs/17ef/11026472/95551e132791/41419_2024_6671_Fig1_HTML.jpg
https://cdn.ncbi.nlm.nih.gov/pmc/blobs/17ef/11026472/8bcc10ab4eca/41419_2024_6671_Fig2_HTML.jpg
https://cdn.ncbi.nlm.nih.gov/pmc/blobs/17ef/11026472/840692115730/41419_2024_6671_Fig3_HTML.jpg
https://cdn.ncbi.nlm.nih.gov/pmc/blobs/17ef/11026472/1be4a3e73669/41419_2024_6671_Fig4_HTML.jpg
https://cdn.ncbi.nlm.nih.gov/pmc/blobs/17ef/11026472/05f7b8f1dec6/41419_2024_6671_Fig5_HTML.jpg
https://cdn.ncbi.nlm.nih.gov/pmc/blobs/17ef/11026472/308c6df370f2/41419_2024_6671_Fig6_HTML.jpg
https://cdn.ncbi.nlm.nih.gov/pmc/blobs/17ef/11026472/2cb643f66995/41419_2024_6671_Fig7_HTML.jpg
https://cdn.ncbi.nlm.nih.gov/pmc/blobs/17ef/11026472/71fd25c6b741/41419_2024_6671_Fig8_HTML.jpg

相似文献

1
Cancer-associated fibroblasts secrete FGF5 to inhibit ferroptosis to decrease cisplatin sensitivity in nasopharyngeal carcinoma through binding to FGFR2.癌相关成纤维细胞分泌 FGF5 以抑制铁死亡从而降低鼻咽癌对顺铂的敏感性,其机制与 FGFR2 结合有关。
Cell Death Dis. 2024 Apr 18;15(4):279. doi: 10.1038/s41419-024-06671-0.
2
The efficacy of cisplatin on nasopharyngeal carcinoma cells may be increased via the downregulation of fibroblast growth factor receptor 2.顺铂通过下调成纤维细胞生长因子受体 2 可能增加对鼻咽癌细胞的疗效。
Int J Mol Med. 2019 Jul;44(1):57-66. doi: 10.3892/ijmm.2019.4193. Epub 2019 May 10.
3
Induction of ferroptosis by ATF3 elevation alleviates cisplatin resistance in gastric cancer by restraining Nrf2/Keap1/xCT signaling.激活转录因子 3(ATF3)诱导铁死亡可通过抑制核因子红细胞 2 相关因子 2(Nrf2)/Kelch 样环氧氯丙烷相关蛋白 1(Keap1)/胱氨酸谷氨酸转运蛋白(xCT)信号通路缓解胃癌顺铂耐药。
Cell Mol Biol Lett. 2021 Jun 7;26(1):26. doi: 10.1186/s11658-021-00271-y.
4
PRMT4 Reduced Erastin-Induced Ferroptosis in Nasopharyngeal Carcinoma Cisplatin-Resistant Cells by Nrf2/GPX4 Pathway.PRMT4 通过 Nrf2/GPX4 通路减少鼻咽癌顺铂耐药细胞中铁死亡。
J Environ Pathol Toxicol Oncol. 2025;44(1):57-71. doi: 10.1615/JEnvironPatholToxicolOncol.2024053754.
5
Capsaicin enhances cisplatin-induced anti-metastasis of nasopharyngeal carcinoma by inhibiting EMT and ERK signaling via serpin family B member 2.辣椒素通过丝氨酸蛋白酶抑制剂家族B成员2抑制上皮-间质转化和ERK信号通路,增强顺铂诱导的鼻咽癌抗转移作用。
Carcinogenesis. 2024 Aug 12;45(8):556-568. doi: 10.1093/carcin/bgae032.
6
MiRNA-296-5p promotes the sensitivity of nasopharyngeal carcinoma cells to cisplatin via targeted inhibition of STAT3/KLF4 signaling axis.miRNA-296-5p 通过靶向抑制 STAT3/KLF4 信号轴促进鼻咽癌细胞对顺铂的敏感性。
Sci Rep. 2024 Mar 20;14(1):6681. doi: 10.1038/s41598-024-55123-4.
7
Circular RNA SET domain protein 3 promotes nasopharyngeal carcinoma proliferation, cisplatin resistance, and protein kinase B / mammalian target of rapamycin pathway activation by modulating microRNA-147a expression.环状 RNA SET 结构域蛋白 3 通过调节 microRNA-147a 的表达促进鼻咽癌增殖、顺铂耐药和蛋白激酶 B/哺乳动物雷帕霉素靶蛋白通路的激活。
Bioengineered. 2022 Mar;13(3):5843-5854. doi: 10.1080/21655979.2022.2036907.
8
Baicalin promotes the sensitivity of NSCLC to cisplatin by regulating ferritinophagy and macrophage immunity through the KEAP1-NRF2/HO-1 pathway.黄芩通过 KEAP1-NRF2/HO-1 通路调控铁蛋白自噬和巨噬细胞免疫促进非小细胞肺癌对顺铂的敏感性。
Eur J Med Res. 2024 Jul 26;29(1):387. doi: 10.1186/s40001-024-01930-4.
9
Multi-Omics Characterization of Genome-Wide Abnormal DNA Methylation Reveals FGF5 as a Diagnosis of Nasopharyngeal Carcinoma Recurrence After Radiotherapy.全基因组异常DNA甲基化的多组学特征揭示FGF5可作为鼻咽癌放疗后复发的诊断指标。
Biomolecules. 2025 Feb 14;15(2):283. doi: 10.3390/biom15020283.
10
Melatonin reverses nasopharyngeal carcinoma cisplatin chemoresistance by inhibiting the Wnt/β-catenin signaling pathway.褪黑素通过抑制 Wnt/β-catenin 信号通路逆转鼻咽癌顺铂耐药。
Aging (Albany NY). 2020 Mar 23;12(6):5423-5438. doi: 10.18632/aging.102968.

引用本文的文献

1
Ferroptosis and Nrf2 Signaling in Head and Neck Cancer: Resistance Mechanisms and Therapeutic Prospects.头颈癌中的铁死亡与Nrf2信号传导:耐药机制与治疗前景
Antioxidants (Basel). 2025 Aug 13;14(8):993. doi: 10.3390/antiox14080993.
2
Heme oxygenase-1 leads to cisplatin resistance in nasopharyngeal carcinoma by reducing oxidative stress and ferroptosis.血红素加氧酶-1通过降低氧化应激和铁死亡导致鼻咽癌顺铂耐药。
Cancer Cell Int. 2025 Aug 11;25(1):302. doi: 10.1186/s12935-025-03908-6.
3
Cancer-associated fibroblasts: dual roles from senescence sentinels to death regulators and new dimensions in therapy.

本文引用的文献

1
Cancer-associated fibroblasts-derived exosome-mediated transfer of miR-345-5p promotes the progression of colorectal cancer by targeting CDKN1A.肿瘤相关成纤维细胞衍生的外泌体介导的 miR-345-5p 的转移通过靶向 CDKN1A 促进结直肠癌的进展。
Carcinogenesis. 2023 Jun 24;44(4):317-327. doi: 10.1093/carcin/bgad014.
2
Truncated FGFR2 is a clinically actionable oncogene in multiple cancers.截短型 FGFR2 是多种癌症中具有临床可操作性的致癌基因。
Nature. 2022 Aug;608(7923):609-617. doi: 10.1038/s41586-022-05066-5. Epub 2022 Aug 10.
3
Final Overall Survival Analysis of Gemcitabine and Cisplatin Induction Chemotherapy in Nasopharyngeal Carcinoma: A Multicenter, Randomized Phase III Trial.
癌症相关成纤维细胞:从衰老哨兵到死亡调节因子的双重作用及治疗新维度
Front Immunol. 2025 Jul 18;16:1635771. doi: 10.3389/fimmu.2025.1635771. eCollection 2025.
4
Ferroptosis in cancer: revealing the multifaceted functions of mitochondria.癌症中的铁死亡:揭示线粒体的多方面功能
Cell Mol Life Sci. 2025 Jul 17;82(1):277. doi: 10.1007/s00018-025-05812-8.
5
Cancer associated fibroblasts in tumors: focusing on solid tumors and hematological malignancies.肿瘤中的癌症相关成纤维细胞:聚焦实体瘤和血液系统恶性肿瘤
Front Oncol. 2025 Jun 23;15:1596947. doi: 10.3389/fonc.2025.1596947. eCollection 2025.
6
Integrating Bulk and Single-Cell Transcriptomics with Machine Learning Reveals a Heme Metabolism-Based Panel for Lung Adenocarcinoma Chemotherapy Resistance.将批量和单细胞转录组学与机器学习相结合,揭示了一种基于血红素代谢的肺腺癌化疗耐药性指标。
Int J Mol Sci. 2025 May 14;26(10):4685. doi: 10.3390/ijms26104685.
7
Solasodine suppresses nasopharyngeal carcinoma progression by inducing ferroptosis.茄解碱通过诱导铁死亡抑制鼻咽癌进展。
Sci Rep. 2025 May 18;15(1):17247. doi: 10.1038/s41598-025-93834-4.
8
Pan-cancer analysis reveals MTTP as a prognostic and immunotherapeutic biomarker in human tumors.泛癌分析揭示MTTP是人类肿瘤中的一种预后和免疫治疗生物标志物。
Front Immunol. 2025 Mar 27;16:1549965. doi: 10.3389/fimmu.2025.1549965. eCollection 2025.
9
O-GlcNAc-modified HOXA9 suppresses ferroptosis via promoting UBR5-mediated SIRT6 degradation in nasopharyngeal carcinoma.O-连接的N-乙酰葡糖胺修饰的HOXA9通过促进鼻咽癌中UBR5介导的SIRT6降解来抑制铁死亡。
Neoplasia. 2025 Apr;62:101142. doi: 10.1016/j.neo.2025.101142. Epub 2025 Mar 12.
10
Multi-Omics Characterization of Genome-Wide Abnormal DNA Methylation Reveals FGF5 as a Diagnosis of Nasopharyngeal Carcinoma Recurrence After Radiotherapy.全基因组异常DNA甲基化的多组学特征揭示FGF5可作为鼻咽癌放疗后复发的诊断指标。
Biomolecules. 2025 Feb 14;15(2):283. doi: 10.3390/biom15020283.
吉西他滨和顺铂诱导化疗治疗鼻咽癌的最终总生存分析:一项多中心、随机 III 期试验。
J Clin Oncol. 2022 Aug 1;40(22):2420-2425. doi: 10.1200/JCO.22.00327. Epub 2022 Jun 16.
4
Comparing the efficacy and safety of cisplatin and other platinum-based chemotherapies in locally advanced nasopharyngeal carcinoma: a systematic review and meta-analysis.比较顺铂和其他铂类化疗药物治疗局部晚期鼻咽癌的疗效和安全性:系统评价和荟萃分析。
BMC Cancer. 2022 Jun 6;22(1):616. doi: 10.1186/s12885-022-09712-z.
5
EBV infection-induced GPX4 promotes chemoresistance and tumor progression in nasopharyngeal carcinoma.EBV 感染诱导的 GPX4 促进鼻咽癌的化疗耐药和肿瘤进展。
Cell Death Differ. 2022 Aug;29(8):1513-1527. doi: 10.1038/s41418-022-00939-8. Epub 2022 Feb 1.
6
FGF/FGFR-Dependent Molecular Mechanisms Underlying Anti-Cancer Drug Resistance.成纤维细胞生长因子/成纤维细胞生长因子受体依赖性分子机制与抗癌药物耐药性
Cancers (Basel). 2021 Nov 18;13(22):5796. doi: 10.3390/cancers13225796.
7
Toward improved human health: Nrf2 plays a critical role in regulating ferroptosis.为了改善人类健康:Nrf2 在调节铁死亡方面发挥着关键作用。
Food Funct. 2021 Oct 19;12(20):9583-9606. doi: 10.1039/d1fo01036k.
8
Exosomal ERp44 derived from ER-stressed cells strengthens cisplatin resistance of nasopharyngeal carcinoma.细胞内质网应激来源的外泌体 ERp44 增强鼻咽癌对顺铂的耐药性。
BMC Cancer. 2021 Sep 8;21(1):1003. doi: 10.1186/s12885-021-08712-9.
9
Ferroptosis: an iron-dependent cell death form linking metabolism, diseases, immune cell and targeted therapy.铁死亡:一种依赖铁的细胞死亡形式,与代谢、疾病、免疫细胞和靶向治疗有关。
Clin Transl Oncol. 2022 Jan;24(1):1-12. doi: 10.1007/s12094-021-02669-8. Epub 2021 Jun 23.
10
Oncogenic viruses and chemoresistance: What do we know?致癌病毒与化疗耐药性:我们了解多少?
Pharmacol Res. 2021 Aug;170:105730. doi: 10.1016/j.phrs.2021.105730. Epub 2021 Jun 11.