Suppr超能文献

子宫内膜异位症,一种常见但神秘的疾病,具有多种表现形式:当前的病理生理学概念和诊断策略。

Endometriosis, a common but enigmatic disease with many faces: current concept of pathophysiology, and diagnostic strategy.

机构信息

Department of Radiology, Tokushima University, 3-18-15, Kuramoto-Cho, Tokushima, 7708503, Japan.

Department of Radiological Technology, Tokushima Bunri University, Sanuki City, ShidoKagawa, 1314-17692193, Japan.

出版信息

Jpn J Radiol. 2024 Aug;42(8):801-819. doi: 10.1007/s11604-024-01569-5. Epub 2024 Apr 25.

Abstract

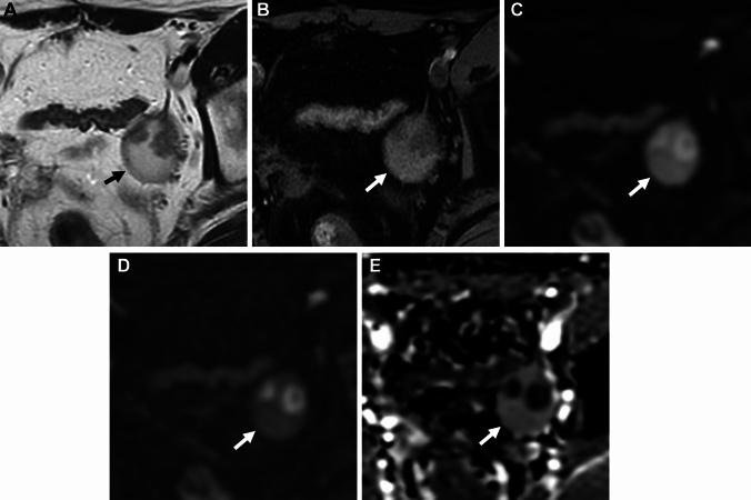
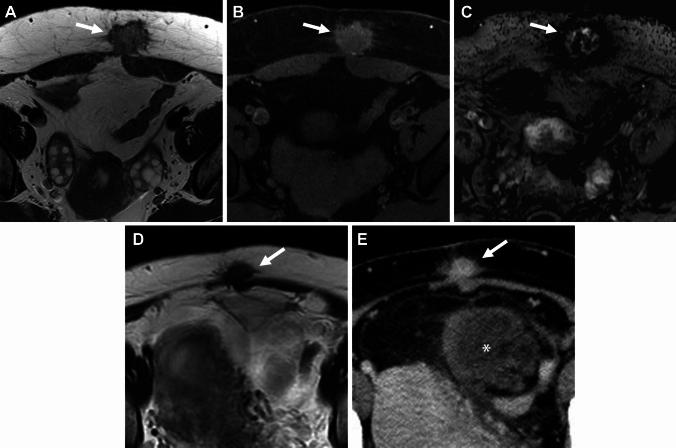
Endometriosis is a benign, common, but controversial disease due to its enigmatic etiopathogenesis and biological behavior. Recent studies suggest multiple genetic, and environmental factors may affect its onset and development. Genomic analysis revealed the presence of cancer-associated gene mutations, which may reflect the neoplastic aspect of endometriosis. The management has changed dramatically with the development of fertility-preserving, minimally invasive therapies. Diagnostic strategies based on these recent basic and clinical findings are reviewed. With a focus on the presentation of clinical cases, we discuss the imaging manifestations of endometriomas, deep endometriosis, less common site and rare site endometriosis, various complications, endometriosis-associated tumor-like lesions, and malignant transformation, with pathophysiologic conditions.

摘要

子宫内膜异位症是一种良性、常见但有争议的疾病,其病因和生物学行为尚不清楚。最近的研究表明,多种遗传和环境因素可能影响其发病和发展。基因组分析显示存在与癌症相关的基因突变,这可能反映了子宫内膜异位症的肿瘤方面。随着生育保护、微创治疗的发展,其治疗方法发生了巨大变化。本文综述了基于这些最近的基础和临床发现的诊断策略。本文重点介绍了临床病例,讨论了子宫内膜异位症囊肿、深部子宫内膜异位症、较少见部位和罕见部位子宫内膜异位症、各种并发症、与子宫内膜异位症相关的肿瘤样病变以及恶性转化的影像学表现,并结合病理生理条件进行了讨论。

https://cdn.ncbi.nlm.nih.gov/pmc/blobs/9f11/11286651/0f7437468771/11604_2024_1569_Fig1_HTML.jpg

文献AI研究员

20分钟写一篇综述,助力文献阅读效率提升50倍。

立即体验

用中文搜PubMed

大模型驱动的PubMed中文搜索引擎

马上搜索

文档翻译

学术文献翻译模型,支持多种主流文档格式。

立即体验