Suppr超能文献

辅助技术在浆液性液体细胞学报告中的作用——“重新定义类别,优化诊断”

Role of Ancillary Techniques in Reporting Serous Fluid Cytology - "Redefining Categories, Refining Diagnosis".

作者信息

Kapoor Shilpa, Samanta Satarupa, Kaur Kanwalpreet

机构信息

Department of Oncopathology, Gujarat Cancer and Research Institute (GCRI), Ahmedabad, Gujarat, India.

出版信息

J Cytol. 2024 Apr-Jun;41(2):96-104. doi: 10.4103/joc.joc_114_23. Epub 2024 Apr 24.

Abstract

BACKGROUND

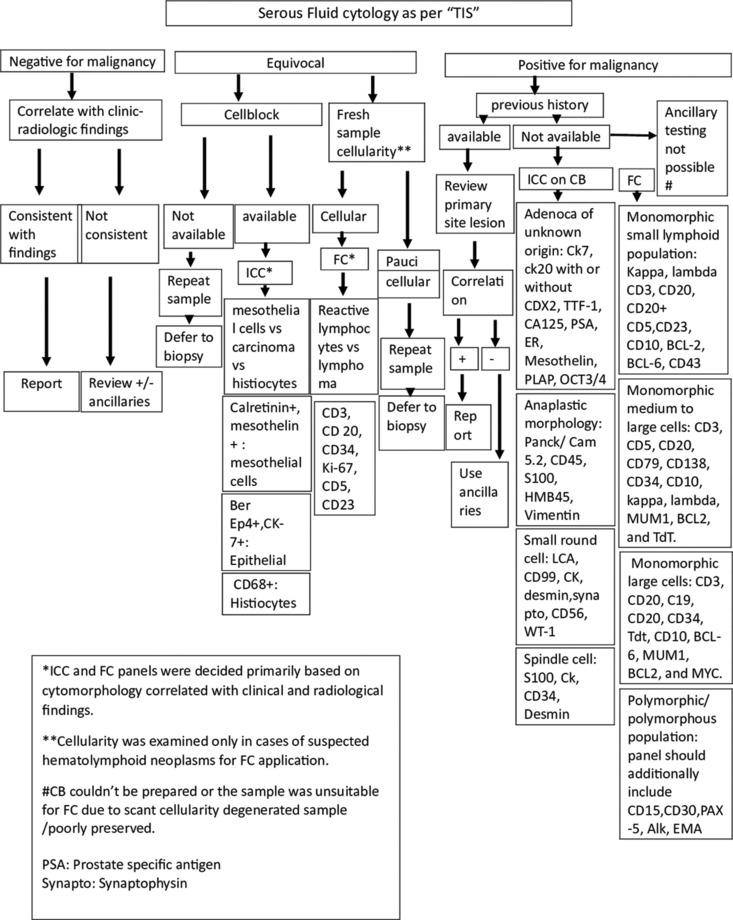
The "International System of Reporting Serous Fluid Cytology (TIS)" together with cytomorphology promotes the use of ancillary techniques to resolve difficulties in reporting serous fluid cytology.

OBJECTIVE

To classify serous effusion fluid samples received at our department in line with "TIS", indicating the risk of malignancy (ROM), and directing appropriate usage of ancillary testing.

MATERIALS AND METHODS

Prospective study carried out from October 2021 to September 2022. The study included all pleural, ascitic, and pericardial fluid samples, reported according to 'TIS'. Flow cytometry and immunocytochemistry were ancillary methods utilized to assist in reporting. Cases with available history and convincing correlations didn't require further assessment.

RESULTS

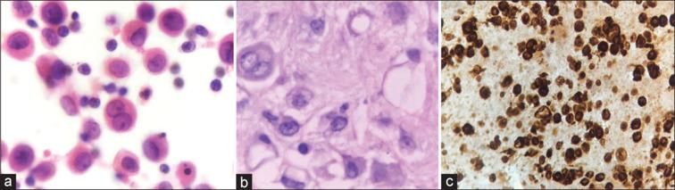
A total of 1200 serous effusion samples were evaluated including 604 pleural, 591 ascitic, and 5 pericardial fluid samples. After categorization, there were 23 samples in non-diagnostic (ND, 1.9%), 575 in negative for malignancy (NFM, 47.91%), 44 in atypia of undetermined significance (AUS, 3.66%), 64 in suspicious for malignancy (SFM, 5.33%), and 494 in malignant category (MAL, 41.16%). Ancillary studies were beneficial in the recategorization of 26% (11/44) AUS cases, 29.6% (19/64) SFM cases, and it helped refine tumor characteristics in 35.42% (175/494) cases categorized as malignant. Final ROM calculated for each category: ND 25%, NFM 18.6%, AUS 66.6%, SFM 88%, and MAL 100%.

CONCLUSION

Serous fluid is an easily obtainable sample that can provide opportunities for ancillary testing with clinical implications. In AUS and suspicious category although, diagnostic yield is increased however, a larger number of cases are required to obtain definite results.

摘要

背景

“国际浆液性液体细胞学报告系统(TIS)”与细胞形态学一起,促进了辅助技术的使用,以解决浆液性液体细胞学报告中的困难。

目的

根据“TIS”对我们科室接收的浆液性积液样本进行分类,指出恶性风险(ROM),并指导辅助检测的合理使用。

材料与方法

2021年10月至2022年9月进行前瞻性研究。该研究包括所有根据“TIS”报告的胸腔、腹腔和心包积液样本。流式细胞术和免疫细胞化学是用于辅助报告的方法。有可用病史且相关性令人信服的病例无需进一步评估。

结果

共评估了1200份浆液性积液样本,包括604份胸腔积液、591份腹腔积液和5份心包积液样本。分类后,有23份样本为非诊断性(ND,1.9%),575份为恶性阴性(NFM,47.91%),44份为意义未明的非典型性(AUS,3.66%),64份为恶性可疑(SFM,5.33%),494份为恶性类别(MAL,41.16%)。辅助研究有助于26%(11/44)的AUS病例、29.6%(19/64)的SFM病例重新分类,并帮助细化35.42%(175/494)分类为恶性的病例的肿瘤特征。为每个类别计算的最终ROM:ND为25%,NFM为18.6%,AUS为66.6%,SFM为88%,MAL为100%。

结论

浆液性液体是一种易于获取的样本,可为具有临床意义的辅助检测提供机会。然而,在AUS和可疑类别中,虽然诊断率有所提高,但需要更多病例才能获得明确结果。

https://cdn.ncbi.nlm.nih.gov/pmc/blobs/733a/11108034/8cdb4172aae6/JCytol-41-96-g001.jpg

相似文献

1
Role of Ancillary Techniques in Reporting Serous Fluid Cytology - "Redefining Categories, Refining Diagnosis".
J Cytol. 2024 Apr-Jun;41(2):96-104. doi: 10.4103/joc.joc_114_23. Epub 2024 Apr 24.
3
Optimal Volume Assessment for Serous Fluid Cytology.
Biomedicines. 2024 Apr 18;12(4):899. doi: 10.3390/biomedicines12040899.
5
Application of international system for reporting serous fluid cytology (ISRSFC) in effusion samples-a prospective study in an oncology setting.
J Am Soc Cytopathol. 2023 Sep-Oct;12(5):351-361. doi: 10.1016/j.jasc.2023.04.005. Epub 2023 May 3.

本文引用的文献

2
Metastatic Carcinoma in Effusions.
Cytojournal. 2022 Jan 31;19:4. doi: 10.25259/CMAS_02_09_2021. eCollection 2022.
3
Serous cavity metastasis: Evaluation of unknown primary.
Cytojournal. 2022 Mar 19;19:16. doi: 10.25259/CMAS_02_11_2021. eCollection 2022.
4
Approach to Diagnostic Cytopathology of Serous Effusions.
Cytojournal. 2021 Dec 6;18:32. doi: 10.25259/CMAS_02_03_2021. eCollection 2021.
6
Root cause analysis of indeterminate diagnoses in serous fluids cytopathology.
Diagn Cytopathol. 2021 May;49(5):633-639. doi: 10.1002/dc.24653. Epub 2020 Oct 30.
9
The international system for reporting serous fluid cytopathology-diagnostic categories and clinical management.
J Am Soc Cytopathol. 2020 Nov-Dec;9(6):469-477. doi: 10.1016/j.jasc.2020.05.015. Epub 2020 Jun 9.

文献AI研究员

20分钟写一篇综述,助力文献阅读效率提升50倍。

立即体验

用中文搜PubMed

大模型驱动的PubMed中文搜索引擎

马上搜索

文档翻译

学术文献翻译模型,支持多种主流文档格式。

立即体验